疾病概述
瘧疾是一很古老的疾病,遠在公元前2000年《黃帝內經·素問》中即有《瘧論篇》和《刺論篇》等專篇論述瘧疾的病因、症狀和療法,並從發作規律上分為“日作”、“間日作”與“三日作”。然而,直到1880年法國人Laveran在瘧疾病人血清中發現瘧原蟲;1897年英國人Ross發現蚊蟲與傳播瘧疾的關係,它的真正病因才弄清楚。
瘧疾是由瘧原蟲所致的疾病熱帶亞熱帶國家的按蚊為傳播媒介。寄生於人體的瘧原蟲有4種,即惡性瘧原蟲、間日瘧原蟲、三日瘧原蟲、卵形瘧原蟲。惡性瘧原蟲能導致嚴重疾病;其中的許多患者是死於腦型瘧疾,腦型瘧疾是人類中樞神經系統中最常見最嚴重的寄生蟲感染性疾病據估計僅非洲撒哈拉沙漠以南,每年都有約80萬人死於惡性瘧疾。
在過去20年期間,隨著新的強有力的抗瘧藥物出現,瘧疾的治療有了很大進展但是由於持續發展的抗藥性和許多有前途的輔助治療方案的失敗卻抵消了這種進步。
流行病學
腦型瘧疾瘧疾廣泛流行於世界各地,據世界衛生組織統計,目前仍有92個國家和地區處於高度和中度流行,每年感染人數在3億~5億人,發病人數為1.5億,死於瘧疾者逾200萬人大多數死亡病例發生於非洲兒童。雖然缺乏大量流行病學統計資料,但很明顯,其中的許多患者是死於腦型瘧疾,病死率為15%~20%。
中國解放前瘧疾連年流行,尤其南方,由於流行猖獗,病死率很高。解放後,全國建立了瘧疾防治機構,廣泛開展了瘧疾的防治和科研工作,瘧疾的發病率已顯著下降。
流行特徵:瘧疾分布廣泛,北緯60°至南緯30°之間,海拔2771米高至海平面以下396米廣大區域均有瘧疾發生。中國除青藏高原外遍及全國。一般北緯32°以北(長江以北)為低瘧區;北緯25°~32°間(長江以南,台北桂林,昆明連線以北)為中瘧區;北緯25°以南為高瘧區。但實際北方有高瘧區,南方也有低瘧區間日瘧分布最廣;惡性瘧次之,以雲貴、兩廣及海南為主;三日瘧散在發生。
1.瘧疾的傳播大部分熱帶地區均有瘧疾的流行,瘧疾的流行同許多因素密切相關如:瘧疾患者和無症狀帶蟲者的密度,環境是否適於蚊的生存,在蚊的存活期內瘧原蟲能否進行成功的孢子生殖。因而傳播一般不會發生於海拔2000米以上的地區或太冷、太熱的地區。偶爾,瘧疾也能通過輸血和感染的針頭傳播,這種非蚊傳播途徑無紅細胞外期,並且依賴於接種物,其孵化期特別短。
不同地區間瘧疾的傳染率差別非常大。在臨床流行病學中,通常利用寄生蟲率(或蜱率)來衡量瘧疾的傳染率這種衡量方法僅能對感染做一個粗略的估計並不能說明疾病的嚴重程度。20世紀五六十年代,我們的目標是根除瘧疾的所有傳播途徑,在那時用這一術語是合情合理的現在我們已經認識到根除瘧疾的努力失敗了人類的干預僅能減少傳染率在這種情況下,很有必要對瘧疾的傳染程度瘧疾的發病率及致死率之間的關係進行研究。經過最近10~15年的努力,已經取得了令人振奮的成果。
2.瘧疾的致死率瘧疾所導致的死亡大多發生在那些沒有死亡證明機構的地區,並且患者沒有得到任何形式的醫療護理,瘧疾的致死率的估計非常困難。有資料表明甘比亞1~4歲的所有死亡兒童中,因瘧疾而死亡的占25%但這一資料很不準確。捕殺繁殖期的蚊蟲減少瘧疾的傳播,可降低瘧疾的死亡率。
3.臨床流行病學因發病年齡和地理區域的不同,瘧疾的臨床表現並不相同,在非洲的部分熱帶地區,瘧疾是全地方性的(兒童中的寄生率>75%),人們每天有可能遭到1~2次有感染性的蚊蟲叮咬在這些地區,1~3歲兒童瘧疾的主要臨床表現是嚴重的貧血,腦型瘧疾很少見。
在非洲其他瘧疾流行程度稍低的地區,年齡稍大一點的兒童感染瘧疾的主要臨床表現是腦型瘧疾。Snow經調查後發現:瘧疾的傳染程度同重症瘧疾的發病率間呈負相關關係生活於全瘧區或高瘧區(兒童的感染率在50%~75%)的非洲成人從不患重症瘧疾。但是在瘧疾的散發地區卻可發生重症瘧疾,比如東南亞地區,惡性瘧疾的傳播不穩定,成人患惡性瘧疾就相當常見。獲得性免疫在瘧疾的臨床流行病學中起主要作用。在高瘧區,瘧疾的患病率很高,兒童頻繁感染瘧疾。一旦到10歲左右,他們就獲得了足夠免疫力,能夠防止重症瘧疾的發生,儘管不能防止感染和寄生物血症。在低瘧區和瘧疾散發區,各年齡組人群均易感重症瘧疾。
在世界上的許多地區,瘧疾和愛滋病毒感染可以並存,關於二者之間相互作用和相互影響已引起許多研究人員的關注。從理論上講瘧疾可加速愛滋病進程,愛滋病病毒感染可使瘧疾感染惡化。但缺乏相關的研究來證實。
病因
腦型瘧疾瘧疾是由瘧原蟲引起的疾病。腦型瘧疾是人類中樞神經系統中最常見、最嚴重的寄生蟲感染性疾病。
瘧原蟲的生活史簡介:
1.無性繁殖期
(1)紅細胞外期:子孢子隨按蚊唾液進入人體通過肝細胞與其表面蛋白間的連線而侵入肝細胞侵入肝細胞瘧原蟲進行裂體繁殖,平均約6天以後裂殖體破裂釋放出數以萬計的裂殖子進入血流。
(2)紅細胞內期:裂殖子侵入紅細胞可能通過紅細胞表面血型糖蛋白上的唾液酸殘餘物。侵入紅細胞後,圓環形裂殖子(環行體,亦稱小滋體)就開始吞噬紅細胞內容物(主要為血紅蛋白);惡性瘧原蟲的小滋體看起來就像一對保溫耳套,外周為環性細胞質中央為深染的啞鈴形染色質
