假痛風性關節炎簡介
假痛風性關節炎疾病別名:關節軟骨鈣化症,二羥焦磷酸鈣晶體沉著病
所屬部位:全身
就診科室:骨科
症狀體徵:身痛關節疼痛發熱
病因
本病病因不明,常與外傷(包括外科手術),澱粉樣變性,粘液性水腫,甲狀旁腺功能亢進,痛風以及血色素沉著病等有關,提示二羥焦磷酸鈣(PPD)結晶沉積於軟骨內是繼發於軟骨的退行性或代謝性改變。本病一般在60歲以上患者出現症狀,70歲以上者軟骨鈣化症的發病率約30%,接近90歲者發病率為50%,兩性發病率相同
臨床表現
假痛風性關節炎Resnick(1988)根據其報導的一組192例,將本病的臨床表現分為以下7型:
Ⅰ型 假痛風(pseudogout),類似痛風發作而非痛風。其特點是急性或亞急性、自限性關節炎發作,累及1或數個小關節,發作時間為1天至數周,通常疼痛較輕。此型最好侵及膝部,但髖、肩肘、腕、踝等均可受累約占10%~20%。
Ⅱ型 假-類風濕性關節炎(pseudo-rheumatoidarthritis)。其特點是持續性、急性發作的關節炎,症狀可持續4周至數月。同時有血沉加快。約占2%~6%。
Ⅲ型 假-骨關節炎(pseudo-osteoarthritis)—(1),此型最常見,約占35%~60%。表現為慢性進行性關節炎,並可伴偶發急性感染表現。對稱累及大關節,如膝、髖以及掌指關節、肘、踝腕和肩關節。其特點是兩側對稱受累並屈曲攣縮,特別是膝、肘關節。
Ⅳ型 假-骨關節炎(pseudo-osteoarthritis)—(2),約占10%~35%。此型臨床特點是慢性進行性關節炎,而無急性加重。如Ⅲ型,其表現類似於退行性關節病。
Ⅴ型 無症狀性關節病(asymptomaticjointdisease),雖然有報導,CPPD晶體沉著病患者無症狀者可占10%~20%,而且此種臨床類型的出現率相當高,但臨床卻很少見有無症狀患者。近年來有報導,年長的猶太人其軟骨鈣化可占27.6%,在這些患者中,大多數是無症狀者,甚至在某些有關節症狀的患者中,其鈣化卻是在另外沒有明顯症狀的關節。對沒有症狀的關節作抽吸,如跖趾關節,證實有CPPD晶體沉著,這些患者有或無假痛風的放射學表現。
Ⅵ型 假神經性關節病(pseudo-neuroarthropathy),約占0~2%,為CPPD晶體沉著病少見的臨床類型,頗似神經性關節病的表現
Ⅶ型 多種形態混合型(miscellaneouspattern),為本病的最少見型,約占0~1%。McCarty曾強調CPPD晶體沉著病能夠產生風濕熱和精神病樣症狀。臨床表現還可類似於強直性脊柱炎。
總之,CPPD晶體沉著病可表現為急性或慢性關節炎樣症狀,亦可為無症狀性疾病。或者1名患者可有幾種不同的臨床表現。
發病人群
該病的發病年齡多為30歲後的中、老年人,與痛風相似。該病無明顯性別差異。假痛風性關節炎為二羥焦磷酸鈣結晶沉積引起的臨床表現多樣化的關節病,包括間歇性發作的急性關節炎;退引性關節病,有時病情嚴重,有時沒有症狀,X線檢查可在特定部位見到關節軟骨鈣質沉著的影像。
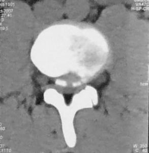
檢查
纖維軟骨鈣化本病多採用影象學的檢查方法,其表現主要有以下幾個方面:
1、軟骨鈣化
最常受累的部位是膝、腕、恥骨聯合、肘和髖。受累軟骨包括纖維軟骨和透明軟骨。
(1)纖維軟骨鈣化:最常受累的是膝關節的半月板、腕關節的三角軟骨盤、恥骨聯合、椎間盤的纖維環以及髖臼唇和肩胛盂唇;還可累及肩鎖關節和胸鎖關節的墊盤。纖維軟骨的沉著物,表現為增厚、粗糙和不規則的緻密區,特別是在關節腔的中部。
(2)透明軟骨鈣化:可發生於很多部位,但最常位於腕、膝、肘和髖關節。這些沉著物較薄,呈線樣,平行於鄰近的軟骨下骨。
關節囊鈣化滑膜內的鈣化是CPPD晶體沉著病常見的徵象。這種鈣化通常與軟骨鈣化並存,但往往是此種鈣化更明顯。滑膜沉著最常見於腕部,特別是橈腕關節周圍、下橈尺關節、膝關節、掌指關節和跖趾關節;也可見於肱骨關節盂、肘、髖和肩鎖關節。沉著物呈雲樣,特別是在關節邊緣,也可類似於特發性滑膜骨軟骨瘤病。鈣化滑膜的碎片,可能並有鈣化軟骨的碎片。
3、關節囊鈣化
CPPD晶體沉積於關節囊,最常見於肘和跖趾關節,亦可見於掌指關節和肩肱關節。這些成堆的、微細的或不規則的線形鈣化並跨越關節,還可能合併關節攣縮,特別是肘關節。
筋腱、滑囊和韌帶鈣化CPPD晶體沉著病患者,可能見有筋腱和韌帶鈣化,常見的部位是跟腱、三頭肌、四頭肌和棘上筋腱以及肩峰下滑囊;有時還可見於髕骨上滑囊。筋腱的鈣化薄而呈線形,可由骨的邊緣延伸至相當遠的距離。合併感染的滑囊鈣化,常見於尺骨鷹嘴處。肩部的肌腱、滑囊鈣化,有時可見於肩袖撕裂傷。
5、軟組織和血管鈣化
某些患者可見軟組織內和血管鈣化,表現為邊界不清楚的鈣質沉著。軟組織鈣化最常見於肘、腕和骨盆區。血管鈣化可能與並存病糖尿病有關。
治療
假痛風性關節炎本病採用秋水仙鹼治療也有效,方法是靜脈推注1mg大於2~5分鐘(用0.9%氯化鈉稀釋至20ml,如果疼痛持繼存在,12小時內再注射1mg)。急性滑膜有滲出時,必須把滲液抽淨。檢查滲液內的結晶,然後關節內注入腎上腺皮質激素微晶混懸液。消炎痛75~150mg/d或其他NSAID常可迅速控制急性發作,對照研究顯示每日口服0.5~1.5mg秋水仙鹼可預防急性發作。
