概述
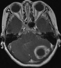
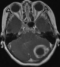
耳源性腦膜炎(otogenic meningitis)是急性或慢性化膿性中耳乳突炎所並發的軟腦膜、蛛網膜急性化膿性炎症。是常見的一種顱內併發症。中耳感染可通過各種途徑直接侵犯軟腦膜和蛛網膜,亦可通過所引起的其他併發症(如化膿性迷路炎、乙狀竇血栓性靜脈炎、腦膿腫等)而間接地引起軟腦膜炎。臨床表現
(一)以高熱、頭痛、嘔吐為主要症狀。起病時可有寒戰,繼之發熱,體溫可高達40°C左右。頭痛劇烈。為瀰漫性全頭痛,常以後枕部為重。嘔吐呈噴射狀,與飲食無關。(二)可伴精神及神經症狀:如煩躁不安、抽搐,重者譫妄、昏迷,以及相關的顱神經麻痹等。
(三)腦膜刺激征:頸有抵抗菌素或頸項強直,甚者角弓反張。克(Kerning)征及布魯金斯基(Brudzinskin)征陽性。
(四)腦脊液壓力增高、混濁,細胞數增多,以多形核白細胞為主,蛋白含量增高,糖含量降低,氯化物減少。細菌培養可為陽性。血中白細胞增多,多形核白細胞增加。
治療
(一)在足量抗生素及磺胺類藥物控制下行乳突探查、根治術,清除病灶,對骨質破壞者,除去骨板至正常腦膜暴露。(二)必要時腰椎穿刺,注入適量抗生素。
(三)注意支持療法及水和電解質平衡。
鑑別診斷
需要和其它類型腦膜炎,如流行性腦膜炎等鑑別。
併發症
通常作為慢性化膿性中耳炎及乳突炎的併發症出現,簡稱耳源性併發症。
預防保健
1、護理人員要密切注意觀察病情變化。
2、病室要安靜,光線柔和,空氣流通,但避直接吹風。冬天防涼,夏天忌熱及太陽光。
3、注意口腔衛生,可用淡鹽湯或銀花水漱口。如裝有義齒者,取出。
4、多喝開水。
5、對神志不清者,注意痰涎,防止其舌頭後墜。取側臥位以保持其呼吸道暢通,防止痰涎堵喉頭。痰涎太多時,及時抽吸。
6、對眼睛不能閉合者,眼內塗上眼藥膏,並輕輕按摩,使其閉合。
7、昏迷時,忌從口腔餵食,可用鼻飼法供給藥物或流汁食物。
8、出現呼吸困難者,應立即給氧。
9、大小便失禁者,及時更換被褥。嘔吐物亦應及時清除。
10、恢復期症狀消失後,逐漸恢復活動,注意不要過早、過度活動。

