疾病簡介
又稱脊髓小腦萎縮症,Spinocerebellar ataxia,簡寫為SCA,是一種家族顯性遺傳神經系統疾病,只要親代其中一人為此疾病患者,其子女將有50%的機率遺傳此症並發病。這類患者發病後,行走的動作搖搖晃晃,有如企鵝,因此被稱為企鵝家族。
疾病症狀
上海交通大學轉化醫學研究院中心專家介紹,小腦萎縮的症狀分為初期、中期和晚期三個階段。
A.初期表現症狀:
①走路猶如喝醉酒(眩暈感)。
②動作反應較不靈活,動作的流暢性喪失,提重物有困難。
③上下樓梯雙腿不協調,肌肉僵硬,無法精確的完成某些特定動作,如跑步、爬山、打球等。
④靜止站立時,身體會前後搖晃,端水時容易濺出。行走時容易撞到牆上或門框上。
⑤眼球轉動有障礙,無法快速的轉移目標。
⑥辨別距離能力不良,如打不到桌球。
B.中期表現症狀:
①四肢、肌肉不協調感加重,運動失調現象明顯。
②無法控制姿勢與步伐,狀似企鵝行走;搖搖晃晃,兩腿微張或剪刀步,無法保持平衡,無法長距離行走,無法跑步,上下樓梯困難,走路時身體無法靈活調整。因此,容易摔跤。
③舌頭打結、說話不清楚,寫字有困難,吃東西或喝水時容易被嗆。
C.晚期現象:
①說話極不清楚,無法控制音調,甚至無法言語,寫字無法辨認,吞咽困難。
②無法站立,甚至無法坐起,需靠輪椅代步,或臥床在床,生活無法自理。
③如果大腦或周圍神經受到波及,則病人智力會受到影響。
症狀與治療
人的小腦的生理功能主要是維持身體平衡和協調隨意運動。小腦病變時引發肌肉的張力低下,導致肢體打軟,且對運動的距離、運動的速度及運動所需的力量估計不足,還會出現不規則的肢體震顫。
目前,雖尚不能完全揭示該病的病因並提出有效的治療方法,但全世界學者仍在不斷探索該病病因,積極尋找治療方法。我國中醫理論認為:此病病位在腦但定位在腎,治療的關鍵在於補腎、益氣、活血、健腦、豁痰、開竅。多年的臨床證明:該療法可有效延長腦的常壓耐缺氧時間,改善腦膜微循環,促使毛細血管新生及神經纖維生長和細胞功能的恢復,有效改善腦部缺氧缺血症狀。
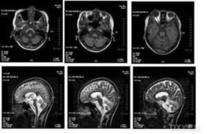
檢驗化驗
小腦萎縮小腦萎縮核磁共振成像(MRI)檢查:掃瞄腦部,可以見到病變進行中的小腦萎縮。
DNA分析:可以分辨本症的不同類型。
鑑別診斷
(1)老年期的其他精神病抑鬱症如初次發病與老年期,則應注意與本病加以鑑別。此類病人對答緩慢,思考困難,動作減少,頗給人以"痴呆"的印象。但他們又明確的發病界限,病前智慧型和人格完好,臨床症狀以情緒憂鬱為主,儘管病人智力測驗時速度較慢,但耐心檢查可發現其質量還是好的,對抗憂鬱藥的效應良好,在憂鬱症狀消退後並無持久的智慧型和人格的缺損。老年期還可能發生中毒性,症狀性或反應性精神病,需根據病史、體檢和精神檢查加以鑑別。
(2)其他表現為痴呆的疾病有許多疾病可能引起痴呆,如甲狀腺功能減退、惡性貧血、神經梅毒、額葉腫瘤等。其中有些疾病如能早期診斷治療還是可能恢復的,需結合病史、體檢和室驗室檢查鑑別。
併發症
智慧型減退、痴呆:表現為理解判斷能力的全面下降直至最後完全消失。
記憶障礙:經常會忘記今日的事情,還會經常失落東西。隨著病情加重,逐漸的記憶力會全部喪失。
幻覺妄想:在幻覺的基礎上產生妄想,兩者相互依從,互相影響:適量套用抗精神病藥物,所需劑量應結合症狀輕重而酌情用藥。
