疾病簡介
由於面肌痙攣的初期症狀為眼瞼跳動,民間又有“左眼跳財,右眼跳災”之稱,所以一般不會引起人們的重視,經過一段時間發展成為面肌痙攣,連動到嘴角,嚴重的連帶頸部。成都萬年醫院表示:面肌痙攣可以分為兩種,一種是原發性面肌痙攣,一種是繼發性面肌痙攣,即面癱後遺症產生的面肌痙攣。兩種類型可以從症狀上區分出來。原髮型的面肌痙攣,在靜止狀態下也可發生,痙攣數分鐘後緩解,不受控制;面癱後遺症產生的面肌痙攣,只在做眨眼、抬眉等動作產生。
疾病病因
血管因素
1875年Schulitze等報導了一例HFS病人行屍檢時發現其面神經部位存在有“ 櫻桃”大小的基底動脈瘤。目前已知大約有80%~90%的HFS是由於面神經出腦幹區存在血管壓迫所致。臨床資料表明:在導致HFS的血管因素中以小腦前下動脈(AICA)及小腦後下動脈(PICA)為主,而小腦上動脈SCA)較少見。SCA發自於基底動脈與大腦後動脈交界處,走行較為恆定,而PICA和AICA則相對變異較大,因而易形成血管襻或異位壓迫到面神經;另外迷路上動脈及其他變異的大動脈如椎動脈、基底動脈亦可能對面神經形成壓迫導致HFS。以往認為:HFS是由於動脈的搏動性壓迫所致,近幾年研究表明:單一靜脈血管壓迫面神經時亦可導致HFS,且上述血管可兩者同時對面神經形成壓迫,這在一定程度上影響到HFS手術的預後。
非血管因素
橋腦小腦角(CPA)的非血管占位性病變,如肉芽腫、腫瘤和囊腫等因素亦可產生HFS。其原因可能是由於:①占位導致正常血管移位。Singh等報導了一例CPA表皮樣囊腫使AICA移位壓迫到面神經導致HFS;②占位對面神經的直接壓迫;③占位本身異常血管的影響如動靜脈畸形、腦膜瘤、動脈瘤等。另外後顱窩的一些占位性病變也可導致HFS。如罕見的中間神經的雪旺氏細胞瘤壓迫面神經導致的HFS。Hirano報導一例小腦血腫的患者其首發症狀為HFS。在年輕患者中,局部的蛛網膜增厚可能是產生HFS的主要原因之一,而一些先天性疾病如Arnold-Chiari畸形及先天性蛛網膜囊腫偶可發生HFS。
其他因素
面神經的出腦幹區存在壓迫因素是HFS產生的主要原因,且大多數學者在進行橋腦小腦角手術時觀察到:面神經出腦幹區以外區域存在血管壓迫並不產生HFS。而Kuroki等在動物模型中觀察到:面神經出腦幹區以外區域的面神經脫髓鞘病變,其肌電圖可表現為類似 HFS的改變。Mar-tinelli也報導了一例面神經周圍支損傷後可出現HFS。關於面神經出腦幹區以外的部位存在壓迫因素是否導致HFS,尚需進一步的探討。
遺傳因素
此外,HFS也可見於一些全身性疾病如多發性硬化。家族性HFS迄今僅有幾例報導,其機理尚不明了,推測可能與遺傳有關。
臨床表現
原發性面肌痙攣多數在中年以後發病,女性較多。病程初期多為一側眼輪匝肌陣發性不自主的抽搐,逐漸緩慢擴展至一側面部的其他面肌,口角肌肉的抽搐最易為人注意,嚴重者甚至可累及同側的頸闊肌,但額肌較少累及。抽搐的程度輕重不等,為陣發性、快速、不規律的抽搐。初起抽搐較輕,持續僅幾秒,以後逐漸處長可灰數分鐘或更長,而間歇時間逐漸縮短,抽搐逐漸頻繁加重。嚴重者呈強直性,致同側眼不能睜開,口角向同側歪斜,無法說話,常因疲倦、精神緊張、自主運動而加劇,但不能自行模仿或控制其發作。一次抽搐短則數秒,長至十餘分鐘,間歇期長短不定,病人感到心煩意亂,無法工作或學習,嚴重影響著病人的身心健康。入眠後多數抽搐停止。雙側面肌痙攣者甚少見。若有,往往是兩側先後起病,多一側抽搐停止後,另一側再發作,而且抽搐一側輕另一側輕重,雙側同時發病、同時抽搐者未見報導。少數病人於抽搐時伴有面部輕度疼痛,個別病例可伴有同側頭痛、耳鳴。
