表現
顳葉腫瘤1.視野改變;視野的變化常為顳葉腫瘤的早期症狀之一,有定位意義。在解剖上,視放射環繞側腦室下角經過顳葉。當腫瘤位於顳葉深部時,由於影響或破壞視束或視放射,病初可出現對側同向性上象限1/4的視野缺損。
2.感覺性失語;位於優勢半球的腫瘤損害顳上回41區、42區時,可出現感覺性失語。損害顳葉後部時,可出現命名性失語。這是診斷顳葉腫瘤最可靠的症狀之一。
3.癲癇發作;顳葉腫瘤所致的癲癇大發作的發生率僅次於額葉腫瘤。部分病人還可出現局限性癲癇發作,多因腫瘤向上侵犯運動區所致。
4.精神症狀;顳葉腫瘤精神障礙也是常見的症狀,僅次於額葉腫瘤。主要症狀是人格的改變、情緒異常(如焦慮、憂鬱、恐慌、憤怒)、類偏狂、記憶力障礙、精神遲鈍、表情淡漠等。精神症狀較多發生於優勢半球顳葉廣泛而迅速生長的腫瘤。
5.共濟失調;顳中回及顳下回的後部,通過顳葉橋腦小腦纖維而與小腦發生聯繫,因此,一側顳葉損害也可以發生對側半身共濟失調,故也可發生平衡失調,常向病變對側傾倒。
6.錐體束征;顳葉上部的腫瘤,可以壓迫額葉及頂葉的下部而出現面部及上肢的運動或感覺障礙,壓迫對側大腦腳、內囊,可致腫瘤同側的錐體束征,而產生不同程度的偏癱。
7.其它症狀;顳葉內側腫瘤,可以壓迫中腦而發生動眼神經麻痹。顳葉腫瘤壓迫顱度頸動脈交感神經叢時,可出現霍納綜合徵。基底節受累時出現對側肢體震顫、舞蹈症、手足徐動症、麻痹性震顫綜合徵。侵犯島葉時可有自發性內臟痛等。
輔助
顳葉腫瘤2.腦室造影;顳葉腫瘤時腦室造影主要是確定腫瘤所在的位置,其表現特點如下:
(1)前後位像:側腦室向健側移位。
(2)側位像:在側位像和前後像上,下角的變化明顯。
(3)腦血管造影;顳葉腫瘤的頸動脈造影,主要是以血管移位的情況而作腫瘤的定位,顳葉各部腫瘤的血管移位特點如下:
(A)顳葉前部腫瘤
1)前後位像:大腦前動脈縱行段呈直線向對側移位,下部移位較明顯。
2)側位像:大腦前動脈垂直段變直,且向前下方移位。
顳葉腫瘤(B)顳葉中部腫瘤
1)前後位像:大腦前動脈縱行段呈直線狀向對側移位,移位程度不定,有時較輕。
2)側位像:虹吸彎開大,甚至可使床突上段呈直線狀垂直上升。大腦中動脈側裂段中部明顯上移。側裂三角抬高。
(C)顳葉後部腫瘤
1)前後位像:大腦前動脈縱行段呈直線狀向對側移位,有時移位較輕。
2)側拉像:大腦中動脈腦凸面分支(M4、M5)升高,在床頂線上1cm以上,且可呈現弓狀向上突出。
(D)顳葉深部腫瘤
1)前後位像:血管多無明顯變化。
2)側位像:大腦中動脈上移輕微。
3.腦電圖;顳葉腫瘤腦電圖檢查,局限性δ波發現率很高,約90%以上,δ波頻率較慢(0.5~2次/秒)並為持續性。背景α波多異常。顳葉各部位腫瘤腦電圖的特點表現如下:
(1)顳前腫瘤:多形性δ波比較局限於顳前導聯。背景α波一般不受影響。棘波發現率較高。在早期與額顳部腫瘤不易區別,因為兩者都可引起額外側、額前、頂下部的腦電圖改變;①額顳腫瘤的慢波主要出現在額外側、額前、顳前部,有時波及額後、頂部;②顳前腫瘤的慢波主要在顳前,可擴散到顳後、額前部和額外側;③懶波(一側性α、快波減弱或α波頻率變慢)在腫瘤周圍較明顯。
(2)顳後腫瘤:多形性δ波主要出現在顳後部和顳前部,可波及到頂下部、頂部和枕部。腫瘤周圍有快波減弱和θ波。病側背景的α波常有節律紊亂,頻率變慢,波幅變低或消失等改變,這些特點可以用來與顳前腫瘤作鑑別。
(3)顳頂枕部腫瘤:在顳後、頂下、頂和枕部均可出現明顯的δ波,但一般以頂下部為著。兩側特別是病側α波有明顯的紊亂並混有散在性δ波、θ波。
4.腦超音波;顳葉腫瘤的超音波檢查,其定位陽性率最高。除出現腫瘤波外,中線波向對側移位最明顯。腦室擴大或腦積水時,側腦室波的振幅增大,側腦室波和中線波的距離變大。
