簡介
耳源性腦膿腫系指中耳感染侵入顱內引起的腦膿腫,是化膿性中耳乳突炎的嚴重併發症,重者危及生命;多並發於膽脂瘤型 中耳炎 。膿腫多位於顳葉,小腦次之,位於其他各葉者以及多發性膿腫甚少。耳源性腦膿腫為各種顱內併發症之較多見和最嚴重者,臨床特點主要是在中耳炎基礎上出現發熱,頭痛,不同程度的意識障礙及神經系統的某些定位症狀,腦CT掃描對早期診斷具有重要意義。本病預後差,早期及適當的治療常能降低死亡率。
病因
腦膿腫的形成一般可分為3個階段:
(一)局限性腦炎期:腦組織充血、水腫,炎性細胞浸潤,以後部分腦組織軟化,壞死,出現許多小液化區。
(二)化膿期:液化區融合,形成膿腫。
(三)包膜形成期:一般3~4周后,膿腔周圍由肉芽組、纖維結締組織及神經膠質細胞形成包膜。包膜各處厚薄不一,包膜周圍的腦組織水腫。膿腫繼續增大,壓迫周圍組織,可產生定位體徵。若向附近腦室或蛛網膜下腔潰破,形成嚴重的腦室炎和腦膜炎,甚至引起致命的暴發性腦膜炎。若顱內壓明顯升高,腦組織發生移位,則形成腦疝,顳葉膿腫常發生小腦幕切跡疝,小腦膿腫則以枕骨大孔疝多見,可出現呼吸、心跳驟停而迅速死亡。
症狀體症
頭痛(1)前驅期:為時數日,有寒顫,發熱,脈速,有時有嘔吐和頭痛。
(2)潛伏期:歷時數周,多無明顯症狀,可有頭痛、低熱、全身不適。精神狀態不正常、消瘦或便秘等。
(3)顯著期:低熱、食欲不振;劇烈頭痛、噁心和噴射性嘔吐,視神經乳頭水腫,脈緩,腦膜刺激征,表情淡漠、嗜睡,最後昏迷。顳葉膿腫可出現命名性失語、感覺性失語,對側偏癱 、同側偏盲,對側錐體束征等;小腦膿腫可出現同側肢體肌張力減退,Romberg氏征陽性、共濟失調、輪替運動障礙、中樞性眼震、過指試驗陽性。
(4)終末期:多因腦疝或膿腫破裂,引起腦室炎及瀰漫性腦膜炎 ,高熱、昏迷或突然呼吸心跳停止。
耳源性腦膿腫的形成
(一)局限性腦炎期:
腦組織充血、水腫,炎性細胞浸潤,以後部分腦組織軟化,壞死,出現許多小液化區。
(二)化膿期:
液化區融合,形成膿腫。
(三)包膜形成期:
一般3~4周后,膿腔周圍由肉芽組、纖維結締組織及神經膠質細胞形成包膜。包膜各處厚薄不一,包膜周圍的腦組織水腫。膿腫繼續增大,壓迫周圍組織,可產生定位體徵。若向附近腦室或蛛網膜下腔潰破,形成嚴重的腦室炎和腦膜炎,甚至引起致命的暴發性腦膜炎。若顱內壓明顯升高,腦組織發生移位,則形成腦疝,顳葉膿腫常發生小腦幕切跡疝,小腦膿腫則以枕骨大孔疝多見,可出現呼吸、心跳驟停而迅速死亡。
相關檢查
腦脊液蛋白定量 腦脊液蛋白定量有助於反映中樞神經系統不同疾病時蛋白質含量變化的特點。
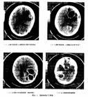
顱腦CT檢查 顱腦的CT檢查是通過CT對顱腦進行檢查的一種方法。頭顱CT是一種檢查方便,迅速安全,無痛苦,無創傷的新的檢查方法,它能清楚的顯示顱腦不同橫斷面的解剖關係和具體的腦組織結構。因而大大提高了病變的檢出率和診斷的準確性。總體上講,CT對人體硬組織的顯像要比軟組織的更好。頭顱CT檢查對於顱內、顱骨、頭皮的大部分疾病的診斷有重要意義(包括外傷、腫瘤、炎症、血管病變、中毒、變性和代謝性疾病等)。
電測聽 是利用現代電子技術記錄因聲音刺激而在聽覺系統誘發的電位變化的方法。
腦電圖檢查 腦電圖檢查是通過儀器,從頭皮上將腦部的自發性生物電位加以放大記錄而獲得的圖形。
診斷依據
(1)膽脂瘤型、骨瘍型中耳炎急性發作,或急性中耳炎發作,繼發耳痛,耳流膿突然增多或減少。
腦膿腫(2)出現發熱、顱內壓增高,意識改變或局源症狀。
(3)耳部檢查見鼓膜松馳部或緊張部邊緣性穿孔,有臭膿,膽脂瘤或肉芽。
(4)腦CT掃描發現膿腫、乳突X線攝片顯示骨質破壞或膽脂瘤。
治療原則
手術治療(1)手術治療:若病情允許,無明顯顱內高壓症和定位體徵,可先行乳突探查術。術中如發現鼓竇蓋、鼓室蓋或乙狀竇骨板有破壞,應擴大至正常界限,暴露顳葉及小腦硬腦膜,發現腦膿腫可疑徵象時,經乳突腔做膿腫穿刺;若病情危重,有腦疝危象時,可先鑽顱穿刺抽膿,待顱內壓降低後再做乳突手術;若膿腫包膜較厚,經反覆穿刺無效,或多房性膿腫,應請神經外科處理,開顱摘除膿腫。
(4)顱內壓升高時,用脫水劑降低顱內壓,出現腦疝或腦疝前期症狀時,及時搶救。
【療效評價】
(1)治癒:症狀體徵消失,膿腔癒合,腦骨液恢復正常,無後遺症。(2)好轉:症狀體徵改善,膿腔縮小。
(3)未愈:症狀體徵未改善,膿腔不變。
專家提示
本病常與其他耳源性顱內併發症同時發生,治療中,如忽視處理耳病,常導致死亡或膿腫復發。本病多因中耳炎不及時治療或治療不當所致,因此,患者應切記:1、患有中耳炎應經正規檢查,明確是否屬於有危險的“膽脂瘤型”;2、因耳道本己狹窄,切勿相信“江湖醫士.而將不溶性藥粉噴入裡面,一旦藥與膿液結成硬塊堵塞耳道,膿液無法流出,則侵入顱內,鑄成大錯。本病病情重,遇此類患者應速送醫院治療。
預防
本病常與其他耳源性顱內併發症同時發生,治療中如忽視處理耳病,常導致死亡或膿腫復發。本病多因中耳炎不及時治療或治療不當所致,因此,患者應切記:1.患有中耳炎應經正規檢查,明確是否屬於有危險的“膽脂瘤型”2.因耳道本己狹窄,切勿相信“江湖醫士.而將不溶性藥粉噴入裡面,一旦藥與膿液結成硬塊堵塞耳道,膿液無法流出,則侵入顱內,鑄成大錯。本病病情重,遇此類患者應速送醫院治療。
併發症
常因腦疝形成或腦室炎、暴發瀰漫性腦膜炎死亡。

