概述
單純皰疹病毒英文名:herpessimplexviralinfectionofnewborn
新生兒單純皰疹病毒感染的發病率和死亡率都很高,發病率估計為活產嬰兒的1/3000~1/20000,80%的病例為單純皰疹病毒Ⅱ型,20%的病例為單純皰疹病毒Ⅰ型,單純皰疹病毒Ⅱ型通常是新生兒在出生過程中通過已感染的母親產道時受到傳播,15%的病例通過胎盤傳播,以及通過醫院工作人員或家庭引起的在新生兒之間的醫院內傳播。單純皰疹病毒感染的新生兒母親一般在分娩時無生殖器感染的病史或症狀。
病因
嬰兒可在妊娠期、分娩時及產後被感染,早期感染可致自然流產,或引起發育障礙、先天畸形;中期感染可致死產;產時感染為胎兒經產道時,頭皮、眼、皮膚、臍帶和呼吸道直接接觸而被感染;生後感染為接觸病毒攜帶者所致。
臨床表現
皮膚表面單純皰疹病毒播散性疾病和內臟器官受累的新生兒有肝炎,肺炎和/或瀰漫性血管內凝血,伴或不伴腦炎或皮膚病變。局限性病變的新生兒可再分成二組,第一組為腦病,表現為神經系統體徵,腦脊液、淋巴細胞增多和蛋白質含量增高,伴或不伴皮膚,眼睛和口腔病變;第二組僅有皮膚,眼睛和口腔的病變,無中樞神經系統和其他器官病變的證據。
1、臨床表現與診斷臨床表現可分為三種類型:①全身播散型:主為內臟受侵,表現為肝炎(血清轉氨酶升高或/和黃疸、肝脾腫大)。肺炎(呼吸困難、紫紺)、彌散性血管內凝血(紫癜、血小板減少、血尿、血便)、心包炎、循環衰竭以及全身中毒症狀(精神萎靡、吸乳差、嘔吐、腹瀉、驚厥、昏迷)等。此型可同時合併皰疹性腦炎,亦可不合併。皮膚、黏膜皰前也同樣可有可無;②中樞神經系統感染型:常表現為腦膜腦炎(昏迷、抽搐、病理反射、視神經乳頭水腫、囟門隆起等,腦脊液常呈病毒性感染之改變)。此型可合併皮膚、黏膜皰疹,亦可不合併;③單純皰疹型:僅於皮膚、眼睛或口腔等處出現單純皰疹。皰疹部位有時與分娩時先露部位有關,頭位分娩者常在頭部,臀位分娩者常在臀部及肛周。病變與成人同,偶可變成膿皰及大皰。皮疹可迅速剝脫而造成診斷困難。
三型中以①②型較為常見,兩型可占總數的3/4以上。病死率分另為80%及30%。倖存者也常有遺有嚴重的中樞神經系統損害和眼睛損害(較少)。
母親產道有皰疹或單純皰疹病毒陽性者診斷較易。發病後皮膚、黏膜伴有典型皰疹病變者診斷也不太困難。但確診還必須病毒學和血清學證明。對於沒有皮疹的患者或皮疹非常不典型的患者則主要靠病毒學與血清學的材料。如果病毒分離陽性或/和新生兒血液中出現特異性IgM抗體,或一般抗HSV抗體在病程中有4倍以上的升高均可協助診斷。
HSV的中樞神經系統感染單獨出現時診斷比較困難。既往多採取顳葉腦組織進行病毒分離或檢測特異性抗原、腦脊液分離病毒或檢測特異性抗原雖亦可確診,但陽性率太低,可能由於病毒量太少。1990年開始有人套用PCR(聚合酶鏈反應)法擴增腦脊液中的病毒核酸,然後用特異性探針進行雜交,結果4例經腦活檢或屍解證實的單純皰疹性腦炎全部陽性,6例對照全部陰性。以後有人報告套用巢式聚合酶鏈反應(nestPCR),認為可以進一步提高靈敏性,值得進一步試用。
輔助檢查
單純皰疹病毒分子圖HSV易從活動病變中被分離如皰疹液鼻咽、眼結膜呼吸道分泌腦脊液、尿及糞等組織培養僅需時1~3天。
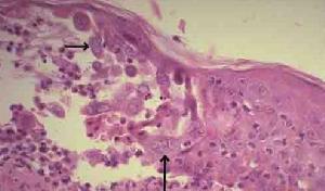
脫落細胞或皰疹基底刮片細胞學檢查,病變細胞增大有核內包涵體或呈多核巨細胞改變,雖陽性率可達60%~70%,但陽性改變非單純皰疹病變所特有。近年採用單克隆或多克隆抗體染色,特異性及敏感性均較高。
HSV抗原或DNA檢測如聚合酶鏈反應(PCR)可快速診斷血清,學檢查對診斷幫助不大HSV兩型間有交叉免疫反應。
並有肝病變者血清直接膽紅素及轉氨酶增高;腦病變者腦脊液細胞計數增高(包括紅細胞、淋巴及單核細胞),蛋白質增加。但正常者不能除外本病。腦電圖可呈周期性慢波、尖波或多灶性放電,多局限於顳葉CT腦掃描可見顳葉病變或腦皮質及腦室周圍有低密度改變部分病例可見出血或鈣化灶。
其它輔助檢查:
B超CT或腦電圖檢查常顯示顱內顳葉局灶性病變;肺部X線多表現為間質性或網狀顆粒狀病變。
診斷
