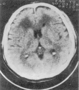
酒中毒性小腦變性酒中毒性小腦變性症是以運動失調為主要症狀病理學上是以小腦及其傳入、傳出途徑的變性為主體的疾病,臨床上是以肢體共濟失調和構音障礙為主要特徵。獲得型小腦變性後天的中毒性和代謝性原因引起的小腦變性和共濟失調。酒中毒性小腦變性是嗜酒者常見的小腦變性發病率約為Wernicke腦病的2倍臨床特點為步態不穩步距增寬。CT和MRI研究表明慢性酒中毒病人幾乎都有小腦萎縮小腦蚓部上端萎縮較重蚓部上端血流量減少和糖代謝率下降明顯。
流行病學
日本酒依賴者占全國人口的16.9‰,美國35%的急診10%的門診病人與酒中毒有關Robins等(1984)美國城市流行病學調查發現,人群酒精濫用和酒依賴終生平均患病率為13.6%,有1300萬人酗酒成癮。屍檢發現27%的酒依賴病人有小腦變性。
中國內尚未查到全面的發病率統計學資料。1990年全國10城市科技人員行政幹部和輕重體力勞動工人的流行病學調查酒依賴的患病率達37.27‰,男性高達57.87‰,女性為0.19‰,中國10城市流行病學調查慢性酒中毒的終生患病率為3.7%,應引起足夠的重視。
病發原因
酒中毒性小腦變性ACD的發病機制不清,ACD與Wernicke腦病有同樣的步態失調兩者小腦病變相同,有文獻認為ACD的病因為硫胺缺乏但套用維生素B1治療共濟失調未見好轉,ACD小腦功能障礙的程度與多發性神經炎亦無關。
主要病理改變為小腦皮質神經元(尤其Purkinje細胞)變性,小腦蚓部前上部明顯嚴重者累及小腦前葉前部,樹突分支減少。
酒精性維體外系病變有學者報告,酒依賴者,年齡>50歲以上,有可能發生黑質,紋狀體變性,萎縮,細胞凋亡。出現行動遲緩,動作減少,四肢震顫,肌張力增高、慌張步態,症狀大多數在戒酒後出現,稱為繼發性帕金森病,用左鏇多巴及其複合劑美多巴、息寧,效果不明顯。
酒精性震顫慢性酒精中毒也可表現單純性震顫,尤其手和舌部震顫明顯,四肢相對較輕,肌張力不高。但必須與其他原因引起震顫相鑑別,對酒依賴者,飲小量酒,症狀可以減輕。而肝豆核變性(wilson病),帕金森病,OPCA(橄欖體橋小腦萎縮)引起震顫,用酒後其症狀反而加重。
酒相關多發性神經病有學者報導慢性酒中毒35%~40%伴發周圍神經病,主要是B族維生素缺乏引起的,患者表現為四肢麻木,熾熱感,呈現對稱性發展,從遠端向近端的麻木。嚴重者除四肢淺感覺障礙外,運動覺、位置覺等深感覺也可減退,足背反射消失,同時顱神經也可受累。主要是神經細胞軸突變性,導致末梢神經腦脫髓鞘病變,伴周圍神經纖維缺失所引起的。
病發症狀
酒中毒性小腦變性併發症:酒中毒性小腦變性可合併多發性神經病、糙皮病和大腦萎縮等而濫用酒精對人體其他系統也有很大的損害作用,現已證實酒精中毒可引起消化道炎症肝腎功能損害、嚴重心律失常充血性心力衰竭、心臟附壁血栓形成心肌病、心肌梗死高血壓以及血小板數增多凝集功能增加和纖維蛋白自發性溶解時間延長等。
診斷:根據慢性酒中毒的病史典型的小腦共濟失調的症狀體徵CT或MRI發現小腦蚓部上端萎縮排除其他原因的小腦萎縮和小腦變性家族史,診斷即可成立。
