疾病概述
乳糜瀉切片 在嬰幼兒主要表現為生長遲緩、體重下降、嘔吐、腹瀉、腹痛、腹脹及易激惹。在成人常見症狀表現為乏力、消瘦、噁心、厭食、腹脹、稀便。女性病人還可表現為月經稀少,過早停經及不孕。
乳糜瀉是患兒對麥膠(俗稱麵筋)不耐受而引起的慢性小腸吸收不良綜合徵。本病有家族傾向。其特點為小腸(尤其是空腸)黏膜的絨毛萎縮、扁平和小腸對脂肪、碳水化合物、纖維素、礦物質等吸收不良,禁食含麥膠的飲食(小麥、黑麥、大麥、燕麥)能使症狀緩解,小腸黏膜恢復正常和抗麥膠抗體消失,再進食又可迅速復發。
疾病病因
活動性乳糜瀉 本病的免疫病理研究發現,在活動性乳糜瀉病人的血、小腸分泌物及糞中可檢出醇溶麥蛋白抗體,近來亦可檢出肌內膜和網狀蛋白的IgA抗體。在禁食麥膠膳食一段時間後,再進麥膠食物時,患者血清中溶血補體和C3急劇下降,並可測出免疫複合體。小腸黏膜活檢可見到上皮間淋巴細胞增多,原位增殖,其中主要是致敏T細胞,體外器官培養實驗表明T細胞激活可造成小腸絨毛萎縮和腺體隱窩增生,以上均可提示本病是麥膠引起的一種免疫性疾病。本病具有遺傳傾向,與MHC基因密切相關,已觀察到患者家屬中多人得病,在家族中的無症狀者,可檢出有醇溶麥蛋白、網狀蛋白及肌內膜蛋白抗體攜帶者。
麥膠 除考慮麥膠對腸黏膜的直接毒性外,還認為有免疫機制參與。用免疫螢光法證實活動期乳糜瀉患者血液、小腸分泌物及糞便中均有抗麥膠蛋白抗體(IgA)。攝入麥膠(抗原)後與抗體在腸黏膜細胞中起反應,引起黏膜病理變化。停止攝入麥粉類食物3-6個月後,該抗體可以消失。
二、遺傳因素 本病與遺傳因素有關。攣生兄弟的發病為16%,一卵雙生者可達75%,因遺傳關係腸黏膜缺少麥膠蛋白分解酶;另外遺傳影響機體免疫功能,對麥膠產生過敏反應。
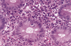
病理改變
小腸黏膜 因此,不但腸黏膜吸收面積減少,吸收功能減低,酶的活性也下降,並致消化食物的功能亦減低。病人每天丟失大量脂肪、蛋白、糖、水份和鹽類,以致引起各種相應臨床症狀。
併發症
合併惡性腫瘤者占15%,男病人以食管癌最多見,淋巴瘤7%-10%,空腸較迴腸多見。推測腸黏膜病變易使致癌物質吸收,同時黏膜病變如潰瘍性結腸炎處在癌前病變狀態。
1.神經系統症狀可見周圍神經炎及中樞神經系統變化(大、小腦及脊髓),原因尚不明。
2.潰瘍性空腸及迴腸炎合併潰瘍時症狀更為嚴重,可以引起穿孔及瘢痕性梗阻。預後不良。
3.骨變化骨軟化最常見,由於繼發的甲狀旁腺功能亢進,嚴重者可引起骨折。
4.全垂體功能低下因為營養不良使垂體功能低下,表現為各個內分泌腺功能障礙,甲狀腺、腎上腺、性腺等功能低下。
症狀體徵
腹瀉、腹痛 (一)腹瀉、腹痛;80%-97%的病人有腹瀉。典型者呈脂肪瀉,糞便色淡、量多、油脂狀或泡沫樣,常飄浮於水面,多具惡臭。每日大便次數從數次至十餘次。多數患者有經常性或間歇性腹瀉;少數早期或輕型病例可無腹瀉,甚至可有便秘,常可被漏診。腹痛較腹瀉少見,多為腹脹痛,常在排便前出現。腹部可有輕度壓痛。有些病例有明顯腹脹、噁心和嘔吐。
(二)體重減輕、倦怠乏力;程度不一,幾乎為必有的表現。消瘦、乏力主要因蛋白質、脂肪等吸收障礙,另脫水、缺鉀、食欲不振也是重要因素。嚴重病例可呈惡病質。
(三)維生素缺乏及電解質紊亂的表現;鈣和維生素D缺乏可致手足搐搦、感覺異常、骨質疏鬆、骨軟化並可引起骨痛。維生素K缺乏可致出血傾向。維生素B族缺乏可致舌苔、口炎、口角炎、腳氣病、糙皮病樣色素沉著等。維生素A缺乏可致毛囊角化、角膜乾燥、夜盲等。半數以上病人有貧血,並伴有凹甲。少數病人可有肌肉壓痛及杵狀指(趾)。
(四)水腫、發熱和夜尿;水腫常見,發熱多因伴發感染所致。發病期夜尿量多於晝尿量,可有IgA腎病、不育症、出血傾向。
臨床表現
貧血 一、消化道症狀 腹瀉是主要症狀,典型者為脂肪瀉。可伴有腹脹、腹鳴等。
