疾病概述
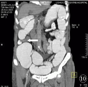
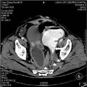
粘連性腸梗阻是腹部手術、炎症、創傷後所形成的廣泛性腸粘連,粘連帶引起的腸管急性梗阻,是腸梗阻中最常見的一種類型。大多數患者有腹部手術、炎症,創傷或結核病史,發作前有暴飲暴食或劇烈運動誘因;以往常有腹痛或曾有因腸粘連就診病史。少數為腹內先天性索帶者多見於兒童。症狀主要有陣發性腹絞痛與反覆嘔吐、吐物為黃綠色液體,甚至為糞汁樣,摸到腸型及聽到高亢腸鳴音。治療粘連性腸梗阻重要的是要區別是單純性還是絞窄性,是完全性還是不完全性。粘連性腸梗阻如經非手術治療不見好轉甚至病情加重,或懷疑為較窄性腸梗阻,特別是閉袢性梗阻,手術須及早進行,以免發生腸壞死。對反覆頻繁發作的粘連性腸梗阻也應考慮手術治療。粘連性腸梗阻是腸粘連或腹腔內粘連帶壓迫所致的腸梗阻,較常見。占各類梗阻的19~20%。
簡介

.
粘連性腸梗阻(AdhesiveIntestinalObstruction)是指由於各種原因引起腹腔內腸粘連導致腸內容物在腸道中不能順利通過和運行。當腸內容物通過受阻時,則可產生腹脹、腹痛、噁心嘔吐及排便障礙等一系列症狀。其屬於機械性腸梗阻範疇,按起病急緩可分為急性腸梗阻和慢性腸梗阻;
按梗阻程度可分為完全性腸梗阻和不完全性腸梗阻;按梗阻部位可分為高位小腸梗阻、低位小腸梗阻和結腸梗阻;按腸管血供情況分為單純性腸梗阻和絞窄性腸梗阻。該病部分可經非手術治療獲得症狀消退,但大多數反覆發作或保守治療無效,仍需要接受手術治療。
疾病描述
粘連性腸梗阻是腸粘連或腹腔內粘連帶所致的腸梗阻,較為常見,其發生率占各類腸梗阻的20%一40%。
流行病學
粘連性腸梗阻絕大多數為小腸梗阻。既往的調查統計顯示發病率約為腸梗阻的40%左右,其中的70%~80%有腹部手術史。粘連性腸梗阻多表現為單純性腸梗阻,少數也轉化成絞窄性腸梗阻,甚至以後者為首要表現。
臨床表現
粘連性腸梗阻最主要的臨床表現即是機械性腸梗阻的症狀:腹痛、嘔吐、腹脹、停止排氣排便。
(1)腹痛:腸梗阻時,因腸蠕動增強,常有陣發性腹絞痛。腹痛發作時病人常自感腹內有氣體竄行,可見到或捫到腸型,聽到高亢腸鳴音;如果是不完全腸梗阻,當氣體通過梗阻後,疼痛驟然減輕或消失;如腸系膜過度受牽拉,疼痛為持續性並陣發性加重;到病程晚期由於梗阻以上腸管過度擴張、收縮乏力,疼痛的程度和頻率都減輕;當出現腸麻痹後,腹痛轉變為持續性腹脹。
(2)嘔吐:嘔吐的頻度、嘔吐量及嘔吐物性狀隨梗阻部位的高低而有所不同。高位小腸梗阻嘔吐出現較早、較頻繁,嘔吐量較多;低位小腸梗阻及結腸梗阻時,嘔吐出現較晚,次數也較少,嘔吐量較少,嘔吐物常具有糞臭味。
(3)腹脹:梗阻時因腸管擴張而引起腹脹。腹脹程度因梗阻是否完全及梗阻部位而異。梗阻越完全,部位越低,腹脹越明顯;有時梗阻雖完全,但由於腸管貯存功能喪失,嘔吐早而頻繁,亦可不出現腹脹;若不注意這一情況,可導致漏診、誤診。如果梗阻腸管形成閉袢,常表現出不對稱性腹部膨脹,有時可在該處捫到擴張的腸管。
(4)停止排氣排便:腸梗阻因為腸內容物運送受阻,不能排出體外,故肛門停止排氣排便。但必須注意,梗阻部位遠端的腸內容物仍可由蠕動下送。因此,即使完全梗阻,在這些內容物排淨之前,患者可繼續有排氣排便,只是在排淨之後才不再有排氣排便。當然,在不完全性梗阻,排氣排便現象不會完全消失。此外,腸梗阻的臨床症狀還有水、電解質和酸鹼平衡紊亂,遇有絞窄性梗阻、腸壞死,可出現休克、腹膜炎和胃腸出血等表現。
疾病症狀
1.暴飲暴食後近端腸內容物驟然增多,不能順利通過已狹窄的腸腔,形成相對的梗阻。
2.粘連部位發生炎症或粘連水腫,以及食物殘渣,異物的堵塞,都能導致腸腔狹窄。
症狀主要有陣發性腹絞痛與反覆嘔吐、吐物為黃綠色液體,甚至為糞汁樣,摸到腸型及聽到高亢腸鳴音。
症狀體徵
急性粘連性腸梗阻主要是小腸機械性腸梗阻的表現,病人多有腹腔手術、創傷或感染的病史,以往有慢性腸梗阻症狀和多次急性發作者多為廣泛粘連引起的梗阻;長期無症狀,突然出現急性梗阻症狀,腹痛較重,出現腹部局部壓痛,甚至腹肌緊張者,即應考慮是粘連帶等引起的絞窄性腸梗阻。 手術後近期發生的粘連性腸梗阻應與手術後腸麻痹恢復期的腸蠕動功能失調相鑑別,後者多發生在手術後3—4日,當自肛門排氣排便後,症狀便自行消失。
