簡介
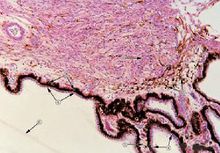
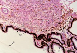
睫狀體在兩棲類以上的脊椎動物眼內,在晶狀體周圍有由於脈絡膜前端肥厚而形成的細褶,以鋸狀緣(oraserrata)為界與脈絡膜的其他部分相區別。稱此為睫體。在睫體中,有平滑肌或橫紋肌的睫狀肌(ciliary muscle)來調節晶狀體的曲率半徑。在睫體的前端形成很多的睫狀突(ciliary process),在睫狀突和晶狀體之間有透明纖維,睫肌藉以對晶狀體曲率的調節。也稱為睫狀帶(zonula ciliaris)、鏈小帶(zonula zinnii)、提韌帶(suspensory ligament)等。睫狀體的表面,外側(深層)是由與網膜色素層相連的睫狀體色素上皮復蓋著,內側(淺層,晶狀體側)是由與網膜相接的網膜睫狀體部分復蓋著。在魚類,代替睫狀體的是鐮狀突。
作用
睫狀體是續連於虹膜後方的環形增厚部分,通過晶狀體懸韌帶與晶狀體相連,睫狀體內含平滑肌,有調節晶狀體曲度的作用。
發炎
前葡萄膜炎(anterior uveitis)又名虹膜睫狀體炎(iridocyclitis),虹膜發生炎症後常影響睫狀體,故臨床上單獨的虹膜炎或睫狀體為是很少見的。常同時發病。
睫狀體前葡萄膜炎又稱虹膜睫狀體炎,包括虹膜炎、睫狀體炎及虹膜睫狀體炎。因為虹膜和睫狀體在解剖上互相連線,關係密切,且同為虹膜大環供血,因此虹膜和睫狀體往往同時發炎。 虹膜睫狀體炎是常見的致盲眼病之一,是最常見的一種葡萄膜炎。臨床主要表現為眼紅痛、視力下降、房
水混濁及角膜後沈著物,若治療不及時可能會發生繼發青光眼、並發白內障以及眼球萎縮等嚴重併發症而失明。
併發症
睫狀體1.角膜混濁:後彈力層皺褶和角膜上皮水泡樣角膜炎病變,晚期發生角膜帶狀皰前。
2.虹膜後粘連:虹膜炎時,由於纖維素性滲出,使虹膜的瞳孔緣與晶體前囊之間產生粘連。早期粘連可用擴瞳劑拉開。如果滲出物已機化,粘連牢固,用擴瞳劑不易拉開,或拉開部分粘連瞳孔呈花瓣狀邊緣不整。
3.瞳孔閉鎖(seclusion of the pupil)虹膜後粘連全部纖維化後永遠拉不開,且瞳孔一周的虹膜,後面與晶體前表面完全粘連,前後房水循環中斷。
4.虹膜周邊前粘連(peripheral anterior synechia of iris)或房角粘連(goniosynechia)。由於後房壓增加或滲出物蓄積使周邊虹膜或虹膜根部與角膜後面粘連。
5.瞳也膜閉(occlusion of pupil):瞳孔區內沉積大量滲出物形成薄膜復蓋在晶體前表面。
6.虹膜膨隆(iris bombe):由於房水不能從後房向前流通,受阻在後房,使後房壓力增加,房水蓄積使虹膜向前推移而呈膨隆狀態。
7.並發白內障:虹膜炎症時,房水性質改變,房水中的炎症毒改變了晶體外在環境,從而也變了晶體正常的生理代謝,導致晶體前後皮質都混濁,並很快形成完全性白內障。
8.繼發性青光眼:由於房角粘連,瞳孔閉鎖,加上急性炎症期血管擴張、血漿漏出,前房水粘稠度增高導致眼壓升高,繼發青光眼。
9.眼底病變:病變後期或嚴重病例可並發有黃斑水腫或囊樣變性,或伴有視盤血管炎。
10.眼球萎縮:睫狀體附近滲出性機化組織形成纖維膜牽引視網膜脫離,破壞睫狀體使房水分泌減少,眼壓減低。加上睫狀體本身反覆發炎變成壞死組織,導致眼球縮小而萎縮。
