概述
軟下疳病原學
軟下疳杜克雷嗜血桿菌對溫度較敏感,43-44℃以上溫度則失去抵抗能力,20分鐘即可死亡。對42℃抵抗性稍強,但4小時死亡。在37℃中可活6-8天,10-20℃之間7-10天后可死亡,在此溫度中較大腸菌、葡萄球菌抵抗力弱,較淋球菌強,對寒冷抵抗力較強,5℃中可生存1周,凍乾時可能生存1年。對乾燥的抵抗性弱。在人工培養中溫度是發育的重要因素。
嗜血桿菌屬在試管內繁殖需要X因子與V因子,X因子存在血液中耐熱性物質氧化血紅素,V因子具有易熱性,在血液中是脫氫酶的輔酶,杜克雷嗜血桿菌對X因子需要性高,不需要V因子,將純培養物注射入家兔可引起面部潰瘍性病灶,人感染後,不能產生持久免疫力。以杜克雷嗜血桿菌懸液為抗原,患者注射後1周,皮膚試驗呈陽性,一旦出現,可持續數年,甚至持續終身。
診斷依據
Barber對本病診斷作如下建議,並作為診斷標準:
①陰部潰瘍,一個或多個;
②暗視野顯微鏡檢查,梅毒螺鏇體陰性;
③梅毒血清試驗陰性;
④病損潛行性邊緣取材塗片,用瑞氏染色未發現朵諾凡小體(肉芽腫莢膜桿菌),而用革蘭氏染色可找到短小的革蘭氏陰性桿菌。
發病機理
機體感染杜克雷嗜血桿菌後,主要靠多形核白細胞參與清除軟下疳局部細菌。其他的免疫途徑是否參與殺滅細菌作用尚不清楚,如補體激活的替代途徑,補體是否參與了殺滅血清中的杜克雷嗜血桿菌,這個過程可能主要是抗體依賴性的。補體起到增強抗體的作用。細菌對反應的敏感由脂多糖的組成決定。臨床確診為軟下疳時,杜克雷菌抗原免疫印跡吸附試驗可以檢測到血清IgG、IgM抗體增多。通過血清抗體試驗表明存在特異性抗原決定簇。用杜克雷菌作兔皮內感染實驗可引起很強的抗體反應,其抗體合成的經過與其他細胞感染相同,而人類產生抗體反應的過程比動物的多。在整個感染過程中存在有可識別的重要共同抗原。在感染的某一時期存在可識別的共同抗原及個體相關抗原。總之杜克雷菌的免疫應答對宿主本身所起的作用仍不清楚,因為人類可以重複感染。很明顯不存在完全保護性免疫。
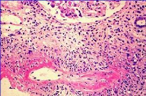
病理改變
中央為潰瘍,潰瘍邊緣表皮增生,潰瘍下方可見三個炎症帶,垂直排列,分別為:潰瘍基底層:多形核白細胞為主,混有紅細胞,纖維素及壞死組織。中層有許多新生的血管,組織水腫明顯,有嗜中性白細胞、淋巴細胞及組織細胞浸潤,可見較多的纖維母細胞。深層為淋巴細胞、漿細胞瀰漫性浸潤,血管周圍明顯。用Giemsa及Gram染色,有時可在淺層或深層中查見杜克雷嗜血桿菌。
流行病學
本病在熱帶、亞熱帶地區及低層社會的黑人中發病較多,是開發中國家人生殖器潰瘍形成的主要原因。近年來一些西方已開發國家如美國、加拿大等發現有軟下疳的暴發,主要發生在貧窮的、異性戀的人群中,這些人常與娼妓有性接觸,其中男性軟下疳病人50%以上是與娼妓接觸傳染的。中國在20世紀40年代以前發病率較高,如在東北地區門診病例統計占10%~13.6%,60年代以後經大力防治幾乎絕跡,80年代起,本病在中國一些地區又有發現,但仍屬於少見之症,監測系統報導的軟下疳病例逐年增加,1993年7例,1994年30例。可能部分病例僅靠塗片檢查結果診斷,而未能用培養法作病原診斷。
