愛滋病性頸淋巴結腫大疾病概述
愛滋病性頸淋巴結腫大淋巴結腫大是愛滋病常見的症狀之一,常表現為持續性全身淋巴結腫大。臨床表現為腹股溝以外2個或多個位置的淋巴結腫大,持續時間最短3-6個月,淋巴結活組織檢查為濾泡增生而無特殊病原。
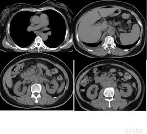
體檢常發現對稱、可活動、有彈性的淋巴結,大小為0.5-2cm,常無疼痛及觸痛。最常涉及的淋巴結為頸前、頸後、頜下、枕及腋窩淋巴結,肱骨內上髁及股淋巴結也可腫大,縱隔及肺門淋巴結也可受累,腹部CT常發現腸系膜及腹膜後淋巴結腫大。
淋巴結腫大在愛滋病各期都可出現。所有HIV感染者都有無症狀期,此期無任何臨床症狀,但部分患者可出現持續性的全身淋巴結腫大,這可能是唯一的指征,且血中可檢出病毒及其包膜及抗HIV抗體,具傳染性。
疾病名稱
愛滋病性頸淋巴結腫大
疾病分類
普通外科
疾病描述
為愛滋病前期臨床表現之一。由人類免疫缺陷病毒(HIV)侵犯頸淋巴結所致。病程較長,淋巴結逐漸增大,常伴有腹肌溝等多處淋巴結腫大、發熱、消瘦、乏力、白細胞減少等症。細針穿刺活檢可協助診斷。
症狀體徵
愛滋病性頸淋巴結腫大②惡性腫大。包括原發於淋巴結的惡性腫瘤如淋巴瘤、淋巴細胞性白血病和惡性組織細胞病等及其他惡性腫瘤的淋巴結轉移如肺癌、胃癌和乳腺癌等。臨床呈惡性經過,淋巴結持續性進行性腫大,若不積極治療,常會進行性惡化死亡。
③介於良性與惡性間的腫大。如血管原始免疫細胞性淋巴結病和血管濾泡性淋巴結增生症等。開始常為良性,可變成惡性而致命。因此在確定淋巴結腫大後,關鍵是確定其原因和性質,局部腫大伴明顯疼痛者常提示感染;進行性無痛性腫大者常提示惡性腫瘤性疾病。
淋巴結腫大非常多見,可發生於任何年齡段人群。愛滋病引起的持續性淋巴結腫大期:
主要表現為除腹股溝淋巴結以外,全身其他部位兩處或兩處以上淋巴結腫大。其特點是淋巴結腫大直徑在1cm以上,質地柔韌,無壓痛,無粘連能自由活動。
臨床表現
愛滋病性頸淋巴結腫大2.全身症狀病人常有病毒性疾病的全身不適,肌肉疼痛等症狀。約50%的病有疲倦無力及周期性低熱,常持續數月。夜間盜汗,1月內多於5次。約1/3的病人體重減輕10%以上,這種體重減輕不能單純用發熱解釋,補充足夠的熱量也不能控制這種體重減輕。有的病人頭痛、抑鬱或焦慮,有的出現感覺神經末梢病變,可能與病毒侵犯神經系統有關,有的可出現反應性精神紊亂。3/4的病人可出現脾腫大。
3.各種感染此期除了上述的淺表淋巴結腫大和全身症狀外,患者經常出現各種特殊性或復發性的非致命性感染。反覆感染會加速病情的發展,使疾病進入典型的愛滋病期。約有半數病人有比較嚴重的腳癬,通常是單側的,對局部治療缺乏有效的反應,病人的腋窩和腹股溝部位常發生葡萄球菌感染大皰性膿庖瘡,病人的肛周、生殖器、負重部位和口腔黏膜常發生尖銳濕疣和尋常疣病毒感染。口唇單純皰疹和胸部帶狀皰疹的發生率也較正常人群明顯增加。口腔白色念珠菌也相當常見,主要表現為口腔黏膜糜爛、充血、有乳酪狀覆蓋物。其他常見的感染有非鏈球菌性咽炎,急性和慢性鼻竇炎和腸道寄生蟲感染。許多病人排便次數增多,變稀、帶有黏液。可能與直腸炎及多種病原微生物對腸道的侵襲有關。此外,口腔可出現毛狀白斑,毛狀白斑的存在是早期診斷愛滋病的重要線索。
