疾病概述
腦萎縮 腦萎縮是對腦組織實質結構改變而通過影像學檢查診斷的一種描述,是指人體由於多種原因而導致的腦組織體積縮小,細胞數目減少的一種慢性進行性疾病。主要有智慧型改變、神態變化及運動功能障礙等三大症候群。臨床可表現記憶減退,情緒不穩,思維能力減退,注意力不集中,終至智力喪失及癱瘓。分屬祖國醫學“痴呆”、“健忘”、“眩暈”、“震顫”、“失眠”、“癲證”、“郁證”、“痿證”、“虛損”等病證範疇。
本病成年人發病:多發生於50歲以上,病程可達數年至數十年,男性多於女性,腦萎縮有瀰漫性腦萎縮(包括皮層萎縮、小腦萎縮及皮層、小腦、腦幹萎縮腦梗塞、)及局限性腦萎縮(多見於局限性腦器質性病變後如外傷、血管病、顱內局限性感染後等)。因其病因複雜,起病緩慢,不易被發覺,病程長,進展緩慢,而且可能逐漸加重,影響患者的正常生活和工作。及早發現、積極適當的控制病情和進一步治療具有重要意義。
病因病理
腦萎縮 腦萎縮原本是影像學運用於臨床以後,在CT或MRI檢查時,據發現腦組織體積減少和腦室擴大等而命名的,因此,腦萎縮是許多疾病的影像學表現,其病因也繁雜多樣,多由於血液成分的異常改變,血液的粘稠度增高,腦血管彈性改變等因素使血流量減少,腦細胞陷於相對缺氧,引起腦細胞能量代謝等障礙而促發腦萎縮。遺傳因素在本病的發生過程中可能起到一定的作用。人體本身的衰老過程、代謝障礙、內分泌機能減退、血管性、炎性、腦腫瘤、癲癇或外傷、腦缺氧或營養性、慢性病毒感染或中毒、濫用鎮靜安眠藥、濫用激素或其他對腦組織有損害的藥物等因素亦可導致本病。在局限性腦器質性損害時,由於局部腦組織受壓、變性、壞死,而代之以膠質細胞增生造成局部腦萎縮。
人類從胚胎髮育開始到步入暮年,無論從機體的巨觀還是微觀的各個方面都在不斷地進行物質代謝與能量代謝以獲取營養並清除不利於自身生理功能的有害因素,從而使自己更適應於不斷變化的機體內外環境。完成這一功能的關鍵必須有豐富的氧,即在有效的血液循環下,有足夠的紅細胞攜帶氧而在其功能和形態方面受損。而當這種損傷還不致引起其生理功能有嚴重改變時,即出現了健康人的衰老,若發生在人類的腦組織即為健康老年人的腦萎縮。老年人紅細胞變形能力下降,則微血管的有效血液灌注不足,腦組織處於慢性缺血、缺氧狀態,腦細胞形態及功能必將受到影響,即形成腦萎縮。
同時,血脂異常在造成老年腦萎縮者,腦循環灌注不良起著重要的作用。還有研究發現顯著白質萎縮者高血壓發生率明顯高於顯著皮質萎縮者,由此分析,動脈粥樣硬化及高血壓小動脈硬化在老年性腦萎縮的形成中均有一定作用,大腦皮層主要由腦內大的血管分支供血,皮層區有豐富的毛細血管網,當紅細胞變形能力下降時,紅細胞通過毛細血管的量下降,不能輸送足夠的氧滿足皮層神經元代謝需要,即發生了皮層萎縮。腦白質主要由中小動脈供血,而高血壓者易於發生小動脈透明性變,纖維素樣壞死、硬化,導致小動脈管壁的增厚,彈性下降,血管阻力增加,血流灌注不足,高脂血症更加重了動脈硬化的形成。因此,認為高血壓、高血脂可能為腦白質萎縮的一個原因。假如上述腦皮質萎縮和腦白質萎縮的原因同在,就有可能既有白質萎縮又有皮質萎縮,且隨著時間的推移,混合性腦萎縮的患者會增多。
