簡介
小腦萎縮症病因病理
西醫病因病理
本病病因不明,但大多有家族遺傳傾向,20歲以前起病者多為常染色體隱性遺傳,而20歲以後起病者則多為常染色體顯性遺傳。國內外眾多學者經過長期研究,將Friedreich共濟失調缺陷基因定位於9q13~q21,將OPCA遺傳基因定位於6p24~p23之間。同時發現與病毒感染、免疫缺陷、生化酶缺乏及。DNA修復功能異常等諸多因素有關,但其確切病因尚不十分清楚。病理方面,其表現多種多樣,常見的有神經細胞的萎縮、變性,髓鞘的脫失,膠質細胞輕度增生,從而出現小腦半球及蚓部、小腦中下腳廣泛變性,浦肯野細胞消失;脊髓後柱及克拉克柱的神經細胞萎縮或消失,繼髮膠質細胞增生,後根與脊神經節變性、髓鞘脫失,尤其在腰、骶段脊髓更為明顯。亦可見到大腦皮質、基底核、丘腦、橋腦基底核等腦幹部分核團的變性。
這種疾病有可能是因為染色體上核苷酸CAG異常大量重複,且由於CAG重複序列多存在於外顯子(exon)上,因此在其基因表現的蛋白質中便存在長鏈的麩胺酸(Glutamine),此種異狀的蛋白質會導致細胞衰亡。依CAG重複所位的染色體又可細分為不同型的小腦萎縮症。SCA3占在台灣人中所有顯性脊髓小腦萎縮症的45%
在台灣主要針對小腦萎縮症第一型、第二型、第三型、第六型、第七型和DEPLA型,利用PCR的分子生物技術進行作篩檢。(以下數據為華人族群的統計數據)
SCA1:第6對染色體6p23,正常人CAG重複6-36,患者39-83
SCA2:第12對染色體(12q24.1);正常人CAG重複16-30,患者34-49
SCA3(MJD):第14對染色體14q21;正常人CAG重複13-44,患者63-85
SCA6:第19對染色體19p13.1-13.2,正常人CAG重複4-16,患者21-27
SCA7:第3對染色體3p21.1-p12,正常人CAG重複7-35,患者37-130
DEPLA:第12對染色體(12p13),正常人CAG重複6-35,患者49-88
如家族中有這類病史,家族成員懷孕時,應做胎兒絨毛(12-16周)或羊水(16周以上)檢查,可分析SCA基因之CAG重複次數。
中醫病因病理
中醫學認為本組證候屬於先天稟賦不足,腎元虧虛或疾病遷延日久,氣血不足,腦髓不充,筋脈失養所致;或因情志失調,氣機不暢,氣滯血瘀致使五臟功能失調使然。其中以腎元虧虛為本。因為腎受五臟六腑之精而藏之,且生髓並上注於腦,使髓海充養,髓海有餘,則輕勁多力,自過其度。髓海不足,則腦轉耳鳴,脛酸眩冒,目無所見,懈怠安臥。即腎精虧虛可出現頭暈耳鳴眼花,四肢乏力,精神疲憊,走路不穩,甚則臥床不起。此外,本病與肝、脾二髒功能失調,亦有著十分密切的關係。腎藏精主骨,肝藏血主筋,肝腎兩虧,骨無所主,筋脈無所榮養,則足痿脈攣。腎元不足,腎陽虛損,封藏失職,亦可致脾氣虛弱,故見腰膝酸軟,陽痿遺精,月經量少或閉經,耳鳴耳聾,精神委靡,神疲乏力,少氣懶言,動則益甚,面色蒼白,便溏納呆,小便頻數,餘瀝不盡,脈虛沉遲。亦可見陰虛火旺,虛陽外越之候。《內經》云:“腎者作強之官,伎巧出焉”。只有腎臟作強功能正常,人體動作方能協調自如。雖然本組證候殃及肝、脾、腎諸髒,但以腎虛為其根本。腎元虛衰,不能上充髓海,作強無權,伎巧不出,故而動作笨拙,步履蹣跚;腎虛而精血不足,不能制約亢陽,陰虧於下,陽浮於上,虛風內生,而致肢體顫振,軀體搖晃;腦失所養,故思維遲鈍,表情呆板,智慧型低下,精神委靡。
