簡介
非淋性尿道炎(簡稱NGU)是由性行為傳播的由淋菌,以外其他病原體引起的尿道炎的統稱。非淋性尿道炎是臨床上最常見的一種性傳播疾病。嚴重著危及人類的健康。非淋性尿道炎是有尿道炎存在,但尿道分泌物查不到淋球菌的一類疾病。主要是由衣原體和支原體引起,通過性交傳染,侵犯泌尿生殖道器官。至目前為止,本病在西方國家發病率已超過淋病,居性傳播疾病首位。分類
尿道炎可分為兩類,淋菌性尿道炎和非淋菌性尿道炎。前者是指淋病雙球菌致成的尿道炎,也秒為特異性尿道炎。
而後者則指的是淋病雙球菌以外的其它微生物所致的尿道炎,也稱為非特異性尿道炎。這類尿道炎中,已知其病原體的,則稱為真菌性尿道炎和滴蟲性尿道炎等,而不再包括在非淋菌性或非特異性尿道炎之內。
目前,通常被稱為非淋菌性尿道炎的是指衣原體(占40%-50%)、支原體(占20%-30%)及一些尚不明致病病原體的尿道炎。
病原體
衣原體衣原體
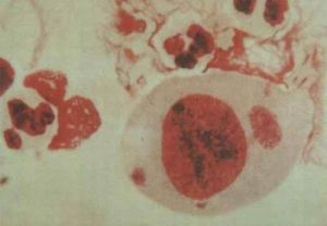
根據許多國家報告,NGU中30%-50%,淋病病人中20%和性活動強但無尿道炎症狀的人中0.5%,以目前常用的培養方法,尿道分泌物可培養出衣原體。女性病人因多數無症狀或僅表現為白帶增多等婦科症狀,難以確定其發病率,有人估計女性病人可能為男性的4倍。衣原體是一種寄附於腺上皮細胞胞漿內的微生物。呈球型,有特殊的生長周期。每個生長周期有兩種發育型。感染型為原體(elementarybody)呈球形,大小介於細菌與病毒之間(300-400mm)。原體可在細胞外生存,有感染性。當其附著在易感細胞表面時,被細胞吞飲,在細胞內原體變成另一種繁殖型。繁殖型即始體(initialbody)始體呈圓形或橢圓形。始體按二分裂方式繁殖,最後始體重新組織成原體,從細胞內釋放出來,再感染其他健康易感細胞。整個生長周期為72h。衣原體分類:1、鸚鵡熱衣原體。2、沙眼衣原體(Chlamydiatrachomatis)沙眼衣原體至少有15個血清型。D-K8種血清型與NGU有關。L1、L2、L33個型與性病性淋巴肉芽腫(第四性病)有關。支原體
1、分解尿素支原體(ureaplasmaure-alyticum)是一種原核微生物。能產生尿素分解酶分解尿素。呈球桿狀。因其缺乏堅硬的細胞膜,故不為青黴素所抑制,四環素、紅黴素、壯觀黴素對之有效。現已從人類泌尿生殖道分離出來7種支原體,其中分離率較高而與泌尿生殖道疾病有關,是分解尿素支原體,其次是人型支原體。嬰兒或無性交接觸的女性生殖道內找不到分解尿素支原體。而性生活越亂,這種支原體陽性率也越高。McDonald1982年報告587例急性尿道炎症狀病人中,209例(36%)中段尿中分離出分解尿素支原體。2、人型支原體(mycoplasmahominis)支原體對外界環境抵抗力弱,45℃15min即可被殺死。對肥皂、酒精、四環素、紅黴素敏感。衣原體除致成尿道炎、眼結膜炎外,還可致成其他生殖器官炎症,如附睪炎、前裂腺炎、宮頸炎、陰道炎、輸卵管炎及盆腔炎等。新生兒通過感染的產道可誘發眼結膜炎、肺炎。男性同性戀者,可患直腸炎及咽炎。
流行趨勢
