基本概述
OPCA分為遺傳型(Menzel型,多數為常染色體顯性,少數為隱性)與非遺傳型(DejrineThomas型)兩類。近年雖有學者主張遺傳者不應納入多系統萎縮的范畸,但多數文獻仍將遺傳型歸納入多系統萎縮。遺傳型歸納入多系統萎縮。OPCA病理髮現主要是小腦、橋腦下橄欖核萎縮,細胞脫失伴膠質增生。小腦以蒲金野細胞喪失最為明顯,顆粒層變薄。小腦中腳和齒狀核變性。脊髓中的後索,橄欖脊髓束,皮質脊髓束以及脊髓小腦束變性,克拉克柱細胞及前角細胞脫失。還可累及基底節和大腦皮質。因而臨床上表現出多系統多樣化的症狀和體狀。有人認為一般不出現錐體束征,但本組40%(13/32)的病人出現了
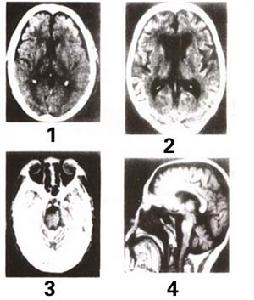
橄欖橋腦小腦萎縮錐體束征。本組有8例行CT檢查未發現異常,但頭顱MRI見小腦橋腦萎縮,所以MRI檢查是有價值的輔助診斷方法。
臨床上遇見下列情況即可考慮為OPCA。①中壯年男性;②不明原因逐漸出現小腦性共濟失調;③伴隨下述中的一種或一種以上症狀體徵:植物神經症狀;錐體外系征;錐體束征;腦幹征;④頭顱CT或MRI見或未見(患病早期)小腦橋腦萎縮;⑤排除了其它中樞神經系統疾病。治療方面,目前尚缺乏有效治療。可以使用促進乙醯膽鹼合成或增強其作用的藥物,如毒扁豆鹼、胞二磷膽鹼、哈伯因等,療效不肯定。由於本類疾病部分屬遺傳性疾病,阻止患者及雜合子生育,杜絕患兒出生更顯重要。
臨床表現
橄欖橋腦小腦萎縮植物神經症狀有尿頻、夜尿增多、排尿不盡感者20例,占62.5%(20/32)。其中12例有陽萎。4例伴有體位性低血壓,其立臥位收縮壓差>4kPa,舒張壓差>2.67kPa。
錐體外系征16例表現肌張力增高,占50%(16/32),其中齒輪樣肌張力增高9例。錐體束征13例有錐體束受損體徵,表現為腱反射亢進,Rossolimo′s陽性,Hoffmann′s陽性,Babinski′s陽性。腦幹征8例有吞咽困難,構音障礙,飲水嗆咳,咽反射遲鈍或消失。
頸椎出現病症,尤其是骨質增生壓迫神經,造成腦供血不足。長期回帶來橄欖橋腦小腦萎縮。這也和更年期現象及生活規律、飲食、心情有一定的關係。如果確定頸椎是主要原因,在擴張血管、心臟用藥的同時,要加緊治療頸椎上的原因。頸椎病的治療多是牽引、按摩配合藥物。腦萎縮是一種腦組織細胞相應減少而引起腦神經功能失調的疾病,腦萎縮在臨床最主要的症狀是痴呆,尤其是老年人易引起老年痴呆症。腦萎縮是由多種原因引起腦組織體積縮小的一種精神衰退性疾病,多由遺傳、腦外傷、腦梗塞、腦炎、腦缺血、缺氧、腦動脈硬化、煤氣中毒、酒精中毒等引起腦實質破壞和神經細胞的萎縮、變形、消失,其中最主要的致病因素是腦血管長期慢性缺血而造成的。
類型分別
橄欖橋腦小腦萎縮SCA1:第6對染色體6p23,正常人CAG重覆6-36,患者39-83
SCA2:第12對染色體(12q24.1);正常人CAG重覆16-30,患者34-49
SCA3(MJD):第14對染色體14q21;正常人CAG重覆13-44,患者63-85
SCA6:第19對染色體19p13.1-13.2,正常人CAG重覆4-16,患者21-27
SCA7:第3對染色體3p21.1-p12,正常人CAG重覆7-35,患者37-130
DEPLA:第12對染色體(12p13),正常人CAG重覆6-35,患者49-88
如家族中有這類病史,家族成員懷孕時,應做胎兒絨毛(12-16周)或羊水(16周以上)檢查,可分析SCA基因之CAG重複次數。