本病的病變可見腦回變平,腦溝增寬,腦室腦池擴大,腦重量減輕。多見大腦皮質萎縮,因部位和涉及範圍不同又可分為局限性和瀰漫性腦萎縮。
中醫認識
腦萎縮發展變化 本病的形成是一個很複雜的病理過程。因腦為元神之府,只有腦髓滋養,腦髓充足,才能神氣清靈;髓海不足,則神呆氣鈍,失卻清靈。故其病因病機有:
(1)髓海空虛
年老之人,或稟賦不足,腎氣漸衰,陰精漸虧,精虧於下,不能上充於腦,髓海空虛,元神失養,神明失聰,髓海消縮,為本病的主要病機。且有或偏腎陰虛、或腎陽虛者,隨證而異。
(2)氣血虧虛
後天氣血生化不足,氣血無以上充於腦,腦失給養,腦髓萎弱。
(3)痰蒙腦竅
由於脾為生痰之源,勞倦過度,飲食不節,或久病體虛,脾氣虧虛,運化失司,易致痰濕內蘊,痰阻腦絡,蒙蔽神明清竅,或痰邪郁久化熱上擾神明、腦髒。
(4)瘀阻腦絡
七情失調,肝氣失疏,氣機郁滯,日久血行不暢,可是腦絡發生淤滯;或元氣虧虛,氣虛不能運血,亦見腦絡淤滯。本病形成與臟腑功能失調相關,受氣、血、痰、郁、瘀、或等影響,以髓海空虛,臟腑虛損,氣血失衡,痰濁阻竅為基本病機。
西醫認識
腦萎縮的原因是很多方面的。由於年老血液成份的異常等因素,血液的粘稠度增高,使血液緩慢、血流量減少,致使正常的機能活動所需的能量減少;且年老微循環發生障礙,微循環網血液不暢,則記憶商可降低;老年人動脈含氧量降低,使腦細胞陷於相對缺氧,可引起腦細胞合成各種酶和神經傳導質的量減少,均可導致腦萎縮。此外,遺傳在本病的發生過程中也起了一定作用,衰老的過程、代謝障礙、內分泌機能減退等因素也與發病相關。
臨床表現
腦萎縮 1.腦萎縮(大腦萎縮、小腦萎縮)可發於任何年齡,如腦癱合併腦萎縮、中老年腦萎縮痴呆、外傷後腦萎縮引起語言障礙、肢體功能障礙、高燒、腦炎中毒引起的腦萎縮以痴呆或植物人狀態半植物人狀態,糖尿病及腦昏迷、肝昏迷引起的腦萎縮以昏、睡、發獃、記憶力快速下降為主要症狀。
2.腦萎縮(大腦萎縮、小腦萎縮)的主要症狀為記憶力下降、健忘、失眠、幻聽、幻覺、智力減低反應遲鈍、語言不清、重度的失語、流口水,大小便失禁,臥床不起,處於昏睡狀態。視力、聽力下降出現耳鳴、耳聾,定向能力失常,思維紊亂、呈片段性、大事被忽略,小事卻糾纏不清,常出現某種毫無意義的動作。性格改變,情緒不穩定,急躁易怒,任性,自私,多疑敏感,語無倫次,對人淡漠,體形過於肥胖或消瘦,走路步態不穩,動作遲緩,嚴重的臥床不起,偏癱,混合性癱瘓,常合併抽搐痙攣發作等。
腦萎縮這種病基本上可分為四個病變期(病變初期,病變早期,病變中期和病變晚期)。
腦萎縮 (2)病變早期:病人會出現長期頭痛、頭暈、健忘(丟三落四,比如剛吃完飯就忘了吃什麼),失眠、腰膝酸軟、手足麻木、尿頻、尿急。情感行為方面明顯異常,多疑、自私、說話不利索、行動遲緩等。
(3)病變中期:病人出現定向障礙(出門找不到家、經常忘路),反應遲鈍、答非所問、自言自語、共濟失調(站立行走不穩、前後傾斜,平衡不穩)、嗆咳、遺尿、手足震顫、不知餓了該吃飯,常出現幻覺和妄想。
(4)病變晚期:患者已明顯痴呆,智慧型和體能基本失控,不知道自己叫什麼,多大年紀。不能主動進食,大小便失禁,長年臥床不起,生活不能自理,必須他人護理。