因為ngu發病緩慢,症狀輕,不容易受到重視。引起非淋菌性尿道炎的病原體可持續存在數月之久,且治療需要較長時間。未正規用藥後有併發症者,可長期帶菌。性交時不用陰莖套,也造成了非淋菌尿道炎的不斷擴大流行。
本病是指臨床上有尿道炎表現,而分泌物塗片和培養查不到淋球菌的一種泌尿生殖系統感染性疾病。由於女性患者不僅有尿道炎症,而且也可有宮頸炎症,故也稱之為“非特異性生殖道感染(nsgi)。主要由沙眼衣原體或解脲支原體感染所致,少數也可由陰道毛滴蟲、白念珠菌和單純皰疹病毒等引起。是常見的性傳播疾病之一。
臨床症狀
衣原體2、起病不如淋病急,症狀拖延,時輕時重,但比淋病輕。約50%的病人有尿痛、尿道癢等症狀。初診時很易被漏診。男性非淋菌性尿道炎表現為尿道不適、發癢、燒灼感或刺疼,尿道紅腫,尿道分泌物多為漿液狀、稀薄、晨起有“餬口”現象。女性非淋菌性尿道炎表現為宮頸的炎症和糜爛、分泌物增多,宮頸分泌物中有多數分葉型白細胞(高倍鏡下每視野超過10個),陰道及外陰瘙癢,下腹不適感。注意:有些病人可無症狀或症狀不典型,易被漏診。宮頸分泌物中有多數分葉型白細胞(高倍鏡下每視野超過10個)。
3、尿道分泌物少,稀薄,粘液性或黏膜膿性。較長時間不排尿(如晨起)尿道外口可溢出少量稀薄分泌物。有時僅表現為晨起痂膜封住尿道口或污染內褲。檢查時,需由後向前按擠前尿道才可能有少許分泌物由尿道口溢出。有時病人有症狀無分泌物,也可無症狀而有分泌物。
4、常與淋病同時感染。前者先出現淋病症狀,經抗淋病治療後,淋球菌被青黴素殺死,而衣原體、支原體依然存在。在感染1-3周后發病。臨床上很易被誤認為淋病未治癒或復發。
5、處理不當或治療不及時可引起併發症(1%)。如急性附睪炎、前列腺炎、結腸炎、咽炎。女性宮頸炎、宮頸糜爛、前庭大腺炎、陰道炎、輸卵管炎、盆腔炎、異位妊娠、不育等。
6、新生兒通過感染的產道、生後3-13d可發生眼結膜炎,眼部有粘液膿性分泌物,也可無分泌物。但多不侵犯角膜。下生後2-3周可發生肺炎。症狀不斷加重,呼吸急促為其特點,但不發熱。其中半數患兒有眼結膜炎。
7、極少數病人可伴發Reifer綜合徵:尿道炎、關節炎、角膜炎、結合膜炎及皮疹。
檢查診斷
前列腺炎二、臨床表現 男性常有尿道內刺癢、燒灼感、刺痛,有時尿急及排尿困難。但症狀一般比淋病輕。尿道口充血或紅腫,有漿液性、粘液膿性或白色稀薄分泌物,或晨起有“餬口”現象。女性發生尿道炎可有尿頻、尿急或排尿困難;宮頸炎則白帶增多,宮頸充血或紅腫、糜爛;陰道及外陰瘙癢等。無論男性或女性有很多病人無任何症狀或症狀很輕微,尤以女性為多。
三、本病可經產道傳染,引起新生兒眼結膜炎、肺炎、鼻炎、中耳炎和女嬰的陰道炎。
四、合併症 男性主要合併症為附睪丸炎,前列腺炎及reiter綜合徵等;女性主要為輸卵管炎、盆腔炎、異位妊娠及不育症等。
五、化驗檢查
(一)分泌物塗片和培養淋球菌均為陰性,而塗片鏡檢,在油鏡(1000倍)視野下多形核白細胞超過4個或者晨尿,前段尿15毫升沉澱,在高倍(400倍)視野下,每視野多形核白細胞超過15個,有診斷意義。
(二)有條件可作沙眼衣原體、解脲支原體等病原學檢查。
檢查項目