鑑別診斷:本病的病理及臨床表現易與Wernicke腦病混淆小腦症狀伴眼外肌麻痹和記憶障礙通常提示Wernicke腦病,酒中毒性小腦變性只表現為小腦症狀。
檢查方式
實驗室檢查:1.血尿酒精濃度勱的測定有診斷及中毒程度評估意義;2.其他血液檢查包括血生化肝功、腎功、出凝血功能及免疫球蛋白等。
其它輔助檢查:1.心電圖、腦電圖腦CT或MRI檢查有鑑別診斷及中毒程度評估意義;2.肌電圖和神經電生理檢查有鑑別診斷意義。
病發案例
酒中毒性小腦變性令醫生和護士惱火和無奈的是,劉某是重度酒精依賴者,極不配合治療,常常是進醫院沒兩天便因癮頭難忍而擅自溜出去喝酒。據其家屬說,劉某嗜酒40多年了,一天可以不吃飯但酒不能少。一般每天喝兩斤黃酒,逢年過節更是增量,每每醉得不知東南西北。
酒精殺手
酒中毒性小腦變性乙醇對人體的危害很大,進入人體的乙醇由於不能被消化吸收,會隨著血液進入大腦。在大腦中,乙醇會破壞神經原細胞膜,並會不加區別地同許多神經原受體結合。酒精會削弱中樞神經系統,並通過激活一直性神經原(伽馬氨基丁酸)和一直激活性神經原(谷氨酸鹽、尼古丁)造成大腦活動遲緩。伽馬氨基丁酸神經原的紊亂和體內的阿片物質(抗焦慮、抗病痛)的分泌會導致多巴胺的急劇分泌。體內阿片物質同時還與多巴胺分泌的自動調節有關。究竟會對記憶,決斷和身體反射產生影響,並能導致酒醉和昏睡,有時還會出現噁心。飲酒過量可導致酒精中毒性昏迷。
世界衛生組織提出酒精依賴綜合徵的概念及以下諸特徵(1977):不可克制的飲酒衝動,有每日定時飲酒的模式,對飲酒需要超過其它一切活動,對酒精耐受性的增高,反覆出現戒斷症狀,只有繼續飲酒才可能消除戒斷症狀,戒斷後常可舊癮重染。在臨床表現方面,最常見的早期症狀為四肢與軀幹的急性震顫,患者不能靜坐或穩定地握杯,易激動和驚跳,害怕面向他人,常見噁心、嘔吐和出汗。若給飲酒,上述症狀迅速消逝,否則會持續數天之久。進一步發展,可有短暫錯覺幻覺,視物變形,發音不清或狂叫,隨後可出現癲癇發作。48小時後可產生震顫譫妄。
治療預防
酒中毒性小腦變性要達到長期戒酒目的。主要需了解病人形成酒精依賴的心理社會因素,因人制宜地採取措施,使病人樹立戒酒的信心和決心。戒酒時應對其慢性中毒症狀作對症處理。飲酒時做到“飲酒而不醉”的良好習慣,切勿以酒當藥,以解煩愁、寂寞、沮喪和工作壓力等,飲酒時不應打亂飲食規律,切不可“以酒當飯”,以免造成營養不良。一旦成癮,應迅速戒酒,對戒斷綜合徵應細心照料,重者必須入院治療;可套用抗飲酒藥物,如戒酒硫和痢特靈以中止飲酒,對酒產生厭惡感;也可在飲酒時套用阿撲嗎啡皮下注射,造成厭惡性條件反射而戒酒。在酒精中毒性精神病患者戒酒及症狀明顯好轉之後,應幫助他們解決人際關係問題,並使他們取得社會性康復。
酒精性腦萎縮常引起營養障礙,主要是由於酒精進入體內首先刺激胃黏膜,對其造成損傷並引起營養物質的吸收障礙及維生素的缺乏而出現慢性胃炎及營養不良,當患者以酒代餐甚至連續多日不進食時導致營養不良,硫胺攝入不足和吸收不良等,從而引起腦代謝障礙,甚者出現急性韋尼克氏腦病發作,本研究也證實了這一點。故患者發病後應及時到醫院治療,並保證營養供給,可減少酒精性腦病的發生。