本病常見於男性,女性相當少見,男女之比約為9∶1,可能由於發生於陰道及宮頸的損害不引起症狀,難以發現之故。
最近研究發現,軟下疳是促進人類免疫缺陷病毒(HIV-1)在異性間傳播的重要輔助因子,認為控制和消滅軟下疳是減少HIV-1在異性間傳播的有效措施之一。
臨床表現
本病的最突出特點是潰瘍疼痛劇烈。感染後潛伏期平均2-3天。大部分病例約在1周以內,有時少數病例可在數周以後發病。女性比男性的症狀一般較輕,潛伏期也長,症狀比較隱秘典型軟下疳
初發為外生殖器部位的炎性小丘疹。24-48小時後,迅速形成膿皰,3-5天后膿皰破潰後形成潰瘍,境界清楚。潰瘍呈圓形或橢圓形,邊緣為鋸齒狀,其下緣有潛濁現象,周圍呈炎症紅暈。潰瘍底部有黃色豬油樣膿苔,並覆蓋很多膿性分泌物,剝去膿苔可見出血。疼痛明顯。觸診柔軟稱此為軟下疳。
軟下疳數目在最初僅為1-2個,因可自家接種,故可在附近又出現新生病灶。軟下疳大部分發生在外陰部位,男性多在冠狀溝、包皮、龜頭、包皮系帶處。女性多發生在陰唇、外陰、後聯合。陰部以外如手指、口唇、舌等部位也可見到。
病損處所屬的淋巴腺腫大。並且50%的患者約於數日到兩周間形成潰瘍。損傷多居一側(尤其左側),男性比女性較多見。稱此為橫痃。
軟下疳橫痃呈急性化膿性腹股溝淋巴腺炎,多為單側,局部紅腫熱痛,橫痃潰破後呈魚嘴樣外翻,俗稱“魚口”。近年由於及早使用了有效治療劑,控制了感染進一步發展,使典型的軟下疳橫痃已不多見。
不典型的軟下疳
表現有一過性軟下疳(transientchancroid):軟下疳損害小,4-6天內消失,但在2周左右之後,發生腹股溝淋巴結病,易誤診為性病性淋巴肉芽腫或生殖器皰疹;隆起性軟下苷,潰瘍底部為凹陷下疳,肉芽增生形成隆起狀。毛囊性軟下疳,呈針頭大的小型下疳,在外陰部毛囊深部形成潰瘍。矮小軟下疳,是非常小的損害,很像生殖器皰疹所致的糜爛,但有不規則的基底和刀切樣出血性邊緣。侵蝕性軟下疳,潰瘍進行速度較快,並向深部發展,在數日內陰莖或陰唇有大片壞死和脫落,從而常引起大出血,此種下疳多由並發其他細菌混合感染所致。匍行性軟下疳是長而窄的線性潰瘍。
異型軟下疳:一過性軟下疳(transientchancroid):軟下疳損害小,4-6天內消失,但在2周左右之後,發生腹股溝淋巴結病,易誤診為性病性淋巴肉芽腫或生殖器皰疹。
隆起性軟下苷:潰瘍底部為凹陷下疳,肉芽增生形成隆起狀。
毛囊性軟下疳:呈針頭大的小型下疳,在外陰部毛囊深部形成潰瘍。
矮小軟下疳:是非常小的損害,很像生殖器皰疹所致的糜爛,但有不規則的基底和刀切樣出血性邊緣。
侵蝕性軟下疳:潰瘍進行速度較快,並向深部發展,在數日內陰莖或陰唇有大片壞死和脫落,從而常引起大出血,此種下疳多由並發其他細菌混合感染所致。
軟下疳合併感染
可同時合併其他性病感染,如梅毒、生殖器皰疹、淋病、衣原體感染、愛滋病等,使臨床表現複雜。
疾病治療
治療原則
及時、足量、規則。在治癒前,應避免性生活。在隨診期間,性生活應使用保險套。治療方式
(一)全身治療:
1.有效的抗菌素包括有紅黴素族:紅黴素、利君沙,羅紅黴素,阿齊黴素;
