病因
麻痹性腸梗阻的發生常與下情況有關:
1.腹部手術中的機械性刺激
病人在手術時,因腸管及其系膜受牽拉刺激後蠕動功能暫時喪失,或腸壁有不協調的蠕動存在。
2.腹腔內的炎症刺激
各種原因所致的腹膜炎尤其是瀰漫性腹膜炎,常發生腸麻痹乃至腹膨脹。
3.神經反射性刺激
各種絞窄痛,如腎絞痛、膽絞痛、網膜扭轉發生的絞痛、卵巢囊腫蒂扭轉及精索絞窄後,均可發生反射性腸麻痹。
4.胸腹部或脊柱中樞神經的損傷均可導致腸腔積氣、積液和腹脹。
5.腹膜後的病變
如感染出血腫瘤等也可引起不同程度的腸麻痹。
6.腸系膜病變
如腸系膜血管阻塞、腫瘤、扭轉等均可因神經衝動傳導到腸壁受阻而出現腸麻痹。
7.其他
如長期的乙醚麻醉、過度伸展的石膏背心固定,以及腹外其他部位的感染,如肺炎、腦膜炎或各種敗血症等偶爾也可引起反射性腸麻痹。
臨床表現
麻痹性腸梗阻的突出表現為全腹的明顯腹脹,且常伴有嘔吐胃內容物,嘔吐物中無糞味。病人不能坐起,感覺呼吸困難。因體液大量丟失,感極度口渴、尿量減少。體檢:腹部膨隆,腹式呼吸消失,見不到腸型及腸蠕動波;腹部壓痛多不顯著;叩診呈均勻鼓音,肝濁音界縮小或消失;聽診時腸鳴音明顯減弱或完全消失。病人一般情況常較嚴重,但無特殊的痛苦。
檢查
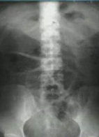
1.X線檢查
(1)腹部平片 ①胃、小腸和結腸有充氣呈輕度至重度擴張。小腸充氣可輕可重,結腸充氣多數較顯著,常表現為腹周全結腸框充氣。②腹部立位平片:擴張的胃和小腸、結腸內出現寬窄不一的液平面。③結腸糞便不論是顆粒糊狀或是糞便塊狀糞團,是確認結腸的可靠徵象。④急性腹膜炎者常於腹平片中出現腹腔積液征,嚴重者還可出現腹脂線模糊。⑤腸壁因水腫、充血而增厚甚至出現橫膈動作受限,肋膈角變鈍等胸腔積液徵象。
(2)胃腸造影 當麻痹性腸梗阻較輕時,在服藥3~6小時後複查,碘劑多可進入結腸,而排除小腸機械性腸梗阻。麻痹性腸梗阻較嚴重時,造影劑也可下行極為緩慢,在服藥3~6小時後仍停留胃和十二指腸、上段空腸內。
2.CT掃描
影像可見胃、小腸結腸均有充氣擴張,以結腸改變較為明顯,可見液平面,與機械性腸梗阻比較,動力性腸梗阻腸腔擴張廣泛但程度較輕。
診斷
根據病人病史、臨床表現,結合X線、CT等檢查診斷即可明確。立位X線平片檢查時,往往全部腸襻有充氣擴張現象,並可見腸腔內有多個液平面。但也有少數病例只有個別腸襻發生局限性的腸麻痹。
鑑別診斷
本病宜與機械性腸梗阻相鑑別。後者常與腸腔堵塞、小腸先天性畸形和腸外壓迫等疾病有關,臨床表現以陣發性腹絞痛為主要表現,聽診腸鳴音亢進;而麻痹性腸梗阻多為持續性脹痛,無絞痛發作,腸鳴音減弱或消失。X線檢查,機械性腸梗阻時充氣腸襯大小不一;麻痹性腸梗阻則可見胃腸道普通脹氣,小腸充氣腸襻大小較為一致。
治療
1.原發病因的處理
針對麻痹性腸梗阻的致病原因進行相應的處理,如腹部手術後或腹膜炎等所致的腸麻痹給予胃腸減壓後,可使病情好轉;腎絞痛者給予解痙止痛和腎囊周圍封閉,可使腸麻痹減輕;卵巢囊腫蒂扭轉等病因消除後,腸麻痹都能自行痊癒等。
2.非手術療法
是麻痹性腸梗阻的主要治療手段。
(1)藥物治療 套用各種副交感神經興奮劑,如毒扁豆鹼、新斯的明、垂體素等,對預防和治療麻痹性腸梗阻有一定療效。
(2)胃腸減壓 經鼻插入十二指腸管,並給予連續抽吸減壓,並維持到肛門能自動排氣、腸蠕動音正常為止。至腹脹消退時,還可自導管注入30ml蓖麻油至腸腔中,若能引起強烈的腸蠕動,肛門有大便自動排氣,則表示腸麻痹已經解除,胃腸減壓導管即可拔除。
(3)脊髓麻醉或腰交感神經阻滯的套用 抑制內臟交感神經而治療麻痹性腸梗阻大多可取得一定療效,但這種內臟神經的抑制是暫時性的,無持久的療效。
(4)其他可刺激腸蠕動的方法 10%高滲鹽水溶液75~100ml靜脈滴注或10%的高滲鹽水300ml保留灌腸,均有刺激腸蠕動的作用。口服熱水對刺激腸蠕動有一定的作用。腹壁的冷敷也能引起較強烈的腸蠕動。
3.手術療法
麻痹性腸梗阻病人一般進行非手術治療大多都可獲得痊癒。但在經胃腸減壓等非手術療法失敗,或不能排除機械性或絞窄性腸梗阻的情況下,偶爾可以考慮行腸減壓造瘺術。

