基本簡介
急性壞死性腸炎症狀體徵
壞死性腸炎上有纖維素性偽膜本病起病急驟,1/3可有不潔飲食史。臨床以急性腹痛、腹脹、嘔吐、腹瀉、便血及全身中毒症狀為主要表現。
1.腹痛、腹脹腹痛多為突發,持續並可有陣發加重。腹痛部位多在臍周或上腹部。有些患者可有全腹痛,該病在早期可先有輕度腹脹,繼則加重。
2.嘔吐腹痛發作後即伴噁心、嘔吐,吐出物含膽汁、咖啡樣或血水樣。
3.腹瀉及便血程度不一,多者每天10餘次。根據病變部位、出血速度,在腸道停留時間及腸蠕動情況不同,糞便可為鮮血、洗肉湯樣、果醬樣或黑便,並常混有腐爛組織及特殊的腥臭味。如病變限局在小腸者則無里急後重現象。
4.周身中毒症狀由於細菌、內毒素的易位造成周身炎症反應可有發熱或體溫不升、精神萎靡或煩躁,若出現譫妄或昏迷多提示病情嚴重,出現多器官功能不全(MODS)並可能有腸壞死的情況發生。
5.嬰幼兒症狀不典型,產嬰多在出生後3~10天發病。由於早產或低體重而收治於監護病房,在人工餵養期間或對未成熟兒因吞咽反射建立不完全而放置胃管鼻飼期間發現胃內有瀦留,繼有腹脹、嘔吐、便血發熱或體溫不升,心率過速或緩慢,腹肌緊張、腹部脹氣、腹壁紅斑等體徵。一般認為孕齡越小,罹患AHNE的發生率越高。低體重兒的發生率為12%。
6.體格檢查腹脹、腹部壓痛,由於炎性滲出可表現不同程度的腹膜刺激征,出現腸型、腹部包塊,如發生腸壞死、穿孔可表現典型的全腹腹膜炎體徵。對有中毒性休克者,多有呼吸循環系統不穩定,呼吸急促、血壓低、心率加快,神志障礙,皮膚花斑樣等表現。
疾病病因
急性壞死性腸炎AHNE的病因發病機制沒有一種滿意的解釋,但在某些易感因素和推理上,看法比較一致。這些易感因素包括了:腸道缺血、腸道感染、腸屏障功能受損、呼吸窘迫綜合徵、出血、窒息、先天性心臟病合併心力衰竭、敗血症、休克、低溫、紅細胞增多和(或)血液黏滯度高,人工餵養等。
1、腸道缺血
多種原因造成的內臟血管收縮,腸系膜血管供血不足均可導致腸道缺血性損害,腸黏膜對缺血的易感性最為突出。實驗觀察大鼠在出現失血性休克1h後,其小腸黏膜即發生自溶現象。臨床上處理缺血性損害的原則應是儘早恢復血液再灌注(reperfusion)增加組織供氧,但長時間的缺血在恢復灌流後會出現再灌注損傷(reperfusioninjury),這種損傷是由於鈣超載、氧自由基生成、中性粒細胞被激活所引發包括彈性蛋白酶(elastase)和膠原酶(collagenase)在內的多種酶的釋放以及內皮細胞穩態失衡等原因所造成。
2、腸道感染
腸道是人體最大的細菌庫,由於腸黏膜自身的保護作用致使細菌和毒素不能入侵,這種保護作用被稱之為防禦屏障。休克、腸缺血、窒息、人工餵養不良等均可導致腸屏障的破壞,進而造成腸道內細菌微生態的失衡以及細菌及毒素的入侵而誘發AHNE。對於AHNE致病性病原體還沒有確切的認識,但從病人的糞便中可分離出厭氧菌、大腸埃希桿菌、特異性的克雷白菌屬、梭狀芽孢或產氣莢膜菌屬以至病毒等,其可導致腸壁感染、壞死、穿孔。糞便中C型產氣莢膜桿菌(產生β毒素的Welchii桿菌)易引起致病作用,造成腸道微循環障礙,而表現斑片狀壞疽性腸道病變。
