概述
滑膜骨軟骨瘤也稱原發性滑膜軟骨瘤病、滑膜骨軟骨瘤病、滑膜軟骨性化生。有統計報導認為占滑膜腫瘤或瘤樣病變的6.7%-22.6%,發病年齡可從兒童期到80歲,男女發病比例為2:1。常累及一個關節。發生在膝關節者約占2/3,其次是髖關節、肘關節和肩關節,其他關節少見。多數人認為滑膜骨軟骨瘤是一種病因不明的關節滑膜反應性化生性病變,因為本病有一定自限性,少數病例可自行性消退。臨床表現
主要表現為關節疼痛、關節腫脹和活動受限,偶可觸及游離體。常出現關節交鎖,關節腫大可逐漸加重,有時關節內可出現積液。病程一般較長,發展緩慢,可持續數月到數年不等。影像學表現
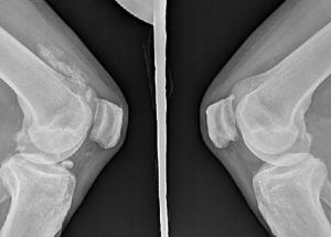
1、X線光片 滑膜骨軟骨瘤病的X線變現不同,典型表現為受累關節遍布多個大小不一的鈣化或骨化的游離體,呈環形或點彩狀,界限清楚,關節腔變窄、骨質侵蝕和骨質疏鬆很少見。表現不典型這可出現骨質侵蝕、軟骨下囊腫、偶見關節間隙變窄、關節半脫位等。2、其他影像檢查技術關節造影、CT或MRI檢查可顯示鈣化或骨化的游離體位於關節腔內,也可呈線狀聚集於滑膜上。
病理學特徵
1、大體病理 關節滑膜面彌散黏附著數個至數百個骨性結節,最多可達上千個,大小1-2mm到數厘米不等,表面光滑、發亮、呈藍白色。2、組織病理學特徵 早期為關節囊內結締組織中形成圓形富於細胞性的軟骨島,位於滑膜上皮下,為邊界清楚非浸潤性生長結節,結節可完全由軟骨組成,軟骨細胞呈簇狀、排列紊亂,可有肥大細胞核並伴有中等程度的核多形性,雙核細胞常見。病變的發展可分為三個階段:(1)早期,活動性滑膜炎,關節內並無游離體;(2)第二階段,結節性滑膜炎出現;(3)第三階段,出現游離體而且滑膜炎吸收。
治療與預後
滑膜骨軟骨瘤為良性、自限性病變,滑膜切除或不完全性切除,尤其是在病變早期容易復發。即使術後復發,其進展也很緩慢,不致引起嚴重臨床問題。病變侵蝕關節面,可導致繼發性退行性關節病。滑膜骨軟骨瘤偶發展為軟骨肉瘤者,關節症狀長時間存在,並演變為頑固性疼痛者提示為惡變。治療原則是徹底清除游離體,徹底切除滑膜。有人主張要徹底清除游離體,只切除病變滑膜而不要求徹底切除滑膜,不必實施破壞或並無十分必要的手術。對疑似為滑膜骨軟骨瘤病者,如果書中發現滑膜正常,而不需切除滑膜,這些游離體可能來自關節病變。
臨床試驗研究
腫瘤磁感應治療主要是利用鐵磁性材料在交變磁場下產熱的原理,使腫瘤組織升溫到有效溫度,從而達到治療目的。磁感應治療具有靶向性、適形性、自控溫、內加熱、可重複、正常組織與腫瘤之間溫差大等特點,它有望克服以往腫瘤局部熱療方法的缺點,成為新的治療腫瘤的有效手段。目前,正在湖南省腫瘤醫院、福建省腫瘤醫院、北京大學第三醫院進行磁感應治療臨床試驗,第一部分的臨床試驗結果初步顯示了其安全性和有效性,第二部分的臨床試驗開始進行,治療的適應證為惡性軟組織腫瘤(如脂肪肉瘤、纖維肉瘤、滑膜肉瘤、橫紋肌肉瘤、血管肉瘤等)。