5.同位素腦掃描;顳葉腫瘤同位素掃描,根據腫瘤的性質、部位、大小及供瘤血管的不同而有不同的表現,一般說來,顳葉腫瘤的掃描陽性率較高。
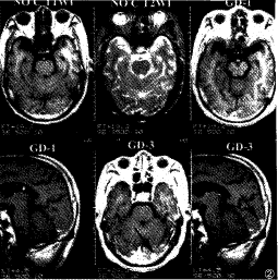
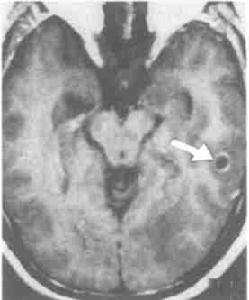
6.腦CT檢查;CT診斷顱內腫瘤主要是根據腫瘤組織的密度改變和腫瘤對腦室系統的壓迫移位來判斷。有些腫瘤顯示密度高,CT圖像清晰;有的腫瘤因有鈣化沉著,對比清楚;有些腫瘤或因瘤組織壞死,或因病灶周圍水腫等變化而顯示為均勻或不均勻之低密度區。顳葉腫瘤多為膠質瘤和腦膜瘤,CT檢查多顯示為高密度區,亦有少數腫瘤有鈣化,囊變、壞死、水腫等顯示其不同的密度變化。側腦室和第三腦室常見受壓、變形、移位等。
鑑別
顳葉知識(一)顳葉膿腫;顳葉膿腫大多數繼發於顱外細菌性感染,以繼發性慢性化膿性中耳炎或乳突炎的耳源性腦膿腫最為常見,其次為外傷性感染和血源性感染引起的膿腫。顳葉腦膿腫,特別是顳葉慢性腦膿腫的臨床表現與顳葉腫瘤的臨床表現很相似,有時難以鑑別。但腦膿腫的臨床症狀,特別是全身感染症狀多發生在早期,絕大多數有感染病灶或近期感染史,常有脈緩,體溫雖有時增高,但大多數正常,血像白細胞及血沉可增高,腦脊液蛋白增高常較白細胞增高明顯。腦超音波檢查可出現中線波向對側移位和膿腫波。腦血管造影有特徵性的表現。CT檢查可顯示邊界清楚的低密度區。詳細詢問病史和全面檢查,容易與腫瘤鑑別。少數難以鑑別的病人手術探查時才能確定診斷。
(二)硬膜下血腫;顳葉硬膜下血腫,臨床上並不少見,僅次於額葉,見於任何年齡,多有明顯外傷史,多在傷後3周以上出現臨床症狀,其症狀與顳葉凸面腫瘤相似。特別是受傷輕微而受傷當時無意識障礙,且時間較長的硬膜下血腫與腫瘤難以鑑別,可藉助腦超音波、同位素腦掃描、腦CT等檢查以助診斷,特別是腦血管造影檢查,在前後位像上見到梭形無血管區時可確定診斷。
(三)腦血管意外及高血壓腦病;某些顳葉腫瘤,特別是多形膠質母細胞瘤、轉移瘤,可以產生瘤內出血、壞死、囊性變而突然昏迷,有如卒中,特別是當病人患有高血壓、動脈硬化,就更容易被認為是腦血管意外而忽略顱內腫瘤的診斷。但其臨床表現與腦血管意外出血比較,仍較緩慢些,且大多數有顱內壓增高症狀,病情逐漸加重。另外,嚴重高血壓時,可發生急性腦水腫,也可出現劇烈頭痛、嘔吐、視乳頭水腫、視力減退及各種局灶性腦症狀,因此,也需與顱內腫瘤特別是顳葉腫瘤鑑別。但其發病一般較急,血壓異常升高,或同時患有其它心血管、腎臟疾病。眼底檢查可見動脈變細,有出血或滲出。並經降血壓、脫水治療,症狀多可好轉,有助於鑑別診斷。對於鑑別困難者,可藉助腦血管造影和CT檢查來確定診斷。
(四)蝶骨嵴腫瘤;蝶骨嵴部位最常見的腫瘤是腦膜瘤。依腫瘤所在的部位分蝶骨嵴外1/3、中1/3和內1/3三個部位。蝶骨嵴腫瘤的臨床表現因腫瘤所在部位的不同而異。外1/3腫瘤多出現病例顳骨隆起伴眼球突出,病側中樞性面癱和癲癇發作(以顳葉癲癇和局限性癲癇為主)等。顱內壓增高症狀多在後期出現。內1/3腫瘤表現為病側視神經萎縮和健側視乳頭水腫(Foster-Kennedy綜合徵)、嗅覺喪失、病眼鼻側偏盲和中心盲點擴大。因眶上裂和海綿竇受累而出現眶上綜合徵,少數病例有眼球突出。中1/3腫瘤視其生長方向可兼有部分內、外1/3腫瘤的表現,中1/3腫瘤最多見,當腫瘤巨大時,可壓迫顳極和影響額極,出現相應的局限性體徵,如對側中樞性面癱或精神症狀等。顱骨平片可見到相應部位的骨質破壞或增生,腦血管造影和CT檢查,都有特徵性的改變,易與顳葉腫瘤鑑別。