病徵
一連串的遺傳病病徵,以漸進性的步伐不協調為主,伴隨手部動作、言語、眼部活動等失調。小腦通常會萎縮。這類患者發病後,行走的動作搖搖晃晃,有如企鵝,因此被稱為企鵝家族。
與其他運動失調症一樣,本症亦是因為無法精細協調肌肉運動,而導致身體運動困難和其他連帶症狀。
本症可分為幾類,每類的症狀略有不同,各病患之間亦有不同。一般而言,患者的心智慧型力不受影響,但身體漸失控制。
運動失調症狀
步行障礙:步行時出現搖晃。到後期會變成步行困難。
四肢失調:四肢不能依照自己的意思活動。不能好好地使用筷子。寫的字會變得混亂。
語言障礙:說話時發音變得不清楚。聲音的韻律和大小變得混亂,說話的意思變得不明了。
眼球振動:在身體姿態及視線方向不變的情況下,眼球出現輕微搖曳。
姿勢反射失調:不能很好地保持姿勢,身體會左右傾斜。
※上述是由於小腦的神經細胞被破壞而發生的症狀。
顫動:不受自己本身意識控制,雙手出現不隨意的震動。
筋固縮:筋肌及關節出現僵硬現象。
巴賓斯反射(BabinskiReflex):雙足的大拇指出現向腳背方向彎曲現象。
※上述是由於脊髓的神經細胞被破壞而發生的症狀。
自律神經症狀
起立性低血壓:急速起立會出現暈眩。
睡眠時無呼吸:睡覺的時候呼吸停止。
出汗障礙
尿失禁
※上述是由於自律神經的神經細胞被破壞而發生的症狀。
不隨意運動障礙
Myoclonus:急速的肌肉痙攣。
舞蹈運動:身體出現像在跳舞一樣的動作。
Dystonia:由於身體的肌肉不隨意地持續收縮,造成肌肉產生變形,而無法依照自身的意思活動。
診斷
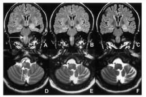
小腦萎縮症確診方法之一,是利用核磁共振成像(MRI)掃瞄腦部,可以見到病變進行中的小腦萎縮。最精確的診斷法,就是DNA分析,可以分辨本症的不同類型。不是所有類型的脊髓小腦萎縮症都會遺傳,所以患者的子女可以接受DNA檢查,以便得悉他們會否有發病的危險。
本症與“橄欖核橋腦小腦萎縮症”(olivopontocerebellaratrophy,OPCA)有關,SCA第1,2,7型同時屬於OPCA。不過並非所有OPCA都屬於脊髓小腦萎縮症,反之亦然。這點很容易令人混淆。
治療及預後
現代醫學對本疾病仍無有效治療方法,只能舒緩症狀及減緩惡化的進行,症狀是不能逆轉的,患者會由不能好好地使用筷子、容易跌倒、無法拿取物品等症狀開始,隨著病情惡化,逐漸變得不能行走和不能執筆書寫,最終進展至不能說話及需要臥床,日常生活都必須由他人照顧,最惡劣的情況下患者更會以死亡告終。然而即使小腦、腦幹、脊髓萎縮,大腦正常的機能與及智力均完全不受影響。換言之,患者能清楚認知到身體逐漸變得不能活動的事實。就意義上來說,這是一種非常殘酷的疾病。
病發和持續的時間變化範圍相當大。若是由染色體上三核苷酸CAG異常大量重複產生長鏈谷胺醯胺而致病的類型,越長的CAG重複會導致越早發病、病情轉壞得越快、死亡亦越早。
治療原則
1.早期發現、早期治療,容易取得較好的療效。2.促進正常發育、抑制和改善異常運動和姿勢。3.綜合治療:利用各種有效的手段對患者進行全面、多樣化的綜合治療、除針對運動障礙進行治療外,對合併的語言障礙、智力低下,行為異常、癲癇也要進行治療。4.家庭訓練和醫生指導相結合。5.針對病因,辨證辨病、標本同治、調節五臟六腑、營養腦細胞、促進腦組織發育。
