流行病學
迴旋狀脈絡膜視網膜萎縮,是一種少見的脈絡膜視網膜進行營養不良性遺傳病,為常染色體隱性遺傳。男女均可得病,且常為雙眼。發病年齡多在20~30歲,亦有報導6歲即發病者。40~70歲致盲。迴旋狀脈絡膜視網膜萎縮 在芬蘭及日本比較多見,中國報導很少。
病因
脈絡膜發病機制:
迴旋狀脈絡膜視網膜萎縮,由於鳥氨酸酮酸轉氨基酶(ornithine ketoacid transaminase,OKT)基因的變異和缺乏,導致體內高鳥氨酸血症、鳥氨酸(ornithine)在脈絡膜內累積,影響其代謝而致病。研究證實患者血漿、房水和尿內鳥氨酸測定均比正常人增高,OKT功能不足,其活力低於正常,Smell和Takki首先報導9例迴旋狀脈絡膜視網膜萎縮,患者的血漿、尿、腦脊液和房水內的鳥氨酸測定均比正常對照組增高10~20倍,因而提出迴旋狀脈絡膜視網膜萎縮,與高鳥氨酸血症(hyperornithinemia)有關。鳥氨酸代謝通路是參加3個酶代謝反應。0KT是催化鳥氨酸代謝的重要酶,由於OKT的缺陷可造成鳥氨酸的積累,谷氨酸和脯氨酸的生成減少,酶的缺陷進而造成了眼底病變。Kaiser-Kupfer通過培養液里轉化淋巴母細胞中OKT量的測定,證實脈絡膜迴旋形萎縮患者的淋巴母細胞中沒有OKT的活性。由於鳥氨酸過多可造成視網膜色素上皮細胞的損害,很可能是迴旋狀脈絡膜視網膜萎縮的病因。
Kaiser-Kupfer以植物血凝素刺激淋巴細胞使其轉化,轉化的淋巴細胞鳥氨酸氨基轉化酶(ornithine aminotransferase,OAT)活性增加15倍,以此方法測定酶活性比較容易可靠。比較患者與正常對照組轉化淋巴細胞OAT活性表現出明顯的差異。OAT活性的缺乏也是迴旋狀脈絡膜視網膜萎縮的主要原因。說明OKT和OAT缺乏不能將鳥氨酸催化成谷氨酸,從而造成高鳥氨酸血症。鳥氨酸在血液中濃度增高,可直接或間接對肌細胞、纖維細胞以及RPE細胞的產生毒性作用。
迴旋狀脈絡膜視網膜萎縮,女性攜帶者(雜合子)血漿內鳥氨酸濃度正常,但作鳥氨酸負荷試驗即口服鳥氨酸後血漿內有明顯的鳥氨酸滯留,測定OKT的活力,發現其介於正常人與患者之間。眼部病變的程度與血漿鳥氨酸濃度之間並不存在平行關係。迴旋狀脈絡膜視網膜萎縮,少數患者血中鳥氨酸含量正常。Fell等報導有高鳥氨酸血症患者並無迴旋狀脈絡膜視網膜萎縮 表現,ERG也正常,但有嚴重的神經系統障礙和精神運動遲緩。對視網膜的鳥氨酸-脯氨酸代謝研究發現人眼之虹膜、睫狀體、視網膜、脈絡膜的OKT活性高。而此酶活性組織分布與視網膜脈絡膜萎縮有密切關係。
臨床表現
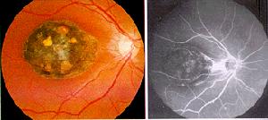
迴旋狀脈絡膜視網膜萎縮2.眼底改變 早期患者眼底赤道部出現邊界清楚的脈絡膜萎縮斑,形狀不規則、邊緣呈鋸齒狀,萎縮斑之間眼底正常。以後萎縮斑緩慢擴展,散在的萎縮斑逐漸融合成片,呈花環狀,並向後極及周邊部延伸擴展,亦可在視盤周圍形成一個萎縮環 此環與赤道部的萎縮環之間可形成一個有視功能存在的環形區域,最後眼底呈黃白色,幾乎所有的眼底範圍受損,僅保留黃斑區(圖1A)。此時眼底所見與無脈絡膜症者相似。視盤呈蠟黃色或淡紅色。晚期病例可出現色素增生,其間散布有針尖狀結晶。另外,視網膜血管細窄、視盤蒼白。在大多數40~60歲的晚期病例中後極部脈絡膜視網膜廣泛受累,眼底外觀類似於晚期無脈絡膜症。
3.眼底螢光血管造影 早期可以見到典型的境界清楚的迴旋形萎縮區,萎縮區內脈絡膜大血管清晰可見,有時早期萎縮斑外緣的色素上皮透明,並從此處可見到脈絡膜血管。螢光染料向血管周圍滲漏,滲漏區域比檢眼鏡所見病變的範圍大,說明色素上皮有廣泛性損害(圖1B)。晚期脈絡膜全層萎縮後,出現鞏膜強螢光。
併發症
迴旋形脈絡膜萎縮可繼發白內障,尤其是後極性白內障,幾乎所有患者20歲時發展為後囊下白內障。較多的患者有不同程度的近視眼,且為進行性。此外尚可合併有其他缺陷,如視網膜色素變性、白點狀視網膜變性、無脈絡膜症、虹膜萎縮、眼球震顫、斜視、先天性黑矇、指蹼、幼稚症、運動失調、肌營養不良、智力遲鈍、輕度腦電圖異常及毛髮改變及頭髮細而少等。