二、營養不良症狀 軟弱、乏力、消瘦、體重減輕,若有低蛋白血症可出現下肢浮腫;口炎、舌炎、貧血、皮膚黏膜出血傾向;骨痛、手足搐搦;感覺障礙、末稍神經炎等。
病理診斷
病理診斷 二、免疫改變 C3C4降低,血清IgA升高或正常,IgA減少,抗麥膠抗體陽性,麥膠白細胞移動抑制試驗陽性。
三、糞脂測定及脂肪平衡試驗 見前
四、D木糖試驗 見前
五、胃腸鋇餐檢查 可見空腸中段、遠段瀰漫性擴張、皺襞腫脹或消失,呈雪花樣鋇斑,鋇劑通過小腸時間延長等可提示診斷。並可排除繼發吸收不良的原因。
六、小腸黏膜組織檢查 病變具有特徵性,見前述。
診斷:根據糞便、X線及小腸黏膜活檢可以初步作出診斷,然後經治療試驗可以說明對麥膠有關,才可最後確定診斷。
實驗室檢查 1. 血常規血紅蛋白下降,表現為輕度低色素大細胞性貧血,周圍血塗片可出現 靶形紅細胞, Heinz小體和 Howell-Jolly小體, 血小板可上升也可降低, 白細胞可降低。
2.便常規大便 Sudan-Ⅲ染色可見大量脂肪滴。
3.血漿白蛋白降低 巨澱粉酶血症及小腸吸收功能試驗吸收功能低下。
其他輔助檢查:活體鏡檢可見絨毛變形變平; 光鏡下無可辨絨毛結構,隱窩肥厚、分支,可見核分裂像增多,基底膜有片狀增厚。
鑑別診斷
1.難治性脂肪瀉這類病人的特徵與乳糜瀉近似,但對控制飲食反應不好。
2.淋巴瘤及淋巴內瘤可使淋巴回流障礙以致引起吸收不良,如X線檢查可疑再進一步作剖腹探查。
3.熱帶脂肪瀉地區歷史以及不同的治療反應,熱帶脂肪瀉對廣譜抗生素及葉酸反應良好。
4.克羅恩病表現雖可與本病類似,但X線所見兩者有明顯不同,克羅恩病可以產生縱行潰瘍,和鋪路石子樣改變,進一步可以發生潰瘍穿孔和瘺管,病變呈節段性。本病用無麥膠飲食治療反應良好,更可作出治療診斷。
5.寄生蟲病一些寄生蟲病如賈弟鞭毛蟲,類圓線蟲、球蟲病以及蠕蟲病也與臨床消化吸收不良有關,應作糞便蟲卵或原蟲檢查,必要時可行治療試驗如用甲硝唑(滅滴靈)效果顯著。
6.胰腺性消化不良糖耐量試驗呈糖尿病曲線,木糖吸收試驗正常,進一步作胰功能試驗(促胰液素及縮膽囊素試驗)及影像學檢查。
7.腸淋巴管擴張可有腹瀉、低蛋白血症及水腫。但小腸活檢有特徵性淋巴管擴張。
8.胃切除後脂肪瀉畢氏Ⅱ式吻合易引起脂肪瀉,但小腸黏膜正常。
9.盲襻綜合徵發生在胃腸手術後,畢氏Ⅱ式胃腸吻合。小腸側側或端側吻合,小腸憩室,或硬皮病引起的小腸病變,皆可引起腹瀉,經X線檢查並根據手術病史不難診斷。
治療方案
潑尼松 1.飲食療法最關鍵的問題是避免含麥膠飲食如各種麥類如大麥、小麥、燕麥及裸麥等。如將麵粉中的麵筋去掉,剩餘的澱粉並無“毒性”,病人可以食用。玉米及大米、豆類、土豆、紅薯等製品可以食用,水果、肉類及牛奶不限。經過飲食治療,一般3~6周症狀開始明顯好轉,腹瀉減少體重增加。飲食療法常持續0.5~-年,治療無效或未經治療者常死於癌、神經系統合併症及空腸迴腸潰瘍。
2.對症治療及支持療法除飲食治療以外,支持療法亦很重要,注意高營養高蛋白飲食,補充各種維生素(B1、B12、A、D及葉酸)糾正水電解質失衡,必要時輸血。
3.激素治療極度衰弱、對飲食治療反應不好以及不耐受無麥膠飲食的病人,可以考慮用腎上腺皮質激素治療。開始劑量每天潑尼松(強的松)30-40mg清晨頓服,以後逐漸減量直至少量維持。
預後和自然史
雖然去除麩質的飲食可以改變患病兒童的預後,實際上也改善成年患者的預後,但有些患者仍死於該病,主要是一開始病情就十分嚴重的成年患者。重要的死因之一是淋巴網狀系統疾病(尤其是腸淋巴瘤)。目前對去除麩質的飲食是否能減少這一危險性尚不清楚。
有些患者經過長期的禁用含麩質食物後能耐受再次食用含麩質的食物,這意味著可能在一些輕症的病例中能達到完全緩解(看來不太可能)或者麩質的毒性只是對過去受過急性細菌性或病毒性腸炎損害的黏膜的非特異性效應。無論如何,臨床表面上的緩解往往還伴有組織學上的復發,後者只有通過活檢複查或肌內膜抗體滴度升高才能被發現。