性格行為的改變:性格會變得易興奮、易怒、易有爆發性情緒,可傷人、自傷、毀物,甚至厭世自盡:首先應儘量避免某些易激惹因素,必要時套用藥物控制其過分情緒及行動。
治療方法
1.幹細胞治療
2.中醫治療
原理:偏方中醫的治療主要是填髓補精,化瘀通絡,補氣血,使病情暫時得到延緩。
缺陷:中醫治療療程長、見效慢,而且無法從根本上控制病情進展,所以我們就得尋求更為有效的治療方法。
3.西醫治療
原理:降低血液的黏稠度,加快血流速度,增加血流量,促進微循環,提高動脈血含氧量。
缺陷:藥物治療只是治標不治本,只能緩解症狀,一旦停藥,患者的病情還是會反覆加重,倘若長期的使用藥物治療會引起腎臟疾病。
康複方法
1.針灸推拿
針灸推拿主要是依據患者的臨床表現,結合中醫辨證理論,進行中醫臨床分型,一般將腦萎縮分為腎精不足型、氣血虧虛型、痰蒙腦竅型、瘀阻腦絡型四型。然後依據臨床分型,再選擇穴位和治法,確立治療方案。
(1)針灸
針灸是通過在選定的穴位進行針刺或艾灸,同時根據中醫辨證施治理論採用恰當的補瀉手法,以達到調節患者的機體的陰陽平衡,疏通經絡,開通腦竅,促進腦萎縮患者康復的目的。
①腎精不足型以補益腎氣、益精填髓為主要治法。
針灸選穴:主穴--百會(或四神聰)、太溪、命門、腎俞
配穴--關元、脾俞、復溜、陰陵泉
針刺方法:百會平刺,勿提插,多捻針、留針;關元可用灸補法;余穴均用補法。
②氣血虧虛型以補益氣血、養血健腦為主要治法。
針灸選穴:主穴--足三里、三陰交、血海、脾俞
配穴--腎俞、胃俞、關元
針刺方法:關元可用灸法或溫針灸,余穴以補法為主。
③痰蒙腦竅型以健脾化痰、益腦開竅為主要治法。
針灸選穴:主穴--豐隆、脾俞、神門
配穴--曲池、百會、陰陵泉、風池
針刺方法:脾俞用補法;百會只捻轉,不提插;其餘穴位用瀉法。
④瘀阻腦絡型以活血化瘀、通絡開竅為主要治法。
針灸選穴:主穴--風池、太沖、血海
配穴--百會、神門、足三里、三陰交
針刺方法:神門、足三里、三陰交用補法;百會只捻轉,不提插;其餘穴位用瀉法。
上述針灸選穴是臨床選穴的基本指導原則,在實際施治過程中,可根據患者的臨床表現,堅持中醫的整體觀念和辨證論治的原則,靈活選用,以達最佳治療效果。另外,可根據患者的臨床症狀選用頭針治療,如有運動功能障礙的選用運動區;共濟失調者可選用平衡區;語言障礙者可根據語言障礙的類型分選語言區(語言Ⅰ區、語言Ⅱ區、語言Ⅲ區);有感覺障礙者,可根據感覺障礙的部位選擇相對應的頭針感覺區;有震顫者,還可選用舞蹈震顫區。當然還可運用時間針灸,定時開穴施治,採用子午流注和靈龜八法定時開穴進行針灸將可在選穴少的情況下,取得較為突出的療效。針灸治療,每天1次,每周治療6次,休息1天,病人身體有其他發熱、感染、血液病、軟組織損傷等不宜針灸者可暫停針灸。
1.推拿
推拿的主要作用是通過對肢體或穴位和按摩,達到疏通經絡,活血化瘀的作用,從而使腦萎縮的肢體功能和其他功能的障礙得以恢復。
對於腦萎縮的患者來說,如果沒有肢體功能障礙,推拿部位則以頭面部為主。頭面部採用的推拿施治手法主要有:開天門,推坎宮,分推額陰陽,揉運太陽,雙揪鈴鐺,分推面頰,掐人中,點揉神庭、百會、前頂、後頂、腦空、腦戶、風池等穴,五指拿頭頂,三指拿頸項,掃散法,乾洗頭等。
