兩種分類
分生組織從兩個方面進行分類,即兩種分類:根據存在位置進行分類;根據細胞來源進行分類。
位置分類
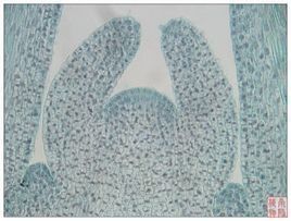
關於分生組織的位於根、莖及其分枝頂端。由於它們的活動,使根、莖得以伸長,長出側根、側枝、新葉和生殖器官。組成頂端分生組織的細胞小而呈等徑的多面體,細胞壁薄,細胞核大且位於細胞的中央,細胞質濃厚,液泡小而分散。
縱貫根、莖,位於其周圍靠近器官邊緣的部分,一般為一、二層細胞所構成的圓筒形或帶狀結構。包括維管形成層(即形成層)和木栓形成層。前者的活動,使植物的根和莖得以不斷增粗,後者的活動使長粗的根和莖的表面及受傷的器官的表面形成新的(次生的)保護組織。側生分生組織主要存在於裸子植物和木本雙子葉植物。草本雙子葉植物和單子葉植物由於缺乏側生分生組織,故其根和莖沒有明顯的增粗生長。組成側生分生組織的細胞與頂端分生組織細胞有明顯的區別。例如形成層的細胞多呈長梭形,液泡明顯,細胞質不濃厚,其分裂活動往往隨季節的變化而有明顯的周期性。
位於成熟組織之間,是頂端分生組織在某些器官中的局部區域的保留。主要存在於多種單子葉植物的莖和葉中。例如,在水稻、小麥等穀類作物莖的節間基部保留有居間分生組織,其活動的結果,使莖節急劇伸長,以完成拔節和抽穗。蔥、蒜、韭菜的葉子剪去上部還能繼續伸長,是因為葉基部居間分生組織活動的結果。花生雌蕊柄基部的居間分生組織的活動,能把開花的子房推入土中。跟頂端分生組織和側生分生組織相比,居間分生組織細胞持續分裂的時間較短,一般分裂一段時間後,所有細胞都轉變為成熟組織。
來源分類
由來源於胚的、沒有任何分化、始終保持分裂能力的胚性細胞——頂端原始細胞及相鄰的接近原始的細胞組成的原始細胞層組成。位於根、莖及其分枝頂端的最前部分。當一個原始細胞分裂時,其中一個子細胞繼續保持原始細胞的持續分裂能力,維持自身的存在,另一個子細胞經過幾次分裂產生許多衍生細胞。
分生組織由原分生組織衍生的細胞組成。存在於根、莖及其分枝頂端最前方的原分生組織後面。細胞形態上已出現了最初的分化,它們在離根或莖的頂端一定距離處,可區分出原表皮層(由它分化產生植物的表皮系統)、原形成層(由它分化產生植物的初生維管組織)和基本分生組織(由它分化產生植物的基本組織)三部分,但仍具有很強的分裂能力。是由未分化的原分生組織向完全分化的成熟組織過渡的組織類型。
由成熟組織細胞,經歷生理上和形態上的變化,脫離原來的成熟狀態(即脫分化),重新恢復細胞分裂能力而轉變成的分生組織。木栓形成層是典型的次生分生組織。