4.典型的愛滋病期有的學者稱其為致死性愛滋病,是愛滋病病毒感染的最終階段。此期具有三個基本特點:嚴重的細胞免疫缺陷。發生各種致命性機會性感染。發生各種惡性腫瘤。愛滋病的終期,免疫功能全面崩潰,病人出現各種嚴重的綜合病症,直至死。
疾病病因
人類免疫缺陷病毒(HIV)侵犯頸淋巴結所致。
病理生理
人類免疫缺陷病毒(HIV)侵犯頸淋巴結所致。
診斷檢查
愛滋病性頸淋巴結腫大1、詳細詢問病史包括年齡、性別、病程長短、症狀輕重、治療效果,以及有無鼻、咽、喉、口腔等器官受累的臨床表現,或發熱,消瘦等全身症狀。
2、臨床檢查首先注意觀察兩側頸部是否對稱,有無局部腫脹,瘺管形成等現象。然後進行頸部捫診。檢查時受檢者頭略低,並傾向病側,使頸部肌肉鬆弛,便於腫塊之捫摸。檢查時注意腫塊之部位、大小、質地、活動度、有無壓痛或搏動,並應兩側對照比較。如前所述,成人頸部腫塊應考慮轉移性惡性腫瘤可能,因此,應常規檢查耳鼻咽喉、口腔等處,以便了解鼻咽、喉等處有無原發病灶。必要時可作鼻內窺鏡或纖維鼻咽喉鏡檢查。
3、影像學檢查頸部CT掃描除可了解腫瘤部位、範圍外,並有助於明確腫塊與頸動脈、頸內靜脈等重要結構的關係,為手術治療提供重要參考依據,但較小之腫塊,常不能顯影。為查找原發病灶,可酌情作鼻竇、鼻咽和喉側位等X線拍片檢查。對於頸部鰓裂瘺管或甲狀舌管瘺管,可行碘油造影X線拍片檢查,以了解瘺管走向和範圍。
4、病理學檢查(1)穿刺活檢法:以細針刺入腫塊,將用力抽吸後取得的組織,進行細胞病理學檢查。適用於多數頸部腫塊者,惟其取得之組織較少,檢查陰性時,應結合臨床作進一步檢查。(2)切開活檢法:應慎用。一般僅限於經多次檢查仍未能明確診斷時。手術時應將單個淋巴結完整取出,以防病變擴散。疑為結核性頸淋巴結炎時,切開活檢後有導致傷口經久不俞愈可能,應注意預防。對於臨床診斷為涎腺來源或神經源性良性腫瘤者,由於腫瘤位置較深,術前切開活檢有時不易取得陽性結果,卻有使腫瘤與周圍組織粘連,增加手術困難之弊端,故一般於手術摘除腫瘤後再送病理檢查。
鑑別診斷
愛滋病性頸淋巴結腫大1.本病急性期應與傳染性單核細胞增多症及其他感染性疾病如結核、結締組織疾病等相鑑別。
2.淋巴結腫大應與血液系統疾病相鑑別,特別要注意與良性性病性淋巴結病綜合徵相鑑別。後者淋巴結活檢為良性反應性濾泡增生,血清學檢查提示多種病毒感染。
3.本病的免疫缺陷改變須與先天性或繼發性免疫缺陷病相鑑別。詳細詢問病史,根據高危人群,出現一般人不易患的疾病,本病鑑別診斷一般不難。病原學檢查是主要的鑑別手段。
治療方案
愛滋病性頸淋巴結腫大1.一般治療根據獲得性免疫缺陷綜合徵的傳播特點,一般的接觸是不會傳染獲得性免疫缺陷綜合徵的。因此,對HIV感染者或獲得性免疫缺陷綜合徵患者均無須隔離治療。對無症狀HIV感染者,可保持正常的工作和生活。但應進行病原治療,並密切監測病情的變化。對獲得性免疫缺陷綜合徵前期或獲得性免疫缺陷綜合徵患者,應根據病情臥床休息,給予高熱量、多維生素飲食。不能進食者,應靜脈輸液補充營養。加強支持療法,包括輸血及營養支持療法,維持水及電解質平衡。
2.抗病毒治療抗病毒治療是獲得性免疫缺陷綜合徵治療的關鍵。隨著HIV蛋白酶抑制劑的出現,乃出現高效抗反轉錄病毒聯合療法(highlyactiveanti-retroviraltherapy,HAART)的套用,大大提高了抗HIV的療效,顯著改善了獲得性免疫缺陷綜合徵患者的生活質量和預後,使獲得性免疫缺陷綜合徵的治療前進了一大步。
