正常值
無(陰性)。
臨床意義
陽性:地中海貧血、缺鐵性貧血、鐵粒幼紅細胞性貧血、阻塞性黃疸、肝病、脾切除後、家族性血清卵磷脂膽固醇轉醯酶缺乏症、血紅蛋白病(HbC、HbE、HbD、HbS)。
注意事項
與紅細胞計數相同,需注意與在血塗片製作中未及時固定而引起的改變相區別。

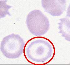
靶形紅細胞(target cell):紅細胞中心部位染色較深,周圍為蒼白區域,而細胞邊緣又深染,形如射擊之靶。有的中心深染區不像孤島而像從紅細胞邊緣延伸的半島狀態或柄狀,而成不典型的靶形紅細胞。靶形紅細胞直徑可比正常紅細胞大或正常,但厚度變薄;靶形紅細胞常見於各種低色素性貧血,在珠蛋白生成障礙性貧血時尤易見到。
無(陰性)。
陽性:地中海貧血、缺鐵性貧血、鐵粒幼紅細胞性貧血、阻塞性黃疸、肝病、脾切除後、家族性血清卵磷脂膽固醇轉醯酶缺乏症、血紅蛋白病(HbC、HbE、HbD、HbS)。
與紅細胞計數相同,需注意與在血塗片製作中未及時固定而引起的改變相區別。
紅細胞也稱紅血球,在常規化驗英文常縮寫成RBC,是血液中數量最多的一種血細胞,同時也是脊椎動物體內通過血液運送氧氣的最主要的媒介,同時還具有免疫功能。哺...
分類 功能 生成 更新 形態紅細胞也稱紅血球,在常規化驗英文常縮寫成RBC,是血液中數量最多的一種血細胞,同時也是脊椎動物體內通過血液運送氧氣的最主要的媒介,同時還具有免疫功能。哺...
基本介紹 種類介紹 輸送功能 免疫功能 生成物質紅細胞又稱紅血球或紅血細胞,是血液中最多的一種血細胞。紅細胞中含有血紅蛋白,因而使血液呈紅色。血紅蛋白能和空氣中的氧結合,因此紅細胞能通過血紅蛋白將吸入...
形態與數量 生理功能 生理特性尿紅細胞是指尿液中出現了紅細胞,由於泌尿系統,如腎臟、膀胱或輸尿管出血,血液進入尿液導致的一種疾病。
基本定義 正常範圍 臨床意義紅細胞形態檢查是通過血塗片染色後對血片中的紅細胞的形態進行觀察,對臨床診斷有重要價值,常見的紅細胞異常主要表現在紅細胞的大小、形態、染色性及包涵體等幾個方面。
參考範圍 臨床意義紅細胞檢查是一種血液檢查手段,檢測原理:紅細胞稀釋液為Hayem液。
概要 計數 血紅蛋白測定 形態檢查 比容測定尿檢的一項,用於判斷血尿來源,多形型為腎炎所致,均一型常為外科性血尿。
正常值 化驗結果意義 化驗取材 化驗方法 化驗類別Birech報告畸形紅細胞分類 紅細胞大小不等,形態異常多樣,歸為以下7種[6]:①酵母菌樣紅細胞:在紅細胞外膜有小泡突出或細胞呈黴菌孢子樣改變。②炸面...
畸形紅細胞 均一型紅細胞 混合型紅細胞 判定界限 形態變化