輔助檢查
腦萎縮檢查 1.臨床檢查
大腦萎縮患者除詢問病史及觀察症狀外,可發現其各種神經反射均不同程度的遲鈍或減低。淺反射如腹壁反射、提睪反射、肛門反射表現遲鈍,肱二、三頭肌反射、橈骨膜反射、膝腱反射、跟腱反射也可減低,偶可有病理反射出現。小腦萎縮患者,通過臨床檢查可發現步態蹣跚、步幅寬大、不能沿直線行走、呈醉酒樣步態,閉目難立征:睜閉眼均不穩,閉眼後尤為明顯。語言緩慢、頓挫,意向性震顫,病理征陽性、指鼻試驗欠穩準、跟膝脛試驗欠穩準。
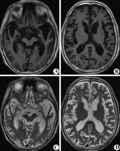
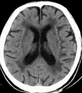
2.神經影像學檢查
CT及MR(磁共振)等神經影像學檢查可發現腦組織體積減少、腦室擴大。如果大腦萎縮可見腦皮質與顱骨板間隙增大,大腦溝增寬增深、腦回變平縮小,側腦室及第三腦室擴大,側腦室前后角周圍密度減低。小腦萎縮時可顯示小腦腦溝增寬增深,體積縮小,影像呈現分枝樹葉狀,小腦周圍腔隙增大,第四腦室擴大。如果有橋腦橄欖體萎縮,在神經影像上可見腦幹變細狹窄,周圍腔隙增大、橄欖體變扁平或縮小。
3.腦血管造影
可見腦動脈血管迂曲變細,有狹窄或閉塞。經顱都卜勒超聲(TCD)檢查可發現血流減慢,血管阻力增加等現象。
診斷標準
根據病史、症狀、臨床檢查及神經影像學等檢查對腦萎縮的診斷並不困難。
腦萎縮 1、中醫診斷:
A、記憶:記憶能力,包括記憶近事及遠事的能力減弱。
C、計算:計算數字,倒述數字能力減退。
D、識別:識別空間位置和結構能力減退。
E、語言:口語能力,包括理解別人語言能力和有條理地回答問題的能力障礙。文化程度高者閱讀、書寫能力障礙。
F、個性:性情孤僻,表情淡漠,語言囉嗦重複,自私狹隘,頑固、固執或無故欣快,易於激動或暴怒等。
G、思維:抽象思維能力下降,例如不能解釋諺語、不能區別詞語的相同點和不同點,不能給事物下定義等。
H、人格:性格特徵改變,道德倫理缺乏,不知羞恥。
I、年齡:多見於60歲以上者。J、病程:起病發展緩慢,病程長。
2、西醫診斷標準:(1993年美國精神病學會DSM-M標準):
A、智力減退以致影響社會及職業活動。
B、記憶障礙。
C、有下列4項中的1項:(a)抽象思維能力障礙 不能給事物下定義等。(b)判斷障礙。(c)其他高級皮層功能障礙:如失語、失用、失認、結構失用。(d)人格改變:原來性格特徵的改變或強化。
D、無意識障礙。
E、有下列之一項:(a)病史、體查、實驗室有提示病因的發現。(b)如無上述證據,而行為改變屬多種識別功能障礙,能合理地排除功能性精神病,能就其器質性病因做出某種推斷。
F、做頭顱CT或核磁共振進一步綜合診斷。
1.早期發現、早期治療,容易取得較好的療效。
2.促進正常發育、抑制和改善異常運動和姿勢。
3.綜合治療:利用各種有效的手段對患者進行全面、多樣化的綜合治療、除針對運動障礙進行治療外,對合併的語言障礙、智力低下,行為異常、癲癇也要進行治療。
4.家庭訓練和醫生指導相結合。