按Cohen等制定的痙攣強度分級。
0級:無痙攣;
1級:外部刺激引起瞬目增多或面肌輕度顫動;
2級:眼瞼、面肌自發輕微顫動,無功能障礙;
3級:痙攣明顯,有輕微功能障礙;
4級:嚴重痙攣和功能障礙,如病人因不能持續睜眼而無法看書,獨自行走困難。神經系統檢查除面部肌肉陣發性的抽搐外,無其他陽性體徵。少數病人於病程晚期可伴有患側面肌輕度癱瘓。
疾病檢查
應常規進行腦電圖,肌電圖檢查,必要時還應進行乳突,顱骨X線攝片,頭顱CT及MRI檢查,以排除乳突及顱骨疾患。
鑑別診斷
1.面癱後遺症面肌抽搐
以往有明顯的面癱史,由於面癱恢復不全發生軸索再生錯亂所致,患側多遺留不同程度的面肌無力和麻痹現象。
2.特發性瞼痙攣
為雙側眼瞼肌痙攣,常伴有精神障礙,肌電圖顯示面肌不同步放電,頻率正常,可能系錐體系統功能紊亂所致。
3.面肌顫搐
為面肌個別肌束細微的顫動,常侵入周圍眼瞼肌肉,多限於一側,可自行緩解,可能是侵犯腦幹,顱神經的良性病變所致。
4.習慣性痙攣
為小型痙攣,面肌無目的刻板性或反覆跳動,多見於一側,多在童年期發病。
5.中腦和錐體系統病變引起的手足徐動和舞蹈病。
疾病治療
1.藥物治療
除苯妥英鈉或卡馬西平等藥對一些輕型患者可能有效外,一般中樞鎮靜藥、抑制劑和激素等均無顯著療效。過去常用普魯卡因、無水酒精或5%酚甘油等做莖乳孔處注射,以造成一時性神經纖維壞死變性,減少異常興奮的傳導,一次注射量為0.3~0.5ml,以達以出現輕度面癱為度。劑量過大將產生永久性面癱,劑量過少3~5個月後仍要復發。現已很少採用。
2.手術療法
(1)面神經乾壓榨和分支切斷術在局麻下,於莖乳孔下切口,找出神經主幹,用血管鉗壓榨神經乾,壓榨力量應適當控制,輕則將於短期內復發,重則遺留永久性面癱。如將遠側分支找出,在電刺激下找出主要產生痙攣的責任神經支,進行選擇性切斷,效果雖較壓榨術好,但術後仍要發生輕度面癱,1~2年後亦有復發。
(2)面神經減壓術即將面神經出顱之骨管磨開減壓,系1953年首先由Proud所採用。在局麻下鑿開乳突,用電鑽將面神經的水平垂直段骨管完全磨去,縱行切開神經鞘膜,使神經纖維得以減壓。
(3)面神經鋼絲絞扎術用直徑1mm鋼絲將面神經乾絞扎,做永久性壓榨,絞扎程度可以隨意調整,方法簡便可靠,適用於年老體弱、不宜進行開顱探查者,更適用於一般基層醫療單位。局麻,於耳垂後下,沿下頜角做弧形切口,分離腮腺後緣,找出面神經主幹,取不鏽鋼絲貫穿於乳突前方骨衣上,扭緊固定以作為支點,然後繞穿神經乾絞扎之,一面絞扎一面觀察面肌活動,直到痙攣停止而呈輕度面癱為止。一般以眼裂閉不上達1~2mm為宜。鋼絲留置切口外,暫不剪斷,俟次晨觀察痙攣有無復發,再做最後一次壓力調整,剪去多餘的鋼絲,埋入皮下。術後如有復發,可打開切口,找出鋼絲尾段現進行絞扎。如長期面癱不恢復,亦可進行鋼絲松解。本法的缺點是術後肯定要有3~6個月的面癱,復發率較高,達30%。
(4)顱內顯微血管減壓術Jannetta於1966年倡用,是目前國際上神經外科常用的方法。全麻,採用枕下或乙狀竇後徑路,切除枕骨做3×4cm骨窗,切開腦膜,進入橋小腦角,找出Ⅶ、Ⅷ顱神經,如發現有占位性病變或蛛網膜粘連即進行切除和分解,如有壓迫性血管,可在顯微鏡下利用顯微器械給以分離開,如果分不開,可用Silicone或Teflon片隔墊開,亦可用肌肉片填塞在血管與神經之間。這些血管多是小腦前下動脈絆,是腦幹的主要供血者,手術中如有損傷出血或誘發血管痙攣或血栓形成,都將引起腦幹缺血水腫,造成嚴重不良後果。即使內聽動脈痙攣或血栓形成,也可致全聾。臨床上觀察到,1/3的病人動脈穿行在Ⅶ、Ⅷ神經之間,或絆頂有內聽動脈支進入內聽道,進行血管減壓術操作都會遇到困難,或者根本不可能進行分離和墊隔,還有不少病人查不到可壓迫的血管,因此血管減壓術也無法套用。為此,作者設計出一套新的手術方法,叫顱內段面神經乾梳理術,取得滿意效果。
