藥物名稱
頭孢拉宗鈉
分子結構式
C22H28N9NaO9S2
化學名稱
頭孢拉宗鈉結構式(6R,7S)-7-[[(2R,3S)-2-[(4-乙基-2,3-二氧代哌嗪-1-甲醯)氨基]-3-羥基丁醯]氨基]
-7-甲氧基-3-[(1-甲基四唑-5-基)硫甲基]-8-氧代-5-硫雜-1-氮雜雙環[4.2.0]辛-2-烯-2-甲酸鈉
英文別名
CefbuperazoneSodium、Keiperazon、Tomiporan
中文別名
頭孢拉宗鈉、頭孢布宗鈉、乙氧哌甲氧頭孢菌素鈉
適應症
頭孢拉宗鈉用於敏感菌所致的呼吸系統感染、尿路感染、肝膽感染、腹膜炎、婦產科感染、敗血症、心內膜炎、前庭腺炎等。
藥理毒理
頭孢拉宗鈉針劑本品為頭黴素衍生物,其抗菌作用與頭孢美唑近似。系廣譜抗生素,特別是對大腸桿菌、克雷伯菌屬、檸檬酸菌屬、腸桿菌屬、沙雷菌屬和吲哚陽性變形桿菌有良好的抗菌力;對各種細菌產生的β-內醯胺酶極為穩定,對β-內醯胺酶產生菌也有強大的抗菌作用。頭孢拉宗鈉對假單胞菌無效。
頭孢拉宗鈉與其它頭孢菌素類作用機制相似,主要是通過抑制細菌細胞壁的合成而起殺菌作用。頭孢拉宗對大腸桿菌、肺炎桿菌、克雷伯氏菌、檸檬酸菌、奇異變形菌、產氣腸桿菌、普通變形桿菌、摩根氏菌、沙門氏菌、志賀桿菌的MIC90不到6.3mg/ml。對上述菌的抑菌效果強於頭孢孟多、頭孢西丁、哌拉西林。對粘質沙雷菌和普洛威登斯菌的抑菌濃度為25mg//ml,對陰溝腸桿菌的MIC50大於25mg/ml。本品對不動桿菌和假單胞菌沒有活性,對溶血鏈球菌的抑菌濃度為12.5mg/ml,對葡萄球菌的抑菌濃度為25mg/ml。對脆弱擬桿菌的MIC90為6.3mg/ml,與頭孢西丁和拉氧頭孢相似。本品對β-內醯胺酶穩定,不易水解。
作用
本品為頭黴素衍生物,對肺炎球菌、大腸桿菌、枸櫞酸菌屬、克雷白桿菌屬、腸桿菌屬、摩根變形桿菌、雷特格變形桿菌及流感嗜血桿菌等有殺菌作用。臨床主要用於上述敏感菌引起的各種感染,如敗血症、心內膜炎、慢性支氣管炎、肺炎、膿胸、腎盂腎炎、膽囊炎、腹膜炎及子宮內膜感染等。 用於由肺炎球菌、大腸桿菌、檸檬酸細菌屬、克雷伯氏菌屬、腸桿菌屬、沙雷氏菌屬、普通變形菌、奇異變形菌、摩氏變形菌、雷氏變形菌、流感嗜血菌、擬桿菌屬等細菌引起的敗血病,心內膜炎,慢性支氣管炎、支氣管擴張症感染時、肺炎、肺化膿性疾病、膿胸、子宮附屬檔案炎、子宮內感染、骨盆死腔炎、子宮旁結締組織炎、前庭大腺炎等的治療。
注意事項
頭孢拉宗鈉1.交叉過敏:頭孢拉宗鈉與頭孢菌素類、青黴素類藥有部分交叉過敏。
2.禁忌症:
對頭孢拉宗鈉有休克史患者禁用。
3.以下情況慎用:
(1)對青黴素類或頭孢菌素類藥過敏者慎用。
(2)頭孢拉宗鈉對孕婦及嬰兒的用藥安全性未確定,孕婦及早產兒、新生兒應慎用。
(4)高度過敏性體質者慎用。
(5)高齡體弱患者以及全身狀況差者慎用。
(6)胃腸道吸收不良或需依靠腸外營養的病人慎用。