(1)主要的抗病毒藥物:目前已獲批准進入市場的抗HIV的抗病毒藥物已有16種,主要有三大類:核苷類反轉錄酶抑制劑、非核苷類反轉錄酶抑制劑和蛋白酶抑制劑。下面就常用的品種作簡要介紹。
①核苷類反轉錄酶抑制劑(nucleosidereversetranscriptaseinhibitors,NRTIs):
A.齊多夫定(zidovudine,ZDV,AZT):常用劑量200mg,3次/d,或300mg,2次/d。主要不良反應是骨髓抑制,引起貧血或粒細胞減少。其他副作用有肌炎、頭痛、噁心、嘔吐等。
B.二脫氧胞苷(雙脫氧胞苷,ddc):0.75mg,3次/d。主要副作用有周圍神經炎及胃炎等,但無骨髓抑制作用。目前較少套用。
C.地丹諾辛(雙脫氧肌苷,ddi):200mg,2次/d。體重60kg以下者,125mg,2次/d。主要副作用有周圍神經炎及胰腺炎等,可有噁心、腹瀉等消化道症狀,也無骨髓抑制作用。
愛滋病性頸淋巴結腫大E.拉米夫定(lamivudine,3TC):150mg/d,2次/d。該藥耐受性好,無明顯不良反應。
F.阿巴卡韋(abacavir,ABC):成人300mg,2次/d。
G.齊多夫定/拉米夫定(雙肽芝):為ZDV與3TC的合劑,每片含ZDV300mg,3TC150mg,1片/次,2次/d。齊多夫定、二脫氧胞苷、拉米夫定。
H.三協唯(trizivir):為ZDV,3TC與abc的合劑。
②非核苷類反轉錄酶抑制劑(non-nucleosidereversetranscriptaseinhibitors,NNRTIs):是一類強力抗HIV藥物,能在納摩濃度下抑制HIV的複製。此類藥物能選擇性作用於HIV反轉錄酶的某個位點,使其失去活性或活性下降,從而抑制HIV複製。但此類藥物易產生耐藥株。主要製劑有以下幾種:
A.奈韋拉平(nevirapine):200mg/d,連用14天;以後200mg,2次/d。副作用可見皮疹、肝功能損害等。
B.洛韋胺(羅韋拉得):300mg/d。副作用有噁心、嘔吐、頭痛、乏力等。
C.地拉韋定(delavirdine):400mg,2次/d。副作用可見皮疹、頭痛等。
D.依法韋倫(efavirenz):600mg/d。副作用有噁心、嘔吐等。
③蛋白酶抑制劑(proteaseinhibitor,PI):HIV-1蛋白酶是一個對稱的二聚體,在該酶的催化下,HIV有兩種蛋白前體裂解為成熟蛋白,所以此酶對病毒的複製非常重要。蛋白酶抑制劑能通過抑制蛋白酶即阻斷HIV複製和成熟過程中所必需的蛋白質合成,從而抑制HIV的複製。此類製劑包括:
愛滋病性頸淋巴結腫大B.茚地那韋(Indinavir):800mg,3次/d。副作用有噁心、嘔吐、頭痛、乏力、眩暈、皮疹等,並可致非結合膽紅素升高、血小板減少、腎結石、血糖升高及脂肪重新分布等,為防止腎結石形成,服藥時應鼓勵患者多飲水。
C.奈非那韋(Nelfinavir):750mg,3次/d。副作用有腹瀉、高血糖等。
