描述
疾病別名:腦腫瘤伴發的精神障礙
所屬部位:頭部
就診科室:精神病科
症狀體徵:人格障礙和行為異常
腦腫瘤的精神症狀以意識障礙為主,常有近記憶減退或柯薩可夫綜合徵,理解、判斷與計算力缺損,以及人格障礙和行為異常。
病因
腦腫瘤伴發的精神障礙(一)腫瘤部位:精神症狀以額葉、顳葉、胼胝體等部位腫瘤多見,出現時間早,程度也嚴重,次為頂葉、三腦室及腦幹。雙側大腦及多發性腫瘤較單側腦及單個腫瘤多見,幕上腫瘤較幕下多見。
(二)腫瘤性質:以各型膠質瘤、腦膜瘤與轉移癌多見,其中以多形性成膠質細胞瘤及轉移瘤發展迅速,星形細胞瘤、腦膜瘤進展較緩慢。惡性腫瘤所致精神障礙較良性者多見。
(三)年齡:腦腫瘤發生在20歲之前以意識障礙為主,30歲以後則以智力減退和人格改變多見,情感淡漠則見於各年齡組。
(四)其它:顱內壓增高與出現精神症狀的關係尚難肯定。有人認為遺傳因素及個體反應可增加精神症狀的發生率。
症狀
腦腫瘤伴發的精神障礙(一)一般症狀:腦腫瘤的精神症狀並無任何特殊性,通常幾個方面均有不同程度的障礙或某一方面較突出,偶見重精神病徵象。一般而言,發展較快的腦腫瘤易致認知功能紊亂,迅速發展的腦瘤常產生急性腦器質性綜合徵,伴有明顯的意識障礙,發展緩慢的腦腫瘤較少發生精神障礙,後期可有痴呆綜合徵或人格改變。
1.意識障礙:輕者可見注意範圍縮窄、集中困難、近記憶不良、反應遲鈍、思維不連貫、定向障礙及嗜睡,隨著病情進展出現意識障礙加重,直至昏迷。早期意識障礙具有波動性,間有意識相對清醒期。
2.記憶障礙:早期為近記憶減退或近事遺忘,後可出現定向障礙或korsakov綜合徵。
3.智力障礙:表現為全面痴呆,聯想緩慢,思維貧乏,定向障礙,記憶困難,計算、理解和判斷不良。
4.情感障礙:腦腫瘤初期由於個體對大腦功能障礙的適應不良而情緒不穩,易激惹。隨病情發展出現焦慮,抑鬱或欣快。後期則以情感淡漠為主,缺乏主動性,對周圍事物不關心,對親人冷漠。
5.人格改變:與以往性格判若兩人,表現為主動性喪失,羞恥感消失,低級意向增加,行為幼稚及不道德行為。
6.其它:腦腫瘤的早期或任何階段可出現各種精神狀態,如類精神分裂症,類躁狂抑鬱症、類偏執性精神病的臨床相。可有幻視、幻聽、幻觸及感知綜合障礙,妄想的內容簡單、膚淺,結構松馳而不固定。
(二)不同部位腦腫瘤的精神症狀:臨床上僅有早期出現的精神症狀具有定位意義,以後隨著病情發展,腫瘤使
腦腫瘤伴發的精神障礙各部位腦腫瘤所致精神症狀略述如下:
1.額葉:精神症狀較其它部位多見(約70),往往在早期及神經系統體徵尚未顯現之前發生,主要有:(1)主動性缺乏,(2)情緒障礙,(3)智力障礙,(4)人格改變,(5)括約肌機能失控,(6)其它:如言語吶吃、運動性失語、無動性緘默、或抽搐發作等神經系統症狀。有的出現精神分裂症樣或躁鬱症樣症狀,多見於額葉腦膜瘤,易發生誤診。
2.顳葉:除出現酷似額葉腫瘤的持續性精神症狀外,還可有作性症狀,如痙攣發生(50)、鉤回發作。後者常以幻嗅和幻味覺開始,隨即出現意識障礙,呈夢囈樣狀態,談話或活動中止,雙目凝視,可有非真實感、舊事如新症、似曾相識症、感知綜合障礙、強迫思維、異常恐怖或突然情緒變化,同時伴有伸舌、舐唇、咀嚼、摸衣等不自主動作。有時可出感覺性失語。
3.頂葉:精神症狀較少。可有以抑鬱為主的情緒改變,其它如主動性減少、思維緩慢、理解困難。此外作為頂葉症狀的有失用與失認。損害在優勢側時,可有Gerstmann綜合症(即手指失認、計算不能、書寫不能和左右不分)非優勢側的症狀有半側身體失認,疾病失認。
4.枕葉:精神症狀少見。可出現幻視。