若患者伴有肢體功能障礙,則同時要求做肢體推拿,上肢的推拿手法主要有拿上肢、滾上肢內外側面,點揉曲池、手三里、內關、外關等穴,搖上肢肩、肘、腕、指關節,捻指,拔伸手指,搓上肢,抖上肢等;下肢的推拿手法主要有滾下肢內外側面,拿下肢,點揉血海、足三里、陽陵泉、三陰交、太沖等穴,拔伸下肢,搖下肢髖、膝、踝關節,抖下肢等。腰背部可選用滾法,擦法,拍法,點揉背俞穴、華佗夾脊穴等手法。另外,對於小兒患者還可採用捏脊,推上三關,退下六腑,根據症候的虛實,選用脾經、腎經、心經、肝經、肺經的補瀉手法進行對證施治。
推拿手法每天治療1次,每次30分鐘,每周治療6次,休息1天,由推拿醫師直接給患者操作。注意有骨質關節結核、骨髓炎症、按摩部位局部皮膚破損、妊娠期、出血性疾病、急性傳染病及膿毒血症等推拿禁忌症者禁用推拿手法。
1.康復
(1)運動功能康復
對腦萎縮患者的功能康復,有平衡功能障礙和步態異常者最重要的是平衡訓練和步態訓練,另外還有關節活動範圍的訓練、增強肌力訓練等等,重點介紹平衡訓練和步態訓練:
平衡功能的訓練在腦萎縮患者的康復治療中十分重要,這些患者由於平衡障礙,影響了許多日常功能活動的進行,因此平衡的康復訓練對於有平衡障礙的患者顯得尤為重要,通常把訓練分為以下四步:①坐位平衡訓練:先讓患者體會坐位的感覺或用鏡子矯正坐位的姿勢,然後訓練從有倚靠到無倚靠坐,由坐在靠椅上到做在凳子上;並學會在坐位上做前後左右改變重心的動作,加強患者承重練習及左右交替抬臀負重練習。以後練習在坐位下做上肢和軀幹的各種動作,並能在外界推力作用下保持坐位的動態平衡。②站立平衡練習:有些患者開始訓練站立平衡很難,可先藉助直立架體會站立的感覺,然後慢慢練習由依託到無依託站立。在站立位下要求觸摸不同物品,並可在平衡訓練器上練習重心向前後左右轉移,提高雙腿支撐負重能力及雙腿站立平衡能力。同時可在雙肩外側或骨盆兩側施加推力,訓練其動態平衡;站立的地面可從平到不平,還可讓患者在海面墊上站立,隨著平衡能力的改善,最後進展到站立位作頭、上肢、軀幹以至下肢的各種動作,在搖晃板上練習站立。③坐位起立平衡:練習從有依託到無依託下起立,注意站立時雙下肢要同時負重,讓患者反覆體會雙腿支撐坐站的感覺,可先在高凳上練習坐站,然後逐漸過渡到低凳坐站,在坐下時不要有跌落姿勢;④步行平衡練習:即在訓練步行中的穩定性,開始可在平衡槓內練習向前向後行走,或靠牆做向前向後移動,然後練習沿直線或在較窄的平衡木上行走,並練習在行走中突然止步、轉體、拐彎及跨越障礙。隨著步行能力的提高,可加快行走的速度,以提高平衡能力。
步態的訓練是在分析步態的基礎上,根據分析結果,針對異常步態的姿勢而採取相應的措施。步態的訓練是在坐位和立位平衡的基礎上進行的訓練。包括訓練前準備,平衡槓內訓練,室內行走訓練,活動平板上練習行走等訓練活動,以糾正患者的異常步態,幫助患者恢復走路姿勢的平衡。
因在運動康復訓練過程中,能量消耗多,容易疲勞,在訓練中要特別注意經常間斷休息,以防發生過度疲勞、肌力下降。另外,在訓練過程中要保護病人,不要摔倒,以防病人產生恐懼心理。
以上每一個步驟都由康復治療師一對一進行訓練,在治療前,由治療師根據每位患者的具體情況,制定相應的符合患者個體素質的治療方案。運動康復每天治療1次,每周治療6天,休息1天。
(2)語言康復:
語言康復應在語言功能出現障礙後6個月以內的時期治療恢復為最佳,對發病2-3年開始治療的患者,其恢復程度要比早期治療恢復的速度緩慢的多。在治療語言功能障礙的過程中,要特別重視:①根據其聽力的保留情況套用合適的頻率,要重視休息時間;②應對抽象的和具體的語詞進行區別;③使用多種解釋,以改善其理解能力;④儘量鼓勵患者多說話;⑤利用上、下文暗示,以促使患者能說些什麼;⑥如何結合套用手勢和口語,以促進交流;⑦如何結合套用手勢和口語,以促進交流;⑧要允許患者有足夠時間來形成應答的內容和方式,而不忙於再刺激(即提問或重複)。
當然,若患者出現全身狀態不良或有意識障礙、重度痴呆、拒絕或缺乏訓練動機及要求者,均不宜進行語言治療;若患者有疲勞感、注意力不集中,則應給予休息;經過一段時間的系統治療後仍無進展者,應暫時中止治療。
語言康復的治療原則:①制定難易適度的治療方案,即將標準訂在患者開始感到困難的水平,在該水平不可能全對,也不可能全錯,病人只要加以思考或努力就可以改正。內容過易,缺乏治療意義;內容過難,常引起患者拒絕治療,另外在治療的同時,要多給患者鼓勵,少給糾正,以激起他對語言治療的興趣和信心。②堅持發音器官鍛鍊和說話相結合。加強舌體運動,可使舌的動作得到改善;通過聲帶震動可使聲帶得到鍛鍊;通過呼吸練習,使氣流得到調整;通過口腔運動可幫助舌的運動,以加強對氣流的調整等。這些均有利於言語恢復,說話練習也反過來強化發音器官的功能。③語言的治療有高度針對性,命名性失語治療重點放在對物品名稱命名的訓練上;對讀寫困難者重點練習複述詞句和書寫訓練上;對表達能力差者,多進行日常口語對話、手勢語、指物品名稱或哼調練習。④堅持“視、聽、說、寫”四者並重,堅持天天學,天天練,但也不宜安排過多,操之過急。過多過重的練習反使患者將語言訓練當作是負擔,不能取得患者的協作。⑤堅持多種形式鍛鍊,以提高患者興趣,訓練內容可有繞口令,又有講故事、提問,還可根據患者自身情況採取搶接、聯句等形式。⑥堅持醫院治療和家庭治療相結合的方式。⑦如有可能,還將安排集體訓練,集體訓練可引起相互促進、相互鼓勵,並能排除畏難情緒和怕說話的心理。
語言康復由語言治療師一對一進行訓練,在治療前,由治療師根據每位患者的具體情況,制定相應的符合患者現有語言能力的治療方案。語言康復每天治療1次,每周治療6天,休息1天。
(3)作業治療:作業治療主要是加強手的精細、協調、控制能力的練習,激發病人興趣,增加關節活動範圍,改善手功能,提高日常生活活動能力,以適應今後的日常生活和繼續就業的需要。其方法多種多樣,治療時,作業治療師將根據每位患者的不同臨床表現,選擇合適的治療方案。如對小腦萎縮的病人出現的共濟失調症狀可以讓患者在睜眼和閉眼時用手指鼻,由慢到快,由睜眼到閉眼,反覆不斷的練習,還可進行兩手互相對指、鼓掌、畫圖寫字、搭積木、翻紙牌等協調功能訓練活動。另外,捏橡皮泥、做實物模型、編織等作業都是訓練手的功能和增加關節活動範圍的作業療法。本療法主要適用於有寫字、穿衣、震顫等肢體精細動作障礙的患者。
作業治療由治療技師一對一進行訓練,在治療前,由治療師根據每位患者的具體情況,制定相應的符合該患者的治療方案。每天治療1次,每周治療6天,休息1天。同時在治療之餘,作業治療師還將指導患者家屬在平時幫助患者訓練,如學習如何進行日常生活的處理,學習梳頭、洗臉、穿衣、扣紐扣、穿鞋襪、繫鞋帶、進食,還要練習做家務如洗菜、做飯等。