D.利托那韋(ritonavir):300~600mg,2次/d。副作用有噁心、嘔吐、腹瀉、乏力、感覺異常、肝功能不良、甘油三酯升高、尿酸增加、血糖升高等。上述三類藥物多數都有不良反應,單用很難有效抑制病毒的複製,且易產生耐藥。因此,強調聯合用藥。聯合用藥的方案很多,目前多以一種蛋白酶抑制劑加兩種NRTI製劑,或兩種蛋白酶抑制劑加一兩種NRTI製劑,常見的聯合方案有:沙奎那韋+ZDV+3TC;或奈非那韋+D4T+ddi;或茚地那韋+ZDV+ddi;或利托那韋+ZDV+ddc;或沙奎那韋+利托那韋+D4T+3TC。使用這些聯合方案治療,能同時抑制HIV複製過程的多個環節,可高效抑制HIV複製,最大限度降低耐藥性,提高患者生活質量和存活率,顯著降低母嬰垂直傳播的危險性等。
主張:①已發展至獲得性免疫缺陷綜合徵期者,無論CD4及病毒載量的值高低如何,都應進行治療;②無症狀者的CD4<200×106/L,雖然病毒載量測不出也應治療;③CD4細胞>200×106/L,但<350×106/L,病毒載量不高,患者無症狀,此時的治療仍有爭論;④無症狀者的CD4>350×106/L,病毒載量>55000拷貝數,目前大多主張治療;⑤無症狀者的CD4>350×106/L,病毒載量<55000拷貝數,現大多主張繼續監控CD4量。也有建議進行間斷治療。認為利用服藥間歇期反彈的病毒刺激機體的免疫反應,使之保持高水平的應答,可發揮抗病毒藥和免疫反應兩方面抗病毒作用;同時,可減少用藥量、降低治療費用和抗藥性。但也有不同意見。對此,仍有待於進一步探索。此外,如何將療法簡單化,包括延長服藥時間,以及減少藥物劑量和種類,以提高藥物的依順性和患者的耐受性。
愛滋病性頸淋巴結腫大①整合酶抑制劑:阻斷病毒DNA整合進入宿主細胞染色體。Merck公司研究的一種整合酶抑制劑,能阻斷HIV基因整合進入宿主淋巴細胞染色體,與現有的藥物沒有交叉抗藥性,動物實驗顯示用藥後CD4細胞計數有所上升,病毒載量顯著下降,對抗藥性病毒有抑制作用,而且沒有明顯的毒副作用。
②輔助受體阻斷劑:ScheringPlough公司研發了兩種CCR5的拮抗劑,體外實驗顯示能夠封閉CCR5輔助受體。Progeris製藥公司研製的兩種輔助受體抑制劑,都能夠顯著降低病毒載量。
③封閉病毒蛋白gp120或gp41阻斷HIV與靶細胞的結合和病毒包膜與靶細胞膜融合。TrimerisInc公司研製的病毒融合抑制劑,能夠封閉病毒gp41蛋白,阻斷病毒與細胞膜的融合。這種藥物對野毒株和抗藥性毒株均有抑制作用。可作用於CCR5嗜性和CXCR4嗜性的病毒株。
(3)其他抗病毒藥物:如膦甲酸鈉、干擾素α及阿昔洛韋等均未能證實有長期抑制HIV的複製作用。
3.免疫調節治療主要是套用免疫增強劑,常用的有下列幾種。
(1)胸腺素(thymosin):細胞免疫增強劑,適用於免疫缺陷及免疫功能失調所致的病毒性及腫瘤性疾病。副作用少而輕,偶見一過性頭暈、胸悶等可自行消退。10~20mg/次,肌內或皮下注射,隔日1次。
(2)香菇多糖(lentinan):能興奮體液及細胞免疫,具有廣泛的藥理活性。無明顯毒副作用。3~5片/次,2次/d,3個月一療程,並同時服用一般劑量的維生素類藥物。
(3)阿地白介素(IL-2):能增強T淋巴細胞及自然殺傷細胞(NK)的活性,及抑制病毒DNA聚合酶活性的作用,具有興奮細胞免疫和抗病毒作用。副作用有發熱、寒戰、厭食及疲勞感。15mg/d加入10%葡萄糖注射液250ml中靜脈滴注,3~4周為一療程。過去認為套用免疫興奮劑,可增強HIV感染者的免疫功能。但目前有人認為T細胞的激活能觸發細胞內HIV的複製。因而套用與否尚無定論。
