功用主治
本品為磺胺類抗菌藥,抗菌譜與磺胺嘧啶相似,對非產酶金黃色葡萄球菌、化膿性鏈球菌、肺炎鏈球菌、大腸埃希菌、克雷伯菌屬、沙門菌屬、志賀菌屬等腸桿菌科細菌、淋病奈瑟菌、腦膜炎奈瑟菌、流感嗜血桿菌具有抗菌作用。但近年來細菌對本品的耐藥性增高,尤其是鏈球菌屬、奈瑟菌屬以及腸桿菌科細菌。磺胺類藥物為廣譜抑菌劑,在結構上類似對氨基苯甲酸(PABA),可與PABA競爭性作用於細菌體內的二氫葉酸合成酶,從而阻止PABA作為原料合成細菌所需的葉酸,減少具有代謝活性的四氫葉酸的量,而後者則是細菌合成嘌呤、胸腺嘧啶核苷和脫氧核糖核酸(DNA)的必需物質,因此抑制了細菌的生長繁殖。
敏感菌引起的下列感染,當患者不能口服時,如急性單純性下尿路感染、急性中耳炎和皮膚軟組織感染。
用法用量
成人常用量一次0.5~1g,一日2次。臨用前,用滅菌注射用水或生理鹽水將藥液稀釋成5%的溶液後緩慢靜脈注射;靜脈滴注濃度約為1%。磺胺血濃度不應超過200μg/ml,超過此濃度,不良反應發生率增高,毒性增強。
注意事項
對磺胺類藥物過敏者禁用。由於本品阻止葉酸的代謝,加重巨幼紅細胞性貧血患者葉酸鹽的缺乏,所以該病患者禁用本品。孕婦及哺乳期婦女禁用本品。小於2個月的嬰兒禁用本品。重度肝腎功能損害者禁用本品。1.交叉過敏反應。對一種磺胺藥呈現過敏的患者對其他磺胺藥也可能過敏。
造成結晶尿的尿酸鹽結晶3.腎臟損害。可發生結晶尿、血尿和管型尿,故套用本品期間應多飲水,保持高尿流量,如果套用本品療程長,劑量大時,除多飲水外宜同服碳酸氫鈉,以防止此不良反應。失水、休克和老年患者套用本品易致腎損害,應慎用或避免套用本品。腎功能減退患者不宜套用本品。
4.對呋塞米、碸類、噻嗪類利尿藥、磺脲類、碳酸酐酶抑制藥呈現過敏的患者,對磺胺藥亦可過敏。
5.下列情況應慎用缺乏G-6PD、血卟啉症患者。
6.治療中須注意檢查
(1)全血象檢查,對接受較長療程的患者尤為重要。
(2)治療中定期尿液檢查(每2~3日查尿常規一次)以發現長療程或高劑量治療時可能發生的結晶尿。
(3)肝、腎功能檢查。
孕婦及哺乳期婦女用藥
1.本品可穿過血胎盤屏障至胎兒體內,動物實驗發現有致畸作用。人類研究缺乏充足資料,孕婦宜避免套用。2.磺胺藥可自乳汁中分泌,乳汁中濃度可達母體血藥濃度的50%~100%,藥物可能對乳兒產生影響。本品在G-6PD缺乏的新生兒中的套用有導致溶血性貧血發生的可能。鑒於上述原因,哺乳期婦女不宜套用本品。
兒童用藥
由於磺胺藥可與膽紅素競爭在血漿蛋白上的結合部位,而新生兒的乙醯轉移酶系統未發育完善,磺胺游離血濃度增高,以致增加了核黃疸發生的危險性,因此該類藥物在新生兒及2個月以下嬰兒的套用屬禁忌;由於兒童處於生長發育期,肝腎功能還不完善,用藥量應酌減。
老年患者用藥
老年患者套用磺胺藥發生嚴重不良反應的機會增加。如嚴重皮疹、骨髓抑制和血小板減少等是老年人嚴重不良反應中常見者。因此老年患者宜避免套用,確有指征時需權衡利弊後決定。
治療案例--急性中耳炎
疾病成因
耳部結構圖
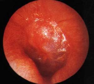
中耳炎內鏡顯示急性中耳炎症狀
急性中耳炎造成化膿急性化膿性中耳炎的主要症狀和檢查在鼓膜穿孔前、後迥然不同,表現在以下幾方面:
(1)全身症狀:在鼓膜穿孔前,全身發熱、惡寒、乏力等症狀較明顯。小兒多伴有嘔吐、腹瀉等急性胃腸炎症狀。鼓膜穿孔前耳深部銳痛或刺痛,疼痛可放射至同側額部、顳部、牙齒,此因鼓膜上的三叉神經分支(耳顳神經的外耳道支)反射之故。在嬰幼兒常哭鬧不安、拒食。當鼓膜自發穿孔或通過切開等處理使膿液排出後,疼痛驟減,全身症狀亦隨之改善。
(2)耳聾及耳鳴:始感耳悶,繼則聽力漸降,伴耳鳴。穿孔後耳聾反而減輕。有時可伴眩暈。
中耳炎產生的膿液(4)耳鏡檢查:初始鼓膜鬆弛部充血,錘骨柄及緊張部周邊可見放射狀擴張血管;繼之鼓膜呈瀰漫性充血,伴腫脹,向外膨隆如乳頭狀,其中心有黃點。鼓膜穿孔之初,由於穿孔小,清除膿液後鼓膜穿孔處可見閃爍搏動點,或見該處有膿液流出。
(5)聽力檢查:顯示傳音性耳聾。穿孔後聽力有所好轉。
(6)觸診檢查:因乳突骨膜的炎性反應,乳突尖處可能有壓痛。鼓膜穿孔後漸漸消失。
急性中耳炎治療
中耳炎鼓膜充血膨脹急性化膿性中耳炎的治療原則為控制感染,通暢引流及病因治療。
(1)全身治療:①早期正確而足量地套用抗生素或磺胺類藥物控制感染,直到症狀消退後5~7日停藥,務必徹底治癒,以防轉為慢性。臨床上多用青黴素、複方新諾明、磺胺二甲異嘧啶或頭孢菌素類藥物等。鼓膜穿孔後取膿液作細菌培養及藥敏試驗,可根據其結果用藥。②鼓膜穿孔前用1%的麻黃素液滴鼻,可減輕咽鼓管咽口腫脹,以利引流。③同時要注意休息,調節飲食,保持大便通暢。
中耳炎抽出的黏液(2)局部治療:鼓膜穿孔前:
①用1%~2%酚甘油滴耳可殺菌消腫止痛,每日3次,但鼓膜穿孔後應立即停藥。②如全身及局部症狀較重,鼓膜膨出明顯,經一般治療無效,或鼓膜穿孔太小,引流不暢,或有出現併發症的可能性,可進行鼓膜切開術,以利通暢引流。鼓膜穿孔後:①先以3%的雙氧水或硼酸水儘量徹底清洗外耳道的膿液,用棉簽拭淨。②局部滴用抗生素水溶液為主,如0.25%~1%氯黴素液,0.3%氧氟沙星滴耳液,複方利福平液,磺胺二甲異嘧啶等。③膿液減少,炎症逐漸消退時,可用0.3%硼酸甘油、0.3%硼酸酒精、0.5%氯黴素甘油等滴耳。④炎症完全消退,穿孔多可自行癒合。若流膿已停止而鼓膜穿孔長期不癒合,可作鼓膜修補術。
(3)病因治療:積極治療鼻部及咽部慢性疾病,如腺樣體肥大、慢性鼻竇炎、慢性扁桃體炎等。