血紅蛋白分解的副產物是血色素和珠蛋白血色素含有一個由羥酸鹽連線的亞鐵血紅素聚合物。小滋體的次級溶酶體中出現黑褐色色素晶體,標誌著其向大滋養體階段的轉化。在這一階段的48h中,被瘧原蟲感染的紅細胞黏附性逐漸增強,原因是瘧原蟲的配體黏附在紅細胞表面的蛋白質上。黏著性強的紅細胞一部分黏附在內皮細胞上,導致血管內血容量淨增;一部分黏附在其他未被感染的紅細胞上,形成玫瑰花環;還有一部分和其他被瘧原蟲感染的紅細胞相黏附即自身凝集反應。
裂殖體進一步發育、成熟、分裂釋放新一代裂殖子進入血流重新感染新的紅細胞。在一個沒有瘧原蟲免疫力的患者體內,經過10~20次成功的入侵紅細胞,每一裂殖體可以分裂出多達32個裂殖子,瘧原蟲以對數方式持續繁殖,大約在13天出現發熱,這也是瘧疾的平均臨床潛伏期。
2.有性繁殖期
(1)在宿主體內的發育階段經過幾個紅細胞內的無性繁殖周期,部分裂殖子分化成為配子體,配子體有雌雄之分,配子體可以在血流中存活數周直到被吸食人血的雌性按蚊吞噬。
(2)在蚊體內的發育階段:在蚊體內雄性配子體分裂長出鞭毛,在蚊胃內遊動雌配子體則形成不動的圓形體,雌雄配子體融合併進行成熟分裂形成一個合子,合子增長且能活動時稱動合子,動合子鑽入蚊的胃壁外層發育為囊合子囊合子在數以千計的子孢子發育時迅速膨脹。囊合子破裂,子孢子進入人蚊的涎腺當蚊刺吸人血時,子孢子又被注入下一個宿主體內。整個過程稱之為孢子生殖,至少需要8天,確切的時間依賴於周圍環境的溫度和蚊的種類。
發病機制
腦型瘧疾1.腦型瘧疾的病理生理機製作為一種中樞神經系統的感染,腦型瘧疾有許多令人感興趣的特點。
第一,昏迷的機制尚不清楚。腦型瘧疾的病理特徵是受瘧原蟲感染的紅細胞黏附在腦深部微血管的內皮細胞上,但這如何導致昏迷還存在很大爭議。
第二,如果患者被救活,昏迷通常是完全可逆的。特別是在無獲得性瘧疾免疫力者,這些患者殘留神經系統後遺症的幾率是1%。
(1)瘧原蟲細胞黏附和宿主“堆積”受體:受惡性瘧原蟲感染的紅細胞可黏附內皮細胞,這種紅細胞還表現出其他的黏附表現型。如黏附未被感染的紅細胞(形成玫瑰花環),黏附白細胞和血小板,這種黏附就如同感染細胞間的自身凝集反應Invitro研究顯示,細胞黏附是一個特異的受體介導過程,大量的各種各樣的宿主分子以重組體蛋白的形式出現在內皮細胞層表面。這些分子包括:血小板(TSP)、CD36、ICAM-1VCAM-1、E-選擇素,CD31,硫酸軟骨素A、和整合素23BV。利用免疫組織化學方法對受體的研究證實,腦型瘧疾患者腦中確有這種受體表達,並且部分受體上調。然而,這種受體表達方式並不能解釋特異性的腦受體內聚因為相同的受體在身體其他血管床中也有表達。堆積受體表達上調是由於全身性內皮激活,並不是特異性地出現在腦型瘧疾中,患瘧疾時的其他血管床及其他全身感染性疾病都可出現。
在腦型瘧疾中,是否瘧原蟲的堆積可直接導致昏迷,尚存在爭議一項關於50個越南成人重症瘧疾患者(伴有或不伴有昏迷)的研究證實,將存活時間和治療持續時間都考慮進去所有CM患者都顯示有腦堆積,儘管許多有腦部PRBC堆積的患者直到死亡依然沒有出現昏迷。堆積對CM病的昏迷是必需的(必不可少的),但不是昏迷出現的全部原因,其他一些學者認為“堆積”僅僅是一種副現象CM的所有症狀均可由循環中可溶性因素引起,如細胞增殖或含氧化物等(Clark,1991~1992)。極有可能的是在PRBC堆積後,啟動了一系列反應,可能包括可溶性介質釋放這種介質來自於PRBC或宿主腦細胞後者可能直接導致昏迷。
(2)瘧原蟲黏附配體:關於瘧原蟲黏附配體對宿主內皮細胞堆積受體的黏附性多大還知之甚少。利用顯微操作法克隆瘧原蟲的體外實驗顯示:對ICAM-1和CD36的黏附是分開的獨立的。抗原表型同細胞黏附的變化相適應,表明這兩種表型由同一分子構成。利用生化技術對實驗室隔離種群的細胞黏附特性進行研究顯示:惡性瘧原蟲紅細胞膜蛋白-1起一定作用。在惡性瘧原蟲基因庫中一個大的基因家族-Var基因的確定,使PFEMP-1克隆最近得以實現一個多基因家族隨機分布在惡性瘧原蟲基因庫中,但主要集中在斷粒表達區。他們有幾個區域,包括同達菲血型抗原結構序列相似的達菲結構非結構域對配體結構序列的研究有助於闡明細胞黏附表現型差異的機制,這種細胞黏附表現型因瘧原蟲種類和它們同宿主受體的相互作用不同而存在差異。
(3)血-腦脊液屏障的內皮激活:無論是來自臨床的還是來自動物模型的資料都表明,腦微血管中PRBC堆積同內皮激活密切相關免疫表現型發生了改變。電鏡顯示:內皮細胞的培養顯示:這些細胞發生了明顯的形態學改變,如對一些瘧原蟲感染的紅細胞的吞噬作用,儘管在人類還沒有發現這種現象比較合理的解釋是,PRBC對腦內皮細胞的黏附通過像ICAM-1和CD31的分子有可能產生受體介導的細胞信號,這些信號可導致血-腦脊液屏障結構和功能改變PRBC對腦內皮細胞的黏附可能有一定意義,不僅因為它對血流的阻礙作用而且會導致血-腦脊液屏障功能障礙,同外周膠質細胞激活相聯繫的血-腦脊液屏障滲漏和TNF-α分泌可見於CM的鼠模型。
(4)可溶性神經活性介質:瘧疾昏迷的快速可逆性使許多作者相信CM的症狀可能是由可溶性快速彌散性神經介質而引起。這些可能是瘧原蟲毒素存在,由感染引起的宿主細胞毒素的釋放,中樞神經系統內局部神經活性介質的釋放,後者可產生一種碎樣作用。