愛滋病性頸淋巴結腫大(1)卡氏肺孢菌肺炎:可用噴他脒(pentamidine),本品抑制DNA及RNA合成,同時抑制氧化磷酸化過程,從而使病原體不能生存,對卡氏肺孢菌有直接殺滅作用。副作用有噁心、嘔吐、腹痛、腹瀉、頭痛、胸痛以及局部反應等。4mg/(kg?d),靜脈滴注或肌內注射,2周為一療程。或甲氧苄啶(TMP)15mg/(kg?d),加磺胺甲噁唑75mg/(kg?d),分次口服或靜脈注射,2~3周為一療程。或乙胺嘧啶(pyrimethamine)25mg/d口服,加磺胺嘧啶4g/d,同時服鹼性藥物,連服1個月為一療程。有效者於2~4天內體溫下降,X線表現亦隨之改善。對已患過卡氏肺孢菌肺炎的患者,應進行第二階段抗蟲預防。噴他脒氣霧劑300mg,1次/月,噴霧由呼吸道吸入。最近發現氨苯碸(DDS)有很強的抗卡氏肺胞菌作用,與甲氧苄啶(TMP)聯合套用,可提高療效。氨苯碸(DDS)100mg/d+甲氧苄啶(TMP)20mg/(kg?d),分4次口服,2~3周為一療程,療效與複方磺胺甲唑相似。
(2)巨細胞病毒感染:治療及預防復發或復燃,目前推薦更昔洛韋(ganciclovir)或膦甲酸鈉,也可用阿糖腺苷(vidarabine)。
(3)隱球菌、假絲酵母菌(念珠菌)及皮膚癬菌感染:治療及預防復發或復燃,可用酮康唑(ketoconazole)。本品具有抗白假絲酵母菌、類球孢子菌及皮膚癬菌等細菌的活性作用,能治療淺部及深部真菌感染。偶有輕微噁心、嘔吐、腹痛、腹瀉、皮疹、瘙癢、頭痛等,但有肝臟毒性作用,應予注意。200mg/d,飯前服用。也可用氟康唑(fluconazole)等其他抗真菌藥。如隱球菌腦膜炎,首選兩性黴素B。本品口服不易吸收,須靜脈滴注。小劑量(0.1mg/kg)開始,以後每次增加5~10mg,達30~40mg/d後維持,療程3個月。
(4)隱孢子蟲感染:治療及預防復發或復燃,可用複方磺胺甲唑(sulfamethoxazolecompound,SMZ-TMP),本品能抑制核酸合成,從而抑制細菌的繁殖。不良反應主要是腎損害、過敏反應及對造血系統的損害等。0.5g~1.0g/次,2次/d。或乙胺嘧啶,本藥能抑制核酸合成,使隱孢子蟲的繁殖受到抑制。優點是毒性較ZDV低,大劑量時可能引起造血功能障礙及消化道症狀,停藥後可恢復。本品口服吸收良好,50mg~100mg/次,2次/周。
(5)鳥分枝桿菌感染:可用克林黴素(500mg,3次/d)、阿奇黴素(500mg/d)、乙胺丁醇[15mg/(kg/d)]等,也可用異煙肼、利福平、鏈黴素等。
(6)弓形蟲感染:可用克林黴素,500mg,3次/d或4次/d。副作用少見,偶有過敏反應發生。或乙胺嘧啶第1天口服75mg,以後25mg/d,連服1個月。或磺胺甲噁唑/甲氧苄啶(複方磺胺甲噁唑)1.0~1.5g/d,連服1~3個月。或螺鏇黴素1g,3次/d或4次/d,10~14天為一療程。
(7)單純皰疹及帶狀皰疹感染:首選阿昔洛韋,亦可用阿糖腺苷或膦甲酸鈉等。
(8)卡波齊肉瘤:可用多柔比星(阿黴素),本品能抑制DNA合成,對多種癌腫及惡性淋巴瘤有抑制作用。20~25mg/(m2?d),用生理鹽水或50%葡萄糖注射液溶解後(濃度不應超過5mg/m1)靜脈注射,連續用3天,隔3周重複。可同時連用干擾素,效果較好。亦可套用其他抗腫瘤藥物,如長春新鹼等。