飲食治療
複合維生素
(1)嚴格禁食一切含有麥類(如小麥、大麥、燕麥、黑麥)及其製品,如麵筋、 烤夫及 面制糕點等。病人在無麩質治療飲食開始後,就應對所食用的食物慎重選擇,一般在2-3周內可見明顯效果。
(2)改善病人的營養狀況。因長期慢性消耗,從腹瀉中丟失大量蛋白質( 蛋白質產品,蛋白質資訊),故應在供給高熱量的前提下,供給適量的優質蛋白質,以糾正負氮平衡,防止體重下降。熱能供給,嬰幼兒建議每日每公斤體重按100-125千卡(042-052兆焦耳),成人每日每公斤體重按35-45千卡(0.17-0.19兆焦耳)供給。蛋白質供給,嬰兒每日每公斤體重3-4克,幼兒每日50-60克,成人每公斤體重從0.5克逐步增加至每公斤體重2克。 脂肪的供給量不宜多,尤其在腹瀉時,每日不超過30克。還應注意其它營養素,如鈣(補鈣產品,補鈣資訊)、鎂、鐵(補鐵產品,補鐵資訊)及 脂溶性維生素(維生素產品,維生素資訊)(A、D、E、K)、 水溶性維生素(複合B1、B2、C)、葉酸(葉酸產品,葉酸資訊)的供給,以補充其丟失。
(3)低脂少渣,由於腸黏膜受損,初期膳食應選用低纖維的食物,如 果汁和 菜汁。隨病情的好轉逐漸增加攝入量。
(4)烹調方法,儘量採用氽、煮、燉、熬等烹調法。
其他療法
飛廉分清湯 辨證:脾腎不足,濕熱內蘊。
治法:清利濕熱,健脾益腎。
方名:飛廉分清湯。
組成: 飛廉草50克, 匾蓄30克, 鳳尾草15克, 茯苓15克, 菟線子15克, 熟地15克。
用法:水煎服,每日1劑,日服2次。
中藥方劑(二)
辨證:脾腎氣虛。
治法:健脾固腎。
方名:加味治濁固本湯。
組成:萆15克,菟絲子15克,益智仁10克,石菖蒲5克,芡實30克,蓮須30克,白雞冠花30克。
用法:水煎服,每日1劑,日服2次。
中藥方劑(三)
辨證:脾腎虧虛,精微下泄,清濁相混。
加味健脾補腎固精湯 方名:加味健脾補腎 固精湯。
組成: 黨參15克, 白朮15克, 茯苓15克, 金櫻子15克,益智仁15克,蓮須30克,薏米12克,甘草6克。
用法:水煎服,每日1劑,日服2次,10劑為1療程(同時口服來滴靈,每日3次,每次0.4克)。
飲食與調攝:
1.飲食宜清淡,如:米粥、紅棗糯米粥、麵條、麵包等,其他:蔬菜、蘑菇、蓮子、木耳、山藥等,水果如哈密瓜、西瓜、梨、蘋果、椰子、鳳梨等可適量食用,對脾陽虛、腎陽虛、寒濕者諸多水果則不宜,唯橘類尚可食用,配合姜棗之劑茶飲更佳。
2.避免過食辛(腥)辣、油膩及豆製品。
3.避免過度疲勞,多休息,勿勞累。
宜禁食物
植物類食品 (1) 植物類食品可選用大米、豆類、玉米、小米、高粱、米粉、木薯粉、澱粉類或用米粉製作的糕點等。
(2) 動物類可選用瘦肉類、魚類、禽類、蛋類、魚、蝦、蟹等水產類;無 乳糖酶缺乏者,可選用乳及乳製品。
(3) 果菜類可選用白薯、土豆、 南瓜、 倭瓜、 胡蘿蔔、山藥等根莖類食物及纖維少的蔬菜; 水果汁、 水果凍、麥乳精、可可等飲料可作為加餐用。
2禁食食物
(1)禁食一切含有麥膠的食品,如饅頭、麵條、通心粉、麥片、蛋糕、餅乾、點心及各種用麵粉製作的西點;麥芽類製品,如啤酒、面醬、麵筋、糕點以及麥類制的飲料、酒類等。
(2)烹調時要避免添加含麥膠的食物,如麵包渣、麵糊、饅頭屑等。
(3)西餐中的奶汁雞、奶汁魚、奶汁肉和用面制的湯等。
相關詞條
參考資料
1、http://www.yongyao.net/jbhtml/rmx.htm
2、http://www.kanyao.com/Html/part/1431.html
3、http://www.fx120.net/qiuyi/bfmf/pfmf-nk/mnxmf/200503111043569795.htm
4、http://www.51ttyy.com/ill/shiliao/xhxt/xhbl/sltl/200606/41930.shtml