(4)體外反搏:
體外反搏療法是我院運用於腦萎縮治療的方法,即在病人的四肢和臂部分別裹上氣囊袋後,借管道與反搏器配氣機構相連,依據病人心電作為觸發信號,當心室舒張期開始,氣囊充氣,壓迫肢體和臀部,迫使動脈血流向心臟方向倒流,提高主動脈的舒張壓,促使冠脈系統的側枝和吻合枝開放,從而改善了心肌的血液供應。在心室收縮期,主動脈瓣開放前,氣囊迅速放氣,解除壓迫,使心室內血液順利排出,每個心動周期充放氣各一次,如此反覆。在心室的舒張期,血液倒流回心臟,回心血量增加,在心臟收縮期,心室收縮,心臟射血量增加,使心腦動脈的血流量增加,並加以吸氧體外反博,增加了單位面積內血氧含(流)量,從而營養腦細胞、心肌細胞,改善心、腦的供血不足,促進腦細胞代謝,達到治療腦萎縮的目的。
體外反搏治療,由體外反搏治療技師親自操作,每日1次,每次60分鐘,每周治療6次,休息1天。有體外反搏禁忌症的患者,則禁用之。
(5)理療:
ZDL-401型經絡導平儀ZDL-401型經絡導平儀是根據中醫的經絡和陰陽學說,結合現代生物電子運動平衡理論,以超高電壓、超低頻率的單向大功率脈衝波直接作用於人體的病理經絡,在人體內形成強電流迴路,促使機體內病理經絡的導電量(即生物電子運動情況)由不平衡向平衡轉化,激活生物電子,恢復經絡和神經傳導,從而使患者運動模式發生改變,最終使病員恢復肢體運動功能。經絡導平儀中的各種感覺性刺激可增加有關腦皮層、皮層下灰質結構的腦血流量,同時腦局部病灶產生電位活動,使處於抑制或半抑制、麻痹或半麻痹狀態的腦組織復活,從而促進大腦功能的恢復。另外還有電水浴療法,主要是運用正極水平衡療法以增強肌力從而達到改善患者平衡的功能。
CZT-8A電腦超聲·中頻治療機具有電腦中頻和電腦超聲的多種功能變換,可以實現超聲波療法,超聲中頻同步疊加療法,音頻,直流電離子導入,低頻調製中頻超強度穴位刺激等十幾種物理療法,一切由電腦程式化自動控制。具有十組電腦預置儲存程式處方和五組變換調節鍵,可以根據要求換出幾百種以上不同頻率和波形的治療處方(強度可變)。可實現中頻和超聲治療領域的正弦波、方波、三角波、鋸齒波、梯形波、尖鋒波、隨意波等多種波形的等調、連調、間調、斷調、變調、交調、不飽和調等功能,臨床套用於腦萎縮療效較好。
以上均由理療治療技師根據患者具體病情,選定最佳穴位,制定優選治療方案,進行施治。每次治療30分鐘,每周治療6次,休息1天。
飲食原則
(1)供給充足的必需脂肪酸。膳食中提供充足的必需脂肪酸是極為重要的,它是大腦維持正常功能不可缺少的營養物質,核桃、魚油、紅花油,月見草油的必需脂肪酸含量較多,在膳食中可適量增加。
(2)注意給予低糖飲食。因為過多的食糖,特別是精製糖攝入過多,易使腦功能出現神經過敏或神經衰弱等障礙。
(3)膳食中應注意補充含維生素E、維生素C和β-胡蘿蔔素豐富的食品、如麥胚油、棉籽油、玉米油、花生油、芝麻油等,這些物質具有抗氧化物質,能夠延緩衰老。
(4)各種菜餚烹調時,不要放過多的味素。腦組織通過酶的轉換使谷氨酸生成γ-氨酪酸。攝入過多的味素時,可引起頭痛、噁心等症狀。
鎂是各種酶反應的輔助因子,與鉀、鈣等元素協同維護心肌和防治動脈硬化,從而增強腦的血流量,有利於防治老年痴呆症的發生。