2、頭孢類:頭孢曲松鈉等,喹諾酮類:環丙沙星、氧氟沙星、莫西沙星等;劑量和療程見下表:
(二)局部治療
1.未破潰的丘疹或結節,外用魚石脂,紅黴素軟膏。
2.潰瘍,用1/5000高錳酸鉀或雙氧水沖洗,然後,外用紅黴素軟膏,因軟下疳易於自身接種,應做好局部清潔消毒。
3.淋巴膿腫;穿刺應在遠處正常皮膚刺入膿腔,抽吸膿液或根據病情注射藥物。
(三)合併HIV感染的處理
這類患者潰瘍癒合更慢,療程要更長,短程治療往往失敗,需套用兩種以上抗生素聯合用藥。有條件時應從病灶中分離杜克雷嗜血桿菌作抗生素敏感試驗。治療3-7天后,應對患者進行再次檢查,若治療有效,3日內潰瘍症狀即有改善,7日內潰瘍即可見明顯癒合。否則,應考慮:診斷是否正確,是否同時合併另一種STDs病原體感染;是否同時有HIV感染;或杜克雷嗜血桿菌是否對抗生素耐藥。通常,潰瘍癒合的時間和潰瘍大小有關,較大的潰瘍可能需要兩周才能癒合。
(四)手術治療
晚期已形成組織破壞、瘢痕及畸形者,可行外科手術治療。對包莖病人應先用以上藥液浸泡或濕敷,治癒後應行包皮切除術。
輔助檢查
梅毒的檢查按照其檢測的方法分為以下幾種: 一、細菌學檢查:嗜血桿菌屬革蘭氏陰性桿菌,培養條件顯示多形性特徵,易染性,此菌無芽孢,無運動。1.鏡檢:從軟下疳開放性潰瘍取材塗片標本染色,杜克雷嗜血菌易檢出,未破潰病灶從膿腫或橫痃中穿刺,取其穿刺液塗片標本染色也易檢出,更為典型,用美藍染色或革蘭氏染色等鏡檢用10×100倍油浸觀察。
2.培養檢查:軟下疳菌分離培養較為困難,故在採取病變材料時應注意取軟下疳潰瘍邊緣下貯留膿汁或穿刺橫痃抽吸的膿汁作為檢體,或再用生理鹽水充分洗滌潰瘍底面後,再用生理鹽水濕棉簽塗抹標本送化驗室培養。
國際上軟下疳的標準培養基一種是GCHGS(Hammondgonococcal media),由淋球菌瓊脂培養基加牛血紅蛋白、胎牛血清、萬古黴素及纖維素、胺基酸等組成;另外一種是MHHb(Muller-Hinton瓊脂,由Muller-Hinton瓊脂、馬血、萬古黴素及其他培養成分組成),上述兩種培養基可以同時套用,以提高陽性率。
菌落常於接種後24-48小時形成。色灰黃而透亮,直徑約為1-2mm。從菌落處取材作革蘭染色陰性,為成雙的短桿菌,成鏈狀排列。同時應作生化反應以鑑定之。主要有:氧化酶試驗弱陽性,過氧化酶試驗陰性,非卟啉試驗陰性,硝酸鹽還原試驗陽性,鹼性磷酸酶試驗陽性。
杜克雷嗜血桿菌的培養不僅有助於診斷,而且可確定分離的細菌對抗生素的敏感性,目前已分離出耐抗生素的杜克雷嗜血桿菌。
二、血清學診斷軟下疳感染桿克雷嗜血桿菌能產生抗體,通過血清學檢查,不論是補體結合,凝集反應以及螢光抗體間接法等均可證實,但尚未推廣,目前認為IgM抗體敏感性為74%,IgG抗體敏感性為94%,其特異性分別為84%和64%。
三、PCR檢測杜克雷嗜血桿菌
鑑別診斷:本病常被誤診為生殖器皰疹,生殖器皰疹在皰疹階段出現多發性,成群生性水皰,檢菌陰性,其次與硬下疳作鑑別時,需注意梅毒的硬下疳較硬,膿性分泌物少,無痛。以及除外其他急性外陰性潰瘍等。