對新生兒單純皰疹病毒感染作出快速和特異性的診斷是基礎。感染可以通過人不同系列和非人類來源細胞的組織培養中分離到病毒而證實,病毒標本通常從皮膚水泡取得,口腔,眼睛和腦脊液也是產病毒的部位。在一些表現為腦病的新生兒,病毒僅能從大腦中發現。但是精確的測試(如單純皰疹病毒PCR檢測)只能在一些研究單位和特殊實驗室中進行,一般在24~48小時內可在組織培養中見到細胞病理反應,確診也可通過合適的高滴度抗血清作中和反應;用病損皮膚塗片作免疫螢光檢查,特別是使用單克隆抗體和電鏡檢查。如果無病毒學診斷設備,用病損基底部細胞,作帕氏塗片可顯示特徵性組織病理學依據(多核巨細胞和核內包涵體),但這一檢查的敏感性比培養差,並有假陽性出現。
治療
治療新生兒單純皰疹病毒感染藥物如前所述,認為對全身性單純皰疹病毒感染的有效藥物有兩種,一是阿糖腺苷,一是acyclovir。從理論上干擾素也可能有效,但尚缺乏臨床套用的報告。
關於阿糖腺苷,有人(Whitley,1980)曾試用於31例新生兒單純皰疹病毒感染,並輸液時間不少於12小時。結果:全身播散性患兒:治療組8/14(57%)病死,對照組11/13(85%)病死。倖存者中,治療組4/6有後遺症(1例有痙攣,2例有小頭、癲癇發作、痙攣、失明,1例有嚴重腦損傷及尿崩症),對照組中1/2有後遺症(小頭、癲癇發作、失明、耳聾)。故總的看來此型的預後不好。但中樞神經系統感染型則不同,病死率治療組僅1/10,而對照組則為3/6;後遺症治療組為4/9(小頭、癲癇發作、痙攣及失明),對照組2/3(1例偏癱,1例小頭、痙攣)。如將兩型合併計算,則治療組有7/24(29%)小兒健在,對照組僅2/19(11%)。提示,阿糖腺苷治療確有一定好處。至於單純皰疹型,治療組似亦較對照組為優,兩組雖均無病死者,但對照組8例中有3例,其皮膚、黏膜皰疹恢復後1年內卻發生了脈絡膜視網膜炎和/或神經系統損害,其中2例發展至痙攣和失明,1例發展為小並沒有及痙攣。眼中未分離到病毒,也一直沒有中樞神經系統感染的臨床表現或腦脊液異常。提示有些單純皰疹性中樞神經系統感染可能是亞臨床型的,這些病兒以後仍可能發生神經系統損害和智力障礙,值得注意。單純皰疹型治療組有4例,均健在,僅1例於2歲時發生了輕度的脈絡膜視網膜炎。提示,即使是單純皰疹型患兒似亦值得進行阿糖腺苷的治療。在整個治療過程中,作者未觀察到像成人治療過程中的那些胃腸道及神經系統毒性反應,也未見到對骨髓、肝、腎功能的影響,血紅蛋白、白細胞、肌酐、尿素氮也均與對照組同。其他報告也均證實阿糖腺苷對皰疹病毒感染有較好的治療作用,如有人(Whitley,1981)兩次報告本藥單純皰疹性腦炎的效果,第一次18例,第二次75例,診斷均經腦活檢病毒分離證實。治療後1月的病死率分別為28%及33%,而對照組為70%。治療組共存活56例,其中30例正常。16例有中度後遺症,10例有嚴重後遺症。
亦有人報告阿糖黃嘌呤核苷(hypoxanthinearaleinoside,ARA-R)療效與阿糖腺苷相似,劑量也一樣,而毒性較少。
關於無環鳥苷(acyclovir)目前雖未見到對先天性單純皰疹感染療效的報導,便對有免疫缺陷病人單純皰疹病毒感染療效的報導提示此藥還是有希望的,如有人曾對心臟移植伴有單純皰疹病毒感染的病人進行過對照觀察,藥物劑量為250mg/m2,每8小時靜脈點滴一次,點滴時間為1小時,共用7天,結果,病毒均於治療後5日內消失,病變也迅速好轉,與對照組有明顯差異。作者並對血清藥物進行濃度測定,發現血清藥物濃度高峰為4.8~40.1μm,遠遠超過對單純皰疹病毒Ⅰ型及Ⅱ型的50%抑制嘗試(分別為0.1及1.0μm)。也有人認為,此藥還可用於單純皰疹復發的預防。如有人對抗-HSV陽性的骨髓移植病人進行觀察,10例於移植前3日開始給藥,劑量及給藥方法同上,共給藥18日,另10例為對照。結果給藥組無1例有皰疹感染,對照組則有7例。也有人報告用5%的Acyclovir油膏塗抹,對生殖器皰疹有治療作用,可使排毒期縮短。
以上材料均提示,此藥值得試用於先天性單純皰疹的治療。由於此藥毒性很小(偶有報告可引起腎功能減退者),因此,是否可用於預防亦值得研究。例如,對於單純皰疹病毒陽性的孕婦是否可用此藥治療(全身和/或局部),以使分娩時病毒陰轉,從而避免剖腹產。
發現有耐無環鳥苷的HSV毒株,主要是脫氧胸苷激酶陰性(TK-)株,但較少見。對耐藥菌株可採取聯合用藥,如無環鳥苷和阿糖腺苷或皰疹淨聯合,亦有人主張無環鳥苷並用靜注免疫球蛋白(IVIG)者。
預防
新生兒單純皰疹病毒感染兒科疾病
| 兒科病就是兒童易患疾病的統稱。比如腸胃疾病,營養不良,呼吸疾病等等。 |