3、腸屏障功能不全
腸屏障功能包括了機械、免疫、生物、化學及運動功能屏障。在正常情況下腸黏膜上皮細胞、細胞間連線與菌膜構成了機械屏障,且腸道黏液和黏蛋白形成了覆蓋於腸黏膜表面的彈性蛋白層,使細菌不能入侵併對化學和機械性刺激起到保護作用。正常情況下由腸黏膜分泌的分泌型免疫球蛋白(sIgA)對黏膜局部免疫功能極為重要,是為免疫屏障,其作用在於使黏膜表面形成保護層,阻止細菌黏附,使細菌凝集,抑制細菌活動並中和細菌毒素及抵禦病毒,對多種蛋白水解酶。sIgA的缺乏,細菌黏附於黏膜上皮並形成集落,進而造成細菌和內毒素經門靜脈和淋巴系統侵入體循環,形成腸源性內毒素血症和細菌易位(bacteria translocation,BT)。
4、有關炎性介質的作用
對AHNE的發病機制近年來更多地集中到對有關炎性介質的研究上。損傷、腸源性內毒素血症和細菌易位在一定條件下會激發細胞因子和炎性介質的連鎖反應,在AHNE的動物實驗模型中已發現血小板活化因子(PAF)、腫瘤壞死因子α(TNFα)、白細胞介素6(IL-6)及內皮素1(ET-1)可能是引發其發病的重要炎性介質。
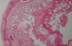
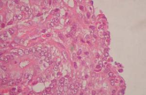
疾病病理
急性壞死性腸炎診斷檢查
急性壞死性腸炎診斷:
本病缺乏特異性診斷特徵,而且病情輕重不同,特別是在非多發地區,更易誤診,誤診率50%~60%。臨床診斷主要依據是:
①有飲食不潔史,在夏秋季發病,突發劇烈腹痛、腹瀉和腥臭便血、噁心嘔吐以及明顯中毒症狀者,均應考慮到本病的可能性。
②根據病程階段和病人的表現,區分不同的臨床類型:腹瀉血便型,以腹瀉便血為主要表現;腹膜炎型,主要表現腸系膜炎徵象;中毒型,以休克為突出表現或伴DIC;腸梗阻型,以急性腸梗阻的特點為主要表現。
實驗室檢查:
1、血常規表現為白細胞計數增高,塗片分類有核左移現象;紅細胞減少、血紅蛋白降低;進行性血小板計數減少等。
2、血液生化檢查可有低蛋白血症,電解質紊亂,代謝性酸中毒、高或低血糖等表現。
3、肝、腎及凝血功能有些病例可出現肝、腎功能受損和DIC表現。
4、大便潛血試驗陽性。
5、血及糞便的細菌學培養此檢查有助於對感染菌群的判斷。
其他輔助檢查:
1、腹部X線平片X線的表現與AHNE的嚴重程度有關,早期多數可有不同程度的腸腔充氣擴張,腸間隙輕度增寬。由於腸壁水腫黏膜炎性滲出而造成腸壁內緣模糊,隨著病情進展可發現腸壁積氣的影像表現,一般認為系由腸腔內氣體通過受損黏膜進入黏膜下或漿膜下所致,由於滲出增多腸間隙隨之加寬。晚期多表現有固定而擴張的腸袢、門靜脈積氣、腹腔積液、氣腹等。動態觀察腹部腸袢X線變化往往對判斷腸管的生機有所幫助。鋇劑灌腸X線檢查因在急性期會加重出血或引起穿孔,應列為禁忌。
2、纖維腸鏡檢查可早期發現腸道炎症和出血情況。
3、B超檢查對胃腸道影像學檢查經驗的不斷積累,有與X線檢查有相互補充的趨勢採用這一檢查手段會更方便,快捷。
疾病鑑別
腸套疊1、腸套疊