(5)顱內面神經乾梳理術(神經縱行劈裂術) 按血管減壓術操作,進入橋小腦角,找到Ⅶ、Ⅷ顱神經,游離出面神經乾,於腦幹根部與內聽道口之間,用纖刀順其長軸進行多層次劈開,按痙攣的程度確定劈開的層次,一般劈開10~20次,多者可劈開數十次,將原來壓迫的血管梳理後,恢復原位。經2~5年隨訪,手術有效率可提高到98%以上,而復發率減低到6%。本法主要優點是適應證比血管減壓術廣,復發率少而治癒率高,特別是減少了耳聾併發症,現已取代了血管減壓術。其所以有效,可能是神經纖維梳理後,破壞了神經根區的異常電位蓄積,阻止了異常衝動的電位發放。
護理
術前護理
1)術前準備除神經外科術前常規準備外,還需做好電測聽、核磁血管造影(MRA)等檢查,認真評估面肌痙攣發生的頻率、強度和持續時間,為術後的護理觀察提供對比。
2)心理護理: HFS雖無生命危險,但不自主的面容嚴重妨礙患者的社交生活和心理健康,甚至對一些年輕患者的婚姻、就業等帶來不利影響。加上病程遷延,輾轉求醫,經受了反覆的藥物治療甚至肉毒素注射治療,使部分患者長期處於精神高度緊張和情緒煩躁狀態,對手術效果存在疑慮,渴望訴說、被理解和關心。因此,患者入院後,我們在詳細了解病史的同時耐心聽取其傾訴,對患者所述痛苦及因疾病所引起的生活不順心給予理解、同情和安慰,並引導其宣洩。同時詳細解釋手術目的、方法、效果以及術後注意事項,使患者增強信心,處於治療的最佳狀態。
術後護理
1)一般護理:術後24h去枕平臥,密切觀察有無活動性出血以及生命體徵、瞳孔、肢體活動語言的改變,術後護士要詳細了解術中的情況,做到心中有數,有異常及時報告醫生,給予相應處理。術後24h持續低流量吸氧,以預防切口周圍腦組織水腫。注意有無腦幹受損的症狀,觀察有無劇烈頭痛、頻繁嘔吐、脈搏緩慢、血壓升高等顱內壓增高症狀,警惕顱內繼發性出血的發生。術後24h禁食水,之後由流食過渡為易消化、高熱量、高維生素、高蛋白飲食。若出現短暫性面目麻木,食物不宜過硬、過冷或過熱,以免損傷口腔黏膜。
2)手術後療效的觀察患者清醒後,及時評估面肌痙攣的頻率、強度及持續時間,並記錄面肌痙攣停止抽搐的時間。面肌痙攣嚴重的患者,術後即可見到患側眼裂較術前增大,此乃病因解除後原先緊張的面肌鬆弛所致,而非面神經損傷所致,是手術成功的第一徵兆。但術後即刻無效並不意味著治療無效。MVD術雖然解除了血管壓迫,但面神經根髓鞘的再生修復和面神經運動核興奮性趨於平穩需要一段時間來完成,術後療效的觀察應持續隨訪6個月以上。
微血管減壓術治療面肌痙攣
微血管減壓術治療面肌痙攣手術圖解
面肌痙攣表現為半側面部陣發性、不規則、不自主抽搐,程度輕重不等,嚴重者每日抽搐不計其數,甚至出現面部萎縮,瞼裂變小,嚴重影響患者的工作、學習及自尊。
微血管減壓術是醫學界公認的根治面肌痙攣的方法,該手術技術成熟,操作簡單,風險較小,效果很好且立竿見影。為便於沒有醫學背景的患者及其家屬理解什麼是面肌痙攣微血管減壓術,特以我們的一個病例進行圖示說明手術過程。
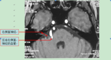
核磁顯示右側面神經在出腦幹處被一血管壓迫
微血管減壓術的切口
顯微鏡下將右側面神經根部抬起
將特製的不可吸收“Tefflon棉”永久性植入
