瘧原蟲色素

瘧原蟲色素

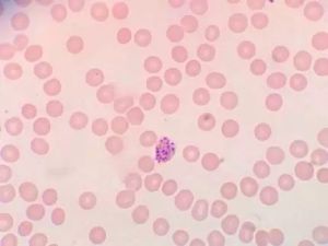
瘧原蟲色素,每年有數百萬人死於瘧疾,大部分是5歲以下的兒童。瘧原蟲通過蚊蟲叮咬傳播,進入人體之後首先感染肝臟,進而攻擊血液中的紅細胞。瘧原蟲占領紅細胞以後,依靠消耗血紅蛋白所含的氧氣迅速繁殖。為了彌補氧氣的損失,人體會自動大量釋放可將瘧原蟲置於死地的血紅素。然而瘧原蟲自有解毒高招——它們能利用一種奇特的機制,很快地將血紅素轉化為無害的瘧原蟲色素。

瘧原蟲色素

概述

瘧原蟲色素瘧原蟲色素
每年有數百萬人死於瘧疾,大部分是5歲以下的兒童。瘧原蟲通過蚊蟲叮咬傳播,進入人體之後首先感染肝臟,進而攻擊血液中的紅細胞。瘧原蟲占領紅細胞以後,依靠消耗血紅蛋白所含的氧氣迅速繁殖。為了彌補氧氣的損失,人體會自動大量釋放可將瘧原蟲置於死地的血紅素。然而瘧原蟲自有解毒高招——它們能利用一種奇特的機制,很快地將血紅素轉化為無害的瘧原蟲色素。

相關搜尋

熱門詞條

聯絡我們