兒童期發病易誤診為腸套疊,但一般腸套疊表現為陣發性腹絞痛,間斷髮作每次持續數分鐘,緩解期病兒嬉戲如常,於腹痛發作時往往於右下腹可捫及腸壁腫塊,肛門指診可見指套染有血液無特殊腥臭味。對於回結腸套疊的病例常在早期出現果醬樣大便,但小腸型套疊發生便血較晚。
2、過敏性紫癜
過敏性紫癜系變態反應性疾病,主要累及毛細血管壁而發生出血症狀。對於腸道反應多系由腸黏膜水腫、出血引起,臨床上多表現為突然發作腹絞痛,多位於臍周及下腹,有時甚為劇烈,但多可伴有皮膚紫癍、關節腫脹及疼痛,尿檢查可發現蛋白尿、血尿或管型尿。
3、其他
AHNE尚需與急性闌尾炎、急性腸炎、菌痢、Mechel憩室炎、Crohn病、腸系膜血管栓塞、腸蛔蟲病、膽道蛔蟲病、絞窄性腸梗阻等相鑑別。
治療方案
急性壞死性腸炎1、非手術治療
採用各種支持療法,其中包括禁食、胃腸減壓輸液及抗感染性休克等綜合治療措施,以期達到病情穩定。
(1)液體支持:尤對危重患者應建立有效的靜脈通道並採取中心靜脈壓監測下輸液,注意有效的循環復甦。在擴容輸液的同時根據情況要補充鮮血、血漿、纖維蛋白原、凝血酶原複合物及輸入血小板等。由於腹瀉、嘔吐造成的液體丟失和禁食引起的攝入不足在出現血容量降低的同時會引起電解質及酸鹼平衡的紊亂。動態監測血生化指標,補充鈉、鉀、氯及可能出現的鈣、鎂和微量元素的不足,糾正代謝性酸中毒以維持機體內環境的穩定是搶救生命的重要措施。
(2)營養支持:該類病人屬於高分解代謝狀態,其基礎代謝率可增加到50%~150%,需要蛋白和熱量的補充,有條件時可採用代謝車(metaboliccart)測定病人能量消耗,指導補液。臨床上多採用葡萄糖、中長鏈脂肪酸、胺基酸作為營養支持的底物,熱氮比例可為418kJ(100kcal)∶1g。在嬰兒因為各器官主要代謝物質為脂肪,脂肪乳劑的量可達4g/(kg/d),在幼兒進行營養支持時,必需胺基酸應為總攝入胺基酸的40%~50%。對嬰兒給液應細緻地計算。給予適量的谷氨醯胺可改善氮平衡,促進腸道黏膜細胞的營養與更新,並注意對體內所需各類維生素的補充。在營養支持的過程中應注意對併發症的監測。
(3)抗休克治療:腸源性感染造成周身炎性反應,嚴重時導致感染性休克。補液、糾正循環血量不足是抗休克的主要措施,在行有效的液體復甦時,可給予血管擴張藥,如山莨菪鹼等。同時選用對腸內細菌有效的藥物,如甲硝唑、氟哌酸、三代頭孢菌素、卡那黴素、慶大黴素、氨苄青黴素等,一般選用兩種作用機制不同的藥物聯用。腎上腺皮質激素能改善周身狀況,穩定溶酶體膜,抑制炎性介質釋放,一般用藥3~5天,但應注意腎上腺皮質激素有加重腸道出血、促發腸穿孔之虞,應慎用。止血藥物,如對羧基苄胺、維生素K、止血敏等。生長抑素類藥物如善得定(sandostatin)對消化道出血有一定的治療效果。在抗休克治療的同時應注意呼吸支持、供氧、給予強心、利尿藥物、觀察尿量、高溫時降溫等。根據病情變化要不失時機地決定外科手術治療。
