蝶骨嵴腦膜瘤流行病學
蝶骨嵴腦膜瘤占顱內腦膜瘤的第3位,約10.9%,男∶女為1∶1.06。
發病機制
蝶骨嵴腦膜瘤發病率僅次於矢狀竇旁腦膜瘤和大腦凸面腦膜瘤,占顱內腦膜瘤的12%。根據腫瘤與腦膜的粘著部位可分為三種:①蝶骨嵴深部(內1/3)稱床突型;②蝶骨嵴中部(中1/3)稱小翼型;③蝶骨嵴外部(外1/3)稱大翼型,其發生頻數以內、中、外依次增高。
蝶骨峭腦膜瘤有球狀和氈狀兩種,球狀占絕大多數。腫瘤壓迫眶上裂引起眶上裂綜合徵;壓迫視神經可引起單側性視力喪失和原發性視神經萎縮,早期表現為單側鼻側偏盲,若此時已有顱內壓增高,將同時出現對側視神經乳頭水腫,構成所謂Foster-Kennedy綜合徵。壓迫海綿竇引起同側突眼及眼臉腫脹等。
臨床表現
蝶骨嵴腦膜瘤⒈ 蝶骨嵴內1/3腦膜瘤,在生長早期以局部症狀為主要表現,腫瘤累及視神經,患者可有同側漸進性視力下降,視神經萎縮,顳側偏盲等改變。
⒉ 伴有顱內壓增高,可同時出現對側視盤水腫,構成Foster-Kennedy綜合徵。
⒊ 視交叉受累,可出現雙眼顳側偏盲。
⒋ 眶上裂和海綿竇受累可出現眶上裂和海綿竇綜合徵,表現為動眼神經麻痹、展神經麻痹,有三叉神經的眼支感覺減退,最終其他分支均受累。
⒌ 部分病人尚可明病側眼球突出。
⒍ 外1/3者的臨床表現以顳側隆起伴眼球突出為主要特徵,病人可有頭痛,患側中樞性面癱和癲癇發作,眼肌麻痹較少見。
⒎ 中1/3者視腫瘤生長方向可兼有部分內、外1/3腦膜瘤表現。
⒏ 顱內壓增高表現多的病程後期出現。
併發症
可能出現一些開顱手術後的併發症:
1.軀體運動功能障礙牽拉過度或血管痙攣影響運動中樞所致。
2.運動性失語,額葉下部過度牽拉所致
3.腦神經功能損傷,出血偏盲、失明、眼球運動障礙、三叉神經第1支功能障礙等。
4.腦梗死,頸內動脈、大腦中動脈大腦前動脈或側裂血管損傷痙攣所致。
5.丘腦下部損害,術中直接損傷或缺血所致。
一旦發生上述併發症,應積極給予改善微循環藥物、促神經代謝藥物、能量合劑、脫水藥物以及高壓氧艙和對症治療等治療措施。
診斷
1.病史 詢問顱內高壓和神經症狀,注意有無癲癎發作,了解癲癎發作前、發作時和發作後的情況。
2.體檢 注意檢查神經系統陽性體徵,檢查頭頂部有無骨性凸出或顱骨缺損。
3.顱骨X線平片 陽性所見有:①腫瘤局部顱骨內板骨質增生,內外板均有增生時可有骨性突出,少數可有顱板破壞。②腫瘤血供豐富者可見增粗和迂曲的血管壓跡引向骨質增生或破壞區。③顱內壓增高的顱骨改變。④有時可見腫瘤鈣化和鈣化的松果體移位。
4.腦血管造影 主要用於了解腫瘤的血供來源以及與周圍重要血管間的關係。
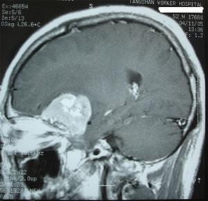
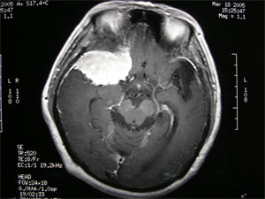
5.CT和MRI掃描 可確定腫瘤的部位和大小,絕大多數可作出定性診斷。CT掃描示邊界清晰的均勻高密度影,增強後顯著。少數呈混合密度或低密度改變。MRI見腫瘤多數呈等信號,增強後明顯強化。
檢查
蝶骨嵴腦膜瘤1.CT掃描 可見到以蝶骨嵴為中心的球形生長的腫瘤邊界清楚,經對比增強後腫瘤影明顯增強,如腫瘤壓迫側裂靜脈,腦水腫較顯著。
2.MRI掃描 MRI對診斷本病是有意義的MRI可以顯示腫瘤與蝶骨翼和眼眶的關係骨質破壞情況等。尤其是對內側型的蝶骨嵴腦膜瘤MRI還可以提供腫瘤與頸內動脈的關係有時腫瘤將頸內動脈包裹在內或腫瘤附著在海綿竇上這些情況對手術切除腫瘤均有重要的參考價值增強後的MRI圖像更清晰。
3.腦血管造影 現在已不用做定位診斷但它可以提供腫瘤的供血動脈,腫瘤與主要血管的毗鄰關係。內側型蝶骨嵴腦膜瘤的供血動脈主要來自眼動脈分支如腫瘤向前顱窩發展可見篩前動脈供血同時可見頸內動脈虹吸彎張開,有時頸內動脈受腫瘤直接侵犯,表現為管壁不規則。外側型蝶骨嵴腦膜瘤的血液供應主要來自頸外動脈分支,如腦膜中動脈,出現典型的放射狀腫瘤血管,腫瘤染色在靜脈期比動脈期更明顯。因腫瘤壓迫側位像可見大腦中動脈一般被抬高。在腦血管造影同時,見到頸外動脈供血者可同時行血管栓塞,使手術出血減少。
治療
蝶骨嵴腦膜瘤內側型腫瘤的深處是頸內動脈和視神經。多數情況是腫瘤呈球形生長,將頸內動脈向內推移,少數情況是頸內動脈被腫瘤包裹。前者,腫瘤與頸內動脈和視神經之間有一層蛛網膜相隔。手術顯微鏡下包膜內切除腫瘤,使術野空間擴大再將瘤壁向一方牽拉可以找到頸內動脈和視神經,小心分離多能全切腫瘤如確有困難,不可勉強。但如腫瘤將頸內動脈包裹,頸內動脈可呈環狀縮窄,甚至閉塞,此時切除顱內動脈四周的腫瘤確有困難。
侵犯海綿竇的腫瘤,已能做到全切除。分離腫瘤時應注意辨認和保護Ⅲ、Ⅳ、Ⅵ腦神經,對於海綿竇的出血可用吸收性明膠海綿(明膠海綿),止血紗布,肌肉等材料壓迫止血。
預後
外側型蝶骨嵴腦膜瘤手術切除困難不大,術後復發和神經功能損害較少見。內側型腦膜瘤全切多有困難,術後可有Ⅲ、Ⅳ、Ⅵ腦神經功能損害。另有患者術後可有肢體運動障礙和運動性失語對於未能全切的內側型病人,術後可輔以放療,以防復發。如腫瘤復發可考慮再次手術切除。