臨床表現
自覺症狀
疼痛,畏光,流淚及視力減退等症狀是本病的主要特徵。
虹膜睫狀體的三叉神經末梢受到毒性刺激,睫狀肌的收縮和腫脹組織的壓迫產生的疼痛,可反射到眉弓及頰部,睫狀體部有明顯的壓痛,夜間疼痛加劇。急性期常伴有角膜炎症反應而有羞明、流淚視力可突然下降,此因角膜內水腫,角膜後沉著物以及炎性滲出影響光線的進入,睫狀體受炎症刺激發生反射痙攣而造成假性近視。晚期可合併黃斑水腫及視神經視網膜炎。
體徵
1.睫狀充血:有明顯的睫狀充血,嚴重病例還可形成混合性充血和結膜水腫。
睫狀體2.角膜後沉著物(kerato-precipitates,KP):房水腫炎性細胞及色素由於角膜後面和虹膜表面的溫差,隨著前房房水對流的離心力和重力影響粘著炎症後粗糙的角膜內皮上,即角膜
後沉著物。沉著物多沉積在角膜中心偏下部呈三角形分布,尖端朝瞳孔區,大顆粒在下,小顆粒在上。
根據炎症的性質,滲出物的輕重、時間的長短,大小形態、數量不同而表現各異。大的灰白色羊脂樣KP是慢性炎症的特點;細小灰色塵埃狀KP多見於急性或過敏性肉芽腫性疾患。個別正常人亦可見到白色KP,而無虹膜炎的表現,為生理性KP,故應結合臨床其他體徵進行鑑別確診.
3.房水混濁:由於炎症使房水中蛋白含量增加,房水變混,在裂隙燈下房水中呈淡恢色反射性反光帶,名為Tyndall征。表示為活性炎症體徵。重者可出現纖維素性及膿性滲出物,因重力關係沉積在前房下部顯示一液平面即為前房積膿(hypopion)。如果血管破裂,紅細胞外溢,即產生前房積血(hyphema)。
前房水內滲出物是虹膜睫狀體炎的重要體徵,但需在裂隙燈顯微鏡下熟練的眼科醫師方可辨認。有三種表現,一般同時出現,但不盡然。
1.房水內浮游物:炎症時,房內水有遊動的微細顆粒,為滲出的炎症細胞。
2.房水閃光陽性:房水閃光即丁道爾氏現象。正常情況下,丁道爾氏現象陰性。由於炎症,房水內蛋白質及細胞數增加,當將裂隙燈點狀光源照射到角膜上時,房水中即出現一道光束,將角膜和晶體連成一條光帶,正有如飛塵滿空間的房間射進一道光束之所見。
3.角膜後壁沉著物:簡稱KP,由淋巴細胞及漿細胞組成,小點狀,新鮮炎症時呈色灰白,隨著炎症的消退而色變深。無數個小點在角膜後壁排列成三角形狀,三角形之基底朝下。
馬眼球睫狀體病狀
睫狀體4.虹膜紋理不清:虹膜炎時,虹膜血管擴張隨之水腫浸潤,色澤變暗,虹膜表面紋理不清,在肉芽腫性虹膜睫狀體炎時,可望見虹膜結節,有深層和淺層兩種。深層者位於瞳孔緣呈半透明小灰色團者稱koeppew結節,多見於亞急性或慢性炎症早期,數目多少不一,可在數天內消失。淺層結節多在虹膜捲縮輪的附近,故為Busacca結節。此結節可很快消失,偶爾可形成老化和新生血管。炎症反覆發
作時,虹膜發生萎縮,其表面形成機化膜和新生血管,是為虹膜修復狀態。
5.瞳孔縮小:在虹膜炎症早期,由於虹膜充血水腫,細胞浸潤,以及滲出物毒素刺激瞳孔括約肌及開大肌同時收縮,而表現出瞳孔縮小,無對光反射或劉光反應不敏感。如後粘連廣泛成一周,則稱為瞳孔閉鎖,因房水不能從後房流人前房,可發生繼發性青光眼。大量炎症滲出物復蓋在瞳孔區,機化後稱為瞳孔膜閉。
6.玻璃體混濁:睫狀體和玻璃體相鄰,虹膜睫狀全炎的細小塵埃及絮狀滲出物可以侵入晶體後腔及玻璃體前部,使其混濁。