5.針對病因,辨證辨病、標本同治、調節五臟六腑、營養腦細胞、促進腦組織發育。
全面排查
腦萎縮起病較為緩慢,病情不斷加重,直到出現嚴重影響生活的症狀才會引起重視。最主要的致病因素是腦血管長期慢性缺血而造成的。其臨床表現與腦萎縮發生的部位有關,每個病人的症狀並不相同。具有以下症狀中的三項就需要去全面排查。
1、說話時突然忘了要說的是什麼
2、買許多東西時總是漏掉幾件沒買
3、很久以前曾經能熟練進行的工作,現在重新學習起來有困難
4、反覆進行的日常生活發生變化時,一時難以適應
5、物品在經常放置的地方找不到,卻在想不到的地方找到了
6、記不清某件事情是否做過,例如鎖門,關電源
7、說話時突然不知如何表達
8、生活習慣刻板怪異,性格急躁,言語囉嗦重複
9、忘記關煤氣而把飯菜燒焦
10、曾經去過的地方再去卻找不到路
臨床分型
腦萎縮 腦萎縮在臨床上可以分為五種類型。
1.以大腦皮層萎縮為主要病理改變的大腦萎縮:臨床多出現運動功能障礙,記憶力減退和反映遲鈍。
2.以小腦病理改變為主的小腦萎縮:臨床多出現步態不穩,共濟失調,語言蹇澀、嗆咳等。
3.遺傳性腦萎縮:分常染色體顯性和隱性遺傳,臨床根據病理改變特徵分脊髓型、脊髓小腦型、小腦型和周圍型幾類。
4.局限性腦萎縮:是因局部腦組織的病變所引起的腦組織變性或手術引起的局部腦軟化,均可在病變部位及周圍產生局限性萎縮,也叫某種腦病或腦損傷後遺症。
5.退行性腦萎縮:是以大腦、小腦及橄欖橋不同程度的萎縮、變性出現的腦功能減退、神經功能障礙,痴呆為主要表現的老年性常見、多發病。對老年患者來說退行性腦萎縮是生理必然,但臨床出現的時間和程度差異甚大,隨年齡增長,有一定程度的反應遲鈍,記憶力減退多屬生理性,出現過早,症狀明顯的則應重視預防和治療。
治療方法
治療原則
腦萎縮 腦萎縮主要行對症治療,根據腦萎縮症狀不同,對症使用相關藥物。
2.康復治療
康復治療對於腦萎縮患者有意義,尤其是在出現認知、運動功能障礙後,康復治療對功能恢復有重要價值。
3.儘早治療
早期治療應在各種功能障礙出現後6個月以內,此時治療恢復為最佳。對發病6個月以後開始治療的患者,其恢復程度及速度均要比早期治療者差。
腦萎縮早期治療應在語言功能出現障礙後6個月以內的時期治療恢復為最佳,對發病2-3年開始治療的患者,其恢復程度要比早期治療恢復的速度緩慢的多。
語言康復
腦萎縮--治療 堅持發音器官鍛鍊和說話相結合。加強舌體運動,可使舌的動作得到改善;通過聲帶震動可使聲帶得到鍛鍊;通過呼吸練習,使氣流得到調整;通過口腔運動可幫助舌的運動,以加強對氣流的調整等。這些均有利於言語恢復,說話練習也反過來強化發音器官的功能。
語言的治療有高度針對性,命名性失語治療重點放在對物品名稱命名的訓練上;對讀寫困難者重點練習複述詞句和書寫訓練上;對表達能力差者,多進行日常口語對話、手勢語、指物品名稱或哼調練習。
堅持“視、聽、說、寫”四者並重,堅持天天學,天天練,但也不宜安排過多,操之過急。過多過重的練習反使患者將語言訓練當作是負擔,不能取得患者的協作。
堅持多種形式鍛鍊,以提高患者興趣,訓練內容可有繞口令,又有講故事、提問,還可根據患者自身情況採取搶接、聯句等形式。
