蝶骨腦膜瘤的眼眶病變概述
蝶骨腦膜瘤的眼眶病變蝶骨腦膜瘤按發生的部位可分為蝶骨大翼腫瘤、蝶骨嵴外側腫瘤和蝶骨嵴內側腫瘤。發生在這些部位腦膜瘤,發展規律和臨床表現均有明顯區別。
眼眶與前顱凹和中顱凹鄰近,其間僅有眶頂相隔,眼眶又通過視神經孔和眶上裂與中顱凹相溝通,故鄰近眼眶的顱內一些腫瘤可通過視神經孔和眶上裂或直接破壞眶頂而侵犯眼眶。如蝶骨嵴的腦膜瘤額葉的多形性膠質母細胞瘤垂體窩的垂體腫瘤、斜坡和蝶枕區的脊索瘤都可通過不同途徑侵襲眼眶,引起不同的眼眶病變。
早期症狀
頭痛頭痛是臨床上最常見的症狀之一,涉及到各個科室,尤其是在神經系統疾病中多見,其病因十分複雜。發病率高,人群中幾乎90%的人一生中都有頭痛發作,有人稱頭痛是僅次於感冒的常見病,其實頭痛是一種症狀,而不是一種疾病。頭痛一般是指前面在眉毛以上,後面枕下部以上即頭顱上半部這一範圍的疼痛。視力障礙眼功能包括形覺、色覺和光覺。視力是比較精確地表示形覺的功能,可分為中心視力和周邊視力。中心視力是通過黃斑中心獲得的,周邊視力指黃斑以外的視網膜功能。故視力是視功能的具體表現之一。視力發生障礙,雖然很輕微,也說明視力功能受到了影響。偏癱又叫半身不遂,是指一側上下肢、面肌和舌肌下部的運動障礙,它是急性腦血管病的一個常見症狀。輕度偏癱病人雖然尚能活動,但走起路來,往往上肢屈曲,下肢伸直,癱瘓的下肢走一步劃半個圈,這種特殊的走路姿勢,叫做偏癱步態。嚴重者常臥床不起,喪失生活能力。按照偏癱的程度,可分為輕癱、不完全性癱瘓和全癱。輕癱:表現為肌力減弱,肌力在4-5級,一般不影響日常生活,不完全性癱較輕癱重,範圍較大,肌力2-4級,全癱:肌力0-1級,癱瘓肢體完全不能活動。視野缺損視野缺損:中心周圍或中心旁盲點、中心盲點伴視敏度下降、罕見視野狹窄。流行病學
腦膜瘤好發年齡為25~50歲女性多於男性。腦膜瘤大多數為良性,發展緩慢兒童腦膜瘤侵襲性強,惡性腦膜瘤極為罕見。蝶骨嵴腦膜瘤占顱內腦膜瘤的第3位約10.9%,男∶女為1∶1.06。
發病機制
腫瘤多數為內皮型和纖維型,腫瘤的生長方式有兩種,一種是膨脹性生長,呈結節狀有狹窄的蒂部,較大,手術相對較容易;另一種匍匐樣生長呈地毯狀,並與顱底的硬腦膜廣泛粘連,手術不易全切,根據其生長特點而形成不同的臨床表現。
臨床表現
症狀表現1.蝶骨嵴內1/3腦膜瘤 內側型早期症狀明顯因腫瘤附著於病側的前床突,在視神經、視交叉、眶上裂及海綿竇附近,腫瘤在發展過程中對以上結構造成壓迫,引發一系列臨床症狀。病人早期可出現腦神經受壓表現患者出現頭痛,視野缺損,鼻側偏盲中心暗點擴大,視力下降等。如腫瘤向眼眶內或眶上裂侵犯,眼靜脈回流受阻,繼後出現眶上裂綜合徵(superior orbital fissure syndrome)而到眼科就診發現患者病側眼瞼結膜腫脹,上瞼下垂,瞳孔散大對光反射遲鈍或消失,眼球活動障礙,眼球突出。有的患者出現福斯特-甘迺迪綜合徵(Foster Kennedy syndrome),腫瘤壓迫同側視神經引起萎縮,由於顱內壓升高造成對側視盤水腫。內側型病人還可出現Ⅱ、ⅣⅥ及Ⅴ第1支腦神經損害症狀。部分病人出現精神症狀和嗅覺障礙多見於腫瘤向前顱窩生長者,但較少見少數患者出現肢體偏癱等。