7.睫狀壓痛,指睫狀體部位的壓痛。檢查時囑患者下視,壓者以手指於上瞼觸壓眼球,有疼痛時為睫狀壓痛陽性,為睫狀體部炎症的表現。此外本病應與急性充血性青光眼、急性結膜炎(特別是流行季節易忽略)鑑別(見青光眼)。
臨床
睫狀體虹膜睫狀體炎又稱“瞳孔縮小症”,是由多種原因引起,絕數屬內源性,常反覆發作,並可發生一些嚴重的併發症和後遺症,在診斷明確後,儘早散瞳,對預防併發症和後遺症有重大意義。通過對30例虹膜睫狀體炎散瞳情況的分析,採取相應的護理對策,取得滿意的效果,現報告如下。
【治療】
1.西醫藥治療
(1)散瞳:對於抑制炎症、減少滲出和防止後粘連都極為有利。常用藥為阿托品液或膏,如用阿托品液,應注意壓迫淚囊,以防中毒(因用1%—2%阿托晶液濃度較高)。
(2)皮質類固醇
①輕者可只滴可的松或地塞米松眼藥水,每日滴4—8次。
②較重者可配合球結膜下注射地塞米松,每次2.5-3mg,每日或隔日1次。
③嚴重者還應配合全身用藥,靜脈或口服激素。如強的松每日可用30—60mg,早8點頓服,病情好轉後逐漸減量
(3)濕熱敷,每日2—3次,每次20-30分鐘。
2.中醫藥治療:本病中醫稱為瞳神剿、症,辨症治療效果較好,可採用中西醫結合。
(1)肝經風熱:眼痛、頭痛、畏光流淚,抱輪紅赤,睫狀壓痛,角膜後壁沉著物,房水混濁,或口乾,舌紅苔薄,脈弦數。
治法:疏肝散風清熱。
方藥:見匐行性角膜炎。患眼赤痛甚,選加生地、丹皮、丹參、茺蔚子。
(2)肝膽火熾:瞳神甚小,珠痛拒按,痛連眉梭,房水混濁,兼口苦咽乾;煩躁易怒,舌虹苔黃,脈弦數。
治法:清瀉肝膽。
方藥:見單皰病毒性角膜炎。 可加丹皮、赤芍等
(3)風濕夾熱:眼部症狀加頭重胸悶,肢節酸痛,舌苔黃膩,脈弦數或濡數。
治法:祛風除濕清熱。
方藥:防風、蔓荊子、前胡、羌活、白芷、防已、黃連各10克,黃柏、知母、黃芩、梔於各12克,生地15克,寒水石45克,生甘草6克。
(4)虛火上炎:病之後期巳成慢性,紅赤較輕或不紅而時痛,瞳神幹缺,眼內乾澀不舒,兼見虛煩不眠,手足心熱,舌燥咽乾,舌質紅,脈細數。
治法:滋陰降火,清肝明目。
方藥:知母、黃柏、山萸肉、澤瀉、山藥、茯苓各12克,熟地20克,丹皮10克,丹參20克,決明子15克。
3 討論
散瞳的主要作用在於預防虹膜後粘連,以避免併發症的發生,同時麻痹瞳孔括約肌及睫狀肌,減輕疼痛和充血水腫等炎症反應,有利於病情恢復。在散瞳方法上遵循先弱後強的原則,根據患者虹膜炎症反應,靈活選擇散瞳劑。炎症重者首選阿托品眼液,中度重者選後馬托品眼液,輕度炎症反應者選用托吡卡胺眼液。炎症恢復期,阿托品眼液改為後馬托品眼液,點眼次數逐漸減少。有虹膜粘連不易散開時,可結膜下注射混合散瞳劑。本組病例中,靈活套用散瞳劑治療虹膜睫狀體炎,對其併發症的預防有著重大意義。
睫狀體解離/脫離的定義
睫狀體解離:眼球受鈍挫傷後睫狀體與鞏膜突分離,前房與脈絡膜上腔溝通,引起低眼壓為主表現的一組疾病。
睫狀體脫離:睫狀體與鞏膜分離,但是未與鞏膜突分離,前房不與脈絡膜上腔溝通,前房角鏡檢查正常。
青光眼睫狀體炎危象綜合徵
一、臨床表現:
多發生於青壯年單眼發病且在同一眼反覆發作,偶爾雙眼受累。視力一般近正常如果角膜水腫明顯則視物模糊
前節炎症