如有可能,還將安排集體訓練,集體訓練可引起相互促進、相互鼓勵,並能排除畏難情緒和怕說話的心理,語言康復由語言治療師一對一進行訓練,在治療前,由治療師根據每位患者的具體情況,制定相應的符合患者現有語言能力的治療方案。語言康復每天治療1次,每周治療6天,休息1天。
中醫治療
腦萎縮 中醫認為本病雖病位在腦,但與各臟腑功能密切相關,病理機制屬於腎精不足,氣血不足,陰虛火旺,瘀血阻絡,痰濁雍盛。中藥治療以溫腎補血,舒筋活絡為主。溫腎補血可以緩解腦部供血不足的情況,舒經活絡可以改善氣血循環。
1.整體觀念: 《內經》中有關肝主筋脈,腎主骨生髓,腦為髓海,髓海空虛,腦失所養,氣血濡養經絡骨結等論述,是臨床的理論基礎。肢體損於外則氣血虧於內,營衛有所不貫,臟腑由之不和,說明人體的損傷必然影響到整體,因而整體治療才能收到很好的效果。
瘀不去,瘀不去則經絡不通,經絡不通則腦和肌肉失之營養。
3.重視外邪為患:本病為外邪侵襲,精血津液運行受阻,故致肌肉神經損傷,只有祛除外邪,才能保證津液不至枯竭,生化有源,腦萎縮(大腦萎縮,小腦萎縮)合併肌萎縮才可以恢復。
4.強調身體虧弱:把心、肝、腎、脾、胃的虛損當做重點,是中後期腦萎縮(大腦萎縮,小腦萎縮)肌萎縮繼續發展的主要病機,身體越虛弱病情越重,病情加重身體更虛,形成惡性循環,故應及早治療為主,這是抵禦此病的根本。
5.補益脾腎:脾腎是子母之髒。脾主氣血,腎主藏精。腎精必須依賴氣血的滋養,精氣血是相互貫生的,脾主四肢充肌肉,腎主骨,通經絡,腎生骨髓,腎精充足則骨髓生化有源。
6.順勢療法的運用:通過內服,外洗的治療,點穴按摩合理的功能訓練,調理臟腑,恢復正氣。
預防調護
腦病之家對腦萎縮預防主要是延緩衰老,所以對50歲以上的老年人應適當根據不同的情況選擇延緩衰老中藥(如回陽還春湯、還精煎),有利於改善腦細胞的衰老症狀,可預防病情發展或加重。同時,適當的體育鍛鍊,保持心情愉快,生活安定,對延緩衰老及預防本病發生亦有一定意義。
對已發生腦萎縮的患者,要注意飲食營養和日常生活清潔衛生,督促病人自己料理生活,鼓勵其參加適當的勞動,使他們與環境保持一定接觸,以減慢其精神衰退進程。同時應注意防止褥瘡、感染和骨折,不讓病人單獨外出,以免迷失走失。
預防腦萎縮、老年痴呆應從家庭做起
據流行病學研究發現:老年痴呆其危險因素有數十種,其中較肯定的因素有高齡、家族史和因頭部外傷出現意識喪失的腦外傷患者。特別是家族史是最肯定的因素。
腦萎縮、老年痴呆症將成為21世紀的流行病,嚴重威脅著人類的晚年健康和生活質量。目前尚無徹底治癒的方法,但有藥物可以延緩其發展的過程,改善現有的症狀。
所以預防老年痴呆從家庭開始顯得尤為重要。
注意事項
生活注意
1、積極治療身體疾病,特別是積極預防和治療高血壓、糖尿並肺心病等慢性疾玻在使用治療腦萎縮的藥物時,原用於治療高血壓、糖尿並肺心病的藥物應繼續服用。但在服用時,藥與藥之間應間隔30—60分鐘。
2、禁食辛、辣、醃、熏類食物,平時應適當多吃些新鮮、含優質蛋白的食品,如乳類、肉類、蛋、魚蝦、蔬菜、水果、大豆及豆類製品等。