(5)TNF-α:同重症膿毒血症類似,TNF-2及其他一些炎性前細胞毒素是導致重症瘧疾患者出現多系統器官衰竭、低血壓的重要的假定性因素。非洲患兒血漿中。TNF-α水平升高同疾病的嚴重程度密切相關。許多其他疾病,如間日瘧,血漿中TNF-α水平也很高。但大多數臨床上卻沒有昏迷,因而單純的全身性TNF-α升高並不是腦部症狀惟一原因。
(6)氮氧化合物:腦實質中釋放一氧化氮也曾被認為是引起腦型瘧疾昏迷的可能機制。然而對血清、腦脊液中一氧化氮代謝的研究卻得出了相衝突的結論許多研究發現血漿中PNI(氮反應中間物)和疾病的嚴重程度呈正相關,然而另外一些研究卻發現二者之間無聯繫,甚至呈負相關。腦脊液中的水平也無任何有用的價值如果說一氧化氮在腦型瘧疾中的病因學中起一定作用,那也是在局部起作用。對腦脊液和血漿僅用一氧化氮代謝水平的檢測是一種相當遲鈍的方法。
(7)顱內壓、腦血供和腦水腫:瘧疾患者的顱內壓可以通過腰穿時腦脊液壓力或顱內壓檢測來估計。患CM的東南亞成年人腦脊液壓力不升高。但在非洲兒童ICP升高的水平卻同不良預後密切相關。顱內壓的升高可能會導致腦灌注壓的降低,繼而引起細胞毒性水腫,在非洲兒童還會引起腦幹疝。然而,屍解表明越南患者腦幹疝的發生率相當低東南亞成人患者的影像學檢查也表明大多數患者無腦水腫,因此,患CM的不同人群其ICP可能不同。
(8)宿主對腦型瘧疾易感性和抵抗力的遺傳多態性:宿主對腦型瘧疾的易感性和抵抗力存在著遺傳多態性,最早被描述和了解最好的是遺傳性紅細胞疾病。在瘧疾流行區的人群中,關於這些疾病的遺傳密碼的突變率較高。純合子是一種有潛在危害性的表現型。對抗瘧原蟲感染來說雜合子具有一定優勢。這些遺傳性紅細胞疾病包括:鐮狀細胞性貧血遺傳性卵性紅細胞增多症和α、β型地中海貧血,這種多態性之所以能增強宿主的抵抗力,據認為是由於降低了瘧原蟲入侵人體和在紅細胞中生存的能力,許多HLA等位基因,特別是甘比亞兒童的HLA-B53都對重症瘧疾起一定防護作用。但情況並不總是這樣,他們的病理生理意義還不太清楚。最近在D胞基因的啟動子區域發現了一種同瘧疾密切相關多態性,從理論上講,這種多態可以通過改變個體細胞毒素對感染的反應而影響疾病。另外,最近還確認了一種可使肯亞兒童腦型瘧疾發病率升高的多態,這種多態位於堆積受體。關於宿主遺傳易感性的研究才剛剛開始,但已顯示出良好的發展前景在今後的幾十年中這項研究一定會對重症瘧疾病理生理的理解起最大推動作用。
2.腦型瘧疾的病理組織學特點義大利的Marchiafava和他的研究小組於19世紀晚期就開始了腦型瘧疾的病理學研究。自此以後,大量的研究成果被發表儘管這些研究在規模、程度(深度)、臨床和病理的相關性方面存在著差異。這些研究項目內部和項目之間混亂的異質性是造成確認腦型瘧疾病理特徵的重要障礙。許多普通的病理特徵已經被認識,儘管它們的意義和病因學依然存在爭議。隨著世界衛生組織診斷標準及新的試驗方法(如電鏡、免疫組織化學及分子生物學等)的套用使得最近大量的臨床病理研究方向又轉向了腦型瘧疾的病理學。
(1)受感染的紅細胞凝集:第1個闡述這一凝集過程的是Marchiafava小組。相對於正常紅細胞,這些被感染的紅細胞極大地增加了血液循環阻力,它們聚集在大血管的周邊部,在部分毛細血管使血流緩慢,甚至完全停滯。
死亡的腦型瘧疾患者屍解後腦組織的組織學電鏡檢查顯示由於大量被感染紅細胞的存在使得腦微血管擴張這些紅細胞通過其表面的結節蛋白黏附於腦的內皮細胞上。出現這種現象的原因是:晚期滋養體和裂殖體感染的紅細胞選擇地從正常循環中消失,而堆積在重要器官的微血管內。這一過程同臨床上的細胞黏附現象相聯繫,這一過程的特徵是PRBC以受體為介導黏附在內皮細胞上
一些研究表明,重症瘧疾中昏迷的發生同腦微血管中紅細胞凝集密切相關而另外一些研究則認為昏迷的發生同紅細胞凝集無明顯關係這些研究沒有考慮到諸如患者死亡前治療持續的時間等因素,這些因素能夠影響到紅細胞凝集的組織學觀察。
(2)色素沉著和吞噬作用:當瘧原蟲進行孢子生殖時殘留的紅細胞膜外殼則黏附在腦的內皮細胞上,這些外殼中含有人體所不需要的瘧原蟲殘留物,如瘧色素及瘧原蟲在發育過程中消化血紅蛋白所遺留的破碎物。當新近被未成熟的環形瘧原蟲所感染的紅細胞重新進入血液循環後沿腦血管可以見到色素沉著。循環著的單核細胞吞噬紅細胞外殼和瘧色素。瘧色素有毒並且對體外的單核細胞有刺激作用(如刺激TNF-α)。PRBC破裂後留下的瘧色素對腦的內皮細胞也會產生直接的病理、生理影響。
(3)出血:出血是腦部常見的一個病理特徵肉眼可以觀察到腦組織上有多個小的淤點,這些出血通常位於皮質下白質的邊緣。組織學檢查顯示有3種類型出血:第1種是單純的淤點出血在諸如一氧化碳中毒和氣壓傷時,可以見到這種出血;第2種是環行出血,其特點是中央為壞死血管,周圍環繞著未被感染的紅細胞,再向外是PRBC及白細胞;第3種是Dürck肉芽腫,中央是血管,周圍被小膠質細胞及星形膠質細胞所包圍。