輕度睫狀充血,角膜上皮水腫,有少量大小不等灰白色KP,大者呈羊脂狀KP,一般不超過25個多位於角膜下方或在房角小梁網,眼壓恢復正常後數天或數周消失。眼壓波動時可重新出現或不出現KP。房水中偶見浮游物,閃光弱陽性,前房不淺。房角開放,瞳孔輕度開大,對光反應存在,虹膜無前、後粘連。玻璃體無炎症細胞。
眼底
一般正常,但嚴重病例長期反覆發作,或每次發作持續時間長經常在高眼壓下可出現青光眼性視盤及視野改變。
眼壓改變
睫狀體一般為中等度升高,每次發作時間短者3~5天,長者有數周,也可自行緩解。在高眼壓下“C”值偏低,間歇期“C”值及眼壓恢復正常且對各種激發試驗均呈陰性。
二、青光眼睫狀體炎危象綜合徵的併發症:
1.原發性開角型青光眼
這類病人是雙眼單純性青光眼,其中一眼是青-睫綜合徵,後者發作總是同側但另一眼有明確的原發性開角型青光眼表現:眼壓偏高,房水流暢係數低下,飲水試驗為陽性,隨診中出現視盤凹陷和視野缺損。青-睫綜合徵眼也可與原發開角型青光眼並存,當發作時眼壓升高持續時間長對藥物治療反應不良,難以控制不易緩解這類青光眼在治療上應二者兼顧,應儘量不用縮瞳劑,局部皮質激素治療時間不宜過長,以免出現激素性青光眼。
2.色素性青光眼
色素性青光眼的發病機制主要有3種情況:
①青光眼僅與色素對房水排出通道的機械阻塞有關;
②虹膜角膜角除有色素堆積外,尚有構造上的先天異常;
③色素性青光眼是色素播散綜合徵(pigmentdispersionsyndrome)患者所發生的是一種原發性開角型青光眼。青光眼-睫狀體炎綜合徵與色素性青光眼是兩種不同的疾病,但都能引起眼壓增高、視神經損傷及青光眼視野缺損。Robinson首次報導1例這兩種病發生於同一病人。隨訪20年患者男性37歲時,右眼反覆出現青光眼-睫狀體炎綜合徵的典型表現,左眼角膜內皮和小梁網有細小色素沉著隨訪期間右眼視盤凹陷逐漸變大、視野出現鼻側階梯。10年後左眼壓增高KP(-)房閃光(-),小梁網上可見Krukenberg梭狀色素沉著,房水流暢係數下降至0.1。有人發現原發性青光眼家族中患有色素性青光眼者有紡錘狀色素沉著,其皮質激素試驗高度反應者較多,說明色素性青光眼與開角型原發性青光眼之間有某種基因關係。青-睫綜合徵也與原發開角型青光眼有關因此色素性青光眼與青光眼-睫狀體炎綜合徵並發是可以理解的。
三、青光眼睫狀體炎危象綜合徵的診斷:
此病的診斷主要根據以下典型的臨床特點:
①眼壓升高與症狀不呈比例,患者往往有顯著的眼壓升高,但通常無症狀或僅有輕微的症狀;
②眼壓升高與體徵不呈比例儘管患者的眼壓升高是突然的,眼壓升高的程度足可以引起嚴重的眼組織損害,但患者一般並無急性閉角型青光眼的眼部體徵,如睫狀充血角膜水腫、視神經損害、視野缺損等;
③眼壓升高與虹膜睫狀體炎的嚴重程度不呈比例,虹膜睫狀體炎可因滲出物、細胞堵塞房角、虹膜後粘連等機制引起眼壓升高。
但此病的虹膜睫狀體炎輕微不引起虹膜後粘連,眼壓升高卻特別顯著,並且眼壓升高可出現於炎症體徵出現之前;
④單眼受累雖然此病可累及雙眼,但患者典型地表現為單眼受累;
⑤特徵性的KP,此種KP典型地表現為數量少、分布特殊(下方瞳孔區)、消退慢(比眼壓升高、前房閃輝消退慢);
⑥反覆發作;
⑦眼壓升高時房角是開放的;
⑧活體超聲生物顯微鏡檢查可發現睫狀體腫脹和滲出。
關於眼睛構造的知識
| 眼睛是心靈的窗戶,我們每人都有一雙眼睛。但是,我們每個人並不是都完全了解眼睛的構造,本任務就是盤點關於眼睛的相關知識,歡迎補充詞條。 |

