莖的細胞觀察莖是植物體上生枝長葉開花的部分,有輸送植物體內養料的作用,是植物的中軸。
簡介
莖的解剖圖莖是植物的營養器官之一。是大多數植物可見的主幹。當然,例如仙人掌的變態莖。莖下接根,通過木質部將根部吸收到的水分和礦物質往上運輸到各營養器官,通過韌皮部將光合作用的產物往下運輸。莖來源於植物胚胎的胚芽。胚軸組成部分的莖,準確地說是子葉下的部分。
莖,指維管植物地上部分的骨幹,上面著生葉、花和果實。具有輸導營養物質和水分以及支持葉、花和果實在一定空間的作用。有的莖還具有光合作用、貯藏營養物質和繁殖的功能。莖是植物的營養器官之一。是大多數植物可見的主幹。莖下接根,通過木質部將根部吸收到的水分和礦物質往上運輸到各營養器官,通過韌皮部將光合作用的產物往下運輸。莖來源於植物胚胎的胚芽。胚軸組成部分的莖,準確地說是子葉下的部分。
歷史
解剖圖最早擁有莖的植物為現已絕種的庫氏裸蕨,現存則是松葉蕨,他們沒有真正的根、葉。因此維管束植物(導管植物)中,最早出現的器官是莖,根葉則是由莖演化而成。
通過化石了解到泥盆紀中期茂盛生長的萊尼蕨屬和星木屬一類裸蕨類植物是最原始的陸生維管植物,也是高等植物的祖先。
裸蕨綱植物具分枝的體軸,外形簡單,平鋪在地面上。有的分枝向上直立,有的伸入地下。向上直立部分,生長、發展為莖;伸入地下部分,具吸收水分的能力,發展為根。
陸生植物的莖就是從裸蕨綱植物體軸的地上部分發展而來。但陸地上的環境是不斷變化的,植物需不斷適應環境。因此在長期發展中現在有各類植物,也有各式各樣的莖。
從系統演化的觀點看,莖的分枝方式、習性以及內部結構,有以下進化趨勢:
分枝方式以二叉分枝最為原始,合軸分枝與假二叉分枝最為進化。
從習性來看,木本多年生植物為原始,一、二年生草本植物為進化類型。
莖內維管柱的結構,以實心的(莖中央無髓,完全由木質部組成)最為原始;中央出現了髓的為進化類型;維管柱上出現了葉隙最為進化。
形態
莖莖上著生葉的位置叫節,兩節之間的部分叫節間。莖頂端和節上葉腋處都生有芽,當葉子脫落後,節上留有痕跡叫做葉痕。這些莖的形態特徵可與根相區別。大多數種子植物莖的外形為圓柱形,也有少數植物的莖有其他形狀,如莎草科植物的莖呈三角柱形,唇形科植物莖為方柱形,有些仙人掌科植物的莖為扁圓形或多角柱形。在木本植物莖的外形上,還可以看到芽鱗痕。這是芽鱗脫落的痕跡。根據芽鱗痕,可以看出樹苗或枝條每年芽發展時芽鱗脫落的痕跡,從而可以計算出樹苗或枝條的年齡。
芽
是未萌發的莖、枝或花。位於莖頂端的為頂芽,位於旁側葉腋的為側芽或腋芽。此外尚有一種不定芽,這種不定芽不是莖枝固有的,而是以後自節間等處發出的,它既可以於根上產生(如甘薯),也可以從葉上產生(如落地主根)、所以不定芽不能作為辨別莖枝的形態特徵。頂芽萌發成為植物的主幹或頂枝,側芽萌發成為植物的支幹或側枝,但亦有長期不萌發的休眠芽與位於主芽側的副芽……如此種種,皆因植物種類而存所不同。
節
是芽與葉的著生部位,通常凸出或微凹下,為辨別莖枝的主要特徵,而莖節不明顯時,主要是通過其上著生的芽和葉,以及葉落後的葉痕與葉痕中的葉跡來察知其存在的。
節間
即節與節之間的部分。表面常有許多隆起或凹陷的細小裂隙狀皮孔。其形狀大小亦常隨植物種類而有所不同。
