流行病學
血管濾泡性淋巴結樣增生症病理圖病因:
CD的病因未明。漿細胞型則認為可能和感染及炎症有關,有作者提出免疫調節異常是CD的始發因素,臨床上25%的中心型病例證實伴HHV-8感染,還認為至少部分CD處於B細胞惡性增生的危險中,少數多中心型可轉化為惡性淋巴瘤,然多數病例追隨結果並未轉化為惡性腫瘤。
發病機制:
由於其淋巴結濾泡中存在一個以上的血管生髮中心,部分病例還有血管脂肪瘤成分,且病變也可發生於正常時不存在淋巴組織的部位,故曾認為是一種錯構瘤,血管造影的圖像也類似於其他的血管錯構瘤。以漿細胞增生為主的CD被認為和感染(主要是病毒感染)、炎症有關,因其病理上呈炎症樣改變,如漿細胞 免疫母細胞及毛細血管增生 同時均保留殘存的淋巴結結構;臨床上有炎症病變的徵象,如慢性病性貧血、血沉增快、低白蛋白血症及多克隆免疫球蛋白增多等。有作者提出免疫調節異常是CD的始發因素,如典型的免疫缺陷疾患——愛滋病,可同時發生CD和卡波西(Kaposi)肉瘤 少數CD也可轉化為卡波西肉瘤;臨床上部分患者伴自身免疫性血細胞減少、抗核抗體陽性,類風濕因子陽性
血管濾泡性淋巴結樣增生症病理圖或抗人球蛋白試驗陽性;某些免疫學檢測顯示部分CD患者對抗原反應性消失、T抑制細胞缺如等,有作者認為CD是一種腫瘤前期病變,因為CD病變組織的漿細胞免疫組化染色呈單克隆性、個別患者血中出現單株免疫球蛋白、少數多中心型患者可轉化為惡性淋巴瘤。
已有較多報導IL-6參與CD的發病過程,如IL-6基因轉入小鼠的造血幹細胞,可成功獲得類似於CD的病理模型。另已證實CD的淋巴結生髮中心的B淋巴細胞可分泌產生大量的IL-6。病變切除後,隨臨床病情的改善,增高的血清IL-6水平也隨之下降。此外,在動物實驗中證實,人皰疹病毒8(HHV-8),即卡波西肉瘤皰疹病毒(KSHV)參與了CD的發病。
臨床表現
血管濾泡性淋巴結樣增生症病理圖1.局灶型 青年人多見,發病的中位年齡為20歲。90%病理上為透明血管型。患者呈單個淋巴結無痛性腫大,生長緩慢 形成巨大腫塊 直逕自數厘米至20cm左右 可發生於任何部位的淋巴組織,但以縱隔淋巴結最為多見,其次為頸、腋及腹部淋巴結 偶見於結外組織, 如喉、外陰、心包、顱內、皮下、肌肉、肺、眼眶等均有個例報導。大部分無全身症狀,腫塊切除後可長期存活,即呈良性病程。10%病理為漿細胞型,腹腔淋巴結受累多見,常伴全身症狀,如長期低熱或高熱、乏力、消瘦 貧血等,手術切除後症狀可全部消退,且不復發。
2.多中心型 較局灶型少見,發病年齡靠後,中位年齡為57歲。患者有多部位淋巴結腫大 易波及淺表淋巴結。伴全身症狀(如發熱)及肝脾腫大,常有多系統受累的表現 如腎病綜合徵、澱粉樣變、重症肌無力、周圍神經病,顳動脈炎、舍格倫綜合徵(乾燥綜合徵)、血栓性血小板減少性紫癜及口腔、角膜炎性反應 20%~30%的患者在病程中可並發卡波西肉瘤或B細胞淋巴瘤。少數患者若同時出現多發性神經病變、器官腫大(肝、脾)、內分泌病變、血清單株免疫球蛋白和皮膚病變,則構成POEMS綜合徵的臨床徵象。此外,多中心型臨床常呈侵襲性病程,易伴發感染
併發症:1.約1/3的患者可並發卡波西肉瘤或B細胞淋巴瘤。
2.合併神經系統、內分泌及腎臟病變,還可合併舍格倫綜合徵(乾燥綜合徵),血栓性血小板減少性紫癜等。
診斷
CD的臨床表現無特異性,凡淋巴結明顯腫大,伴或不伴全身症狀者,應想到CD的可能,淋巴結活檢獲上述典型的CD病理改變才能診斷,即CD的確診必須有病理學論據,然後根據臨床表現及病理,做出分型診斷。確診前還需排除各種可能的相關疾病。
鑑別診斷:
CD應和惡性淋巴瘤、各種淋巴結反應性增生(大多為病毒感染所致)、漿細胞瘤、愛滋病及風濕性疾病等鑑別。它們有某些相似的臨床表現和(或)病理改變,仔細的病理學檢查,包括免疫組化檢查,以及某些原發病的檢出是鑑別要點。血管濾泡性淋巴結樣增生症的淋巴結腫大須與下列疾病鑑別:
1.淋巴瘤 雖然兩者都有淋巴結腫大 但表現各有不同,淋巴瘤可有持續或周期發熱,全身瘙癢,脾大,消瘦等表現。而血管濾泡性淋巴結樣增生症臨床症狀輕微,僅有乏力或臟器受壓後產生的症狀,最主要的是病理上的不同,血管濾泡性淋巴結樣增生症組織學特點是顯著的血管增生。
2.血管免疫母細胞淋巴結病 是一種異常的非腫瘤性免疫增殖性疾病。臨床上多見於女性 表現為發熱,全身淋巴結腫大 可有皮疹及皮膚瘙癢 輔助檢查白細胞增高,血沉增快,抗生素治療無效,激素可改善症狀。淋巴結病理表現為淋巴結破壞,毛細血管壁增生,為免疫母細胞。血管內皮細胞間PAS陽性,無定形物質沉積,細胞間有嗜伊紅無結構物質沉積。活檢可鑑別。
3.原發性巨球蛋白血症 該病主要為淋巴樣漿細胞增生分泌大量單克隆巨球蛋白,並廣泛浸潤骨髓及髓外臟器。血清中出現大量單株IgM,無骨骼破壞,無腎損害,臨床上有肝、脾 淋巴結腫大,約半數伴高黏滯血症。
4.多發性骨髓瘤 是漿細胞疾病的常見類型 骨髓內增生的漿細胞(或稱骨髓瘤細胞)浸潤骨骼和軟組織 引起一系列器官功能障礙,臨床表現為骨痛、貧血、腎功能損害及免疫功能異常、高鈣血症。骨髓瘤細胞多浸潤肝脾、淋巴結及腎臟。CD淋巴結腫大明顯,淋巴結活檢可鑑別。
實驗室檢查:
1.外周血 輕至中度正細胞正色素性貧血,部分病例有白細胞和(或)血小板減少,也可表現為典型的慢性病性貧血。
2.骨髓象 部分患者漿細胞升高 自2%~20%不等,形態基本正常。
3.血液生化及免疫學檢查 肝功能可異常,表現為血清轉氨酶及膽紅素水平升高,少數病人腎功受累,血清肌酐水平上升,血清免疫球蛋白呈多克隆升高,較為常見,少數血清出現M蛋白,血沉也相應增快。部分患者抗核抗體 類風濕因子及抗人球蛋白試驗陽性。
4.尿常規 尿蛋白輕度升高,如伴發腎病綜合徵,則出現大量尿蛋白。
其它輔助檢查:
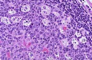
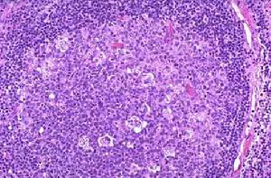
1.組織病理學 腫大的淋巴結活檢顯示上述CD的特殊病理改變。病變主要累及身體任何部位的淋巴組織,偶可波及結外組織 CD病理上分為以下兩種類型:
(1)透明血管型:占80%~90% 淋巴結內顯示許多增大的淋巴濾泡樣結構,呈散在分布。有數根小血管穿入濾泡,血管內皮明顯腫脹,管壁增厚,後期呈玻璃樣改變。血管周圍有數量不一的嗜酸性或透明狀物質分布。濾泡周圍由多層環心排列的淋巴細胞,形成特殊的洋蔥皮樣結構或帽狀帶,濾泡間有較多管壁增厚的毛細血管及淋巴細胞、漿細胞、免疫母細胞,淋巴竇消失,或呈纖維化。大體標本見淋巴結直徑為3~7cm,大者可達25cm,重量達700g。
(2)漿細胞型:占10%~20%。淋巴結內也顯示濾泡性增生,但小血管穿入及濾泡周圍的淋巴細胞增生遠不及透明血管型明顯,一般無典型的洋蔥皮樣結構。本型的主要特徵為濾泡間各級漿細胞成片增生,可見Russell小體,同時仍有少量淋巴細胞及免疫母細胞。有人稱本型為透明血管型的活動期,可有TCRβ或IgH基因重排。少數患者病變累及多部位淋巴結,並伴結外多器官侵犯,病理上同時有上述兩型的特點,稱為混合型。也有少數單一病灶者 病理上兼有上述二型的特點,則為另一意義上的混合型。有報導少數漿細胞型患者可並發卡波西肉瘤,以愛滋病伴發CD者多見。
2.根據臨床表現、症狀、體徵選擇X線、CT、B超及心電圖等檢查。
治療及預後
局灶型CD均應手術切除,絕大多數患者可長期存活,復發者少。病理上為漿細胞型的局灶性CD,如伴發全身症狀,在病變的淋巴結切除後也可迅速消失。
多中心型CD,如病變僅侵及少數幾個部位者,也可手術切除,術後加用化療或放療,病變廣泛的多中心型CD只能選擇化療,或主要病變部位再加局部放療,大多僅能獲部分緩解。化療通常選用治療惡性淋巴瘤的聯合化療方案。自體造血幹細胞移植也是一種治療選擇。
預後:
血管濾泡性淋巴結樣增生症為局灶性病變,預後較好,而多中心性並伴單克隆高丙球蛋白血症時,預後較差,易發性惡變,轉化或淋巴瘤等。