(4)腦水腫和腦腫脹:放射學的證據及顱內壓檢測都表明在許多重症瘧疾患者中確有腦腫脹。然而,卻缺乏腦水腫的病理學依據如腦室周圍、腦實質及細胞內水腫。越南成年瘧疾患者的屍解顯示無廣泛的細胞水腫、腦幹疝或腦的重量增加另外一些來自非洲兒童的資料也顯示無腦水腫一項正在進行的關於馬拉威兒童的研究卻顯示有腦水腫因而不同人群之間有一定差異。兒童患者腦腫脹的發生率明顯高於成人,可能是二者在腦血管自動調節或血-腦脊液屏障的維持方面存在差異。一個關鍵的問題是:是否腦腫脹和顱內壓升高意味著腦水腫存在。PRBC在血管內的堆積可能會導致腦體積增大。然而,有一點是肯定的,因腦型瘧疾而死亡的患者能發現腦水腫。
(5)白細胞和星形角質細胞的炎性反應:對腦型瘧疾患者腦的脈管系統中白細胞的觀察各不相同許多研究認為白細胞的出現是一個常見的病理特徵,幾個學者甚至認為他們闡明了內皮細胞損害的病理生理機制。來自動物模型鼠的資料表明:患腦型瘧疾的鼠確有血管內白細胞堆積,隨之發生的炎性反應前的細胞增殖,可能在瘧疾的病理中起主要作用。除出血區域周圍白細胞外滲外,白細胞本身遷移人腦不是人類腦型瘧疾的一個病理特點。
有人認為,循環中的白細胞或星形膠質細胞在炎性反應前的增殖反應,明顯地促成了鼠瘧的病理過程這種鼠瘧類似於腦炎。有證據表明,在越南腦型瘧疾患者中,存在腦內皮細胞的激活,血-腦脊液屏障連線蛋白的局部破壞,及與之相關聯的外周血巨噬細胞激活。外周血巨噬細胞的激活可能反映了血-腦脊液屏障的功能異常這種變化發生在鼠瘧模型中然而鼠瘧和人瘧有很大差別,特別是鼠瘧沒有感染的紅細胞在腦中的凝集,鼠的動物模型為研究人類疾病的病理生理機制提供了方便,但不能完全準確地反映人類疾病。
(6)神經元毒性和神經元變性:關於腦型瘧疾中神經元變性的報導很少儘管有PRBC凝集,但令人驚訝的是廣泛的神經元缺血或內皮細胞損傷並不常見。Marchuafava和Bignami曾報導在腦細胞中有染色質溶解,並以此來解釋臨床上幾個腦幹症狀突出的病例。Rigdon曾報導小腦中有Purkinje細胞減少和腦組織局部變性。Invitro的研究也表明,腦型瘧疾患者體內循環中的抗體能抑制體外Purkinje細胞的生長。最近研究較多的是來自Kynenrinime通道的興奮性毒性神經遞質的潛在作用,這種遞質在鼠瘧模型中可導致昏迷。當前主要通過再灌注損傷。興奮性毒性神經遞質的釋放和細胞凋亡來研究神經元的死亡,隨著這一研究的深入神經元毒性在人類腦型瘧疾病因學中的作用也會越來越清楚。
(7)骨髓、腎、胃腸、肺、心、腎上腺等均有不同程度的吞噬細胞增生,並可見吞噬有含瘧原蟲的紅細胞和瘧色素,毛細血管內有含瘧原蟲的紅細胞,甚者微血管阻塞,內皮脫落、變性壞死等。
臨床表現
腦型瘧疾1.無併發症的瘧疾無併發症的惡性瘧疾,其臨床表現非常類似於其他3種良性人類瘧疾。開始時其症狀甚至可能比間日瘧還輕。其症狀為頭痛、肌痛乏力、煩躁不安,24~48h後出現發熱,發熱通常伴有畏寒寒戰、偶爾伴有發冷僵硬。頭痛、肌痛會加重,並出現厭食。在單純惡性瘧原蟲感染時很少見到典型的間日熱,偶爾最高體溫可以超過39%,雖然肺功能檢查無明顯異常但諸如咳嗽、呼吸急促等呼吸系統症狀也會出現。肝、脾大,輕度腹部不適、噁心嘔吐、腹瀉、便秘也均常見。瘧疾感染所致的複雜臨床症狀沒有特異性對診斷沒有太大幫助任何居住在或去過流行區的臨床單純表現為發熱的患者,都應高度懷疑瘧疾,直到臨床證實為其他疾病。
在不同地區和人群中,急性瘧疾感染髮展成為重症瘧疾的比例不同。這一比例受到抗瘧治療的嚴重影響。據估計,在甘比亞兒童中急性瘧疾感染髮展成為重症瘧疾的比例約為1%,在泰國的成年人中,瘧疾的死亡率為1%。
2.成人和兒童的比較有報告在非洲兒童和無瘧疾免疫力的東南亞成人兩組人群中進行了重症瘧疾的研究,在這兩組人群中臨床表現差別顯著(表1)。
3.腦型瘧疾重症瘧疾引起意識損害的原因包括:發作的形式、低血糖、重症酸中毒和低血壓(休克)。引起昏迷的非腦原因可以使腦型瘧疾惡化。在臨床工作中,任何患者只要被證實有惡性瘧原蟲感染和意識的損害或其他腦功能異常,都應看作重症患者都要立即進行抗瘧治療並進行特別監護。
(1)成人腦型瘧疾:通常表現為瀰漫性、對稱性腦病可由癲癇大發作所誘發,也可以在幾個小時內逐漸發展而來,嚴格定義的腦型瘧疾要求:在外周血的塗片上發現無性繁殖階段的惡性瘧原蟲癲癇發作後的昏迷至少持續30min,並排除其他原因所導致的腦病(如細菌性腦膜炎、病毒性腦病),低血糖也應被排除在外不能被喚醒的昏迷有以下兩點要求,一是GCS(Glasgow’scomascale)評分中運動評分≤3(失定向),二是語言評分≤2(完全不能理解聲音的含義)GCS中的睜眼部分評分意義不大,因為在腦型瘧疾患者中,儘管患者處於深昏迷,但眼睛是睜開的。局灶性神經系統體徵常見。儘管有輕度頸項強直但細菌性腦膜炎引起的顯著的假性腦膜炎特徵:畏光、高度頸項強直見不到。瞳孔對光反射、角膜反射存在,眼-頭眼-前庭反射正常,而輻輳反射常出現障礙,原始反射如撅嘴反射可能出現,下頜反射通常是活躍的。可能會出現全身肌張力增高,踝陣攣很容易誘發,對稱性腱反射活躍。肌張力低下偶爾也可以見到。腹壁反射通常消失。在重症患者去腦強直(四肢伸性強直)、去皮質強直(上肢屈曲、下肢伸直)可自發出現(在並發低血糖時)也可由有害刺激誘發