診斷
迴旋狀脈絡膜視網膜萎縮的診斷標準包括:近視、夜盲、白內障、進行性脈絡膜多形態萎縮灶,ERG波幅降低或消失、常染色體隱性遺傳、血鳥氨酸濃度超過400µmol/L和OKT活性明顯下降。迴旋狀脈絡膜視網膜萎縮 可通過檢測患者和攜帶者血漿尿氨酸水平或培養的表皮成纖維細胞中OAT的活性來確立診斷。由於正常人血清中鳥氨酸含量極低及受儀器條件的限制,無法統計其正常值及標準差,因此只能表示出正常人的最高值,有人測定了30例正常人血清鳥氨酸,其最高值均不超過56.6µmol/L。
鑑別診斷:
1. 無脈絡膜症 迴旋狀脈絡膜視網膜萎縮,晚期病例的眼底像與無脈絡膜症相似 在無脈絡膜症晚期周邊部眼底及黃斑部有細小的、天鵝絨樣色素增生和帶有光澤的結晶樣小點,為迴旋狀脈絡膜視網膜萎縮的典型改變。
2.瀰漫性脈絡膜毛細血管萎縮 該病是一種罕見的常染色體顯性遺傳性疾病,脈絡膜毛細血管萎縮和色素成簇聚集始於後極部,導致早期的視力喪失。
實驗室檢查:
遺傳學檢查可以確定其遺傳方式。血鳥氨酸濃度超過400µmol/L和OKT活性明顯下降。還可以測定血漿尿氨酸水平或培養的表皮成纖維細胞中OAT的活性。
治療
鑒於發病機制和生化研究 發現迴旋狀脈絡膜視網膜萎縮 是由於先天性某種酶的缺乏,並發現這種酶是0KT、0AT,由於酶缺乏鳥氨酸不能轉化為谷氨酸而存在於血液內,並引起各種臨床表現,因此迴旋狀脈絡膜視網膜萎縮 可試用幾種治療方法。
1.限制鳥氨酸轉化 主要限制精氨酸(arginine)飲食量,可降低血漿鳥氨酸水平。鳥氨酸不是一種胺基酸,但在體內可由精氨酸轉化形成,因此可經精氨酸酶(arginase)排除精氨酸 從而清除鳥氨酸的來源,阻止鳥氨酸的產生。因為精氨酸來自蛋白質,是所有蛋白的正常成分,所以採取低蛋白飲食可以控制血液鳥氨酸濃度 低蛋白飲食每天0.8g/kg或少到每天10~20g蛋白能保持鳥氨酸低水平。臨床報導有改善。但許多患者不能堅持。長期低鳥氨酸對脈絡膜視網膜萎縮進程的作用尚不清楚,Kaiser-Kupfer曾觀察2名成年患者血漿鳥氨酸水平10年,穩定維持在200µmol/L,此期間內視功能正常,故認為低鳥氨酸可以減緩和停止脈絡膜視網膜萎縮。相反,Vannas-Sulonen觀察3個兒童,在7歲和9歲時開始控制飲食,進行良好的生化控制3~5年,發現脈絡膜視網膜萎縮和ERG仍然進展。Betson等對接受合理鳥氨酸水平控制4個月~2年的5個年輕的成年人記錄到相似的進展。
2.增加剩餘酶的活力 用輔助因子(co-factor)磷酸抗皮炎素(pyridoxine phosphate)作為OKT的輔酶,是食物維生素B6的活動型 因此套用Vit B6治療可以增加殘餘酶的活力,可以減少血內鳥氨酸。用大劑量的維生素B6 300~700mg/d,口服1周,血漿鳥氨酸水平可下降45%~50%,3周內尿排出鳥氨酸正常。但多數病人視力、視野 暗適應、ERG無改變,少數有改變。Weleber等報導2例維生素B6治療有效者,4個月後ERG有改善
3.調整缺乏的物質 血漿內鳥氨酸明顯升高,血漿中賴氨酸(lysine) 谷氨酸鹽(glutamate)和肌酸(creatine)減少 迴旋狀脈絡膜視網膜萎縮,患者的賴氨酸和精氨酸從尿中排出增加,需要補充賴氨酸,因為賴氨酸與鳥氨酸拮抗,可以減少血鳥氨酸,有人建議補充肌酸、賴氨酸,因為高濃度鳥氨酸阻礙鳥氨酸-對羥苯甘氨酸轉移酶活性,使肌酸合成減少,因此補充肌酸。給予肌酸可對視功能無影響 迴旋狀脈絡膜視網膜萎縮,還應補充脯氨酸(proline) 由於視網膜脈絡膜內脯氨酸缺乏,造成OKT活性低下。迴旋狀脈絡膜視網膜萎縮,組織內脯氨酸值低,試給脯氨酸後,可使萎縮灶變小,病變停止進行。
預後及預防
預後:
有些療法可以延續病情的進展,但總體效果並不理想。
預防:
預防方面應著重查出雜合子。對有家族史者可進行產前檢查,檢出雜合子。羊水穿刺作細胞培養,可測定酶活力。根據成纖維細胞中鳥氨酸代謝缺陷的程度,將雜合子、純合子與正常人分開。倘若胎兒有鳥氨酸血症,則可能有鳥氨酸尿存在,羊水中鳥氨酸濃度可增高,檢出後給予預防性治療。做到早期診斷,早期治療。