在日常飲食中注意補充海產品、食用菌、豆類及其製品、魚類、乳類、芝麻醬、各種蔬菜和水果等食物,便可以使機體獲得足量的礦物質。
自診方法
自己是否患有小腦萎縮,可以用以下簡易自我檢查方法。
1.自然站立,雙腳併攏,最後閉目,檢查是否平穩。
2.在一直線上,腳跟挨著腳尖向前行走,觀察動作是否平順。
3.單腳站立,然後閉目,看是否平穩。
預防
1、調攝精神,清心寡欲:保持愉快和樂觀的情緒,避免精神過度緊張,思慮過度,應清心寡欲,恬淡虛無,清靜內守,精神自持,遇事豁達,心胸開闊,不斤斤計較,不貪心過度,保持安靜平和的心態,尤其是中老年人,更應如此。
2、藥物調理,延緩衰老:對於50歲以上的老年人,尤其是有腦萎縮遺傳性家族史的病人,更有必要在50歲左右選擇運用延緩衰老的中藥調理,以改善腦細胞衰老的狀況。
3、明確病因,預防發病:對於病因較為明確者,針對病因進行預防,儘早祛除致病因素。如積極預防腦血管病,防止或儘可能的延緩腦動脈硬化的發生;腦部的感染性疾病,宜預防其發生,對已發生者宜及早治療;避免過量過久使用對腦組織有損害的藥物;早期切除顱內腫瘤;防止濫用酒精及過量飲酒等,有效的防止可逆性腦萎縮的發生。而對於外傷引起的腦組織損傷,應及時有效的治療。
4、均衡營養,少葷多素:調整飲食,飲食宜清淡而富含營養,少食肥甘滋膩之品,以高蛋白和高維生素飲食為主,多食蔬菜和水果及含碘食物,注意營養均衡,禁酒戒菸,養成良好的飲食習慣。
5、勞逸結合,適度鍛鍊:避免過度疲勞,適當參加一些力所能及的體力勞動和體育運動,以增強體質,增強機體的抗病能力,也要有充分的睡眠和休息,同時每天可做一些太極拳或氣功之類的訓練,促進機體的氣血運行,增加腦部的血液循環和血氧供應。
以上內容即為小腦萎縮的有效預防措施,對於有發生小腦萎縮高危因素的患者,採用上述預防措施,則更具有其重要意義,尤其是有家族遺傳病史者,更應加緊預防本病的發生,以減少該病的患病率或延緩發病時間,提高生活質量,減輕家庭和社會的壓力;而對於已發生腦萎縮的患者,給予患者適當的、符合患者個體差異的正確護理,則有利於患者配合治療,減緩疾病的發展速度,使疾病儘快向好轉方向轉化。
護理
小腦萎縮患者的家庭預防護理
據流行病學研究發現:小腦萎縮其危險因素有數十種,其中較肯定的因素有高齡、家族史和因頭部外傷出現意識喪失的腦外傷患者。特別是家族史是最肯定的因素。小腦萎縮、痴呆症將成為21世紀的流行病,嚴重威脅著人類的晚年健康和生活質量。目前尚無徹底治癒的方法,但有藥物可以延緩其發展的過程,改善現有的症狀。所以預防老年痴呆從家庭開始顯得尤為重要。 家庭護理應做到:
①加強營養、改善營養狀況,保持膳食平衡和心理健康;
②多讀書、多看報,經常參加集體活動,適度參加鍛鍊;
③增進認知活動,努力恢復以前的生活經驗和能力;
④增強病人的定向力,若定向力障礙嚴重時,應避免單獨外出;
⑤促進語言溝通,協助病人增加人際交往,如參加娛樂活動,戶外活動;
⑥妥善保管危險物品,減少室內物品的變動,保障病人安全;
⑦注意清潔衛生,維持病人皮膚的完整性。
注意事項
生活起居方面:
1、生活須規律,早睡早起,不熬夜。
2、不要固定在相同的姿勢太久,應該常變換姿勢及活動方式。
3、整個白天活動太累的話,中午儘量臥床休息一會兒。但如果晚上睡眠不太好,則切忌午睡太長。
4、每天安排一些例行的事情做,讓自己必須用心力去完成任務,有點困難更好,如娛樂、工作等,可以提高士氣,製造生活樂趣或成就感。