在無瘧疾免疫力的成人中,驚厥的發生率要少於兒童大約20%的腦型瘧疾出現驚厥,無意識障礙的患者很少發生驚厥驚厥的發生同低血糖無關。
在成年患者,昏迷通常持續1~5天(平均2天),但偶爾也可持續達2周大多數患腦型瘧疾的成年人,從昏迷中醒來後無明顯神經系統異常殘留。
(2)兒童腦型瘧疾:兒童腦型瘧疾的嚴格定義為:失去對疼痛刺激定位的能力。這項檢查不適用於年齡特別小的兒童。儘管Blantyre昏迷評分表不太準確,但臨床上也常用,嚴格定義的腦型瘧疾評分≤2/5較長一點的兒童可以用成年人GSC來評估。對於兒童其他一些引起意識障礙的病因也應考慮到例如驚厥(比一般的良性驚厥有更長的發作後期),低血糖(在早期,對靜脈注射葡萄糖反應良好)及服用鎮靜藥,對於科學研究來說,確切的腦型瘧疾的定義很重要,但在實際臨床工作中,任何出現虛脫的瘧疾患兒(伴有或不伴有意識障礙)都應按重症瘧疾來治療。所謂虛脫是指在無攙扶的情況不能坐穩而正常的同齡人卻可坐穩。在臨床上虛脫易於識別,需要緊急治療。對腦型瘧疾來說,從發熱到出現昏迷,非洲兒童一般為48h,這比沒有瘧疾免疫力的成年人短得多他們的甦醒也要快一些,通常為2~3天。在深昏迷的患者,輻輳反射異常,全身肌張力增高或降低去皮質或去腦狀態及角弓反張都可能出現,可發生腦幹疝,繼之出現腦幹體徵,隨後患者就可能死亡。
在患瘧疾的非洲兒童中,驚厥是最常見的神經系統臨床表現,70%以上的腦型瘧疾患兒會出現驚厥。驚厥可作為腦型瘧疾的一部分出現,也可單獨出現。Crawley在一項研究中指出,腦型瘧疾患兒出現癲癇隨後收住院,這其中有25%患兒的腦電圖顯示有隱性的癲癇持續狀態。這些患兒,癲癇發作的臨床表現多種多樣,如不規則的呼吸方式眼球震顫,手指和口角的輕微抽動在服用抗驚厥藥物後,這些患兒的癲癇發作會迅速終止。無意識障礙的惡性瘧疾患兒也常發生癲癇,特別是3歲以下的人群其中的一些癲癇發作屬於熱性驚厥。
(3)神經系統後遺症:部分腦型瘧疾患兒雖生存下來,但卻殘留有神經系統後遺症,如共濟失調、皮質盲和偏癱等,成為人類社會的巨大負擔。這些後遺症往往同長期深昏迷、驚厥的反覆發作和低血糖有關。神經系統併發症的發生率可能在20%以上,但病後6個月這一比率就下降到了<5%。關於輕微的神經精神後遺症是否持續存在,有不同的說法。現在還不清楚,腦型瘧疾是否對兒童的社會心理和智力發展有長期影響。
(4)其他一些神經系統表現:惡性瘧疾的神經系統表現不僅有昏迷、癲癇發作、神經系統後遺症在越南的成年人中還有一種自限性的瘧疾後神經系統綜合徵。這種患者表現為急性意識障礙、精神錯亂、癲癇發作或震顫。一項研究表明,從瘧原蟲的清除到神經系統症狀的發作,平均歷時96h(6h~60天),這種綜合徵在所有惡性瘧疾患者中的發病率為0.12%,相對於無併發症的瘧疾,它引發重症的幾率通常要多300倍。一項隨機實驗表明,這種綜合徵更易發生在用甲氟奎進行抗瘧治療的患者中,而用奎寧和磺胺多辛/乙胺嘧啶聯合進行治療的患者則不常見。
併發症
1.低血糖惡性瘧疾患者常並發低血糖,而且預後較差。低血糖可能由疾病本身引起也可能是奎寧或奎尼丁抗瘧治療的一種副作用。低血糖的臨床表現有時不典型,被錯當成惡性瘧疾本身的臨床特點,如出汗、焦慮、意識模糊、昏迷。如果臨床上懷疑低血糖而又不能立即得到血糖測量結果,應立即給予50%葡萄糖進行實驗性治療。如果低血糖確實存在,那么這種實驗性治療會使症狀明顯改善。
2.酸中毒在惡性瘧疾患者中代謝性酸中毒的病理生理及其預後直到現在才受到重視。非洲惡性瘧疾患兒中出現的呼吸窘迫綜合徵,以前或者未被認識或者被錯誤地歸因於重度貧血(其次為心衰),現在認為主要是由乳酸在體內堆積和腎重吸收重碳酸鹽障礙所致。
重症瘧疾患者均會出現腎重吸收重碳酸鹽障礙。另外血容量減少和貧血同乳酸酸中毒也有一定關係。以前有人認為腦脊液乳酸鹽升高的腦型瘧疾患者預後較差,但臨床情況並非如此,因代謝性酸中毒既可累及腦也可不累及。
3.重度貧血貧血是惡性瘧疾常見的症狀。瘧疾是瘧原蟲對紅細胞的感染,貧血是其必然結果。如果貧血特別顯著,貧血本身也可看作是重症瘧疾的一個診斷標準。在因瘧疾而被收入肯亞醫院的2433名兒童中,重度貧血(Hb<5g/dl)的發病率為29%,其致死率為18%這高於8%的總病死率。
重度貧血如伴發呼吸窘迫,其症狀將會特別嚴重因重症瘧疾而收住院的越南成年人中,重度貧血發病率為16%90%的重度貧血患者伴有至少一種以上的重症瘧疾的其他症狀,並且重度貧血本身也不能作為一個預後差的有效指標。
4.腎功能衰竭瘧疾患者的腎臟損害形式多種多樣其中最重要的是“急性腎小管壞死綜合徵”這種綜合徵類似於膿毒症時的腎臟損害。腎功能衰竭最常見於無瘧疾免疫力的患者偶見黑尿熱。
在無瘧疾免疫力的患者中,急性腎功衰竭(ARF)的發生率很高在560例收住院的重症越南成年瘧疾患者中,有158例(28%)入院時有腎衰41%的患者在疾病的不同階段出現腎衰,最後有14%的患者需透析治療。入院時有腎衰的患者,其病死率較高(有腎衰的患者病死率為29%無腎衰的患者為9.2%)這一點同患重症瘧疾的非洲兒童有明顯不同,這些兒童的腎功能異常通常是亞臨床性的,絕大多數不需透析治療。