治療方法
橄欖橋腦小腦萎縮1、早期發現、早期治療,容易取得較好的療效。
2、促進正常發育、抑制和改善異常運動和姿勢。
3、綜合治療:利用各種有效的手段對患者進行全面、多樣化的綜合治療、除針對運動障礙進行治療外,對合併的語言障礙、智力低下,行為異常、癲癇也要進行治療。
4、家庭訓練和醫生指導相結合。
5、針對病因,辨證辨病、標本同治、調節五臟六腑、營養腦細胞、促進腦組織發育。
位一體療法治療腦萎縮的具體方法:
針灸推拿主要是依據患者的臨床表現,結合中醫辨證理論,進行中醫臨床分型,一般將腦萎縮分為腎精不足型、氣血虧虛型、痰蒙腦竅型、瘀阻腦絡型四型。然後依據臨床分型,再選擇穴位和治法,確立治療方案。
(1)針灸
針灸是通過在選定的穴位進行針刺或艾灸,同時根據中醫辨證施治理論採用恰當的補瀉手法,以達到調節患者的機體的陰陽平衡,疏通經絡,開通腦竅,促進腦萎縮患者康復的目的。
①腎精不足型以補益腎氣、益精填髓為主要治法。針灸選穴:主穴——百會(或四神聰)、太溪、命門、腎俞配穴--關元、脾俞、復溜、陰陵泉針刺方法:百會平刺,勿提插,多捻針、留針;關元可用灸補法;余穴均用補法。
②氣血虧虛型以補益氣血、養血健腦為主要治法。針灸選穴:主穴——足三里、三陰交、血海、脾俞配穴--腎俞、胃俞、關元針刺方法:關元可用灸法或溫針灸,余穴以補法為主。
③痰蒙腦竅型以健脾化痰、益腦開竅為主要治法。針灸選穴:主穴——豐隆、脾俞、神門配穴--曲池、百會、陰陵泉、風池針刺方法:脾俞用補法;百會只捻轉,不提插;其餘穴位用瀉法。
④瘀阻腦絡型以活血化瘀、通絡開竅為主要治法。針灸選穴:主穴——風池、太沖、血海配穴--百會、神門、足三里、三陰交針刺方法:神門、足三里、三陰交用補法;百會只捻轉,不提插;其餘穴位用瀉法。
上述針灸選穴是臨床選穴的基本指導原則,在實際施治過程中,可根據患者的臨床表現,堅持中醫的整體觀念和辨證論治的原則,靈活選用,以達最佳治療效果。另外,可根據患者的臨床症狀選用頭針治療,如有運動功能障礙的選用運動區;共濟失調者可選用平衡區;語言障礙者可根據語言障礙的類型分選語言區(語言Ⅰ區、語言Ⅱ區、語言Ⅲ區);有感覺障礙者,可根據感覺障礙的部位選擇相對應的頭針感覺區;有震顫者,還可選用舞蹈震顫區。當然還可運用時間針灸,定時開穴施治,採用子午流注和靈龜八法定時開穴進行針灸將可在選穴少的情況下,取得較為突出的療效。針灸治療,每天1次,每周治療6次,休息1天,病人身體有其他發熱、感染、血液病、軟組織損傷等不宜針灸者可暫停針灸。
(2)推拿
推拿的主要作用是通過對肢體或穴位和按摩,達到疏通經絡,活血化瘀的作用,從而使腦萎縮的肢體功能和其他功能的障礙得以恢復。對於腦萎縮的患者來說,如果沒有肢體功能障礙,推拿部位則以頭面部為主。頭面部採用的推拿施治手法主要有:開天門,推坎宮,分推額陰陽,揉運太陽,雙揪鈴鐺,分推面頰,掐人中,點揉神庭、百會、前頂、後頂、腦空、腦戶、風池等穴,五指拿頭頂,三指拿頸項,掃散法,乾洗頭等。
若患者伴有肢體功能障礙,則同時要求做肢體推拿,上肢的推拿手法主要有拿上肢、滾上肢內外側面,點揉曲池、手三里、內關、外關等穴,搖上肢肩、肘、腕、指關節,捻指,拔伸手指,搓上肢,抖上肢等;下肢的推拿手法主要有滾下肢內外側面,拿下肢,點揉血海、足三里、陽陵泉、三陰交、太沖等穴,拔伸下肢,搖下肢髖、膝、踝關節,抖下肢等。腰背部可選用滾法,擦法,拍法,點揉背俞穴、華佗夾脊穴等手法。另外,對於小兒患者還可採用捏脊,推上三關,退下六腑,根據症候的虛實,選用脾經、腎經、心經、肝經、肺經的補瀉手法進行對證施治。推拿手法每天治療1次,每次30分鐘,每周治療6次,休息1天,由推拿醫師直接給患者操作。注意有骨質關節結核、骨髓炎症、按摩部位局部皮膚破損、妊娠期、出血性疾病、急性傳染病及膿毒血症等推拿禁忌症者禁用推拿手法。
