疾病病因
老年甲減性心臟病發作原理通過對各種病因的預防避免甲減的發生,其中包括預防橋本甲狀腺炎,避免缺碘或碘過多,Graves 病的適量放射性碘治
老年甲減性心臟病療,避免抗甲狀腺藥物過量,及其他可致甲減的藥物如對氨基水楊酸、保泰松、過氨酸鉀、鈷、鋰及胺碘酮的長期過量套用。近年來,胺碘酮治療老年人心律失常頗為常見,胺碘酮對甲狀腺功能有3 方面作用:第一,是通過與細胞核內甲狀腺受體結合以對抗甲狀腺素作用;第二,是抑制外周T4 轉化為T3,故長期用藥可致血清T3 水平下降和一過性TSH 升高;第三,是該藥含碘35%(按重量算),在體內代謝時產生大量的無機碘,導致甲狀腺有機碘化作用的抑制。服用該藥的病人,可能發生甲減,故對長期服用胺碘酮的老年病人,應定期複查甲狀腺功能。
症狀體徵
心臟各部分名稱1.一般症狀 活動能力下降,遲鈍、抑鬱、少言懶語、胃寒少汗,體溫低於正常,聲音嘶啞、耳聾和味覺減退,食慾減退而體重不減或增加。
2.面容和皮膚 典型黏液性水腫往往呈現表情淡漠,面色蒼白,眼瞼水腫,唇厚舌大,皮膚乾燥增厚發涼,粗糙脫屑呈非壓陷性水腫,由於貧血和胡蘿蔔素血症,皮膚可呈淡黃色,因血中膽固醇增高,偶可出現黃色瘤,毛髮稀少乾枯,脆而無光澤,生長緩慢,甚至停止生長,眉毛稀疏,外1/3 脫落,少數患者指甲厚而脆,多裂紋。
3.精神神經系統 記憶力減退,智力低下、反應遲鈍,嗜睡、精神抑鬱,有時多慮而有神經質表現,重者可出現精神失常,木僵和痴呆,甚至昏迷,對鎮靜劑敏感,服後可誘發昏迷。黏蛋白沉積致小腦功能障礙時,出現共濟失調,眼球震顫等。
4.肌肉和關節系統 主要表現為肌軟弱無力,也可有暫性肌強直、痙攣、疼痛等,偶見重症肌無力。肌強直和肌痛常見,肌肉收縮後弛緩延遲,握拳後鬆開緩慢。骨代謝減低,骨形成和吸收均降低,骨密度增加,黏液性水腫病人可伴有關節病變,偶有關節腔積液。
5.心血管系統
(1)一般心血管表現心悸,胸悶、易疲勞、勞力性呼吸困難,嚴重者可出現端坐呼吸。心動過緩常見,一般50 次/min 左右,心界擴大,心音低鈍。心影擴大可由間質水腫,心包積液或心臟擴張所致,也可以是以上3 種原因的共同結果。有時初診時心臟擴大不明顯,但用甲狀腺素替代治療後,心臟明顯縮小,反證以前有心臟擴大。
(2)心包積液:80%的甲減性心臟病有心包積液,積液量大,但因其發生緩慢,一般不引起心包填塞症狀。心包積液比重高,內含高濃度蛋白質和膽固醇,而細胞數少,有時也伴有胸腔積液和腹水,為非炎症性積液,其產生可能由於毛細血管通透性增加以及因局部黏液性黏多糖和黏蛋白的堆積所致。實驗證實,心包對甲狀腺素特別敏感,一旦甲狀腺素缺乏,黏多糖即滲出血管外,很快出現積液,甲狀腺癌病人行甲狀腺切除術後,若不用甲狀腺激素替代療法,2 周后即心包積液。
(3)繼發性心肌病:甲減性心臟病患者可有心臟擴大。由於心臟黏液性水腫,間質水腫,心肌纖維化,導致心肌鬆弛,收縮無力,形成所謂心肌假性肥大。臨床上可有心律失常,房室傳導阻滯或心力衰竭,老年患者如同時有高血壓和動脈硬化,則較難與冠心病鑑別,本病在用甲狀腺素治療後,心臟可明顯縮小。
(4)心力衰竭:甲減性心臟病人很少發生充血性心力衰竭,這是由於雖然心肌收縮力減弱,心輸出量減少,但仍能滿足已經降低的機體代謝需要。有時心衰的表現和黏液性水腫表現十分相似,如呼吸困難、水腫,漿膜腔積液,心臟擴大等,如出現明顯的心力衰竭,需考慮合併有其他器質性心臟病的存在。
(5)心絞痛和心肌梗死:病人儘管有明顯的冠狀動脈粥樣硬化,但由於組織耗氧量和心輸出量的減少相平行,故即使心肌供氧減少也很少發生心絞痛和心肌梗死,但在老年人,尤其是合併高血壓者,其發生率增加,應予注意,如在用甲狀腺素替代療法中出現心絞痛者,應高度懷疑藥物所致,必須減少劑量。