3、戒除煙、酒等不良嗜好。
4、如癱瘓臥床患者,家屬應加強護理,注意衛生、定期翻身、避免褥瘡發生。
5、堅持看書、看報學習,增加興趣、愛好,有利於對腦力的鍛鍊,促進和改善大腦神經細胞的供血、供氧。
6、適當增加體育鍛鍊、增強機體的抵抗力,促進大腦神經細胞的新陳代謝。
7、患者要樹立戰勝疾病的信心,遵醫囑、按療程、按時間堅持用藥。
8、特別是小兒腦發育不良患者的家長,應耐心、細心地從各方面教導、啟蒙小孩才有利於健康。
9、保持心情舒暢、樂觀、避免情緒激動。
10、保持良好的人際關係和家庭融洽。
飲食注意
腦萎縮飲食 2、膳食中提供充足的必須脂肪酸,是大腦維持正常功能不可缺少的營養物質,如:核桃,紅花油等。適量的攝入微量元素,增加腦的血流量,有利於防治腦萎縮的發生。
3、肥胖的病人應限制主食的攝入量,將體重降至正常或接近標準體重。
4、不能吃過多的糖,避免出現神經過敏或神經衰弱等障礙。
5、少吃或不吃動物脂肪和動物內臟,如肥肉、肥腸、肚。
6、飲食應以清淡為主,避免過鹹,少放味素,儘量不吃鹹菜、油炸、奶油、蛋糕等,推薦飲用純水和鮮果汁。
7、多吃優質蛋白質,如牛奶、雞鴨(推薦野生的柴雞)、魚類、蛋類(蛋黃應少吃)、豆製品,少吃豬、牛、羊肉,且以瘦肉為好。
8、多吃纖維素多的食物,如芹菜、粗糧等,增加胃腸蠕動,避免大便乾燥。
預防措施
積極防治血管性疾病:預防腦萎縮,應該積極防治某些全身性疾病,尤其是影響血管健康的疾病,如高血壓、糖尿病、高脂血症、動脈硬化等,做到早發現、早診斷、早治療,這樣才能延緩和控制病情的發展。輕則調整生活方式,改善營養結構,糾正不良生活習慣;重則藥物加以控制,當然用藥應當循序漸進、持之以恆。
增加社會活動:用進廢退,經常讀書看報、寫寫算算,有規律地運轉大腦,不斷促進大腦神經及感官信息運動的活躍,有利於改善腦部的血液循環,推遲腦細胞的老化,延緩腦萎縮的進程。積極參加各種社會活動,"多一分社會交往就多一分身心健康",杜主任建議中老年人應該走向社會,多增加外出活動機會、刺激大腦皮層不斷有新的興奮點產生,從而可以延緩衰老,減慢腦功能衰退。
清淡飲食,大便通暢:便秘是心腦血管危險事件突發的最常見誘因之一,而腦血管意外對腦組織的損傷最為直接和嚴重,因此,杜主任認為,中老年人保持大便通暢非常重要。平時可多吃蔬菜水果,清淡飲食,便秘重者可配合飲用一些腸清茶、番瀉葉等。此外,銀杏、丹參等活血、健腦的中草藥對預防腦萎縮也有一定的效果。
最後,專家提醒正在或已經步入中老年行列的人群,平時應該定期檢查,及早發現有無腦萎縮的危險因素,早期干預,早期預防,儘量延緩疾病的發生和發展。
家庭護理
①加強營養、改善營養狀況,保持膳食平衡和心理健康;
③增進認知活動,努力恢復以前的生活經驗和能力;
④增強病人的定向力,若定向力障礙嚴重時,應避免單獨外出;
⑤促進語言溝通,協助病人增加人際交往,如參加娛樂活動,戶外活動;
⑥妥善保管危險物品,減少室內物品的變動,保障病人安全;
⑦注意清潔衛生,維持病人皮膚的完整性。
飲食原則