5、春夏季節早睡早起,秋冬季節晚睡晚起,以順應自然界的四時氣候變化。
健康飲食方面:
1、飲食不要太講究,最好是自然食物形態。不要過度加工,食物添加劑越少越好。
2、各種蔬菜水果輪換著吃,以吸收不同的營養成分。每天1個雞蛋、2大杯牛奶。多食魚類與海產,適量肉類與豆製品。不吃油炸、油酥、辛辣、醃漬、罐頭湯、奶油、番茄漿、香腸、臘肉、熱狗、蛋糕、洋芋片。咖啡、煙、酒、茶也要少用。最好的是純水和鮮果汁。
3、飲食要低鹽、低糖、低脂肪。
4、營養要均衡,不要暴飲暴食。
治療偏方
1)胡桃首烏燉豬腦:胡桃仁、何首烏各15克,天麻6克,豬腦1副,調味品適量。將天麻切片,首烏布包,豬腦去筋膜備用,鍋中放清水,天麻,胡桃,首烏,文火燉沸後,下豬腦,煮至腦熟,去藥包,調味服食。可以髒補髒,以形活形,養血補腎,育陰填精,適用於老年人五臟虧虛,髓海不充所引起的心悸,失眠,記憶下降,痴呆、健忘等。
小腦萎縮2)魚頭燉冬菇:鰱魚頭1個,冬菇、肥肉,調味品各適量,人參粉3克。將魚頭切為兩半,放入蔥、姜、料酒醃2小時把肥肉片,魚頭,冬菇同放盆中,加清水,食鹽適量,上籠蒸至30分鐘左右,再放入黃瓜絲,蔥花,香菜,味素薑末,香油參粉即成。可聰腦明目益智,適用於腎陰不足,髓海不充所致心悸,失眠,步態不穩,視物模糊,痴呆等。
3)豬脊髓甲魚湯:豬脊髓 200克,甲魚1隻,調味品適量。將甲魚用沸水燙死,去甲殼,內臟,頭、爪,豬脊髓洗淨備用,將甲魚肉與蔥,姜同放鍋中,武火燒沸後,改文火煮至甲魚肉待熟時,下豬脊髓、煮沸、再下胡椒,味素、精鹽、料酒等,煮熟服食。可補氣血,填腎精,強腰脊,聰腦目,對老年性痴呆,腦動脈硬化,腦萎縮等,有良好的補益食療作用。
藥膳
1)胡桃首烏燉豬腦:胡桃仁、何首烏各15克,天麻6克,豬腦1副,調味品適量。將天麻切片,首烏布包,豬腦去筋膜備用,鍋中放清水,天麻,胡桃,首烏,文火燉沸後,下豬腦,煮至腦熟,去藥包,調味服食。可以髒補髒,以形活形,養血補腎,育陰填精,適用於老年人五臟虧虛,髓海不充所引起的心悸,失眠,記憶下降,痴呆、健忘等。
2)魚頭燉冬菇:鰱魚頭1個,冬菇、肥肉,調味品各適量,人參粉3克。將魚頭切為兩半,放入蔥、姜、料酒醃2小時把肥肉片,魚頭,冬菇同放盆中,加清水,食鹽適量,上籠蒸至30分鐘左右,再放入黃瓜絲,蔥花,香菜,味素薑末,香油參粉即成。可聰腦明目益智,適用於腎陰不足,髓海不充所致心悸,失眠,步態不穩,視物模糊,痴呆等。
3)豬脊髓甲魚湯:豬脊髓 200克,甲魚1隻,調味品適量。將甲魚用沸水燙死,去甲殼,內臟,頭、爪,豬脊髓洗淨備用,將甲魚肉與蔥,姜同放鍋中,武火燒沸後,改文火煮至甲魚肉待熟時,下豬脊髓、煮沸、再下胡椒,味素、精鹽、料酒等,煮熟服食。可補氣血,填腎精,強腰脊,聰腦目,對老年性痴呆,腦動脈硬化,腦萎縮等,有良好的補益食療作用。
遺傳
小腦萎縮大多有家族遺傳傾向,20歲以前起病者多為常染色體隱性遺傳,而20歲以後起病者則多為常染色體顯性遺傳。國內外眾多學者經過長期研究,將Friedreich共濟失調缺陷基因定位於9q13~q21,將OPCA遺傳基因定位於6p24~p23之間。同時發現與病毒感染、免疫缺陷、生化酶缺乏及DNA修復功能異常等諸多因素有關,但其確切病因尚不十分清楚。