6.消化系統 病人常舌肥大,胃腸動力降低致食慾減退、厭食、腹脹,便秘,嚴重者可出現麻痹性腸梗阻或黏液水腫性巨結腸。由於胃酸缺乏或維生素B12 吸收不良,可致缺鐵性貧血或惡性貧血。
病理生理
心臟剖視圖2.高脂血症和動脈硬化 甲減時脂肪代謝發生變化,正常膽固醇半壽期約為75 天,甲減時延長至150 天,此可能是本症中血膽固醇增高的原因,也是促使患者發生冠心病的危險因素。
3.高血壓 甲減患者中有7.8%~25%的人血壓升高,而且用甲狀腺素替代治療後,血壓明顯下降,高血壓的原因推測與下列因素有關:
(1)高脂血症促進動脈硬化導致高血壓形成。
(2)基礎代謝率降低,有效循環血量不足,外周血管代償性收縮。
4.心肌病變及心力衰竭 甲減時,甲狀腺激素不足,心肌許多酶活性受抑制,另有人發現,甲減時心肌肌漿網功能和肌漿球蛋白三磷腺苷活性降低,導致心肌變力,變速作用減弱,心肌對兒茶酚胺敏感性降低或心肌兒茶酚胺受體減少,致使心肌發生非特異性心肌病變,心臟擴大呈球狀,促使甲減性心臟病的發生。
5.心律失常 甲減時心肌對腎上腺素和去甲腎上腺素的敏感性下降,加之組織耗氧量減少及代謝率降低,心動過緩多見,其次為房室傳導阻滯,另外,甲減可引起Q-T 間期延長,嚴重者出現室性心律失常,如扭轉型室速,反覆發作的心房顫動,甲減糾正後,Q-T 間期可恢復正常。
診斷檢查
老年甲減性心臟病病理圖1.符合甲狀腺功能減退的診斷標準。
2.心臟增大,心包積液、心力衰竭的表現和心電圖異常。
3.除外其他原因的心臟病。
4.經甲狀腺激素替代治療後明顯好轉甚至恢復。
由於老年人甲減起病緩慢表現不典型,許多症狀往往歸之於老年性改變而不加重視,心血管系統的改變又酷似心臟病、冠心病或高心病,故甚易誤診。因此對老年人尤其是女性,伴有原因不明的心臟擴大,心包積液及心電圖表現為QRS低電壓而心率不快者,均應考慮有甲減性心臟病的可能,需做相應檢查。
實驗室檢查:
1.一般檢查:常有輕中度正常細胞型和正色素性貧血,少數也可見小細胞低色素和大細胞性貧血,但血色素很少<100g/L,導致貧血的常見原因可能與鐵、葉酸和維生素B12 缺乏有關,另外甲狀腺素可一定程度刺激骨髓造血,甲狀腺素的缺乏將使骨髓造血功能處於相對抑制狀態。三醯甘油增高,HDL 增高。
2.甲狀腺功能檢查
(1)基礎代謝率測定,常低於-20%,約80%的患者基礎代謝率在-20%~+40%,下降程度往往與病情嚴重程度成比例,治療獲得效果後,基礎代謝率上升至正常範圍。
(2)甲狀腺攝131I 率:甲減病人甲狀腺很少有放射性碘的沉集,攝131I 率低於正常,呈低平曲線,而尿中131I 排泄量增大。
(3)TSH 測定;由於甲狀腺激素減少,對垂體TSH 反饋抑制作用減低,於是TSH 分泌增加,其增加程度反映血中甲狀腺素下降程度,是診斷甲減最敏感的指標。用放射免疫測定TSH,正常人多<10μU/ml,若TSH 正常,則基本可排除甲減,輕度甲減(亞臨床性甲減或稱代償性甲減:TSH 增高,T3 和T4 正常,無甲減的臨床表現TSH 在5~15μU/ml,臨床甲減TSH 多>20μU/ml,此外,TSH 測定對鑑別原發性甲減和繼發性甲減也具重要價值,原發性甲減TSH 增高,而繼發性甲減TSH 降低或正常。
(4)T3和T4 測定:包括TT4、TT3、FT4、FT3的測定TT4可通過放射免疫測定,它包括結合和游離T4 兩部分,是甲狀腺素的直接測定。甲減時TT4 常<3μg/dl,早於TT3 的下降,TT3 測定對甲減診斷價值不大,約30%的臨床甲減患者TT3 正常,僅在後期和病重者,TT3 降低<100μg/dl。反T3 常明顯降低,正常值為(47±10)μg/dl,本病由於T4、T3 分泌量均不足,同時T4 轉化為T3 傾向增多以代償甲減,以致反T3 下降,常<20μg/dl;FT4能直接反應甲狀腺功能;是診斷甲減最可靠指標,診斷符合率達100%,FT3 對甲減的診斷價值低於FT3 對甲減診斷敏感性的順序為:TSH≥FT4>TT4>FT3>TT3。