2.蝶骨嵴外1/3腦膜瘤 外側型蝶骨嵴腦膜瘤症狀出現較晚,腫瘤發生在蝶骨大翼,引起眼眶後外側壁及顳部骨質增生,眼眶縮小,或腫瘤直接侵入眶內致使眼球前突。2/3的患者出現病側顳骨隆起,伴眼瞼和球結膜腫脹。早期僅有頭痛而缺乏定位體徵。一部分病人可以表現為顳葉癲癇發作,如腫瘤侵犯顳骨可出現顴顳部骨質隆起。
3.蝶骨嵴中1/3腦膜瘤 根據腫瘤生長的方向不同而有不同症狀和體徵可兼有內1/3或外1/3腦膜瘤的一些臨床表現。
上述病人腫瘤生長較大時,均會引起對側肢體肌力減退和顱內壓增高。部分病人出現中樞性面癱、輕偏癱或癲癇發作。
併發症
1.軀體運動功能障礙,牽拉過度或血管痙攣影響運動中樞所致。
2.運動性失語,額葉下部過度牽拉所致。
3.腦神經功能損傷,出血偏盲、失明、眼球運動障礙、三叉神經第1支功能障礙等
4.腦梗死,頸內動脈、大腦中動脈、大腦前動脈或側裂血管損傷、痙攣所致。
5.丘腦下部損害,術中直接損傷或缺血所致。
一旦發生上述併發症,應積極給予改善微循環藥物、促神經代謝藥物、能量合劑脫水藥物以及高壓氧艙和對症治療等治療措施。
鑑別
和蝶骨嵴腦膜瘤容易混淆的是骨纖維異常增生症,後者是一種先天性骨發育異常,發病年齡較小,CT顯示廣泛骨增生如額骨、蝶骨、眶骨、篩骨、上頜骨等,主要鑑別點是增強CT或MRI後眶內和顱內無軟組織腫塊。診斷
根據臨床表現,結合CT及MRI一般可明確做出臨床診斷。典型臨床症狀可提供診斷線索X線檢查可發現蝶骨嵴和蝶骨大、小翼增生,有時還可發現眶上裂擴大或蟲蝕樣骨破壞,病變部位出現沙礫樣鈣化。
鑑別診斷:
和蝶骨嵴腦膜瘤容易混淆的是骨纖維異常增生症,後者是一種先天性骨發育異常,發病年齡較小,CT顯示廣泛骨增生如額骨、蝶骨、眶骨、篩骨上頜骨等,主要鑑別點是增強CT或MRI後眶內和顱內無軟組織腫塊。
檢查
X線檢查病理組織學檢查:顱內腦膜瘤與眶內腦膜瘤的組織結構相同,瘤細胞呈圓形或卵圓形,細胞邊界不清。細胞排列成漩渦狀有纖維組織分隔組織病理學一般分為三型:
1.內皮型或砂粒型 圓形或橢圓形內皮細胞組成在漩渦的中心或血管旁見沙粒體此型常見。
2.纖維型瘤細胞呈梭形,排列成柵欄狀或呈波浪形,約占腦膜瘤的32%。
3.混合型 瘤組織中可見圓形或橢圓形的內皮細胞,也有呈梭形的酷似纖維細胞的瘤細胞。
其它輔助檢查:
1. X線檢查 早期由於病變範圍較小X線可能無重要發現。晚期可顯示眼眶外壁、蝶骨大、小翼密度增高,邊界不清楚。
2.超音波探查 病變侵及眼眶後超聲才可能發現病變。B超顯示眼眶外側扁平低回聲占位病變(有軟組織腫塊)或發現眶外側脂肪受壓變窄;A超顯示病變呈不規則低反射。超音波檢查對診斷視神經鞘腦膜瘤幫助較大,但繼發性蝶骨腦膜瘤未侵犯蝶骨眶面或瘤體扁平時可無陽性發現。當瘤體增大壓迫眶脂肪時,可見回聲少且聲衰減多的異常回聲區。
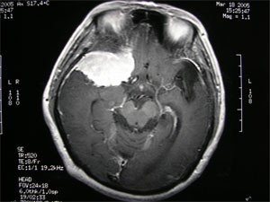
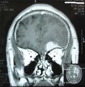