腎衰的患者最初的表現為少尿或無尿,多伴有黃疸和乳酸酸中毒,常需立即或早期透析當瘧疾急性階段過後,如發生腎衰,多為非少尿性腎衰,很少需透析治療如這組患者需透析其指證往往不是高血鉀或水瀦留而是尿毒症或非乳酸酸中毒。
瘧疾患者急性腎衰的臨床特點,同細菌性膿毒症或低血容量引起的“急性腎小管壞死”綜合徵非常相似表明二者的病理過程可能相同。從幾個發生腎衰的瘧疾患者身上所取的腎活檢顯示腎小管的病理改變同ATN相一致,也支持上面的推論,而腎小球腎炎的報導卻很少。
5.黑尿熱黑尿熱臨床特點是發熱,大量的血管內溶血和血紅蛋白尿在嚴重的病例會導致急性腎衰。它的確切病因不清楚,沒有任何一種單一的病因能夠解釋所有黑尿熱病例。人們已經知道黑尿熱僅發生於熱帶的瘧疾流行區,並且同瘧原蟲感染,服用奎寧及6-磷酸葡萄糖脫氫酶缺乏有關係,但是這些因素如何導致溶血尚不清楚。以前,黑尿熱曾是導致腎衰和瘧疾患者死亡的主要原因現在已很少見到。
6.黃疸黃疸同ARF一樣也非常常見。黃疸同腎衰、腦型瘧疾、重寄生血症有一定關係它是由溶血和輕度肝功異常聯合作用而引起患者不會發生伴撲翼樣震顫的嚴重肝功能異常和肝性腦病。血清轉氨酶有可能升高。肝功下降有可能導致乳酸酸中毒。
7.肺水腫肺水腫是重症瘧疾的嚴重併發症常見於孕婦如果沒有機械通氣設備,肺水腫常會致死從臨床來看,它類似於成人呼吸窘迫綜合徵。雖然液體過量可促進肺水腫但患者的中心靜脈壓和肺動脈壓通常是正常的。
8.血流動力學性休克(寒性瘧疾)血流動力學性休克是重症瘧疾的一個嚴重併發症。
同細菌性敗血症相同其特點是全身血管張力降低,而心輸出量升高或正常。休克通常是在其他嚴重瘧疾併發症基礎上發生的,常伴有血漿乳酸水平升高和代謝性酸中毒,預後很差。偶爾伴發細菌性敗血症但血培養通常是無菌的。
9.止血功能異常重症瘧疾患者發生出血的危險性增加,特別是當發生多系統功能異常時。鼻出血,牙齦出血甚至更為嚴重的上消化道出血都會發生,但危及生命的出血很罕見。
瘧疾患者血小板減少常見,但血小板很少低於25000/μl,除非伴發特別嚴重的疾病。瀰漫性血管內凝血的實驗室檢查通常是正常的。
診斷
1.流行病學有在瘧疾流行區居住或旅行史,近年有瘧疾發作史或近期曾接受過輸血的發熱患者。
2.腦型瘧疾多發生在流行期中,多急起,高熱寒戰,昏迷與抽搐等流行區嬰幼兒突然高熱、寒戰、昏迷,也應考慮本病。
3.實驗室檢查主要是查找瘧原蟲,通常找到即可確診。血片找瘧原蟲應當在寒戰發作時採血此時原蟲數多易找。需要時應多次重複查找。並一定要做厚血片尋找。
如臨床高度懷疑而血片多次陰性,可做骨髓穿刺塗片查找瘧原蟲。
4.治療性診斷臨床表現很像瘧疾但經多次檢查未找到瘧原蟲,可試用殺滅紅內期原蟲的藥物(如氯喹),治療48h發熱控制者,可能為瘧疾。
對於曾在瘧疾流行區居住過的、有意識障礙或癲癇發作的患者,都應懷疑為腦型瘧疾不管他們是否預防性的服用過抗瘧藥物。瘧疾也可通過紋叮咬以外的其他方式傳播,如輸血、污染的針頭或器官移植等,如沒有考慮到這一點有可能延誤診斷,這種延誤是非常危險的。
如果一個重症患者被高度懷疑為瘧疾而第一次塗片是陰性的,也須根據經驗進行抗瘧的診斷性治療。
鑑別診斷:
瘧疾急起高熱,熱型稽留或弛張者類似敗血症。但敗血症全身中毒症狀重;有局灶性炎症或轉移性化膿病灶;白細胞總數及中性粒細胞增高;血培養可有病原菌生長。
腦型瘧疾易與流行性乙型腦炎、中毒性痢疾、中暑相混淆通常要仔細反覆查找瘧原蟲。中毒性痢疾還應做糞常規培養。一時弄不清可先用抗瘧藥治療以等待結果。
檢查
實驗室檢查:
1.血象紅細胞和血紅蛋白在多次發作後下降,惡性瘧尤重;白細胞總數初發時可稍增,後正常或稍低,白細胞分類單核細胞常增多,並見吞噬有瘧色素顆粒。
2.瘧原蟲檢查
(1)血液塗片:外周血塗片是最敏感,特異性最高的檢驗方法,這種檢查方法是有顯微鏡對外周血塗片上的感染紅細胞進行計數外周血塗片是經改進的姬姆薩染色或反向菲德染色處理過的,如果塗片在染色之前用酒精固定,那么在完整的紅細胞內可見到瘧原蟲。用受感染紅細胞的百分率來表示塗片的計數,以上所述為磨片法。較厚血塗片可直接染色,紅細胞被溶解,僅留下可見的瘧原蟲和白細胞核,這就是所謂的厚片法用與每200個或400個白細胞相伴的瘧原蟲數來表示其計數。薄片法易讀而厚片法較為敏感。
如果患者在感染瘧原蟲之前或感染同時曾進行抗瘧治療,那么他的血塗片開始可能為陰性。如果臨床懷疑為瘧疾感染,血塗片檢查應反覆進行。有重症瘧疾症狀和體徵的無獲得性免疫力的患者,如果在低倍鏡下發現其循環中的白細胞質中出現瘧原蟲色素的碎塊那么患者就應該確診為重症惡性瘧疾。
(2)骨髓塗片染色查瘧原蟲,陽性率較血片高。
3.血清學檢查抗瘧抗體一般在感染後2~3周出現4~8周達高峰,以後逐漸下降現已套用的有間接免疫螢光、間接血凝與酶聯免疫吸附試驗等,陽性率可達90%一般用於流行病學檢查。
最近出現了許多快速診斷瘧原蟲感染的方法第一種是以吖啶橙螢光技術為基礎的,經改進並套用於臨床的定量裸衣(OBC)技術最新的是浸潤片方法,這種方法是測定瘧原蟲乳酸脫氫酶後一種方法可檢測瘧原蟲並分辨其種屬。而前一種方法對惡性瘧原蟲具有特異性,二者都不如厚片法敏感,但無疑這兩種方法會在瘧疾並不常見的歐美國家的實驗室中起一定的作用。