結構
次生結構初生結構
幼莖的頂端分生組織,經過細胞分裂,產生許多新細胞,其中在頂部的細胞仍舊保持頂端分生組織的特性,能夠繼續進行細胞分裂。在基部的細胞經過生長,漸漸分化為3種組織系統:保護系統(表皮)、基本系統(皮層、髓部)、運輸系統或稱維管系統。頂端分生組織產生新的細胞或組織的過程,叫做初生生長;初生組織則是初生生長產生的組織。各種初生組織組成一種結構,叫做初生結構。在各種植物中,3種初生的組織系統的形式是相當複雜多樣的。在石松類、真蕨類和一些水生被子植物中,運輸水分的木質部占據莖的中心,但是大多數植物的維管組織組成筒狀,或者分離成為一束一束的,排列成筒狀;或一束束的維管束分散於整個莖的組織中。至於基本系統,皮層是界於維管組織和表皮之間,髓部則位於筒狀的維管組織的中央。幼莖每一節里的維管系統常常分出一至數個維管束,通到葉柄基部與葉的維管束相連,每個維管束,叫做葉跡。葉跡上的木質部和韌皮部完全與莖的木質部和韌皮部相聯。緊接葉跡的上方,維管柱有一部分不是維管組織而是一堆近於球形、細胞壁很薄、沒有分化的薄壁組織充實其中,實際上這是維管柱形成過程中沒有分化的組織。這樣,維管束上充實薄壁組織的區域,好象維管柱的空隙,叫做葉隙。同樣,莖的維管系統也有維管束通到芽里,與芽的維管束相聯,所以芽也有芽跡或芽隙。
次生結構
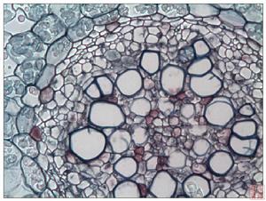
裸子植物和雙子葉植物除有初生結構外,還具有由維管形成層形成的次生韌皮部和次生木質部,以及由木栓形成層形成的周皮,這些稱為次生結構。由於次生結構的增加,使莖加粗,稱為次生生長。次生結構的形成,起源於維管形成層。維管形成層來源有二:①由初生韌皮部與初生木質部之間保留下的分生組織,稱為束中形成層;②是髓射線的一部分薄壁組織細胞,又具有分生能力,形成束間形成層。束中形成層和束間形成層連線在一起成一圓筒狀,在橫切面上為一個圓環(圖3)。維管形成層細胞為長形,略呈紡錘狀,稱為紡錘狀原始細胞。少數為近於等徑的細胞叫做射線原始細胞。維管形成層連成一圈後,即開始活動。主要進行細胞的切向分裂,向內形成木質部細胞,加添在原有的初生木質部的外方;向外形成韌皮部細胞,加添在原有的韌皮部的內方。維管形成層在不斷形成次生結構的同時,也進行徑向分裂或橫分裂,增加原始細胞,擴大維管形成層本身的圓周,以適應莖的不斷加粗。
橫切面
由外往內可分為表皮(Epidermis),內面的一層皮質的結構因植物而異,可以是厚壁組織,厚角組織和薄壁組織。 雙子葉木本莖的剖析構造中,由外而內為周皮(木栓層、木栓形成層、綠皮層)、韌皮部、維管束形成層、木質部、髓。其中周皮、韌皮部合稱樹皮。 莖的橫切面也是雙子葉、單子葉的分辨指標。雙子葉橫切面中維管束排列為環形;單子葉則為散生,排列不一。
類型
地下莖有些植物的莖,其功用已經特化不只是支持和運輸的功能,其形態也不只是著生枝葉,稱之變態莖。 常見的有仙人掌的塊莖,洋蔥的鱗莖,荸薺的球莖,姜的根莖,草莓的走莖,葡萄的卷鬚(莖卷鬚),還有莖(枝條)特化成葉狀的蘆筍等。