治療方法
針灸推拿主要是依據患者的臨床表現,結合中醫辨證理論,進行中醫臨床分型,一般將腦萎縮分為腎精不足型、氣血虧虛型、痰蒙腦竅型、瘀阻腦絡型四型。然後依據臨床分型,再選擇穴位和治法,確立治療方案。
(1)針灸
針灸是通過在選定的穴位進行針刺或艾灸,同時根據中醫辨證施治理論採用恰當的補瀉手法,以達到調節患者的機體的陰陽平衡,疏通經絡,開通腦竅,促進腦萎縮患者康復的目的。
1、腎精不足型以補益腎氣、益精填髓為主要治法。
針灸選穴:主穴--百會(或四神聰)、太溪、命門、腎俞
配穴--關元、脾俞、復溜、陰陵泉
針刺方法:百會平刺,勿提插,多捻針、留針;關元可用灸補法;余穴均用補法。
2、氣血虧虛型以補益氣血、養血健腦為主要治法。
針灸選穴:主穴--足三里、三陰交、血海、脾俞
配穴--腎俞、胃俞、關元
針刺方法:關元可用灸法或溫針灸,余穴以補法為主。
3、痰蒙腦竅型以健脾化痰、益腦開竅為主要治法。
針灸選穴:主穴--豐隆、脾俞、神門
配穴--曲池、百會、陰陵泉、風池
針刺方法:脾俞用補法;百會只捻轉,不提插;其餘穴位用瀉法。
4、瘀阻腦絡型以活血化瘀、通絡開竅為主要治法。
針灸選穴:主穴--風池、太沖、血海
配穴--百會、神門、足三里、三陰交
針刺方法:神門、足三里、三陰交用補法;百會只捻轉,不提插;其餘穴位用瀉法。
上述針灸選穴是臨床選穴的基本指導原則,在實際施治過程中,可根據患者的臨床表現,堅持中醫的整體觀念和辨證論治的原則,靈活選用,以達最佳治療效果。另外,可根據患者的臨床症狀選用頭針治療,如有運動功能障礙的選用運動區;共濟失調者可選用平衡區;語言障礙者可根據語言障礙的類型分選語言區(語言Ⅰ區、語言Ⅱ區、語言Ⅲ區);有感覺障礙者,可根據感覺障礙的部位選擇相對應的頭針感覺區;有震顫者,還可選用舞蹈震顫區。當然還可運用時間針灸,定時開穴施治,採用子午流注和靈龜八法定時開穴進行針灸將可在選穴少的情況下,取得較為突出的療效。針灸治療,每天1次,每周治療6次,休息1天,病人身體有其他發熱、感染、血液病、軟組織損傷等不宜針灸者可暫停針灸。
(2)推拿
推拿的主要作用是通過對肢體或穴位和按摩,達到疏通經絡,活血化瘀的作用,從而使腦萎縮的肢體功能和其他功能的障礙得以恢復。
對於腦萎縮的患者來說,如果沒有肢體功能障礙,推拿部位則以頭面部為主。頭面部採用的推拿施治手法主要有:開天門,推坎宮,分推額陰陽,揉運太陽,雙揪鈴鐺,分推面頰,掐人中,點揉神庭、百會、前頂、後頂、腦空、腦戶、風池等穴,五指拿頭頂,三指拿頸項,掃散法,乾洗頭等。
若患者伴有肢體功能障礙,則同時要求做肢體推拿,上肢的推拿手法主要有拿上肢、滾上肢內外側面,點揉曲池、手三里、內關、外關等穴,搖上肢肩、肘、腕、指關節,捻指,拔伸手指,搓上肢,抖上肢等;下肢的推拿手法主要有滾下肢內外側面,拿下肢,點揉血海、足三里、陽陵泉、三陰交、太沖等穴,拔伸下肢,搖下肢髖、膝、踝關節,抖下肢等。腰背部可選用滾法,擦法,拍法,點揉背俞穴、華佗夾脊穴等手法。另外,對於小兒患者還可採用捏脊,推上三關,退下六腑,根據症候的虛實,選用脾經、腎經、心經、肝經、肺經的補瀉手法進行對證施治。
推拿手法每天治療1次,每次30分鐘,每周治療6次,休息1天,由推拿醫師直接給患者操作。注意有骨質關節結核、骨髓炎症、按摩部位局部皮膚破損、妊娠期、出血性疾病、急性傳染病及膿毒血症等推拿禁忌症者禁用推拿手法。