3.TRH 興奮試驗 主要用於鑑別繼發性抑或原發性甲減,靜脈注射TRH 200~500μg 後,正常情況下TSH 很快上升5~25μU/ml,30min 達高峰,120min 時恢復正常。如TSH 呈延遲增高反應,提示病變可能在下丘腦水平,如無增高反應,病變可能在垂體,如TSH 原來較高,TRH 刺激後更高,則提示為原發性甲減。
4.甲狀腺自身抗體測定 自身免疫性甲狀腺炎患者血清TGAb、TPOAb 及TBAB等陽性,TGAb、TPOAb 陽性率50%~90%,TBAb 陽性率20%~30%。
其他輔助檢查:
1.甲狀腺B 超 一般來說,對甲減其臨床價值有限,可以發現甲狀腺血流減少。
2.超聲心動圖 可顯示心包積液,左心室舒張和收縮功能降低,和非對稱性室間隔肥厚。
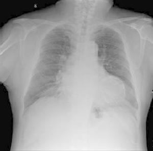
3.X 線檢查 見心影普遍增大,透視可見心臟搏動幅度減小,或有心包積液徵象。
4.甲狀腺核素檢查:對有甲狀腺腫大的甲減觀察甲狀腺核素的分布有一定的臨床價值。例如,在橋本甲狀腺炎甲狀腺核素攝取分布不均勻。此外心電圖呈竇性心動過緩,低電壓,T 波低平或倒置,P-R 間期或QRS 時限有時延長,有時有房室傳導阻滯。
鑑別診斷
老年甲減性心臟病X線檢查2.甲減病因的鑑別 即區別原發性、中樞性和周圍性甲減。
3.甲減與亞臨床甲減的鑑別 主要根據FT3、FT4 和TSH 檢查結果確定。
4.甲減常見症狀的鑑別 主要包括水腫、貧血、高血壓、漿膜腔積液和肝功能異常等。
5.與其他系統疾病鑑別 如青春期延遲、垂體性侏儒、腎病綜合徵、冠心病和垂體瘤等。
本症見於各年齡組人群,以成年人為多見,但老年人的相對發病率高於年輕組,文獻報導年齡>65 歲的老年人中,臨床甲減的患病率為1%~5%,另有5%~15%的人群伴亞臨床性甲減,其患病率隨年齡增長而增高,住院病人中患病率更高,女性患病率明顯高於男性,約為5∶1。國外統計,明顯的甲減症在>65 歲年齡組中發病率為2%~5%,女性多於男性,而輕症或亞臨床型甲減在>65 歲年齡組中占5%~14%,可見本症在老年人中並非少見,加之起病多較緩慢,臨床症狀又不典型,易導致漏診或誤診,應提高警惕。
治療方案
老年甲減性心臟病總論(1)甲狀腺素替代治療:目的是糾正甲狀腺功能減退,改善心肌代謝障礙,使心臟病變得以恢復,永久性甲減者需終身替代治療。甲狀腺激素製劑有乾燥甲狀腺粉(片)、左甲狀腺素(L-T4)、左鏇三碘甲腺原氨酸(L-T3)。常用的是乾燥甲狀腺粉(片),源於家畜甲狀腺,其劑量標準是測定碘含量來確定,不能真實反映T4 及T3 的含量,故其T4 及T3 的含量差異較大,但其中主要以T4 為主;已有進口左甲狀腺素(人工合成)供應,作用溫和持久,是甲減替代治療最理想的製劑人工合成的L-T3,作用強,持續時間較短,因副作用較大故較少套用。
(2)甲狀腺粉(片):為最常用的製劑,宜從小劑量開始,以免增加心臟負擔。每晨15~30mg,以後每2~3 周緩慢遞增15~30mg/d,直至奏效,通常劑量為90~120mg/d。一般先有利尿、消腫,其次胃寒、乏力和厭食等症狀改善或消失。如在治療過程中出現心動過速、心律不齊、心絞痛、多汗和興奮等現象,宜減量或暫停,待上述症狀消失後,再行調節。甲狀腺粉(片)的缺點是效價不穩定,腸道內吸收多少不一,作用發揮緩慢,優點是價廉易得,容易保存。