3.CT掃描 可見到以蝶骨嵴為中心的球形生長的腫瘤,邊界清楚經對比增強後腫瘤影明顯增強,如腫瘤壓迫側裂靜脈腦水腫較顯著。蝶骨嵴腦膜瘤CT掃描常有重要發現:①眼眶外壁或蝶骨嵴骨增生肥厚,瀰漫隆起或不規則增生,邊界不清楚偶可見局部骨破壞;②眼眶側或顱內有軟組織塊影,腫物常呈扁平形或不規則形,晚期腫瘤可能體積較大;③其他徵象包括:腦膜瘤尾征。
4.MRI MRI對診斷本病是有意義的。MRI可以顯示腫瘤與蝶骨翼和眼眶的關係,骨質破壞情況等。尤其是對內側型的蝶骨嵴腦膜瘤,MRI還可以提供腫瘤與頸內動脈的關係,有時腫瘤將頸內動脈包裹在內,或腫瘤附著在海綿竇上這些情況對手術切除腫瘤均有重要的參考價值。增強後的MRI圖像更清晰。
蝶骨嵴腦膜瘤在T1WI和T2WI上呈低信號或中信號增強明顯和CT相比,MRI對於體積較小的腫瘤顯示較好。顱內惡性腦膜瘤可侵及眶內、顱內,呈多發腫瘤。
5.腦血管造影 可以了解腫瘤著色及其供血情況。現在已不用做定位診斷,但它可以提供腫瘤的供血動脈,腫瘤與主要血管的毗鄰關係。內側型蝶骨嵴腦膜瘤的供血動脈主要來自眼動脈分支,如腫瘤向前顱窩發展可見篩前動脈供血,同時可見頸內動脈虹吸彎張開,有時頸內動脈受腫瘤直接侵犯表現為管壁不規則。外側型蝶骨嵴腦膜瘤的血液供應主要來自頸外動脈分支,如腦膜中動脈出現典型的放射狀腫瘤血管,腫瘤染色在靜脈期比動脈期更明顯。因腫瘤壓迫側位像可見大腦中動脈一般被抬高。在腦血管造影同時見到頸外動脈供血者,可同時行血管栓塞,使手術出血減少。
治療
放療內側型腫瘤的深處是頸內動脈和視神經。多數情況是腫瘤呈球形生長,將頸內動脈向內推移少數情況是頸內動脈被腫瘤包裹。前者,腫瘤與頸內動脈和視神經之間有一層蛛網膜相隔。手術顯微鏡下,包膜內切除腫瘤,使術野空間擴大,再將瘤壁向一方牽拉,可以找到頸內動脈和視神經,小心分離,多能全切腫瘤如確有困難不可勉強。但如腫瘤將頸內動脈包裹,頸內動脈可呈環狀縮窄,甚至閉塞,此時切除顱內動脈四周的腫瘤確有困難。
侵犯海綿竇的腫瘤,近年已能做到全切除分離腫瘤時應注意辨認和保護Ⅲ、Ⅳ、Ⅵ腦神經對於海綿竇的出血可用明膠海綿止血紗布,肌肉等材料壓迫止血。
為防止復發,提高長期生存率,術後可進行放射治療。
預防
預防:注意飲食衛生,避免苯並芘、亞硝胺等致癌物質進入體內。講究個人衛生,鍛鍊身體,增強抵抗力,防止病毒感染。避免腦部外傷,發生腦外傷時應及時治癒。已患顱內腫瘤的人不宜再生育。
護理
與腫瘤的發展程度及手術情況有關。本病易於復發。外側型蝶骨嵴腦膜瘤手術切除困難不大,術後復發和神經功能損害較少見。內側型腦膜瘤全切多有困難,術後可有Ⅲ、Ⅳ、Ⅵ腦神經功能損害。另有患者術後可有肢體運動障礙和運動性失語。對於未能全切的內側型病人,術後可輔以放療,以防復發。如腫瘤復發可考慮再次手術切除。預後
與腫瘤的發展程度及手術情況有關。本病易於復發。外側型蝶骨嵴腦膜瘤手術切除困難不大,術後復發和神經功能損害較少見。內側型腦膜瘤全切多有困難術後可有Ⅲ、Ⅳ、Ⅵ腦神經功能損害另有患者術後可有肢體運動障礙和運動性失語。對於未能全切的內側型病人,術後可輔以放療,以防復發。如腫瘤復發可考慮再次手術切除。