腦病之家腦萎縮病人在日常飲食中注意補充海產品、食用菌、豆類及其製品、魚類、乳類、芝麻醬、各種蔬菜和水果等食物,便可以使機體獲得足量的礦物質。(1)各種菜餚烹調時,不要放過多的味素。腦組織通過酶的轉換使谷氨酸生成γ-氨酪酸。攝入過多的味素時,可引起頭痛、噁心等症狀。
(2)注意給予低糖飲食。
因為過多的食糖,特別是精製糖攝入過多,易使腦功能出現神經過敏或神經衰弱等障礙。
(3)供給充足的必需脂肪酸。
膳食中提供充足的必需脂肪酸是極為重要的,它是大腦維持正常功能不可缺少的營養物質,核桃、魚油、紅花油,月見草油的必需脂肪酸含量較多,在膳食中可適量增加。
(4)膳食中應注意補充含維生素。
如E、維生素C和β-胡蘿蔔素豐富的食品、如麥胚油、棉籽油、玉米油、花生油、芝麻油等,這些物質具有抗氧化物質,能夠延緩衰老。
老年醫學研究發現,飲食中含有的一些礦物質與防治老年痴呆症關係密切,例如鈣可以調節神經肌肉的興奮性,維持心功能的正常活動,改善老年人的認知能力。
鎂是各種酶反應的輔助因子,與鉀、鈣等元素協同維護心肌和防治動脈硬化,從而增強腦的血流量,有利於防治老年痴呆症的發生。
健腦食物
1、動物內臟。動物內臟不但營養豐富,其健腦作用也大大優於動物肉質本身。因為動物內臟比肉質含有更多的不飽和脂肪酸。
2、紅糖。紅糖中所含的鈣是糖類中最高的,同時它還含有少量的B族維生素,這些對大腦的發育很有利。
3、肉類。瘦豬肉有滋陰潤燥的作用。牛肉具有健脾益胃,健腦的功效。雞肉可以溫中益氣、健腦補腦。鴨肉具有滋陰養胃,利水消腫,補腦的作用。骨髓可以補腎壯骨,補益腦髓。海參含有粗蛋白質、脂肪、鈣等成份,具有補腎益精、健腦的功效。
4、核桃。它富含不飽和脂肪酸,這種物質能使腦的結構物質完善,從而使人具有良好的腦力。所以人們都把它作為健腦食品的首眩
5、魚頭。魚頭含有蛋白質、胺基酸、維生素和大量微量元素,對補五臟,健腦益智有很好的效果。
此外,豆芽、魚蝦類、海藻類、蜂蜜、豆類等,也是非常好的健腦食品。腦萎縮患者適當多食用健腦食品,可以起到輔助治療的作用,從而提高治療效果,獲得較好的預後。
食療湯
食療 1)魚頭燉冬菇湯:鰱魚頭1個,冬菇、肥肉,調味品各適量,人參粉3克。將魚頭切為兩半,放入蔥、姜、料酒醃2小時把肥肉片,魚頭,冬菇同放盆中,加清水,食鹽適量,上籠蒸至30分鐘左右,再放入黃瓜絲,蔥花,香菜,味素薑末,香油參粉即成。可聰腦明目益智,適用於腎陰不足,髓海不充所致心悸,失眠,步態不穩,視物模糊,痴呆等。
2)豬脊髓甲魚湯:豬脊髓 200克,甲魚1只,調味品適量。將甲魚用沸水燙死,去甲殼,內臟,頭、爪,豬脊髓洗淨備用,將甲魚肉與蔥,姜同放鍋中,武火燒沸後,改文火煮至甲魚肉待熟時,下豬脊髓、煮沸、再下胡椒,味素、精鹽、料酒等,煮熟服食。可補氣血,填腎精,強腰脊,聰腦目,對老年性痴呆,腦動脈硬化,腦萎縮等,有良好的補益食療作用。
區別
與老年痴呆
有大多數人都認為腦萎縮就是老年痴呆症,針對這一問題,專家解釋,腦萎縮與老年痴呆症並非是同一種病症。
科學研究表明,大腦最外層是呈灰色的大腦皮層,由140億個神經細胞體組成,厚3.5mm,大腦皮層表面曲折不平,有凹陷的腦溝和凸起的腦回,大腦皮層下面為白色的髓質。在腦的中部還有數個呈空隙的腦室。腦神經老化死亡後,腦的重量變輕,體積變小,CT檢查呈現腦體積縮小,腦溝變寬,腦回變細,腦室擴大,這就是腦萎縮。