(3)作業治療
作業治療主要是加強手的精細、協調、控制能力的練習,激發病人興趣,增加關節活動範圍,改善手功能,提高日常生活活動能力,以適應今後的日常生活和繼續就業的需要。其方法多種多樣,治療時,作業治療師將根據每位患者的不同臨床表現,選擇合適的治療方案。如對小腦萎縮的病人出現的共濟失調症狀可以讓患者在睜眼和閉眼時用手指鼻,由慢到快,由睜眼到閉眼,反覆不斷的練習,還可進行兩手互相對指、鼓掌、畫圖寫字、搭積木、翻紙牌等協調功能訓練活動。另外,捏橡皮泥、做實物模型、編織等作業都是訓練手的功能和增加關節活動範圍的作業療法。本療法主要適用於有寫字、穿衣、震顫等肢體精細動作障礙的患者。
作業治療由治療技師一對一進行訓練,在治療前,由治療師根據每位患者的具體情況,制定相應的符合該患者的治療方案。每天治療1次,每周治療6天,休息1天。同時在治療之餘,作業治療師還將指導患者家屬在平時幫助患者訓練,如學習如何進行日常生活的處理,學習梳頭、洗臉、穿衣、扣紐扣、穿鞋襪、繫鞋帶、進食,還要練習做家務如洗菜、做飯等。
(4)體外反搏
體外反搏療法是運用於腦萎縮治療的方法,即在病人的四肢和臂部分別裹上氣囊袋後,借管道與反搏器配氣機構相連,依據病人心電作為觸發信號,當心室舒張期開始,氣囊充氣,壓迫肢體和臀部,迫使動脈血流向心臟方向倒流,提高主動脈的舒張壓,促使冠脈系統的側枝和吻合枝開放,從而改善了心肌的血液供應。在心室收縮期,主動脈瓣開放前,氣囊迅速放氣,解除壓迫,使心室內血液順利排出,每個心動周期充放氣各一次,如此反覆。在心室的舒張期,血液倒流回心臟,回心血量增加,在心臟收縮期,心室收縮,心臟射血量增加,使心腦動脈的血流量增加,並加以吸氧體外反博,增加了單位面積內血氧含(流)量,從而營養腦細胞、心肌細胞,改善心、腦的供血不足,促進腦細胞代謝,達到治療腦萎縮的目的。
體外反搏治療,由體外反搏治療技師親自操作,每日1次,每次60分鐘,每周治療6次,休息1天。有體外反搏禁忌症的患者,則禁用之。
(5)理療
ZDL-401型經絡導平儀ZDL-401型經絡導平儀是根據中醫的經絡和陰陽學說,結合現代生物電子運動平衡理論,以超高電壓、超低頻率的單向大功率脈衝波直接作用於人體的病理經絡,在人體內形成強電流迴路,促使機體內病理經絡的導電量(即生物電子運動情況)由不平衡向平衡轉化,激活生物電子,恢復經絡和神經傳導,從而使患者運動模式發生改變,最終使病員恢復肢體運動功能。經絡導平儀中的各種感覺性刺激可增加有關腦皮層、皮層下灰質結構的腦血流量,同時腦局部病灶產生電位活動,使處於抑制或半抑制、麻痹或半麻痹狀態的腦組織復活,從而促進大腦功能的恢復。另外還有電水浴療法,主要是運用正極水平衡療法以增強肌力從而達到改善患者平衡的功能。
CZT-8A電腦超聲·中頻治療機具有電腦中頻和電腦超聲的多種功能變換,可以實現超音波療法,超聲中頻同步疊加療法,音頻,直流電離子導入,低頻調製中頻超強度穴位刺激等十幾種物理療法,一切由電腦程式化自動控制。具有十組電腦預置儲存程式處方和五組變換調節鍵,可以根據要求換出幾百種以上不同頻率和波形的治療處方(強度可變)。可實現中頻和超聲治療領域的正弦波、方波、三角波、鋸齒波、梯形波、尖鋒波、隨意波等多種波形的等調、連調、間調、斷調、變調、交調、不飽和調等功能,臨床套用於腦萎縮療效較好。