(五)顱中窩腫瘤;此部位最常見的是腦膜瘤。其臨床症狀早期表現為三叉神經刺激和損害症狀,部分病人表現為病側顏面部感覺減退和三叉神經痛。病側眼球運動障礙,可出現復視、眼瞼下垂、瞳孔散大等。累及視神經或視束時可出現視力減退、原發性視神經萎縮和同向性偏盲等。腫瘤晚期可壓迫顳葉內側出現幻嗅和鉤回發作等。顱底片可見顱中窩骨質破壞或增生,卵圓孔和棘孔擴大,岩骨及蝶骨可有破壞。腦血管造影顯示頸內動脈虹吸段明顯張開,大腦中動脈抬高,顱由窩可見腫瘤病理血管,較易與顳葉腫瘤鑑別。
(六)丘腦腫瘤;此部位腫瘤最常見為膠質瘤。臨床症狀表現複雜,主要的是丘腦(Dèjerine-Roussy)綜合徵,包括病變對側半身感覺障礙,尤其以深感覺障礙較顯著;病變對側肢體輕癱;病變對側半身自發性疼痛;病側肢體共濟失調;病側肢體有舞蹈或指劃樣運動。丘腦腫瘤通常起病隱襲。腫瘤向內發展時精神症狀較為明顯;向丘腦下部發展可出現內分泌症狀;向丘腦外側發展影響內囊時可有“兩偏”(偏癱、半身感覺障礙)或“三偏”(兩偏加同向性偏盲)症狀,有時偶可出現錐體系受累症狀;向丘腦枕部發展除出現病變對側同向性偏盲外,還可累及四疊體,表現有雙眼上視不能、瞳孔不等大、耳鳴、聽力障礙等。概括上述,對顱壓增高病人,如出現“兩偏”或“三偏”症狀、精神症狀或基底節症狀等,應首先考慮丘腦瘤之可能。然後再通過腦電圖檢查。
治療方法
(1)手術治療:顳葉腫瘤多為膠質瘤和腦膜瘤,治療均以手術為首選。腦膜瘤為良性腫瘤,若能手術全切,則可治癒;若有殘留,術後輔助立體定向放射治療,效果亦佳。但膠質瘤的手術效果則不僅僅取決於手術是否徹底,更重要的是腫瘤的病理類型,一般而言,低級別(1~2級)的膠質瘤預後較好,但高級別(3~4級)的腫瘤預後較差。(2)非手術治療:不能切除腫瘤時,可以選擇①放射治療;②化療(化療效果不是很好);③降低顱內壓,對症治療。
(3)生物治療:生物細胞免疫治療是繼手術、化療、放療之後的第四大治療癌症的手段,它是通過抽取患者外周血中的單個核細胞來進行體外的培養和增殖,然後再回輸到患者體內進行癌細胞的清掃。
生物治療技術最大的優勢就是在殺死癌細胞的同時,不損傷正常細胞,同時還能修復已受損的免疫細胞,增強患者機體免疫耐受力,成為癌症治療最有效的治療手段。這種方法可以單獨使用,同時也可以輔助其他三種療法使用,可以讓治療效果更好。
驗方偏方
顳葉腫瘤療效:上海中醫學院單用本方治療顱內腫瘤11例,總有效率為72,7%。
偏萬:難姜散:老薑、雄黃各100g。先將老薑刷去泥沙(不洗),除去叉枝,用小刀挖一小洞,掏空中心,四壁僅留0.5cm厚,填裝入雄黃粉,以挖出的姜渣封口,置陳瓦上用木炭火焙烤7~8小時,至呈金黃色,脆而不焦為度,離火放冷,研細,過80目篩,剩餘姜渣一併焙乾後研細,拌入粉內,即得。
治法:外用。取安慶膏藥以微火烘乾,均勻地撒上雄姜散,可按瘤塊,痛點,穴位三結合原則選定貼敷部位,隔日換藥一次。
療效:安徽省人民醫院採用本方治療腦瘤、肝癌、淋巴癌,骨肉瘤等共777例,總有效率達64.8%,其中對腦瘤效果最好,有效率達70%。
疾病預防
1)養成良好的生活習慣,戒菸限酒。吸菸,世界衛生組織預言,如果人們都不再吸菸,5年之後,世界上的癌症將減少1/3;其次,不酗酒。煙和酒是極酸的酸性物質,長期吸菸喝酒的人,極易導致酸性體質。2)不要過多地吃鹹而辣的食物,不吃過熱、過冷、過期及變質的食物;年老體弱或有某種疾病遺傳基因者酌情吃一些防癌食品和含鹼量高的鹼性食品,保持良好的精神狀態。
3)有良好的心態應對壓力,勞逸結合,不要過度疲勞。可見壓力是重要的癌症誘因,中醫認為壓力導致過勞體虛從而引起免疫功能下降、內分泌失調,體內代謝紊亂,導致體內酸性物質的沉積;壓力也可導致精神緊張引起氣滯血淤、毒火內陷等。
4)以高熱量、高蛋白、高維生素、低脂肪飲食為宜,如鮮魚、肉、豆製品、新鮮蔬菜及水果等。
