疾病介紹
戈謝病(Gaucher disease)是“較常見”的溶酶體貯積病,為常染色體隱性遺傳病。該病由於葡萄糖腦苷脂酶基因突變導致機體葡萄糖腦苷脂酶(glucocerebrosidase,GBA;又稱酸性β葡萄糖苷酶,acidβ-glucosidase)活性缺乏,造成其底物葡萄糖腦苷脂(glucocerebroside)在肝、脾、骨骼、肺,甚至腦的巨噬細胞溶酶體中貯積,形成典型的貯積細胞即“戈謝細胞”,導致受累組織器官出現病變,臨床表現多臟器受累並呈進行性加重。
表現分型
戈謝病常有多臟器受累的表現,但輕重程度差異很大。根據神經系統是否受累,將戈謝病主要分為非神經病變型(Ⅰ型) 及神經病變型(Ⅱ型及Ⅲ型) 。其他少見亞型(圍產期致死型、心血管型等) 也有報導。
非型
為最常見亞型( 在歐美達 90%,東北亞患者中占比例略低) ,無原發性中樞神經系統受累表現,一些Ⅰ型戈謝病患者隨著疾病進展可能出現繼發神經系統臨床表現(如脊髓受壓等)。各年齡段均可發病,約 2/3 患者在兒童期發病。症狀輕重差異很大,一般來說,發病越早,症狀越重。臟器表現主要為肝脾腫大,尤以脾腫大顯著,常伴脾功能亢進,甚至出現脾梗死、脾破裂等。血液學主要表現為血小板減少和貧血,部分患者白細胞減少,可伴有凝血功能異常。患者表現面色蒼白、疲乏無力、皮膚及牙齦出血、月經量增多,甚至出現危及生命的出血現象。
多數患者有骨骼受侵,但輕重不一。受侵犯部位主要包括早期的腰椎、長骨幹骺端、骨幹以及中後期的骨骺和骨突 。患者常有急性或慢性骨痛,嚴重者出現骨危象(嚴重骨痛急性發作,伴發熱及白細胞增高、紅細胞沉降率加快)。X 線表現為股骨遠端的燒瓶樣畸形、骨質減少、骨質疏鬆,重者出現骨的局部溶解、骨梗死、病理性骨折、關節受損等。骨骼病變可影響日常活動,並可致殘。兒童患者常見的表現依次是骨質稀疏、長骨幹骺端燒瓶樣畸形、長骨幹骺端密度不同程度的減低、骨皮質變薄等,可有生長發育遲緩 。
部分患者可有肺部受累,主要表現為間質性肺病、肺實變、肺動脈高壓等。此外,患者還會出現糖和脂類代謝異常、多發性骨髓瘤等惡性腫瘤發病風險增高、膽石症、免疫系統異常等表現。
急性
Ⅱ型患者除有與Ⅰ型相似的肝脾腫大、貧血、血小板減少等表現外,主要為急性神經系統受累表現。常發病於新生兒期至嬰兒期,進展較快,病死率高。有迅速進展的延髓麻痹、動眼障礙、癲癇發作、角弓反張及認知障礙等急性神經系統受損表現,精神運動發育落後,2~4 歲前死亡。一些重度患者會出現關節攣縮。
慢性亞急性
早期表現與Ⅰ型相似,逐漸出現神經系統受累表現,常發病於兒童期,病情進展緩慢,壽命可較長。患者常有動眼神經受侵、眼球運動障礙,並有共濟失調、角弓反張、癲癇、肌陣攣,伴發育遲緩、智力落後。Ⅲ型可分為三種亞型,即以較快進展的神經系統症狀( 眼球運動障礙、小腦共濟失調、痙攣、肌陣攣及痴呆)及肝脾腫大為主要表現的Ⅲa 型;以肝脾腫大及骨骼症狀為主要表現而中樞神經系統症狀較少的Ⅲb 型; 其他症狀較輕,以心臟瓣膜鈣化及角膜混濁為特殊表現,主要出現在德魯茲人群的Ⅲc 型 。
戈謝病的臨床分型較為複雜, 在未出現神經系統症狀之前,有些Ⅲ型患者的表現和Ⅰ型很難區分。
診斷
戈謝病的常見症狀為不明原因的脾腫大、肝腫大、貧血、血小板減少、骨痛、神經系統症狀等。診斷需結合臨床症狀、實驗室檢測及病理學檢查等進行綜合判斷。
葡萄糖腦苷脂酶活性檢測
葡萄糖腦苷脂酶活性檢測是戈謝病診斷的金標準。當其外周血白細胞或皮膚成纖維細胞中葡萄糖腦苷脂酶活性明顯降低至正常值低限的 30%以下時,即可確診戈謝病。國內相關研究表明戈謝病患者的酶活性常低於正常值的 28% ,不同實驗室由於檢測方法及參考值存在差異,酶學的檢測的結果可能有所不同,應該根據各實驗室的實際情況確定酶活性正常值。 但是值得注意的是,少數患者雖然具有戈謝病臨床表現,但其葡萄糖腦苷脂酶活性低於正常值低限但又高於正常低限 30%時,需參考該患者的血中生物學標記物(殼三糖酶活性等),並進一步做基因突變檢測,從而實現確診。