4.藥物對檢驗值或診斷的影響:
(1)頭孢拉宗鈉可干擾尿糖反應,使Benedict、Fehling及Clintest試驗出現假陽性反應。
(2)頭孢拉宗鈉可以干擾血液檢查,使直接血清抗人球蛋白試驗(Coombstest)出現陽性反應。
(3)使用頭孢拉宗鈉後可出現肌酐、尿素氮升高;丙氨酸氨基轉移酶升高;嗜酸粒細胞增多,血小板、紅細胞減少等。
5.長期用藥時應定期檢查肝、腎功能及血、尿常規。
6.有肝、腎功能損害患者使用頭孢拉宗鈉時應進行血藥濃度監測。
不良反應
頭孢拉宗鈉不良反應較少,主要有:
1.多見皮疹、瘙癢、發熱等過敏反應。
2.常見噁心、嘔吐、食欲不振、腹瀉等消化道症狀。
3.偶見肝、腎毒性,出現肝、腎功能改變等。
4.偶見休克、頭痛、頭暈、血小板減少、無尿、蛋白尿等。
5.偶見維生素B、K缺乏症、念珠菌菌群交替症、偽膜性腸炎等。
6.靜脈內大劑量給藥可發生血管灼熱感、血管疼痛、血栓性靜脈炎等。
藥物相互作用
1.頭孢拉宗與其它頭孢菌素、氨基糖苷類抗生素合用可增加腎毒性。
2.頭孢拉宗與呋塞米、速尿等強利尿劑合用可增強腎毒性。
3.頭孢拉宗鈉可影響酒精代謝,使血中乙醛濃度上升,顯示雙硫醒樣反應(面部潮紅、頭痛、眩暈、腹痛、胃痛、噁心、嘔吐、氣急、心率加快、血壓降低,以及嗜睡、幻覺等)。
給藥說明
頭孢拉宗鈉1.頭孢拉宗鈉用藥前應進行皮試,以免發生過敏性休克。
2.頭孢拉宗鈉僅供靜脈給藥,且靜脈給藥時速度宜緩慢。
3.頭孢拉宗鈉給藥期間與給藥後至少1周內應避免飲酒。
用法與用量
成人
靜脈注射:每日1-2g,病情嚴重者可增至4g,分2次使用。
靜脈滴註:每日1-2g,病情嚴重者可增至4g,分2次使用。
兒童
靜脈注射:兒童40-80mg/(kg·d),病情嚴重者可增至120mg/(kg·d),分2-4次給藥。
靜脈滴註:兒童40-80mg/(kg·d),病情嚴重者可增至120mg/(kg·d),分2-4次給藥。
規格與劑量
注射用頭孢拉宗鈉粉針:0.5g1g
國內外上市情況
頭孢拉宗是由日本富山化學工業製藥株式會社於70年代開發,並於1985年上市的第三代頭孢類抗生素。目前,我國尚未進口該品,亦未見國產品的研發、上市。
肺炎治療案例
小兒支原體肺炎的治療與一般肺炎的治療原則基本相同,採取綜合治療措施。包括一般治療、對症治療、抗生素的套用、腎上腺皮質激素,以及肺外併發症的治療等5個方面。
一般治療
肺炎細菌護理保持室內空氣新鮮,供給易消化、營養豐富的食物及足夠的液體。保持口腔衛生及呼吸道通暢,經常給患兒翻身、拍背、變換體位,促進分泌物排出、必要時可適當吸痰,清除粘稠分泌物。
氧療對病情嚴重有缺氧表現者,或氣道梗阻現象嚴重者,應及時給氧。其目的在於提高動脈血氧分壓,改善因低氧血症造成的組織缺氧。給氧方法與一般肺炎相同。
對症處理
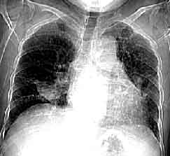