疾病病因
腸粘連和腹腔內粘連帶形成可分先天性和後天
粘連性腸梗阻病理生理
腸粘連必須在一定條件下才會引起腸梗阻。常見的如因腸袢間緊密粘連成團或固定於腹壁,使腸腔變窄或影響了腸管的蠕動和擴張;腸管因粘連牽扯扭折成銳角;粘連帶壓迫腸管;腸袢套入粘連帶構成的環孔;或因腸袢以粘連處為支點發生扭轉等。在上述病變基礎上,腸道功能紊亂、暴飲暴食、突然改變體位等,往往是引起梗阻的誘因。廣泛粘連所引起的腸梗阻多為單純性和不完全性,而局限性粘連帶往往容易引起腸扭轉、內疝等閉袢性絞窄性腸梗阻。
檢查

粘連性腸梗阻
急性粘連性腸梗阻主要是小腸機械性腸梗阻的表現,
病人多有腹腔手術、創傷或感染的病史,以往有慢性腸梗阻症狀和多次急性發作者多為廣泛粘連引起的梗阻;長期無症狀,突然出現急性梗阻症狀,腹痛較重,出現腹部局部壓痛,甚至腹肌緊張者,即應考慮是粘連帶等引起的絞窄性腸梗阻。 手術後近期發生的粘連性腸梗阻應與手術後腸麻痹恢復期的腸蠕動功能失調相鑑別,後者多發生在手術後3—4日,當自肛門排氣排便後,症狀便自行消失。治療
治療粘連性腸梗阻重要的是要區別是單純性還是絞窄性,是完全性還是不完全性。因為手術治療並不能消除粘連,相反地,術後必然還要形成新的粘連,所以對單純性腸梗阻,不完全性梗阻。特別是廣泛性粘連者,一般選用非手術治療。中藥治療可用複方大承氣湯,症狀體徵輕者用生植物油或理氣寬腸湯。也可配合針刺足三里。如手術後早期發生的粘連性腸梗阻,多為單純性腸梗阻,而且這種新形成的粘連,日後可部分或全部吸收,非手術治療效果常較滿意。粘連性腸梗阻如經非手術治療不見好轉甚至病情加重,或懷疑為較窄性腸梗阻,特別是閉袢性梗阻,手術須及早進行,以免發生腸壞死。對反覆頻繁發作的粘連性腸梗阻也應考慮手術治療。
治療方案
治療粘連性腸梗阻重要的是要區別是單純性還是絞窄性,
粘連性腸梗阻非手術治療
非手術治療適用於單純性粘連性腸梗阻的患者,其核心內容就是儘量減少腸內容物量、減輕腸腔壓力、消除腸道水腫、維持內穩態,改善患者的營養狀況。如果決定對腸梗阻行非手術治療,則一定要將每項治療措施落實到位,不能流於形式:胃腸減壓不是簡單地在病人的胃內置一根引流管,這樣達不到腸道減壓的目的,必須將減壓管的尖端放到梗阻近端,使腸管保持空虛,梗阻才容易緩解。
為減少腸內容物導致的腸膨脹,除禁食、胃腸減壓外,還應該使用足量的生長抑素或其類似物最大限度地減少消化液分泌和丟失。腸壁水腫也是造成腸梗阻難以緩解的重要原因之一,通過利尿、脫水等方式提高血漿膠體滲透壓有助於緩解腸壁水腫,擴大腸管內徑,改善腸黏膜氧供,必要時還可加用糖皮質激素。除非梗阻腸袢內細菌過度生長產生盲袢綜合徵時可短期套用抗生素,此類腸梗阻一般不需套用抗生素。營養支持通過改善營養狀況提高血漿膠體滲透壓,並能夠為機體提供所需的營養物質,維持正常的生理需要,是腸梗阻病人必需的選擇。
近年來,水溶性造影劑在腸梗阻非手術治療中的作用受到重視。水溶性造影劑能加速不全性小腸梗阻和麻痹性腸梗阻的緩解,縮短病人的預期住院日。
保健貼士
1、呼吸運動、腹肌鍛鍊、腹部按摩、下肢活動有利於預防粘連的形成,改善消化功能。
2、對粘連性腸梗阻在緩解期應注意飲食,勿進食較硬的食物,飲食以稀軟食為主。
3、對蛔蟲性腸梗阻緩解後應行驅蟲治療,除藥物驅蟲外,還可用氧氣療法驅除腸道蛔蟲。
4、飽食後勿作劇烈運動,以防止腸扭轉的發生。
疾病預防
粘連性腸梗阻重在預防,預防措施包括減少組織缺血、保護腸管,減輕損傷,手術結束時用大量生理鹽水沖洗腹腔,去除異物、血塊和其他污染物等。筆者認為,單純性粘連性腸梗阻可先行非手術療法,梗阻發作後如早期治療,病情多可緩解。治療期間應密切觀察病人的症狀和體徵變化,如治療期間症狀逐漸加重,應進行手術探查。以往常認為粘連性腸梗阻不宜手術,認為術後仍有粘連,仍可發生腸梗阻,其實是將粘連和梗阻混為一談。對於反覆發作、影響正常生活和工作的腸梗阻,必定有器質性的問題存在,應進行手術治療,不要等到腸管絞窄才決定手術。腸管間的粘連可能簡單到只有一條索帶,也可能是全腹腔廣泛緻密的粘連,因此,在手術前應進行必要的包括病人內穩態的調整和手術組技術和物質條件等各方面的準備。