(以上均由理療治療技師根據患者具體病情,選定最佳穴位,制定優選治療方案,進行施治。每次治療30分鐘,每周治療6次,休息1天。)
康復
(1)運動功能康復
對腦萎縮患者的功能康復,有平衡功能障礙和步態異常者最重要的是平衡訓練和步態訓練,另外還有關節活動範圍的訓練、增強肌力訓練等等,重點介紹平衡訓練和步態訓練:
平衡功能的訓練在腦萎縮患者的康復治療中十分重要,這些患者由於平衡障礙,影響了許多日常功能活動的進行,因此平衡的康復訓練對於有平衡障礙的患者顯得尤為重要,通常把訓練分為以下四步:①坐位平衡訓練:先讓患者體會坐位的感覺或用鏡子矯正坐位的姿勢,然後訓練從有倚靠到無倚靠坐,由坐在靠椅上到做在凳子上;並學會在坐位上做前後左右改變重心的動作,加強患者承重練習及左右交替抬臀負重練習。以後練習在坐位下做上肢和軀幹的各種動作,並能在外界推力作用下保持坐位的動態平衡。②站立平衡練習:有些患者開始訓練站立平衡很難,可先藉助直立架體會站立的感覺,然後慢慢練習由依託到無依託站立。在站立位下要求觸摸不同物品,並可在平衡訓練器上練習重心向前後左右轉移,提高雙腿支撐負重能力及雙腿站立平衡能力。同時可在雙肩外側或骨盆兩側施加推力,訓練其動態平衡;站立的地面可從平到不平,還可讓患者在海面墊上站立,隨著平衡能力的改善,最後進展到站立位作頭、上肢、軀幹以至下肢的各種動作,在搖晃板上練習站立。③坐位起立平衡:練習從有依託到無依託下起立,注意站立時雙下肢要同時負重,讓患者反覆體會雙腿支撐坐站的感覺,可先在高凳上練習坐站,然後逐漸過渡到低凳坐站,在坐下時不要有跌落姿勢;④步行平衡練習:即在訓練步行中的穩定性,開始可在平衡槓內練習向前向後行走,或靠牆做向前向後移動,然後練習沿直線或在較窄的平衡木上行走,並練習在行走中突然止步、轉體、拐彎及跨越障礙。隨著步行能力的提高,可加快行走的速度,以提高平衡能力。
步態的訓練是在分析步態的基礎上,根據分析結果,針對異常步態的姿勢而採取相應的措施。步態的訓練是在坐位和立位平衡的基礎上進行的訓練。包括訓練前準備,平衡槓內訓練,室內行走訓練,活動平板上練習行走等訓練活動,以糾正患者的異常步態,幫助患者恢復走路姿勢的平衡。
因在運動康復訓練過程中,能量消耗多,容易疲勞,在訓練中要特別注意經常間斷休息,以防發生過度疲勞、肌力下降。另外,在訓練過程中要保護病人,不要摔倒,以防病人產生恐懼心理。
以上每一個步驟都由康復治療師一對一進行訓練,在治療前,由治療師根據每位患者的具體情況,制定相應的符合患者個體素質的治療方案。運動康復每天治療1次,每周治療6天,休息1天。
(2)語言康復
語言康復應在語言功能出現障礙後6個月以內的時期治療恢復為最佳,對發病2-3年開始治療的患者,其恢復程度要比早期治療恢復的速度緩慢的多。在治療語言功能障礙的過程中,要特別重視:①根據其聽力的保留情況套用合適的頻率,要重視休息時間;②應對抽象的和具體的語詞進行區別;③使用多種解釋,以改善其理解能力;④儘量鼓勵患者多說話;⑤利用上、下文暗示,以促使患者能說些什麼;⑥如何結合套用手勢和口語,以促進交流;⑦如何結合套用手勢和口語,以促進交流;⑧要允許患者有足夠時間來形成應答的內容和方式,而不忙於再刺激(即提問或重複)。