5.胼胝體:常於早期出現、嚴重且多樣的精神症狀,表現智力減退、記憶障礙、人格改變等。
6.間腦:出現精神症狀較少,以顯著的記憶障礙為主,也可有柯薩科夫綜合徵、痴呆、人格改變、情緒障礙、嗜睡等。
7.垂體:除內分泌機能障礙外,可有精神遲鈍,行為被動、性慾減退、嗜睡等。
8.幕下(顱後凹):以早期出現意識障礙為主,精神症狀少見。
(三)神經系統症狀與體徵:多有頭痛、嘔吐、眩暈、痙攣發作、視乳頭水腫等顱內壓增高徵象及限局性的定位體徵。
診斷
腦腫瘤伴發的精神障礙腦腫瘤時精神症狀多數發生在神經症狀出現之後,故在原發病已確診情況下,精神症狀不論呈何種表現,診斷一般不難。但前額葉,顳葉及胼胝體腫瘤時,精神症狀往往為首發表現,發致臨床診斷易誤診為非器質精神疾病,故需注意。
(一)詳細收集病史:了解既往有無精神病史,若中年以後首次出現精神活動異常,人格改變、小便失控,再有頭痛或者癲癇發作,要考慮腦瘤可能;
(二)精神檢查著重注意有無意識障礙和智力障礙;
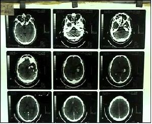
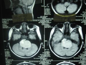
(三)仔細進行神經系統與軀體檢查:有無可疑的陽性體徵,各項輔助檢查(如頭顱平片、腦電圖、顱腦CT檢查,無疑有助於腦瘤診斷,但任何單項檢查均有一定的陰性率,故須結合病史和臨床表現全面考慮,必要時行顱腦核磁共振檢查。成人腦部轉移癌以來自肺、肝、腎、胃者居多,進行相應的輔助檢查。
鑑別診斷中注意與神經症、精神分裂症和躁鬱症相鑑別。還應排除能引起相應精神障礙的其它腦器質性疾病。
治療措施
腦腫瘤伴發的精神障礙的用藥預防
腦腫瘤伴發的精神障礙2.急性發展腦腫瘤的精神症狀以意識障礙為主,以及思維緩慢、情感淡漠、行為紊亂或木僵狀態;精神遲鈍多在顱內壓增高時出現,並隨顱壓變化而改變。緩慢發展的腦腫瘤常有近記憶減退或柯薩可夫綜合徵,理解、判斷與計算力缺損,以及情感、感知覺、人格障礙和行為異常。
3.常有顱內壓增高征、眩暈、癱瘓、痙攣發作和神經系統限局性定位體徵。
4.輔助檢查見顱腦腫瘤有關腦腫瘤部分。
5.排除精神分裂症、躁鬱症、神經症及其它腦器質性疾病所伴發的精神
相關內容
腦腫瘤病人近年來,顱內腫瘤發病率呈上升趨勢,據統計,顱內腫瘤約占全身腫瘤的5%,占兒童腫瘤的70%,而其它惡性腫瘤最終會有20-30%轉入顱內,由於其膨脹的浸潤性生長,在顱內一旦據一定空間時,不論其性質是良性還是惡性,都勢必使顱內壓升高,壓迫腦組織,導致中樞神經損害,危及患者生命。
顱內腫瘤可發生於任何年齡,以20-50歲為最多見。少兒以顱後窩及中線腫瘤較多見,主要為髓母細胞瘤,顱咽管瘤及室管膜瘤。成人以大腦半球膠質瘤為最多見,如星形細胞瘤、膠質母細胞瘤、室管膜瘤等其次為腦膜瘤、垂體瘤及顱咽管瘤、神經纖維瘤、海綿狀血管瘤、膽脂瘤等。原發性顱內腫瘤發生率無明顯性別差異,男稍多於女。
顱內腫瘤形成的病因病機:傳統中醫認為,腦腫瘤的形成是由於內傷七情,使臟腑功能失調,加之外邪侵入,寒熱相搏,痰濁內停,長期聚於身體某一部位而成。專家們博採眾家之長,經過潛心研究,將腦瘤的發病原因概括
腦腫瘤伴發的精神障礙顱內腫瘤的好發病位:顱內腫瘤的發生部位往往與腫瘤類型有明顯關係,膠質瘤好發於大腦半球,垂體瘤發生於鞍區、聽神經瘤發生於小腦橋腦角,血管網織細胞瘤發生於小腦豐球較多,小腦蚓部好發髓母細胞瘤等。
顱內腫瘤的臨床表現:視其病理類型,發生部位,主要速度之不同差異很大,然 其同特徵有三:1、顱內壓增高;2、、局限性病灶症狀;3、進行性病程。
