【概述】
熱帶口炎性腹瀉(tropic sprue)好發於熱帶居民,在南美、非洲、印度等東南亞各國最為常見,任何年齡均可罹病。近年來已將發生在熱帶的本病歸類於“感染性吸收不良”類型,並將本病分為寄生蟲性(即賈第蟲病)及非寄生蟲性(熱帶口炎性腹瀉)兩種。【診斷】
根據發病地區、臨床表現、小腸吸收功能減損以及小腸活組織病理表現可作出診斷。應與腸賈弟鞭毛蟲病、腸阿米巴病、炎症性腸病,麥膠性腸病以及維生素B12缺乏症相鑑別。【治療】
首先給予營養豐富的飲食,適當補液,糾正電解質平衡失調。腹瀉次數過多者給予止瀉劑。維生素B12、葉酸治療時間要持續一年。同時給予抗生素治療,口服四環素250~500mg,4/d,共1個月,隨後改為2/d,共5~6個月。套用磺胺類藥同樣有效,琥磺噻唑(sulfasuxidine)1.0g,4/d,口服1個月,後改為2d,共5個月。經過治療後貧血及舌炎迅速恢復,食慾好轉,體重增加,腸黏膜病變有改善,腸黏膜酶活力增加。有些病例對治療反應很慢,症狀及吸收不良持續很長時間,因此治療時間要長。
【病因學】
病因尚未完全闡明,現認為可能由一種或多種病原微生物或寄生蟲引起的慢性小腸感染,與麥膠飲食無明確關係。本病有流行性、季節性,廣譜抗生素治療有效,但糞便、小腸內容物以及腸黏膜中未發現病原菌。營養缺乏,如蛋白質、維生素B族、葉酸等可能與本病發病有關,但不是重要的病因。
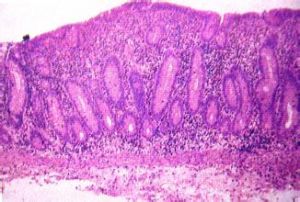
【病理改變】
小腸黏膜絨毛變形不規則,粗大或變平;呈舌形、脊狀或扁平、捲曲狀。空腸黏膜活組織檢查有腺窩變長,腺窩細胞核肥大,嗜銀細胞增多,上皮細胞呈方形或扁平形,杯狀細胞減少。上皮細胞酶活力減低。電鏡檢查見微絨毛不規則,成團分叉多,微粒體和線粒體均有增加。有些病倒同時有淺表性或萎縮性胃炎。【症狀體徵】
有乏力、腹痛、腹瀉,大便每日1~2次,或十多次,糞便量大,呈糊狀,色淡惡臭,油膩泡沫狀。約30%的病例有脂肪瀉。低白蛋白血症,口服蛋白耐量試驗顯示吸收延緩。50%的病人有葡萄糖耐量不正常,約90%的病例木糖吸收試驗尿排出量減少。維生素A及B12吸收試驗亦不正常。

