病因病理
腦膜瘤的病理組織結構呈多樣性,可分為砂粒型、纖維型、類上皮細胞型、混合型、血管型、內皮細胞型及肉瘤型等。後三者的病和發展較快,惡性程度也較高,可破壞顱骨、眶骨及鼻竇而引起死亡。
臨床表現
骨骼鈣化2.一般為單側,少數為雙側患病。
3.眼球突出逐漸發生,多向正前方突出。眼球突出如伴眼瞼和結膜水腫,則說明眶尖部已受累。眶內視神經鞘、肌錐內或肌錐外腦膜瘤所致的眼球突出較為明顯,管內段腦膜瘤後期也可致眼球突出。
4.眼外肌受累可致眼球運動障礙。
5.眶緣下或可捫有游離或固定不動的腫塊。
6.視力障礙和眼球突。
7.眼底見視乳頭水腫或萎縮,後極視網膜受壓有放射狀條紋。
8.影象檢查示眼眶擴大,視神經不規則擴大,視神經管擴大,眶尖部骨質增生或視神經鞘瀰漫鈣化等改變;可對腫瘤定位和定範圍,顯示腫物包繞視神經,或沿蝶骨嵴生長,或向顱內擴展;腫物邊界清楚,密度均勻或不均勻,可被造影劑強化。
疾病檢查
CT圖在CT出現以前,根據病人的臨床表現,再輔以頭顱平片和腦血管造影,對腦膜瘤即可作出確診。CT的出現,使眶腦膜瘤的定位以及定性診斷水平大大提高,典型的眶腦膜瘤,在未增強的CT掃描中,呈現孤立的等密度或高密度占位病變,其密度均勻一致,邊緣清晰瘤內可見鈣化。
磁共振掃描
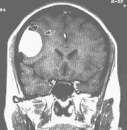
對同一病人,最好問時進行CT和MRI的對比分析。方可得到較正確的定性診斷。這是因為眶腦膜瘤在這兩種圖像中有相類似的表現和特點,而不經加強的MRI會使眶腦膜瘤無法診斷。某些腦膜癌MRI發現不了:1、小的無症狀的眶腦膜瘤不合併水腫和占位效應,尤其是在靠近頂部者;2、多發眶腦膜瘤中小的腫瘤易被遺漏;3、復發腦膜瘤經過注射(GaddoiniumDTPA)造影劑,上述缺點可以得以克服。
疾病治療
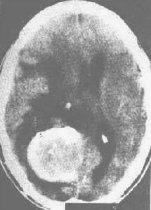
CT平掃圖並發疾病
眶腦膜瘤會引起暴露性角膜炎,並眼瞼及結膜水腫,眼球運動障礙。晚期腫瘤常侵犯整個眶腔內,包繞整個眼球,侵犯第Ⅱ、Ⅲ、Ⅳ、Ⅴ、Ⅵ顱神經,引起視力喪失、眼球固定等眶尖綜合徵。
疾病鑑別
眶腦膜瘤MRI圖1、好發年齡不同,膠質瘤多發生於兒童。
2、“軌道”征有利於診斷腦膜瘤。
3、腦膜瘤沿腦膜蔓延,而膠質瘤沿視覺通道蔓延。
4、腦膜瘤侵犯硬膜邊緣不規則。
5、腦膜瘤很薄呈鞘狀並有鈣化。
6、視神經管內腦膜瘤除了引起骨性視神經孔擴大外,還常見到附近前床突骨質增生硬化。
預防措施
燻肉可致癌1、養成健康的生活習慣。不貪食燻肉等致癌食物,不酗酒抽菸,生活規律正常。
2、堅持鍛鍊身體,提高身體抵抗力。
3、定期去醫院檢查身體,尤其是有頭痛、噁心、嘔吐等感覺時。
養生指導
馬頭蘭1、抗眼部腫瘤的食物:馬蘭頭、胡蘿蔔、石耳、桑樹蕈、蒲公英、大葉菜、牛蒡菜及根、羊腦。
2、具有明目消炎作用的食物:如菊花、薺菜、藕、馬蘭頭、螺螄、鮑魚、海鰻、海龜。
3、具有減輕放療、化療副作用的食物:如薺菜、蘆筍、獼猴桃、綠豆芽、橄欖、絲瓜、鰻魚、青魚、鯽魚等。
4、富含維生素A的食物:如動物肝、田螺、茼蒿菜、芹菜、甜薯、芒果、枸杞等。
5、富含維生素B2的食物:動物肝臟、雞蛋、鱔魚、螃蟹、葉菜類蔬菜、黃豆等。
6、富含維生素C的食物:如鮮棗、柚、柑橘馬鈴薯等新鮮蔬菜、水果。
注意事項
頭痛是眶腦膜瘤的症狀之一眶腦膜瘤患者的頭痛多發生在夜間和清晨,尤以早晨起床後痛感明顯,起床活動後,痛感逐漸緩解或消失。頭痛多為間歇性發作,表現為搏動性疼痛和脹痛,每次發作持續數分鐘或數小時。當腫瘤繼續增大,疼痛會加重,並伴有噴射性嘔吐,咳嗽、打噴嚏、排便時頭痛加重。
其實,頭痛是十分常見的症狀,感冒、高血壓、休息不好、情緒激動及血管神經性因素等都可能引起頭痛。因此,出現上述症狀不要驚慌,應到專業醫院做徹底檢查。
腦膜瘤的發生可能與一定的內環境改變和基因變異有關,並非單一因素造成,可能與顱腦外傷,放射性照射、病毒感染以及合併雙側聽神經瘤等因素有關。因此預防要進行多方面。
併發症
會引起暴露性角膜炎,並眼瞼及結膜水腫,眼球運動障礙。晚期腫瘤常侵犯整個眶腔內,包繞整個眼球,侵犯第Ⅱ、Ⅲ、Ⅳ、Ⅴ、Ⅵ顱神經,引起視力喪失、眼球固定等眶尖綜合徵。
飲食
眶腦膜瘤吃哪些食物對身體好:
1、抗眼部腫瘤的食物:馬蘭頭、胡蘿蔔、石耳、桑樹蕈、蒲公英、大葉菜、牛蒡菜及根、羊腦。
2、具有明目消炎作用的食物:如菊花、薺菜、藕、馬蘭頭、螺螄、鮑魚、海鰻、海龜。
3、具有減輕放療、化療副作用的食物:如薺菜、蘆筍、獼猴桃、綠豆芽、橄欖、絲瓜、鰻魚、青魚、鯽魚等。
4、富含維生素A的食物:如動物肝、田螺、茼蒿菜、芹菜、甜薯、芒果、枸杞等。
5、富含維生素B2的食物:動物肝臟、雞蛋、鱔魚、螃蟹、葉菜類蔬菜、黃豆等。
6、富含維生素C的食物:如鮮棗、柚、柑橘馬鈴薯等新鮮蔬菜、水果。
以上資料僅供參考,詳細請諮詢醫生