(3)左甲狀腺素:劑型為50μg 和100μg 2 種劑型,開始作用時間約4 天,持續時間約10 天。開始劑量為20~25μg,7~14 天后增加25~50μg,其後每4 周增加25~50μg,臨床症狀緩解後維持其劑量長期套用。維持劑量一般為每天100~200μg,,特別是作用長而穩定,尤適合於慢性病。
2.心血管病變的治療
(1)心絞痛:可用硝酸甘油及其長效製劑對症治療。老年病人中有嚴重心絞痛而甲減又未糾正,是治療上的難題。因為用甲狀腺素替代療法可加重心絞痛,而治療心絞痛常用的β-受體阻滯藥又可引起嚴重的竇性心動過緩。這些病人冠狀動脈造影常可發現嚴重病變,現可用經皮冠狀動脈腔內成形術(PTCA)或在小劑量甲狀腺素治療下作冠狀動脈搭橋術,術後可用足量的甲狀腺素替代治療,而無再發心絞痛之慮。
(2)心力衰竭:可在套用甲狀腺素替代治療的同時加用洋地黃製劑。洋地黃在體內半衰期延長,加之心肌纖維黏液水腫,對洋地黃的反應改變,故往往療效不佳又易中毒,需小量慎用。
(3)心包積液:因臨床症狀不多明顯,極少發生心包填塞症狀,且用甲狀腺素替代治療後大多數能吸收消退,故一般不需穿刺抽液。對填塞症狀明顯,或甲狀腺功能已改善而心包積液仍多者,可行心包穿刺抽液或做心包切開引流術。
(4)高血壓:開始治療階段慎用降壓藥,據報導單用甲狀腺素治療可使1/3病人血壓恢復正常。在甲狀腺功能恢復正常後血壓仍高者,才考慮使用降壓藥治療。
3.擇優方案
(1)口服左甲狀腺素片(具體用法見常規治療)。
(2) 山莨菪鹼(654-2)10~30mg 加入葡萄糖或生理鹽水250ml 中,1 次/d,靜點。
4.康復治療
(1)向病人進行預防宣教,消除患者的緊張心理,增強病人戰勝疾病的信心,本病一旦確診,正確治療,預後良好。
(2)飲食宜進食海帶、紫菜等含碘量高及銀耳、香菇、蛋類、羊肉、牛奶等高熱量食品。
(3)視病人體質適當做運動,運動量以運動後不產生無力、疲乏、心悸感為宜,不適合做劇烈運動。
預後預防
老年甲減性心臟病病發分析老年甲減性心臟病直接影響甲狀腺激素套用,對預後不利。老年患者晚期除有甲減表現外,還有低體溫,昏迷甚至休克,病死率可達50%。
預防:
1.一級預防 通過對各種病因的預防從而避免甲減的發生,其中包括預防橋本甲狀腺炎,避免缺碘或碘過多,Graves 病的適量放射性碘治療,避免抗甲狀腺藥物過量,及其他可致甲減的藥物如對氨基水楊酸、保泰松、過氨酸鉀、鈷、鋰及胺碘酮的長期過量套用。近年來,胺碘酮治療老年人心律失常頗為常見,胺碘酮對甲狀腺功能有3 方面作用:第一,是通過與細胞核內甲狀腺受體結合以對抗甲狀腺素作用;第二,是抑制外周T4 轉化為T3,故長期用藥可致血清T3 水平下降和一過性TSH 升高;第三,是該藥含碘35%(按重量算),在體內代謝時產生大量的無機碘,導致甲狀腺有機碘化作用的抑制。服用該藥的病人,可能發生甲減,故對長期服用胺碘酮的老年病人,應定期複查甲狀腺功能。
2.二級預防 即早發現,診斷患病老人,定期(半年至1 年)體檢十分重要,尤其對接受放射性碘治療及服用抗甲狀腺藥物或服用對氨基水楊酸、保泰松、過氨酸鉀、胺碘酮的高危老人,應定期行甲狀腺功能測定(3 個月至半年)。
3.三級預防 對於診斷明確的老人,應予以甲狀腺素替代治療,以減少病殘率及甲減性昏迷,心臟併發症發生率。老年性甲減患者,如病程較長,則心臟表現甚為突出,發生率達70%~80%,除竇性心動過緩外,尚有心臟擴大,心包積液,心音遙遠,血壓增高,並發動脈粥樣硬化等,往往酷似高血壓、冠心病或心肌病,極易誤診,而導致治療不及時,有時危及生命,而一旦確診和及時治療,預後良好。