肺炎胸片平喘對喘憋嚴重者,可選用支氣管擴張劑,如氨茶鹼口服,4~6mg/(kg﹒次),每6h1次﹔亦可用舒喘靈吸入等。
抗生素的套用
根據支原體微生物學特徵,凡能阻礙微生物細胞壁合成的抗生素如青黴素等,對支原體無效。因此,治療支原體感染,應選用能抑制蛋白質合成的抗生素,包括大環內脂尖、四環素類、氯黴素類等。此外,尚有林可黴素、氯林可黴素、萬古黴素、氟氧頭孢鈉及磺胺類如SMZxo等可供選用。
卡氏肺孢子蟲肺炎靜脈注射紅黴素乳糖酸鹽300mg,4min的血濃度平均為40.9μg/ml,2h後為2.6μg/ml,6h後為0.32μg/ml。如每12h連續靜脈滴注紅黴素乳糖酸鹽1g,則8h後的血藥濃度可維持4~6μg/ml。而痰中平均嘗試為2.6(0.9~8.4)μg/ml。紅黴素主要經膽汁排泄,部分可從腸道內重新吸收。相當量的紅黴素在肝內代謝滅活。口服給藥量的2.5%和注射給藥的15%以活性物質自尿中排出。血液透析和腹膜透析皆不能將紅黴素自體內清除。在使用紅黴素製劑時應注意其毒副作用。各種口服製劑皆可引起噁心、嘔吐、腹痛、腹瀉等胃腸道症狀﹔靜脈滴注時可發生血栓性靜脈炎﹔偶有過敏反應發生,表現為藥物熱、麻疹等。值得注意的是紅性黃疸,往往在給藥14~21d產生上腹疼痛、噁心嘔吐,相繼出現發熱、黃疸、白細胞及嗜酸性粒細胞增多,血清膽紅質和轉氨增高,停藥後2~3d可恢復正常,但再給藥又可重新出現上述症狀。另外,大劑量紅黴素的套用偶可引起耳鳴和暫時性聽覺障礙,一般發生於靜脈給藥或有腎功能減退和(或)肝臟損害者。嬰幼兒口服無味黴素後可出現增生性幽門狹窄,口服紅黴素後也有出現假膜性腸炎者。套用紅黴素期間尿中兒茶酚胺、17-羥類固醇和血清轉氨有增高現象,血清葉酸和尿雌二醇有降低情況。若與茶鹼類藥物同用時,有增加茶鹼和血液中濃度的作用。所以,在合用茶鹼類藥物時,應減量使用或避免合用。
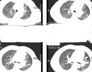
肺炎患者胸片四環素類抗生素支原體感染雖有肯定療效,但其毒副作用較多,尤其是四環素對骨骼和牙生長的影響,即使是短期用藥,四環素的色素也能與新形成的骨和牙中的鈣相結合,使乳牙黃染。故不宜在7歲以前兒童時期套用。
氯黴素和碘胺類因為治療支原體感染的療程較長,而氯黴素類、磺胺類抗菌藥物毒副作用較多,不宜長時間用藥,故臨床上較少用於治療支原體感染。
氟酮類近年來有用氟酮類(fluroqumolone)藥物治療支原體感染的報導。氟酮類屬於合成抗菌藥,通過抑制DNA鏇轉,阻斷DNA複製發揮抗菌作用。環丙氟酸(ciproflaxacin)、氧氟沙星(ofloxacin)等藥物在肺及支氣管分泌物中濃度高,能穿透細胞壁,半衰期長達6.7~7.4h。抗菌譜廣,對支原體有很好的治療作用。前者10~15mg/(kg﹒d),分2~3次口服,也可分次靜滴﹔後者10~15mg/(kg﹒d),分2~3次口服,療程2~3周。
