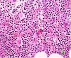
遺傳性球形紅細胞增多症遺傳性球形紅細胞增多症(hereditaryspherocytosis)是紅細胞先天性膜缺陷引起的溶血性貧血中最常見的一種類型。因外周血中出現球形紅細胞而得名,系常染色體顯性遺傳,男女均可患病,父母一方患有同病,病人出生即患病。臨床表現有貧血、溶血性黃疸、脾大,感染可使病情加重,常伴膽石症。血片見球形紅細胞增多為本病的特徵,可占紅細胞的20%~40%,少數可達到80%以上。手術切除脾臟後均能立即獲得完全持久的臨床治癒。
疾病概述
遺傳性球形紅細胞增多症正常紅細胞的形態是呈盤狀且中間凹陷的,當紅細胞的形態發生改變時可引起貧血。“遺傳性球形紅細胞增多症”,就是因為紅細胞呈球形,而且這種病又是遺傳性的,故此得名。這種病的遺傳方式是男女都可發病,每代都會有發病者,也就是所謂“常染色體顯性遺傳”。
正常紅細胞的膜上有許多蛋白,它們相互盤繞,像鋼筋彈簧一樣維持著紅細胞的盤狀形態,這樣紅細胞表面面積較大、變形能力也強。正是由於這個原因,當血液流經脾臟時,紅細胞才能通過變形的方式穿越比它直徑小得多的脾微循環結構。如果紅細胞膜蛋白結構或功能有了缺陷,使紅細胞變成了球形,由於表面積減少,變形能力減弱,而脆性隨之增加,穿越脾臟毛細血管時就變得很困難,容易被脾臟破壞。紅細胞破壞增多,便導致溶血性貧血。從紅細胞中裂解出的大量血紅蛋白分解生成一種叫“膽紅素”的物質,可引起皮膚、鞏膜黃染,這種臨床表現叫做“黃疸”。脾臟也由於紅細胞在此破壞、刺激增生而越來越大,然後繼發肝臟腫大。由此可見,貧血、黃疸、肝大、脾大是遺傳性球形紅細胞增多症的四大症狀。
本病的起病年齡和病情輕重差異很大,多在幼兒和兒童期發病。如果在新生兒或1歲以內的嬰兒期發病,一般病情較重。
由於本病的發病機理主要是由於脾臟對球形紅細胞的破壞所致,因此手術切除脾臟是治療的根本方法。但是脾臟是人體的重要免疫器官之一,過早切除往往會導致嚴重的細菌感染,所以最好在5歲以後進行脾切手術。如果患兒病情嚴重、不能等到5歲以後切脾,手術年齡也可適當提前,但無論如何不能在1歲內手術。5歲以內切脾的患兒,應每月注射一次長效青黴素預防感染,注射時間根據切脾時的年齡而定,最少半年。
症狀病因
紅細胞增多症疾病病因:注意起病緩急、病程長短及家族發病史,有無膽石症史。有溶血危象者,詢問有無感染、情緒激動或其他應激情況的誘因,危象持續期限及過去診療情況。
發病機理:主要是由於脾臟對球形紅細胞的破壞所致,因此手術切除脾臟是治療的根本方法。但是脾臟是人體的重要免疫器官之一,過早切除往往會導致嚴重的細菌感染,所以最好在5歲以後進行脾切手術。如果患兒病情嚴重、不能等到5歲以後切脾,手術年齡也可適當提前,但無論如何不能在1歲內手術。5歲以內切脾的患兒,應每月注射一次長效青黴素預防感染,注射時間根據切脾時的年齡而定,最少半年。
診斷檢查
抽血化驗2.膽囊B型超聲及(或)造影檢查必要時可作檢查。
疾病治療
藥物是脾切除它能減輕絕大多數HS的貧血勱使網織紅細胞接近正常(降至1%~3%)對於多數重型HS,雖然不能完全緩解但能顯著改善症狀勱。一般切脾後數天黃疸消退勱血紅蛋白增高;紅細胞壽命延長,但不能完全恢復正常;外周血小球形紅細胞形態和數量無變化勱MCV可降低,MCHC仍然增高;白細胞和血小板增多。
HS患者脾切除後雖能取得顯著療效,但脾切除也可產生許多併發症,部分患者則死於脾切除後感染腸系膜或門靜脈閉塞最重要的併發症是感染,尤其嬰幼兒患者勱。Singer等於1973年報導850例(其中786例為兒童,且多數在5歲以下手術)脾切除治療HS30例(3.52%)發生敗血症,其中19例(3.5%)死亡死亡率比普通人群高200倍勱。患者大多為1歲以內進行脾切除者但較年長的兒童和成人也非罕見。Schwartz和Green分別統計了成人脾切除後感染的發生率勱:暴發性敗血症的年發生率為0.2%~0.5%,其中年死亡率為0.1%;其他細菌感染如肺炎腦膜炎腹膜炎菌血症等的年發生率為4.5%勱,顯著高於普通人群感染一般多發生於手術後2年內。脾切除後的另一併發症是缺血性心臟病發生率顯著增高(比普通人群高1.86倍)其原因不清。可能與手術後血小板增高有關勱
注意應嚴格掌握脾切指征尤其是對嬰幼兒患者勱國外所提倡勱的HS脾切指征為:①Hb≤80g/L網織紅細胞≥10%的重型HS。②Hb如為80~110g/L,網織紅細胞為8%~10%,具有以下一種情況者應考慮切脾:A.貧血影響生活質量或體能活動;B.貧血影響重要臟器勱的功能;C.發生髓外造血性腫塊。③年齡限制:主張10歲以後手術對於重型HS勱,手術時機也儘可能延遲至5歲以上,儘量避免在2~3歲以下手術;對於反覆發生再障危象或依賴輸血維持而必須進行切脾者應給予肺炎球菌疫苗和預防性抗生素治療
脾切除失敗的原因為:①存在副脾;②因手術中脾破裂而致脾組織植入腹腔形成再生脾臟一般是切脾後取得療效數年(甚至10餘年)後再出現溶血;③特殊的重型HS;④診斷錯誤或同時合併其他溶血性疾病如G-6-PD缺乏症。
對於所有脾切除患者,都應給予肺炎球菌三聯疫苗,最好應在手術前數周給予尤其是青少年患者。但是對於2歲以下的嬰兒,疫苗預防感染的作用不肯定。一般推薦對於脾切除患者進行預防性抗生素治療重點預防肺炎球菌性敗血症,可套用口服青黴素(7歲以下兒童劑量為125mg2次/d勱口服;7歲以上兒童和成人劑量為250mg勱2次/d勱口服)術後應持續使用2~5年。然而,鑒於抗生素勱的毒副作用、細菌耐藥及經濟問題等,故對預防性抗生素治療仍有爭議應視具體情況而選定最佳方案。
2.補充葉酸1mg/d口服。溶血嚴重者應給予輸血。一般治療當發生溶血危象或再障危象時應輸血。平日注意防治感染。給予小量葉酸,以防缺乏。
3.按血液系統疾病護理常規。
遺傳球形細胞增多症的併發症
1.急性:
(1)重型遺傳性球形細胞增多症引起嚴重貧血
(2)B19病毒感染引起原紅細胞減少
(3)急性溶血(病毒感染)
2.長期:
(1)膽結石
(2)葉酸缺乏(無額外補充)
