腦膜炎奈瑟菌肺炎疾病概述
腦膜炎奈瑟菌肺炎疾病描述
腦膜炎奈瑟菌(neisseriameningitidis)主要引起流行性腦脊髓膜炎,至於腦膜炎奈瑟菌肺炎,有不少人認為是繼發於腦膜炎奈瑟菌敗血症的一種少見的化膿性遷徙合併症。實際上,1907年首次報告後,已有許多資料表明腦膜炎奈瑟菌可作為原發性下呼吸道感染的致病菌,引起原發性腦膜炎奈瑟菌肺炎。該菌又稱腦膜炎雙球菌,為需氧革蘭陰性球菌,普通培養基上不生長,選擇性培養基利於痰標本中腦膜炎奈瑟菌的分離和鑑定。根據菌體莢膜層的多糖,目前至少可分13種血清型。其中A.B.C.X.Y.Z和W-135型在臨床上日趨重要。據統計資料分析,過去10餘年中在普通人群及醫院內人群中,引起呼吸系統感染的血清型為Y型和W-135型,其傳播途徑主要通過飛沫直接從空氣傳播,呼吸道感染了流感病毒或腺病毒的人群更具有易感性。其病理改變為滲出性化膿性炎症,沿肺泡或支氣管肺泡分布,個別呈大葉浸潤甚至肺組織壞死和膿腫形成。
症狀體徵
本病臨床過程無特殊性,因而臨床上易漏診。表現為咳嗽、咳膿痰或泡沫痰、胸痛、畏寒、高熱以及相伴出現的肺突變、濕囉音等變化。若在人群集中的地方如軍營、學校、託兒所或醫院中同時出現許多細菌性肺炎病例時應警惕本病的可能,若在痰塗片上發現中性粒細胞內有革蘭陰性腎形雙球菌,應高度懷疑本病,確診依賴於進一步的細菌學檢查。普通的咳痰培養或鼻咽部、喉部拭子培養有時難以獲得陽性結果,往往需要經氣管吸取標本才有可能獲得陽性結果。
疾病病因
腦膜炎奈瑟菌肺炎流行病學
人類是惟一的傳染源,病原菌存在於患者或帶菌者的鼻咽部,帶菌者對周圍人群的危險性大於病人。在非流行期間人群帶菌率不到5%,但有資料認為人群帶菌率可高達5%~15%。在流行期間人群帶菌率顯著增高,可達50%~100%。在年青人集中的人群中如軍隊、學校等處,腦膜炎奈瑟菌感染極易引起流行。腦膜炎奈瑟菌所致呼吸系疾病是在本世紀初被認識的,尤其是在1918~1919年流感流行期間,腦膜炎奈瑟菌是重要的呼吸道病原菌。此後,由腦膜炎奈瑟菌引起的肺炎很少有報導。直至70年代,隨著細菌檢測技術的進步,有關腦膜炎奈瑟菌肺炎的報導才不斷增多,如Y型腦膜炎奈瑟菌肺炎曾在某軍事基地有過暴發流行。據統計資料分析,過去10餘年中,在普通人群及醫院內人群中,引起呼吸系統感染的血清型為Y型和W-I35型,其傳播途徑主要通過飛沫直接從空氣傳播。呼吸道感染了流感病毒或腺病毒的人群更具有易感性。
病理生理
腦膜炎奈瑟菌肺炎診斷檢查
腦膜炎奈瑟菌肺炎鑑別診斷
臨床需注意與肺炎球菌肺炎相鑑別。
實驗室檢查:
痰液細菌塗片檢查若在痰塗片上發現中性粒細胞內有革蘭陰性腎形雙球菌,應高度懷疑本病,確診依賴於進一步的細菌學檢查。痰液細菌培養普通的咳痰培養或鼻咽部、喉部拭子培養有時難以獲得陽性結果,往往需要經氣管吸取標本才有可能獲得陽性結果。
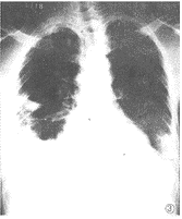
其他輔助檢查:X線表現無特異性,包括斑片影的支氣管肺炎和大葉浸潤,常見於下葉或右中葉,約20%病例伴有胸腔積液。
治療方案
腦膜炎奈瑟菌肺炎1.抗菌藥物治療目前,青黴素即使套用小劑量對多數病例也是有效的,並發膿胸或其他併發症患者仍可選用青黴素,但劑量應加大至每天600萬U以上。對青黴素過敏者,可選用氯黴素,每天2~3g,分4~6次給予。第三代頭孢菌素,磺胺嘧啶,利福平等對本病也有較好的療效。
2.對症支持治療包括給氧、保暖、保持呼吸道的濕化和通暢,同時應保護心、腦、腎功能,防止多器官功能衰竭。
併發症
合併腦膜炎奈瑟菌敗血症。
腦膜炎奈瑟菌肺炎相關藥品:青黴素 氯黴素 頭孢三代
預後及預防
腦膜炎奈瑟菌肺炎奈瑟菌感染可用抗生素預防。經陰道或腹腔切除子宮後,結腸,直腸,心肌,關節或血管的外科手術,愛滋病病人的肺囊蟲感染也可用抗生素預防。然而廣譜抗生素,大劑量抗生素的使用,或系統的抗生素預防最終會引起耐藥菌株的感染,用抗生素治療的病人應密切關注重疊感染的跡象。
屏障有助於控制和預防感染,在診斷和治療操作中應嚴格無菌。護理人員進行氣管內插管或從切開的氣管中吸痰時應戴無菌手套,吸液導管等應消毒處理,且為一次性的。面具,噴霧氣瓶及與病人氣道直接相連的其他器材應蒸氣消毒,且每天更換;這些設備也可用2%戊二醛或2%醋酸洗滌,然後徹底洗淨和乾燥。或者整套設備用0.25%乙酸噴霧,然後洗淨也可滿足每天對通氣器材的清潔;對壓送氣體的器械也應做到完全清潔。
預防:
1.消除傳染源腦膜炎奈瑟菌主要經飛沫傳播,故就地治療隔離病人,消除傳染源是非常必要的,通常至少在治療的頭24h應隔離可疑的病人。
2.藥物預防和疫苗預防藥物和疫苗預防對於降低流行性腦脊髓膜炎發病率,控制流行性腦脊髓膜炎的流行是安全和有效的,已起到十分重要的作用。如對帶菌者或易感人群,可用青黴素、利福平、米諾環素進行藥物預防,或套用含有A、C、Y、W-135血清型的四價疫苗接種進行免疫預防。但藥物和疫苗預防能否保護易感者預防呼吸系統的原發感染,目前尚無這方面的資料,尚待觀察研究。
預後:早期診斷、早期治療,一般預後良好。