4.腦型瘧疾中腰穿的作用由於腦型瘧疾患者(特別是兒童)顱內壓升高可能帶來的病理生理後果,在處理昏迷的瘧疾患者時,早期是否進行腰穿尚有爭議。
對於任何有意識障礙(或歲以下兒童的癲癇發作)的患者腰穿對於排除細菌性腦膜炎是關鍵的。有人擔心,對於有腦腫脹的兒童,腰穿會誘發腦疝。這是一種理論上的擔心,但未被證實。而影像學檢查卻顯示,大多數患腦型瘧疾的兒童和成年人並沒有腦水腫。沒有證據表明成年患者的顱內壓升高在疾病發展中起主要作用。腰穿通常被認為是一種安全的檢查手段有一點非常重要,所有患者的抗瘧治療都不應被腰穿耽擱。
其它輔助檢查:
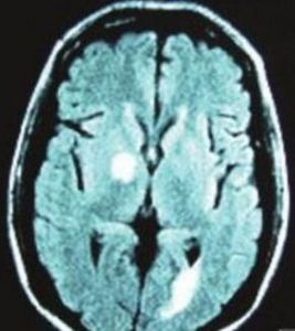
CTMRI檢查有助於鑑別診斷。
治療
如果臨床確診或高度懷疑為瘧疾,在檢查完呼吸道和稱完體重後,就應開始抗瘧疾治療。如果存在,或不能排除低血糖,應按低血糖給予治療,如果存在呼吸窘迫或低血氧,應給予吸氧如果脫水即應補液。如果確診或高度懷疑為重症瘧疾,應將患者轉入ICU。
1.基礎治療
(1)發作期及退熱後24h應臥床休息。
(2)要注意水分的補給,對食慾不佳者給予流質或半流質飲食,至恢復期給高蛋白飲食;吐瀉不能進食者,則適當補液;有貧血者可輔以鐵劑。
(3)寒戰時注意保暖,大汗應及時用乾毛巾或溫濕毛巾擦乾,並隨時更換汗濕的衣被,以免受涼;高熱時採用物理降溫,過高熱患者因高熱難忍可藥物降溫;兇險發熱者應嚴密觀察病情及時發現生命體徵的變化,詳細記錄出入量,做好基礎護理。
(4)按蟲媒傳染病做好隔離患者所用的注射器要洗淨消毒。
2.病原治療病原治療的目的是既要殺滅紅內期的瘧原蟲以控制發作,又要殺滅紅外期的瘧原蟲以防止復發,並要殺滅配子體以防止傳播。
(1)控制發作
①氯喹(磷酸氯喹):每片0.25g(基質0.15g)。第1天4片,6h後再服2片,第2、3天每天2片,總計10片治療間日瘧及三日瘧第1天4片已足;治療半免疫者單劑4片即可。該藥吸收快且安全,服後1~2h血濃度即達高峰;半衰期120h;療程短;毒性較小,是目前控制發作的首選藥部分患者服後有頭暈、噁心。過量可引起心臟房室傳導阻滯、心率紊亂血壓下降禁忌不稀釋靜注及兒童肌內注射。尿的酸化可促進其排泄。嚴重中毒呈阿斯綜合徵者,採用大劑量阿托品搶救或用起搏器值得注意的是惡性瘧疾的瘧原蟲有的對該藥已產生抗性。
②阿莫地喹(鹽酸氨酚喹啉):作用與氯喹相似。每片0.25g(基質0.2g),第1天3片第2、3天各2片。
③哌喹及哌喹(磷酸哌喹):本品作用類似氯喹,半衰期9天為長效抗瘧藥。哌喹每片含基質0.3g,哌喹(磷酸哌喹)每片0.25g(基質0.15g)口服首劑基質0.6g,8~12h後再服0.3g(惡性瘧0.6g)。哌喹須經胃酸作用成鹽酸鹽後才易吸收。哌喹(磷酸哌喹)吸收快,味苦。耐氯喹的蟲株對本品仍敏感。
羥基哌基(Hydroxypiperaquine)及磷酸羥基哌喹(Hydroxypiperaquinephosphate)與哌喹類同,但吸收較快,半衰期2~3天。三天療法惡性瘧各服基質0.6、0.6、0.3g;良性瘧疾各服0.6、0.3、0.3g。較哌喹類更適用。
④奎寧(硫酸奎寧):本品系金雞納樹皮中的一種生物鹼。抗瘧作用與氯喹大致相同,除較迅速殺滅紅內期原蟲外,還有退熱作用。但該藥半衰期短(10h),味苦;對中樞有抑制作用表現為頭昏,耳鳴和精神不振;對心臟有全面抑制作用靜注可出現血壓下降;對子宮能增加其收縮力,可引起流產;因此該藥僅用於抗氯喹的惡性瘧疾及重症病例的搶救片劑每片0.3或0.12g,口服第1~2天0.45~0.6g3次/d,第3~7天0.3~0.6g,2次/d。奎寧(二鹽酸奎寧)僅在兇險瘧疾時考慮使用。
⑤甲氟喹(鹽酸甲氟喹):適用於治療各型瘧疾及有抗性的病例。一次頓服4~6片(1~1.5g)。
⑥硝喹(Nitroquine):本品對各種瘧疾及抗氯喹蟲株均有效每片基質12.5mg,常與氨苯碸複方,各含12.5mg。口服每天4片,連服3天;3歲以下服1/4片。72h方能控制症狀,故作用較慢。
⑦青蒿素:該藥作用於原蟲膜繫結構,損害核膜、線粒體外膜等而起抗瘧作用。其吸收特快,很適用於兇險瘧疾的搶救。總劑量2.5g,首次1.0g,6h後0.5g,第23天各0.5g。因排泄迅速故易復發。蒿甲醚,肌注首劑0.2g,第2~4天各0.1g。
⑧其他新藥:磷酸咯啶(Pyracrinephosphate)每片0.1g,首劑3片以後2片2次/d,療程2天。咯萘啶(磷酸咯萘啶)療程2天各服基質0.80.4g。丫索啶(Azacrin)療程3天,各服0.60.3、0.3g。半免疫者可服單劑0.6g。
⑨針刺療法:於發作前2h治療可控制發作,系調動了體內免疫反應力穴位有大椎陶道、間使、後溪,前兩穴要使針感向肩及尾骨方向放散,間歇提插捻轉半小時。瘧門穴,承山穴單獨針刺有同樣效果。
⑩中醫藥:祖國醫學認為病因是外感暑溫瘧邪。分為正瘧、瘴瘧、久瘧。正瘧相當於慢性復發瘧疾。正瘧主張和解少陽,祛邪上瘧,套用小柴胡湯加減(柴胡黃芩黨參陳皮、半夏、甘草)。瘴瘧認為需清熱、保津、截瘧,主張給生石膏、知母、玄參、麥冬柴胡、常山,隨症加減久瘧者需滋陰清熱,扶養正氣以化痰破淤軟堅散結常用青蒿別甲煎;何人飲;別甲煎丸等。民間常用單方驗方,如馬鞭草1~2兩濃煎服;獨頭大蒜搗爛敷內關;酒炒常山、檳榔、草果仁煎服等。均為發作前2~3h套用。
