簡介
顱中窩腦膜瘤有關介紹
顱中窩腦膜瘤流行病學
顱中窩腦膜瘤占顱內腦膜瘤的2%~3.2%。男性與女性發病相差不大,為1:1.6,平均年齡44歲。1/3的病人發病1年後就診,病史最長的1例長達20年。腫瘤絕大多數呈球形。呈扁平形生長者不及1/10。
發病機制
腫瘤以內皮型、纖維型為多其次為血管型,少數為腦膜肉瘤。腫瘤呈球形或扁平型,沿顱中窩底發展向內可壓迫勁內動脈與海綿竇,向前到蝶骨嵴,向外可引起顳骨增生,向後可侵蝕岩骨尖,並可通過小腦幕進入顱後窩。一般位於硬腦膜內,血運豐富,主要由腦膜中動脈及大腦中動脈供血。
臨床表現
顱中窩腦膜瘤部分病人出現顳葉癲癇,主要是腫瘤侵犯到顳葉的海馬回、杏仁核。腫瘤較大或小腦幕切跡旁及慢性腦疝者影響腦脊液循環,患者出現顱內壓升高。
併發症
如進行手術治療,可能發生以下併發症:
1.顱內出血或血腫 與術中止血不仔細有關,隨著手術技巧的提高此併發症已較少發生。創面仔細止血,關顱前反覆沖洗即可減少或避免術後顱內出血
2.腦水腫及術後高顱壓 可用脫水藥物降低顱內壓,糖皮質激素減輕腦水腫
3.神經功能缺失 與術中損傷重要功能區及重要結構有關,術中儘可能避免損傷,出現後對症處理。
診斷
顱中窩腦膜瘤2.體檢 注意檢查神經系統陽性體徵,檢查頭頂部有無骨性凸出或顱骨缺損。
3.顱骨X線平片 陽性所見有:①腫瘤局部顱骨內板骨質增生,內外板均有增生時可有骨性突出,少數可有顱板破壞。②腫瘤血供豐富者可見增粗和迂曲的血管壓跡引向骨質增生或破壞區。③顱內壓增高的顱骨改變。④有時可見腫瘤鈣化和鈣化的松果體移位。
4.腦血管造影 主要用於了解腫瘤的血供來源以及與周圍重要血管間的關係。
5.CT和MRI掃描 可確定腫瘤的部位和大小,絕大多數可作出定性診斷。CT掃描示邊界清晰的均勻高密度影,增強後顯著。少數呈混合密度或低密度改變。MRI見腫瘤多數呈等信號,增強後明顯強化。
檢查
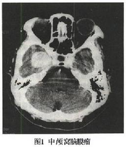
圖11.頭顱平片 顱底像對診斷本病有一定價值。可見中顱窩底骨質被破壞表現為密度減低,圓孔和棘孔擴大模糊不清岩骨尖骨質被破壞。腫瘤鈣化呈散在斑片狀或密度較均勻的條塊。
2.CT和MRI 中顱窩腦膜瘤在CT的表現為邊界清楚的較高密度影像注藥對比後明顯增強少部分病人表現為混雜密度區如腫瘤有鈣化,CT顯著為極高密度(圖1)。MRI均可見長T1短T2信號腫瘤邊界清楚。
3.腦血管造影 表現為顳部占位征。如頸內動脈被腫瘤壓迫,顱內血管常充盈不良。由頸內動脈海綿竇前發出的腦膜支增粗顯影為本病的特徵,但少見。因此,使用一般的血管造影技術,多數病例腫瘤染色不明顯,數字減影腦血管造影有助於弄清腫瘤內的血管本組80%可見腫瘤染色
治療
顱中窩腦膜瘤手術入路可根據腫瘤位置採取翼點入路或顳部入路。無論何種入路,手術切口均應足夠低,以充分暴露顱中窩底部。翻開骨片後,電灼或結紮腦膜中動脈,對減少手術出血是有幫助的切開硬腦膜後部分病例腫瘤可能被顳葉覆蓋,如牽拉顳葉仍不能充分暴露腫瘤,可將顳下回行部分切除。
對Labbe靜脈應注意保護,特別是在優勢半球,以防止術後腦水腫和失語發生。如腫瘤位於硬腦膜外可行硬腦膜外探查剝離腫瘤和顱底間的粘連,可減少出血。如腫瘤侵犯顱中窩底硬腦膜或顱中窩底骨質也應一併切除並行顱底重建術。分離腫瘤時應儘量保護可以見到的三叉神經分支。
對球形生長的中顱窩腦膜瘤多能手術全切呈扁平生長者全切較困難。手術未能全切的主要原因是腫瘤將頸內動脈包裹。
用藥安全
荸薺(1)宜進抗腦瘤的食物,如小麥、薏米、荸薺、海蜇、蘆筍、炸壁虎、炸全蠍、炸蜈蚣、炸蠶蛹、鱟、海帶。
(2)宜吃具有保護顱內血管作用的食物:芹菜、薺菜、菊花腦、茭白、向日葵籽、海帶、海蜇、牡蠣、文蛤。
(3)宜吃具有防治顱內高壓作用的食物:玉米須、赤豆、核桃仁、紫菜、鯉魚、鴨肉、石蓴、海帶、蟹、蛤蜊。
(4)宜吃具有保護視力的食物:菊花、馬蘭頭、薺菜、羊肝、豬肝、鰻鱺。
(5)宜吃具有防護化療、效療副作用的食物:香菇、銀耳、黑木耳、黃花菜、核桃、芝麻、向日葵籽、獼猴桃、羊血、豬血、鵝血、雞血、蓮子、綠豆、薏米、鯽魚、青豆、鱘、鯊魚、梅、杏仁、佛手。
2、忌吃食物:
(2)忌辛辣刺激性食物,如蔥、蒜、韭菜、花椒、辣椒、桂皮等。
(3)忌發霉、燒焦食物,如霉花生、霉黃豆、燒焦魚肉。
(4)忌油膩、醃臘魚肉、油煎、煙燻食品。
(5)忌過鹹食品。
預後
手術全切中顱窩腦膜瘤都能取得較好療效腫瘤較少復發近年隨著顱底外科和顯微手術的發展,本病的手術效果不斷提高,手術死亡率已很低。