運動康復
對腦萎縮患者的功能康復,有平衡功能障礙和步態異常者最重要的是平衡訓練和步態訓練,另外還有關節活動範圍的訓練、增強肌力訓練等等,重點介紹平衡訓練和步態訓練:平衡功能的訓練在腦萎縮患者的康復治療中十分重要,這些患者由於平衡障礙,影響了許多日常功能活動的進行,因此平衡的康復訓練對於有平衡障礙的患者顯得尤為重要,通常把訓練分為以下四步:①坐位平衡訓練:先讓患者體會坐位的感覺或用鏡子矯正坐位的姿勢,然後訓練從有倚靠到無倚靠坐,由坐在靠椅上到做在凳子上;並學會在坐位上做前後左右改變重心的動作,加強患者承重練習及左右交替抬臀負重練習。以後練習在坐位下做上肢和軀幹的各種動作,並能在外界推力作用下保持坐位的動態平衡。
②站立平衡練習:有些患者開始訓練站立平衡很難,可先藉助直立架體會站立的感覺,然後慢慢練習由依託到無依託站立。在站立位下要求觸摸不同物品,並可在平衡訓練器上練習重心向前後左右轉移,提高雙腿支撐負重能力及雙腿站立平衡能力。同時可在雙肩外側或骨盆兩側施加推力,訓練其動態平衡;站立的地面可從平到不平,還可讓患者在海面墊上站立,隨著平衡能力的改善,最後進展到站立位作頭、上肢、軀幹以至下肢的各種動作,在搖晃板上練習站立。
③坐位起立平衡:練習從有依託到無依託下起立,注意站立時雙下肢要同時負重,讓患者反覆體會雙腿支撐坐站的感覺,可先在高凳上練習坐站,然後逐漸過渡到低凳坐站,在坐下時不要有跌落姿勢;
④步行平衡練習:即在訓練步行中的穩定性,開始可在平衡槓內練習向前向後行走,或靠牆做向前向後移動,然後練習沿直線或在較窄的平衡木上行走,並練習在行走中突然止步、轉體、拐彎及跨越障礙。隨著步行能力的提高,可加快行走的速度,以提高平衡能力。步態的訓練是在分析步態的基礎上,針對異常步態的姿勢而採取相應的措施。步態的訓練是在坐位和立位平衡的基礎上進行的訓練。包括訓練前準備,平衡槓內訓練,室內行走訓練,活動平板上練習行走等訓練活動,以糾正患者的異常步態,幫助患者恢復走路姿勢的平衡。
因在運動康復訓練過程中,能量消耗多,容易疲勞,在訓練中要特別注意經常間斷休息,以防發生過度疲勞、肌力下降。另外,在訓練過程中要保護病人,不要摔倒,以防病人產生恐懼心理。以上每一個步驟都由康復治療師一對一進行訓練,在治療前,由治療師根據每位患者的具體情況,制定相應的符合患者個體素質的治療方案。運動康復每天治療1次,每周治療6天,休息1天。
飲食原則
橄欖橋腦小腦萎縮(2)注意給予低糖飲食。因為過多的食糖,特別是精製糖攝入過多,易使腦功能出現神經過敏或神經衰弱等障礙。
(3)膳食中應注意補充含維生素E、維生素C和β-胡蘿蔔素豐富的食品、如麥胚油、棉籽油、玉米油、花生油、芝麻油等,這些物質具有抗氧化物質,能夠延緩衰老。
(4)各種菜餚烹調時,不要放過多的味素。腦組織通過酶的轉換使谷氨酸生成γ-氨酪酸。攝入過多的味素時,可引起頭痛、噁心等症狀。
鎂是各種酶反應的輔助因子,與鉀、鈣等元素協同維護心肌和防治動脈硬化,從而增強腦的血流量,有利於防治老年痴呆症的發生。在日常飲食中注意補充海產品、食用菌、豆類及其製品、魚類、乳類、芝麻醬、各種蔬菜和水果等食物,便可以使機體獲得足量的礦物質。
相關詞條
常見內科疾病1
| 內科疾病治療預防、 |