老年性痴呆的腦萎縮程度比正常老人嚴重,尤以與記憶功能有關的腦部位如海馬回更加明顯。但目前單純從腦萎縮的程度上,還不能夠區別正常老人和老年性痴呆病人界限。臨床上發現:腦萎縮嚴重的老人並沒有痴呆症狀,而腦萎縮較輕,甚至沒有腦萎縮的老人卻有明顯的痴呆症狀,因此,CT檢查只是作為輔助檢查,老年性痴呆的診斷主要依據臨床症狀。嚴重的記憶減退是其主要症狀,臨床上呈現明顯的是遺忘症狀,如前講後忘、迷路、忘記物品放置地方、不認識家人、不能簡單計算等,嚴重時臥床不起,生活不能自理,大小便失禁,似剛出生的小孩。有時還有吵吵鬧鬧、打人罵人、撕衣毀物等精神症狀。因此,有特殊的遺忘症狀又有CT檢查腦萎縮的存在時才能診斷為老年性痴呆。
客觀地說,痴呆患者都有記憶力減退,但是記憶力減退者不一定都是痴呆。因為隨著年齡的增加,進入老年期後,人體的組織、器官及各系統都會逐漸老化,人的記憶力功能也會逐漸衰退,這是老年人正常的、生理的改變。不過有些老年人的記憶力並不隨著年齡衰老而減弱,這與教育的程度、營養、生活經歷、愛好、文化素養、身體素質、生活範圍等都有明顯關係。痴呆是一種疾病,老年人記憶衰退是一種生理過程,兩者有相似的地方,又有根本的不同。
因此,可以明確地說,腦萎縮並非就是老年痴呆症。二者之間存在著一定的相似性,因此在進行臨床診斷時應注意進行鑑別。
生理病理
【生理性腦萎縮】是隨著年齡的增長,機體功能衰退,腦細胞功能逐步退化而引起的。
【病理性腦萎縮】是由多種原因引起腦組織體積縮小的一種衰退性疾病,多由血管性疾病(如腦動脈硬化、腦梗塞、腦出血、高血壓病、冠心病等)、退行性疾病(如多發性硬化等)、內分泌疾病(如糖尿病、甲亢、維生素缺乏等)、中毒(如金屬中毒、煤氣中毒、酒精中毒等)、感染(如腦炎等)、腦外傷等引起腦實質破壞和神經細胞的萎縮、變形、消失。專家指出,其中最常見的致病因素是血管性疾病。各種原因引起的腦血管、心血管以及周圍血管性疾病,都會影響到全身的血液循環,從而導致腦動脈硬化、缺血,甚至梗塞等,使腦組織因缺乏必需的營養而受損,以致於出現腦功能減退甚至腦萎縮。
危害
一、忘記時間和定向能力喪失。暫時忘記今天是幾號或迷失方向是正常的.但老年性痴呆病人會在家門口迷路,或在熟悉的百貨商店裡走失,同時,也不記得自己現在身在何處.是如何到這裡的,又該如何回到原來的地方。
二、語言障礙。每個人都可能遇到找不到恰當詞語的時候.但往往會用其他適當的辭彙代替。老年性痴呆病人則經常忘記一些詞,或將不連貫的詞不合理地組合在一起,令人費解。
三、判斷力明顯減退。人們在過於投入某項活動時,可能會暫時忘記一些其他的事情,比如應該及時照看孩子,但過後會記起這件事。老年性痴呆病人卻會完全忘記自己正在看護的孩子,獨自出門很長時間,記不起孩子是需要人照顧的。
四、思考、歸納能力極度下降。平時能正常處理數字問題的人,有時也會因事情較為複雜而沒有頭緒,但一般總會找到一種行得通的解決方法。老年性痴呆病人卻不僅忘記數字,還會忘記這些數字的用法。