莖的類型與植物的生活期長短有關係。壽命長的植物,莖里有維管形成層,能夠形成堅硬的木質部,增強莖的堅固性,這類植物就是喬木或灌木。喬木的特性在於莖為粗大的主幹。灌木的特性,在於離地面處同時有粗細相似的分枝,分不出主幹。壽命短的植物,只在莖的基部有少量木質部,因此莖幹軟弱,這就是草本植物。草本植物的莖有多種類型:灌木狀草本植物莖的上部是草本的,下部是木本的。一到冬季,草本部分全部死亡,如艾屬、金絲桃屬。多年生草本植物具極短的木質化的莖,從而連續多年產生新的草本莖,如大麗菊、百合、桔梗。二年生草本植物僅能生活兩年,莖基部能越冬,從而在第二年春季再生直立草本的莖,開花結果後全株死亡,如蘿蔔、胡蘿蔔、甜菜。一年生草本植物只能生活一個生長季,在短期內開花結果,完成生活史,全株死亡,如薺菜、玉米、水稻。
木本植物的莖
一經鋸斷,樹皮與木材便可分得很清楚。樹皮的顏色比木材深,由於維管形成層的細胞幼嫩,細胞壁薄,容易損壞,所以樹皮很容易撕下,尤其春夏之間,形成層生長最活躍期間,更容易將其剝離。木材即次生木質部,位於形成層的內側,占整個橫斷面的大部分,最顯著的特點是一環環的同心圓環,即年輪。溫帶樹木的年輪尤為明顯。木材外部的邊材顏色淺,內部的心材顏色深。邊材是木質部仍具功能,有運輸水分和礦物質以及貯藏營養物質的作用。樹木基於繼續加粗時,邊材便逐漸變成心材,在變化過程中,活的韌皮部、形成層和木質部細胞新陳代謝產生的副產物(如油、單寧、樹脂、色素和酚)都向邊材內側轉移,貯藏在最內層原來的邊材細胞里,所以心材的產生,就是植物貯藏物質和侵填體形成的結果。因此木本植物莖的直徑增粗時,心材逐年擴大,邊材和心材的分界線就一步步向莖的外方推移。
草本植物的莖
構造差異很大,有一些多年生草本植物僅在基部和根中有次生生長,大多數一、二年生的草本植物沒有或僅有少量的次生生長。莖的結構與木本植物的幼莖非常相似,從內部解剖結構看來,維管束往往是排列成一圈。不過這樣基本的結構,可有各種變異,特別是作為貯藏營養物質和水分的器官,變異就更大了。例如變態莖中具有大量的薄壁組織。
單子葉植物的莖
一般沒有維管形成層,所以沒有次生生長。有些單子葉植物莖可以加粗,是由莖端基部的初生加厚分生組織細胞進行分裂的結果。
一些禾本科植物莖的結構有兩種情況:一類的莖里有許多維管束,分散在整個莖的基本組織中,如高粱、玉米;另一類是維管束分布莖的周圍,很有規則地排列成兩圈,莖表皮層的內側,有一環厚壁組織,對於莖起著很大的支持作用。莖的中心的髓部,在節間居間生長過程中,被破壞,形成空的髓腔,如小麥、水稻、竹。 禾本科植物莖的節間基部有居間分生組織。在一定時期內節間上部的各類組織雖然已經成熟,但這部分仍保留分生能力。當莖上每節的居間分生組織同時活動時莖幹則迅速的伸長。例如玉米、小麥、水稻和竹的拔節,這種生長就是居間生長。
變態莖
地上莖植物在長期系統發育的過程,由於環境變遷,引起器官形成某些特殊適應,以致形態結構發生改變,叫做變態。莖的變態,有兩種發展趨向。變態部分,有的特別發達,有的卻格外退化。不過無論發達或退化,變態部分都保存莖特有的形態特徵。如有節和節間,有退化成膜狀的葉,有頂芽或腋芽,所以與根有顯著的區別。根據形態上的差異,變態莖可分為兩大類型:
變態莖生長在地下,總稱地下莖,共有4種類型:
①根狀莖,象根一樣,橫臥在地下,但有明顯的節和節間、頂芽和腋芽以及退化的鱗片葉。竹的根狀莖,又稱竹鞭,竹鞭上的頂芽能夠不斷向前生長,腋芽又稱竹筍,由此生長地上莖。蓮的地下莖又稱藕,節特別細,節間粗大,可供食用。狗牙根、白茅是常見的田間雜草,根狀莖繁殖力很強。
②塊莖,頂部肥大,有發達的薄壁組織,貯藏豐富的營養物質,如馬鈴薯塊莖具螺鏇排列的腋芽;菊芋(洋姜)、半夏、甘露子(草石蠶)等都有塊莖。
③球莖,變態部分膨大成球形、扁圓形或長圓形,有明顯的節和節間,有較大的頂芽;荸薺、慈菇、芋的變態莖都是球莖。
④鱗莖變態莖極短,呈盤狀,其上著生肥厚的鱗片狀鱗片葉,營養物質貯藏在鱗片葉里,如洋蔥、水仙(圖4)。
地上的變態莖,多是莖的分枝的變態。有4種類型:
①卷鬚是地上枝的變態,多見於藤本植物,纏繞於支柱物上,牽引植物向上攀援生長。葡萄的卷鬚生在腋芽的對方,黃瓜的卷鬚生在腋芽處。
②莖刺是分枝或芽的變態,其中的維管組織相聯,所以與皮刺不同,如皂莢。
③葉狀莖是莖扁化成葉狀,但有明顯的節和節間,葉片退化,如竹節蓼、假葉樹、天門冬等。
④肉質莖的莖綠色,肥大多漿液,薄壁組織特別發達,適於貯藏水分,並營光合作用。葉片高度退化或成刺狀,藉以降低蒸騰作用,所以適於生長乾旱地區,如仙人掌(圖5)。
此外,還有一些植物、整個體軸高度退化,分不出根、莖、葉的結構。例如川草科植物生長於急流中的岩石或小石塊上,莖常常退化,大花草目和無莖草屬植物都是寄生植物,莖和根完全退化,只有菌絲狀的組織。前者寄生於各種森林植物的根部,生長特大的花朵;後者寄生於桑寄生屬植物的莖幹上,生長短小花序,露出於寄主的表面,果實成熟後,全部脫落,以後再從寄主表面重新生長新花序。
種類
莖不同植物的莖在適應外界環境上,有各自的生長方式,使葉能在空間開展,獲得充分陽光,製造營養物質,並完成繁殖後代的作用,產生了以下4種主要的類型。
直立莖
大多數植物的莖直立向上生長,如松、柏、楊、柳等。
纏繞莖
莖幼小時期較為柔軟,不能直立,用莖幹纏繞於支持物上升。各類植物有一定的纏繞方向,有的是左鏇,即依反時針方向鏇轉,如菜豆、牽牛花、蔦蘿、馬兜鈴等;有的是右鏇,即依順時針方向鏇轉,如忍冬、葎草等。此外,有的植物的莖既可左鏇,也可右鏇,稱為中性纏繞莖,如何首烏的莖。
攀援莖
莖幼小時較為柔軟,不能直立,以特有的結構攀援支持物上升。按攀援結構的性質,又可分為5種:
①以卷鬚攀援,如南瓜、豌豆、葡萄的莖;
②以氣生根攀援,如常春藤、絡石、薜荔的莖;
③以葉柄攀援,如旱金蓮、鐵線蓮的莖;
④以鉤刺攀援,如白藤、豬殃殃的莖;
⑤以吸盤攀援,如爬山虎的莖。
有纏繞莖和攀援莖的植物統稱藤本植物。藤本植物的莖有木本和草本之分,前者如葡萄、紫藤、忍冬等。熱帶亞熱帶森林裡藤本植物特別茂盛,形成森林內的特有景觀。
有纏繞莖和攀援莖的植物統稱藤本植物。熱帶亞熱帶森林裡藤本植物特別茂盛,形成森林內的特有景觀。
斜升莖
莖的質地、粗細不一,可為草本,亦可木本,植株幼時莖不完全呈直立狀態,而是偏斜而上,但決不橫臥地面,隨植株生長而莖的上部逐漸變直立,故長成後植株下部呈弧曲狀,上部呈直立狀,如草本植物的酢漿草,木本植物的山黃麻等。
斜倚莖