外周血白細胞葡萄糖腦苷脂酶活性檢測需採集新鮮全血樣本,並在短時間內分離白細胞。部分實驗室使用乾血紙片法( 或稱乾血斑法 Dried Blood Spots,DBS) 採集、運輸、儲存樣本,用於包括戈謝病在內多種溶酶體貯積症的診斷。該方法採樣方法簡便易行,僅需將患者新鮮全血滴在濾紙上,獲得直徑約 1cm 血斑,於室溫放置 4h 直至乾燥,然後將濾紙置於密封塑膠袋中運輸到中心實驗室,每個乾血斑約需 50μl 全血。乾血紙片法適合在遠離檢測中心的地區開展戈謝病酶學檢測的高危篩查,也適用於戈謝病的新生兒的篩查 。
血漿殼三糖酶活性檢測可用於戈謝病患者的輔助診斷和治療效果的檢測。殼三糖酶是由活化的巨噬細胞在特殊環境下產生的,該酶的活性是目前戈謝病眾多生化標記物中升高最顯著的,患者的結果通常較正常人增高數百或上千倍。在套用酶替代治療後,治療有效患者的殼三糖酶活性會顯著下降,是能夠輔助診斷戈謝病及監測治療效果的生物學標記物 。
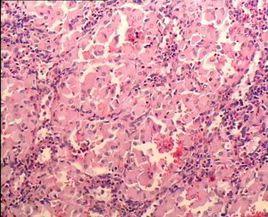
骨髓形態學檢查
大多數戈謝病患者骨髓形態學檢查能發現特徵性細胞即“戈謝細胞”,該細胞體積,細胞核小,部份胞質可見空泡。但該檢查存在假陰性及假陽性的情況。 假陰性: 即當未查見戈謝細胞時,仍不能否定患有戈謝病,需要通過葡萄糖腦苷脂酶活性檢測進行確診。假陽性:骨髓中的單核巨噬細胞等會吞噬細胞碎片或脂質代謝產物,形成與“戈謝細胞”相似的“類戈謝細胞”,在慢性髓性白血病、地中海貧血、多發性骨髓瘤、霍奇金淋巴瘤、漿細胞樣淋巴瘤中都可能出現這種“類戈謝細胞”。因此,當骨髓中查見“戈謝細胞”時, 應高度懷疑戈謝病,但並不能確診戈謝病,需在鑑別區分其他疾病的同時,進一步做葡萄糖腦苷脂酶活性測定 。
基因檢測
已發現的葡萄糖腦苷脂酶基因突變類型有 400 多種,相似的表型可有多種不同基因型,而相同基因型的患者,其臨床表現、病程及治療效果也不同。基因診斷並不能代替酶活性測定的生化診斷方法,但可作為診斷的補充依據並明確對雜合子的診斷。如果已通過酶學檢測確診戈謝病,可進行基因分子檢測,以預測患慢性神經性戈謝病的風險,以及確定合理的治療、隨訪方案。
診斷流程
由於戈謝病誤診、漏診率較高, 對於脾腫大和(或)血小板減少的患者, 可通過以下流程(通過文獻改編), 排除惡性腫瘤等疾病後, 進行葡萄糖腦苷脂酶活性檢測以確診或排除戈謝病。 本診斷流程圖從脾腫大開始,因為脾腫大是戈謝病最主要的特徵(在 ICGG 戈謝病登記研究有 87%的患者脾腫大為正常值的 5 倍),但是並不是所有的戈謝病患者都伴隨脾腫大,需進行綜合考慮。骨髓塗片細胞學檢出或未檢出戈謝病細胞都需要通過酶活性測定以確診。
鑑別診斷
白血病、淋巴瘤、多發性骨髓瘤、尼曼匹克病、地中海貧血等疾病臨床表現與戈謝病相似,需注意鑑別診斷。
治療
非特異性
可根據患者的臨床症狀與特徵選擇。貧血患者可補充維生素及鐵劑,預防繼發感染,必要時輸注紅細胞及血小板以糾正貧血或血小板減少。 骨骼病變的處理包括止痛、理療、處理骨折、人工關節置換等,並可輔以鈣劑及雙磷酸鹽治療骨質疏鬆。在無法接受酶替代治療的情況下,因病情進展(如脾功能亢進、脾梗死等) 可謹慎考慮脾切除,但應明確脾切除會加速葡萄糖腦苷脂在骨髓、肝臟、肺臟等器官的蓄積, 加劇許多臨床症狀、並增加多種致命的戈謝病併發症(如骨梗死、肺動脈高壓等) 的發生風險。脾腫大可通過觸診及影像學檢查( CT、 MRI)確定,脾切除的指征應結合患者的實際情況, 與外科醫生協作進行。脾切除的目的在於減小並維持脾的體積(≤正常值的 2~8 倍),減輕由於脾腫大帶來的症狀 。脾切除後需要對肝、骨骼、肺的不良反應情況進行定期監測。