當然,若患者出現全身狀態不良或有意識障礙、重度痴呆、拒絕或缺乏訓練動機及要求者,均不宜進行語言治療;若患者有疲勞感、注意力不集中,則應給予休息;經過一段時間的系統治療後仍無進展者,應暫時中止治療。
語言康復的治療原則:①制定難易適度的治療方案,即將標準訂在患者開始感到困難的水平,在該水平不可能全對,也不可能全錯,病人只要加以思考或努力就可以改正。內容過易,缺乏治療意義;內容過難,常引起患者拒絕治療,另外在治療的同時,要多給患者鼓勵,少給糾正,以激起他對語言治療的興趣和信心。②堅持發音器官鍛鍊和說話相結合。加強舌體運動,可使舌的動作得到改善;通過聲帶震動可使聲帶得到鍛鍊;通過呼吸練習,使氣流得到調整;通過口腔運動可幫助舌的運動,以加強對氣流的調整等。這些均有利於言語恢復,說話練習也反過來強化發音器官的功能。③語言的治療有高度針對性,命名性失語治療重點放在對物品名稱命名的訓練上;對讀寫困難者重點練習複述詞句和書寫訓練上;對表達能力差者,多進行日常口語對話、手勢語、指物品名稱或哼調練習。④堅持“視、聽、說、寫”四者並重,堅持天天學,天天練,但也不宜安排過多,操之過急。過多過重的練習反使患者將語言訓練當作是負擔,不能取得患者的協作。⑤堅持多種形式鍛鍊,以提高患者興趣,訓練內容可有繞口令,又有講故事、提問,還可根據患者自身情況採取搶接、聯句等形式。⑥堅持醫院治療和家庭治療相結合的方式。⑦如有可能,還將安排集體訓練,集體訓練可引起相互促進、相互鼓勵,並能排除畏難情緒和怕說話的心理。
語言康復由語言治療師一對一進行訓練,在治療前,由治療師根據每位患者的具體情況,制定相應的符合患者現有語言能力的治療方案。語言康復每天治療1次,每周治療6天,休息1天。
遺傳
本症的遺傳可依據遺傳的形式和基因所在的染色體區分。本症可屬於常染色體顯性遺傳(autosomal dominant)、常染色體隱性遺傳(autosomal recessive)、或X連鎖遺傳(X-linked)
罹病名人
木藤亞也,日本人。著有《一升的眼淚》,被改編為電影、電視劇。
注意事項
小腦萎縮症症狀2、積極治療身體疾病,特別是積極預防和治療高血壓、糖尿病、肺心病等慢性疾病。在使用腦萎縮丸時,原用於治療高血壓、糖尿病、肺心病的藥物應繼續服用。
3、堅持看書、看報學習,增加興趣、愛好,有利於對腦力的鍛鍊,促進和改善大腦神經細胞的供血、供氧。
4、適當增加體育鍛鍊、增強機體的抵抗力,促進大腦神經細胞的新陳代謝。
5、保持良好的人際關係和家庭融洽。
6、禁食辛、辣、醃、熏類食物,平時應適當多吃些新鮮、含優質蛋白的食品、如乳類、肉類、蛋、魚蝦、蔬菜、水果、大豆及豆類製品等。
7、戒除煙、酒等不良嗜好。
8、如癱瘓臥床患者,家屬應加強護理,注意衛生、定期翻身、避免褥瘡發生。
9、患者要樹立戰勝疾病的信心,遵醫囑、按療程、按時間堅持用藥。
10、特別是小兒腦發育不良患者的家長,應耐心、細心地從多方面教導、啟蒙小孩才有利於康復。
長期吃素食易導致腦萎縮
科學家最新發現,吃素可能對大腦不利,那些不吃肉的人患腦萎縮的機率是吃肉的人的6倍。
英國牛津大學的科學家們使用記憶測試、體檢和大腦掃描等方法,檢測了61歲到87歲之間的107人。5年後,再次對這些志願者進行檢查後,科學家發現,維生素B12水平最低的人最可能患上腦萎縮。
而吃素的人最有可能出現維生素B12攝入不足,因為維生素B12的最佳來源是肉類。維生素B12缺乏還可能導致貧血和神經系統炎症。