(2)惡性瘧原蟲的抗藥性:凡氯喹2.5g(基質1.5g)總量分3天服,未能消除無性生殖原蟲或1個月內再燃者,稱為抗性。對有抗性者應選用甲氯喹、青蒿素或聯合用藥。
(3)防止復發和傳播:磷酸伯氨喹啉(Primaquinephosphate,簡稱伯喹)本品能殺滅紅細胞外期原蟲及配子體故可防止復發和傳播。每片13.2mg(基質7.5mg)可每天服3片,連續8天或每天4片,4天一療程惡性瘧疾為防止傳播也可服伯喹,頓服4片或1天3片連續2~3天以消滅配子體。本品過量或者紅細胞缺乏G-6-PD則易致溶血反應。伯喹可與控制發作的藥物同時服用。
3.兇險發作的搶救兇險發作的搶救原則是:
(1)迅速殺滅瘧原蟲無性體。
(2)改善微循環防止毛細血管內皮細胞崩裂。
(3)維持水電平衡。
(4)對症。
4.快速高效抗瘧藥可選用:
(1)青蒿素注射液:100mg肌注,第1天2次,後每天1次,療程3天
(2)咯萘啶(磷酸咯萘啶)注射液:3~6ml/kg,加5%葡萄糖液或生理鹽水靜脈滴入或分次肌注,2~3天一療程。
(3)氯喹(磷酸氯喹)注射液:0.5g(基質0.3g)加於5%葡萄糖液或生理鹽水300~500ml中,靜滴。第1天內每6~8小時1次共3次,第2、3天可再給1次。滴速宜慢,每分鐘40滴以下。兒童劑量應小於5mg/(kg·次),較安全為2.5mg/kg,滴速12~20滴/min。患者一旦清醒即改為口服。
(4)奎寧(二鹽酸奎寧)注射液:0.5g加於5%葡萄糖鹽水或葡萄糖液300~500ml,緩慢靜滴8h後可重複1次。兒童劑量5~10mg/(kg·次)肝腎功能減退者應減少劑量,延長時隔時間。肌注應雙倍稀釋深處注入,以防組織壞死。
5.其他治療
(1)循環功能障礙者,按感染性休克處理,給予皮質激素,莨菪類藥,肝素等右鏇糖酐-40(低分子右鏇糖酐)。
(2)高熱驚厥者給予物理、藥物降溫及鎮靜止驚。
(3)腦水腫應脫水;心衰肺水腫應強心利尿;呼衰套用呼吸興奮藥,或人工呼吸器;腎衰重者可做血液透析。
(4)黑尿熱則首先停用奎寧及伯喹繼之給激素鹼化尿液利尿等。
預後預防
預後:
導致不良預後的因素:
因瘧疾而住院的肯亞兒童中,發生呼吸窘迫或意識障礙的患者的病死率為84%。其他能導致死亡的高危因素有低血糖,血漿乳酸升高或酸中毒,腦脊液乳酸堆積。外周血塗片見到成熟的瘧原蟲也預示預後不良。
在成年瘧疾患者中,如出現昏迷躁動不安、少尿、黃疸、休克都表示預後不良。判斷預後有用的實驗室指標有:幾項酸中毒的指標(血漿和腦脊液乳酸升高,或pH值的降低),周圍血塗片中發現白細胞色素和(或)成熟的瘧原蟲及低血糖(表2)。外周血瘧原蟲計數也同併發症的發生,甚至死亡密切相關,無獲得性瘧疾免疫力的患者,如外周血瘧原蟲記數>40%就應按重症瘧疾對待。
成人和兒童中,腦型瘧疾的總病死率為20%~30%。在無獲得性免疫的成人中,病死率的高低同併發症的多少密切相關。一項560例腦型瘧疾的研究顯示,病死率約為6%如果有休克、黃疸、腎衰、低血糖、重症貧血的重寄生血症等併發症,則病死率更高如果有1項併發症則病死率為15%,有2項則為25%,超過3項以上則病死率超過40%。現在還沒有大量的關於開發中國家重症瘧疾患者在重症監護病房中接受治療的資料但有證據表明其病死率同上面所述的非常相近。
預防:
要控制和預防瘧疾,必須認真貫徹預防為主的衛生工作方針。應針對瘧疾流行的3個基本環節,採取綜合性防治措施。
1.管理傳染源及時發現瘧疾病人,並進行登記,管理和追蹤觀察。對現症者要儘快控制,並予根治;對帶蟲者進行休止期治療或抗復發治療。通常在春季或流行高峰前1個月進行。凡兩年內有瘧疾病史、血中查到瘧原蟲或脾大者均應進行治療,在發病率較高的疫區,可考慮對15歲以下兒童或全體居民進行治療。
2.切斷傳播途徑在有蚊季節正確使用蚊帳,戶外執勤時使用防蚊劑及防蚊設備。滅蚊措施除大面積套用滅蚊劑外,最重要的是消除積水根除蚊子孳生場所。
3.保護易感者
(1)服藥預防:進入瘧區,特別是流行季節,在高瘧區必須服藥預防。一般自進入瘧區前2周開始服藥,持續到離開瘧區6~8周。下列藥物可據條件酌情選用。
①乙胺嘧啶:4片每周1次,或8片每兩周1次。長期服用可致巨細胞性貧血,還可產生耐受性。(乙胺嘧啶每片6.25mg)。
②哌喹或磷酸哌喹:服基質0.6g每20~30天服1次。耐氯喹地區也可採用。
③複方防瘧藥:防瘧片1號含乙胺嘧啶20mg,氨苯碸100mg,第1、2天每天1片,以後每周1片防瘧片2號每片含乙胺嘧啶17.5mg,磺胺多辛(周效磺胺)250mg,第1、2天每天2片,以後每10天2片。防瘧片3號,含磷酸哌喹250mg磺胺多辛50mg每月1次,每次4片。
④氯喹2片,每10天1次,接受輸血者可服氯喹每天(1片)基質0.15g連服3~5天。
服用預防藥物可出現一些副作用如頭暈頭昏、噁心、嘔吐等,所以重症肝、心、腎疾病及孕婦應慎用或忌用。為防止耐藥株產生,每3個月調換1次藥物。
(2)自動免疫:蟲苗正在研究與試用中。