莖通常為草質,基部斜倚地面,但不完全臥倒,上部有向上生長的傾向,但決不直立,整個植株呈現近地面生長向四周擴展的狀態。這種類型的植物,在生長密集的情況下,可發育為斜升莖狀態。在植物生長較稀疏時,則植株斜倚於地表。如扁蓄、馬齒莧等。
莖通常草質而細長,在近地表的基部即分枝,平臥地面向四周蔓延生長,但節間不甚發達,節上通常不長不定根,故植株蔓延的距離不大,如地錦、蒺藜等。
匍匐莖
莖細長柔弱,平臥地面,蔓延生長,一般節間較長,節上能生不定根,這類莖稱匍匐莖,如蛇莓、番薯、狗牙根等。有少數植物,在同一植株上直立莖和匍匐莖兩者兼有,如虎耳草、剪刀股。在這種植物體上,通常主莖是直立莖,向上生長,而由主莖上的側芽發育成的側枝,就發育為匍匐莖。有些植物的莖本身就介於平臥和直立之間,植株矮小時,呈直立狀態,植株長高大不能直立則呈斜升甚至平臥,如酢漿草。
分枝
分支的類型莖的分枝是普遍現象,能夠增加植物的體積,充分地利用陽光和外界物質,有利繁殖新後代。各種植物分枝有一定規律。
二叉分枝
這是比較原始的分枝方式,分枝時頂端分生組織平分為兩半,每半各形成一小枝,並且在一定時候又進行同樣的分枝,因此這種分枝統稱二叉分枝。苔蘚植物和蕨類植物具這種分枝方式。
單軸分枝
頂芽不斷向上生長,成為粗壯主幹,各級分枝由下向上依次細短,樹冠呈尖塔形。多見於裸子植物,如松杉類的柏、杉、水杉、銀杉以及部分被子植物,如楊山毛櫸等。
合軸分枝
莖在生長中,頂芽生長遲緩,或者很早枯萎,或者為花芽,頂芽下面的腋芽迅速開展,代替頂芽的作用,如此反覆交替進行,成為主幹。這種主幹是由許多腋芽發育的側枝組成,稱為合軸分枝。合軸分枝的各級側枝,也是同樣產生的。這種分枝在幼苗期間,較為明顯,但大量次生結構形成了以後,老枝由於增粗,很難區分。合軸分枝的植株,樹冠開闊,枝葉茂盛,有利接受充分陽光,是一種較進化的分枝類型。大多見於被子植物,如桃、李、蘋果、馬鈴薯、番茄、無花果、桉樹等。
假二叉分枝
葉對生的植株,頂端很早停止生長,成為兩個,開花以後,頂芽下面的兩個側芽同時迅速發育成兩個側枝,很象是兩個叉狀的分枝,稱為假二叉分枝。這種分枝,實際上是合軸分枝的變型,與真正的二叉分枝有根本區別。假二叉分枝多見於被子植物木犀科、石竹科,如丁香、茉莉、石竹等。
了解植物分枝的意義
了解植物分枝的方式有很大實際意義。頂芽產生的激素向莖基部運輸,有抑制腋芽生長的作用,因此要獲得粗大挺直的木材,以培育單軸分枝的樹種為宜,例如栽培松杉類的杉木。要腋芽多,形成花芽,提高花果的產量,以培育合軸分枝的果樹為宜,例如栽培梨、蘋果之類。棉有單軸分枝和合軸分枝兩種枝條,適時摘去單軸分枝的頂芽,適時整枝,促進合軸分枝(果枝)的發展,是重要的增產措施。
用途
多年生木本植物莖內,次生木質部占的體積最大,即為木材。木材為建築、採礦、交通運輸以及日常生活(如家具、柴炭)所不可缺少。此外木材可以造紙和提煉各種化工產品,如松節油、松香、酒精,活性炭和醋酸等,莖的外圍部分(即韌皮部)可為纖維的來源。用於造紙、紡織等,有的由樹皮中的分泌結構可產生經濟價值很高的物質,如橡膠、漆、杜仲膠等為工業原料或醫藥藥材。一些變態莖,如馬鈴薯、蔥、姜、蒜等為食用或調味品。