預防常識:軟下疳中國少見,診本病注意排除梅毒和生殖器皰疹所引起的潰瘍。本病按上述治療方案一周可痊癒,否則應考慮有無其他感染,應再進一步檢查。
鑑別診斷
應與梅毒硬下疳,LGV,生殖器皰疹,急性女陰潰瘍,Behcet綜合徵,結核性潰瘍及腹股溝肉芽腫等鑑別。1.梅毒硬下疳。
2.性病性淋巴肉芽腫(LGV)。
3.生殖器皰疹由HSV-2感染引起,損害為集簇性丘皰疹,小水皰及糜爛,分泌物呈漿液性,伴灼熱感和疼痛,愈後常復發。
4.急性女陰潰瘍無性接觸史,常見於少女及未婚婦女,易反覆發作,常伴口腔阿弗他潰瘍及小腿結節性紅斑,潰瘍分泌物塗片可查見粗大桿菌。
5.Behcet綜合徵多見於青年女性,可伴口腔潰瘍,眼病變,皮膚結節性紅斑和針刺反應陽性。
6.結核性潰瘍也可見於龜頭,炎症輕微,自覺症狀輕,慢性經過,表面膿液稀而少,損害可查見結核桿菌,活檢組織像呈結核性結構。
7.腹股溝肉芽腫損害為增生性肉芽腫性潰瘍,觸之易出血,淋巴結症狀輕微,甚至不發生,自覺不痛,取肉芽組織碎片作印片或塗片用Giemsa或Wright,染色,可在增大的單核細胞內查見Donovan小體。
8.硬下疳。
併發症
軟下疳患者如不及時發現和治療可發生各種併發症,常見的有下列幾種:1、軟下疳性淋巴結炎
又稱軟下疳性橫痃或痛性橫痃,50%-60%患者可以發生,多在軟下疳潰瘍出現後數天到了周內發生。以腹股溝多見,常為單側性,開始為局部淋巴結腫大,有輕微壓痛,然後可逐步累及鄰近多個淋巴結,並產生淋巴結周圍炎,彼此可融合成較大的團塊。局部皮膚可紅腫,觸之有波動感,最後可破潰而形成潰瘍。此時患者可有明顯的疼痛,還可伴有發燒,常需2-4周才逐步癒合形成疤痕。
2、包皮炎和嵌頓包莖
當患者在包皮內發生軟下疳時,可因炎症水腫而造成包皮炎性包莖,包皮內膿汁積瀦可引起龜頭炎。如果包皮高度水腫不能翻轉時則可引起嵌頓包莖。
3、尿道瘺
由於陰莖部軟下疳可造成陰莖毀壞性潰瘍而侵犯及尿道,可引起排尿劇痛,最後可導致尿道狹窄,排尿困難。
4、繼發感染
在感染軟下疳的同時少數病人還可繼發感染梅毒和性病性淋巴肉芽腫等,可以增加損害的嚴重性,此時可發生混合性下疳,往往難以治療。
注意事項
1、由於軟下疳的臨床表現缺乏特異性,試驗室檢查特異性和敏感性不高,所以軟下疳的診斷應綜合考慮,應首先排除生殖器潰瘍中最常見的疾病。對缺乏相應試驗室檢查設備的地區,在排除其他性病的條件下,可給予試驗治療。2、杜克雷嗜血桿菌耐藥性發展很快,注意選用敏感抗菌素。
3、軟下疳患者的性伴如果在患者出現症狀之前10天內,與患者有過性接觸,無論有無此病的症狀,都必須進行檢查和治療。
4、在治癒前,應避免性生活。在隨診期間,性生活應有防護(使用保險套)。
軟下疳預防
與梅毒,淋病一樣,單用預防製劑(即弱蛋白銀,甘汞軟膏)而不使用陰莖套則是無效的,避免性混亂,對性混亂者進行檢查並予以相應治療是很重要的;患病治癒前絕對不能性交。
早期診斷,早期治療,徹底治癒患者可減少傳染源,由於可能存在無症狀的Ducrey嗜血桿菌攜帶者,許多學者推薦對即使缺乏臨床表現的接觸者也應進行預防性治療,加強教育,正確對待性生活,切實禁止嫖娼賣淫活動可切斷本病的傳播途徑。