(4)飲食管理:在經前述內科治療後如病人情況獲得改善應繼續胃腸外營養並保持胃腸減壓,繼續使用抗生素7~10天,以期獲得完全緩解。進食時應先以清流質開始,漸漸過渡到流質、半流質、少渣飲食,對進食後又出現消化道症狀者應停止,待症狀消失後再進食。對嬰兒的餵養恢復是一個耐心、細心的飲食護理過程,要注意觀察進食後反應,餵養應選擇從進水開始,以後給稀釋牛奶,觀察大便了解消化情況,注意防止腹脹及胃瀦留。
2、外科治療
以手術為主的外科治療是內科治療措施的繼續,應充分做好術前準備,充分估計病人耐受的能力,選擇可靠的麻醉方法。
(1)外科治療的適應證:
①有明顯的腹膜刺激征,有腸壞死、腸穿孔可能者;
②經積極的非手術治療,全身中毒症狀不見好轉,腹部脹氣,壓痛、肌緊張體徵加重提示有腸壞死傾向者;
③腹腔穿刺抽出滲液呈棕色、渾濁,塗片有細菌感染者
④腹痛、腫塊,有腸梗阻表現採用非手術療法不見好轉;
⑤自肛門排血性便嚴重而持續,血小板減少,難於糾正的酸中毒者;
⑥X線片門靜脈有積氣,腸壁有積氣者。
(2)手術處理方式與原則:
手術方式應根據周身情況和腸管病變嚴重程度而定。
①對限局性缺血、壞死穿孔者行腸切除,腸吻合。由於腸黏膜病變範圍往往超出漿膜面顯示的範圍,因此對腸切除的範圍比通常要有所擴大,可以通過檢查腸切除後保留斷緣的黏膜血運情況加以判斷。
②由於病變呈節段性分布,因此在腸切除時應考慮到切除方式,即分段切除吻合還是對鄰近病變腸段一併切除,應以儘量減少吻合口,但又要保留正常腸段減少切除範圍為原則。
③對危重病人為縮短手術時間,爭取更多搶救機會,在行病變腸段切除後,可做近、遠側斷端造瘺,待一般情況穩定後再行二次手術做造瘺還納。
④開腹後如果發現病變範圍廣泛,已累及全部小腸及至結腸而不能切除迫行關腹者應繼續進行支持治療,待24~48h後如果情況允許可行二次探查,了解腸管變化,以期進一步處理。有作者在處理此類病例中於空腸上段放置一細塑膠管經腹壁引出體外,藉此灌注抗生素,經綜合治療而使症狀緩解。
⑤在行腸切除吻合後,凡病情又有進展者應果斷決定行二次探查,做出相應處理。
⑥如果病人情況極差,而又證實有腹膜炎,腸穿孔者也可在局麻下做下腹小切口單獨行腹腔引流,待情況允許時再考慮進一步手術治療。
3、手術併發症
(1)傷口感染和裂開。
(2)造瘺口出血、拖出腸管缺血、壞死、回縮,應避免此類情況,一旦有以上併發症出現應及時處理。
(3)短腸綜合徵和嚴重的營養吸收不良。
(4)腸管狹窄這與腸黏膜破壞以及在癒合過程中出現環狀瘢痕有關,狹窄的損害在結腸比在小腸多見。在行造瘺還納手術時也應行X線鋇劑檢查,預估這種情況的存在。如系因狹窄而造成腸內容物通過障礙者應行手術治療。
護理方法
急性壞死性腸炎1、腸梗阻
由於細菌、內毒素的作用,腸壁充血、水腫、失去彈性及蠕動,腸內容瀦留,發生小腸梗阻症狀。臨床易誤診為機械性腸梗阻。
2、休克和瀰漫性血管內凝血
細菌、內毒素吸收入血,引起全身中毒病症和血液動力學紊亂,約有1/4患者可發生中毒性休克,或伴DIC。
預後
由於AHNE輕重程度不一,非手術治療病死率為5%~20%,接受手術治療者多數為重症病人,手術病死率為12%~30%。並發中毒性休克、多器官功能不全(MODS)發展為多器官功能衰竭(MOF)是重要死亡原因之一,病死率為20%~40%,疾病過程嚴重。治癒後一般不再復發。