1、病原體檢查:包括免疫學檢查、病原體培養、藥敏試驗和聚合酶鏈式反應檢測。
(1)衣原體培養:由於沙眼衣原體是在細胞內寄生,所以它只能在組織中培養。衣原體的培養取材一般應在男性 的尿道深入0.5cm以上。
(2)直接螢光抗體檢測:這是非培養法中套用最多的檢測方法。它還可以用於精液、直腸標本以及因運輸或保存等原因使衣原體失活的標本的檢測。
(3)酶標免疫反應:這是目前套用最廣的檢測方法。該法的優點是快速、方便、廉價和檢測批量化。
2、非淋菌性尿道炎檢查還可用塗片、培養檢查:這是診斷炎症的證據,取尿道分泌物、晨尿或末次排尿後2~4小時的尿沉渣塗片,進行顯微鏡檢查。
3、基因晶片細菌病毒檢測系統:該系統全面排查,能夠高通量、自動化、精確快速檢測出各類病毒、細菌、微生物等病原體,可有效避免誤診、漏診,是目前國際上診斷本病的最正確的方法。
併發症
男性:附睪炎、前列腺炎、精囊炎。衣原體還可影響精子活力,造成性功能障礙。
女性:急慢性輸卵管炎,異位妊娠、不育、流產、死胎。
治癒標準
1、臨床症狀消失1周以上,尿道無分泌物,或分泌物中白紅胞≤4個/100倍顯微鏡。
2、尿液澄清,沉渣鏡檢陰性。
3、尿道(宮頸)標本衣原體、支原體檢查陰性(有條件時)。
西藥治療
1、目前對四環素、強力黴素、紅黴素已有不少菌株產生耐藥。新一代合成抗菌藥喹諾酮類,不但對衣原體、支原體有效,對淋球菌也高度敏感。(1)氟哌酸200mg,3/d共用14d。
(2)氟嗪酸200mg,2/d共用14d.
(3)環丙氟哌酸250mg,2/d,共用14d。
2、磺胺、利福平對衣原體有效,對支原體無效。
3、慶大黴素、新黴素、多粘菌素對衣原體無效。
4、鏈黴素、壯觀黴素對衣原體無效,對支原體有效。
5、四環素0.5g,4/d,共用7d,改0.25g,4/d,共用14d。
6、強力黴素0.1g,2/d,共用7d。
7、紅黴素硬脂酸鹽0.5g,4/d,共有7d。
8、紅黴素琥珀酸乙酯0.8g,4/d,共用7d。
9、美滿黴素0.2g即刻,0.1g,2/d,共用14d。
中藥治療
金銀花注意問題
治療期間禁飲酒、勞累、熬夜性生活。夫妻雙方有一方感染時,雙方應同時檢查治療。不與別人共用洗陰部的毛巾、盆具,不混用內衣褲。家中有嬰幼兒者,要嚴格物品及手的消毒,以防通過密切接觸傳播。性生活時使用保險套可減少非淋菌性尿道炎的傳播。
護理方法
1、提倡潔身自愛,根除性混亂現象。2、患者未治癒前不得與任何人發生性關係。
3、個人預防感染與淋病類似。
4、患者應專用浴盆、浴巾,連同內褲都要煮沸消毒。
5、治療性伴侶。
疾病大觀
| 伴隨著人們生活水平的日益提高,各種各樣的疾病也以極高的頻率出現在我們的生活中,這些疾病困擾著人們,讓人們備受折磨。現在,病理學常識帶我們去科學的認識了解這些疾病,在科學的指引下,認清這些疾病的真面目,擺脫疾病的困擾,讓每一個人都有一個健康的體魄! |
醫學疾病任務——婦科
| 婦科是醫療機構的一個診療科目,是婦產科的一個分支專業,是以診療女性婦科病為診療的專業科室。女性生殖系統所患的疾病才叫婦科疾病。婦科疾病的種類可分很多種,本任務包含大多數婦科疾病。 |