特異性
美國食品藥品監督管理局於 1991 年批准上市了由胎盤中提取的葡萄糖腦苷脂酶,後於 1994 年又批准了以基因重組方法研製的葡萄糖腦苷脂酶[注射用伊米苷酶(Imiglucerase)],用於戈謝病的 ERT治療。臨床實踐顯示,伊米苷酶可明顯改善Ⅰ型戈謝病患者的臨床症狀體徵,維持正常生長發育,提高生活質量,為Ⅰ型戈謝病治療的標準方法,治療越早,療效越好。伊米苷酶是截至2015年4月國內惟一可獲得的戈謝病特異性治療藥物 。
治療進展
近年來, 美國 FDA 已經批准了一些底物減少療法 ,但該治療方法僅適用於成人,不適用於兒童患者, 且在中國尚無該類藥物獲準上市。分子伴侶療法 、基因治療 等正在探索中,臨床套用極少,尚無確切的證據證明上述治療方法對戈謝病的治療效果。
其他
對於兒童戈謝病患者,國外在上個世紀較為集中地展開過骨髓幹細胞移植治療,取得了一定成效。但是骨髓幹細胞移植存在死亡率高、異體移植匹配程度低等缺陷,並且目前尚未有隨機對照臨床試驗比較其相對於酶替代療法的有效性和安全性,國內亦無骨髓幹細胞移植成功治療戈謝病的病例報導。因此,骨髓幹細胞移植不應在能夠接受酶替代療法的患者中開展。
疾病管理
計畫
戈謝病臨床表現個體間差異很大,其治療需要結合臨床表現、疾病負擔及生活質量的需求進行個體化。自確診戈謝病開始,需要對患者進行治療前臨床評估,設定治療目標,根據患者的臨床風險確定個體化 ERT 治療劑量,並進行疾病定期監測。 必要時對 ERT 治療劑量進行調整,以維持合理的治療目標。 在確定治療目標的同時,應該兼顧患者的經濟狀況, 相關的支持治療及姑息治療也可以考慮。
前臨床評估
在經葡萄糖腦苷脂酶活性檢測確診戈謝病後,需要對患者進行全面、可重複的治療前臨床評估[13, 25],為評估疾病風險、確定個體化治療劑量和治療目標、監測治療效果奠定基礎。
治療目標
伊米苷酶 ERT 為截止2015年4月 I 型戈謝病治療的標準方法。根據疾病風險評估確定合理劑量並規律治療 12~24 個月後,患者應達到以下治療目標。對於開始治療較晚、病情較重的患者,達到治療目標所需要的時間可能較長。
戈謝病ERT 的治療目標:
骨骼:無骨危象,無骨痛或輕度骨痛;
血液學:血紅蛋白≥110 g/L(女性及兒童)或≥120 g/L( 男性),血小板計數≥100×10/L,無瘀斑及出血現象;
臟器:脾臟體積≤健康人 2~8 倍(根據梗死面積),改善食慾及腹痛,消除脾亢;肝臟體積≤健康人 1.5 倍,肝功能正常;
生活質量:在 2~3 年內改善生活質量評分。
臨床監測
持續監測疾病相關臨床參數變化是保證患者獲得個體化治療的關鍵。需根據患者是否接受 ERT 及是否達到治療目標,對患者進行定期檢查與評估。
諮詢和診斷
戈謝病是一種常染色體隱性遺傳病。患者父母如果再次生育,其子女患病的風險為 25%。對於生育過戈謝病患者的家庭及親屬應進行遺傳諮詢及致病基因攜帶者檢測。產前診斷是預防高危家庭再次生育類似患兒的最有效方法。在高危孕婦妊娠 9~13 周左右取胎盤絨毛,或是在妊娠 16~22 周左右取羊水進行胎兒羊水細胞培養,進行葡萄糖腦苷脂酶活性和(或)DNA 基因突變檢測。
概況
一種常染色體隱性遺傳病
病因
由於葡萄糖腦苷脂酶基因突變導致機體葡萄糖腦苷脂酶(glucocerebrosidase,GBA;又稱酸性β葡萄糖苷酶,acidβ-glucosidase)活性缺乏,造成其底物葡萄糖腦苷脂(glucocerebroside)在肝、脾、骨骼、肺,甚至腦的巨噬細胞溶酶體中貯積,形成典型的貯積細胞即“戈謝細胞”,導致受累組織器官出現病變
臨床表現
臟器受累並呈進行性加重


