疾病概述
鐮狀細胞結構鐮狀細胞病是由於血紅蛋白的β珠蛋白鏈亞單位異常的基因遺傳所致。患者從父母雙方得到兩個相同的異常血紅蛋白基因,即純合子,其紅細胞缺乏正常血紅蛋白(HbA),而被異常血紅蛋白(HbS)所替代,稱為鐮狀細胞性貧血或鐮狀細胞病。患者從父母的一方得到一個異常血紅蛋白基因,即雜合子,其紅細胞含有正常和異常兩種血紅蛋白,但正常者占50%以上,稱為鐮狀細胞傾向(siclecelltrait)。
症狀體徵
鐮狀細胞-紅細胞 (1)純合子型鐮狀細胞病:有不同程度的溶血性貧血,輕度黃疸。血管閉塞危象為其突出表現,常在軀幹及四肢處劇烈疼痛,包括內臟、骨、關節及肌肉痛等,尤其以掌骨、附骨和指(趾)骨梗死為多見,感染、脫水、缺氧及酸中毒為其誘因。內臟及腦血管梗死則出現相應的症狀和體徵。
(2)雜合子型鐮狀細胞病:平常無症狀,不發生溶血性貧血,故又稱鐮狀細胞傾向。只在嚴重缺氧情況下出現微循環障礙,主要在腎髓質的直血管,因為該處存在著顯著的高滲性,使紅細胞易脫水,加之低氧張力和低pH值的生理特點,導致紅細胞鐮變,腎髓質血流淤滯,甚至血管閉塞。嚴重時可發生腎乳頭壞死。
2.鐮狀細胞性腎病的臨床特點大多數的鐮狀細胞性貧血或鐮狀細胞傾向患者沒有明顯的腎臟病臨床表現,但少數患者確實有腎乳頭壞死和尿濃縮功能障礙。
(1)血尿:純合子型或雜合子型均可發生血尿。血尿是最多見的腎損害表現,可呈肉眼血尿,但以鏡下血尿為主。可能為腎髓質和腎乳頭的微小壞死所致,也可為腎小球性血尿。
(2)腎病綜合徵:鐮狀細胞病可發生典型的腎病綜合徵,在病理上可為微小病變型、系膜增殖型、膜增殖型及局灶性腎小球硬化型等。系膜區及上皮細胞可有鐵質沉積。
(3)腎小管功能不全:在鐮狀細胞性貧血患者中,腎小管的病變較多見,早期即可出現腎濃縮功能減退,繼之濃縮及稀釋能力均降低,出現等滲尿。疾病早期為可逆性,後期由於慢性缺血,使腎髓質產生不可逆的損害,發生永久性多尿、夜尿等尿濃縮功能障礙。可發生遠端腎小管性酸中毒,多為不完全性。
(4)高尿酸血症:本病紅細胞代謝較正常人高6~8倍,尿酸生成過多,但其清除率增高,所以不會發生痛風性關節炎。
(5)腎功能衰竭:本病可因腎血管閉塞及急性血管內溶血而發生急性腎功能衰竭,由於腎小球病變和多次鐮變危象發作,18%病人可發展至慢性腎功能衰竭的終末期。
病理生理
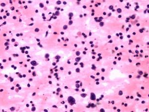
鐮狀細胞性腎病觀察1.慢性代償性溶血性貧血。
2.血管閉塞危象(vasooclusivecrises)導致疼痛及組織損害。
異常血紅蛋白的β鏈第6位谷氨酸被纈氨酸取代後,在缺氧狀況下即發生鐮變,異常血紅蛋白分子聚合成聚合體,紅細胞由圓盤狀變成鐮刀狀。異常血紅蛋白百分率愈高鐮變愈嚴重。在某些誘因如細胞脫水和酸中毒時可使紅細胞鐮變加重。紅細胞反覆發生鐮變,導致細胞膜的損害,細胞內鉀離子及水漏出,則加重紅細胞脫水。胞內鈣離子積聚可使鐮狀細胞僵硬,成為不可逆性。這些紅細胞壽命縮短(10天左右),易被網狀內皮系統破壞,導致溶血性貧血。由於鐮狀紅細胞不易變形,在通過微循環時,血流淤滯,形成黏滯與鐮變惡性循環(vicousviscoussicklecycle)。最後使微循環阻塞,導致缺血及梗死,出現疼痛和組織損害。上述病變發生在腎臟則導致腎血管、腎小管及腎小球的明顯損害。
診斷檢查
鐮狀細胞性腎病病變主要診斷依據:
1.貧血Hb通常在70~80g/L,為溶血性貧血。伴有軀幹或四肢陣發性劇痛者應疑及本病。網織紅細胞常可達10%。
2.紅細胞鐮變試驗陽性將病人血液和sodiummetabisulfite液混合,使血液脫氧誘發紅細胞鐮變,鏡檢見到鐮狀紅細胞。或作血紅蛋白溶解試驗,將上述混合液中加入磷酸鹽溶液,正常血紅蛋白溶解不發生沉澱;異常血紅蛋白溶解度低,發生混濁沉澱。
3.血紅蛋白電泳出現異常血紅蛋白(HbS)。
4.在血紅蛋白電泳顯示大量HbS,鐮狀細胞形成試驗陽性確診具有鐮狀細胞傾向、鐮狀細胞病的同時合併有血尿、蛋白尿、低滲性多尿、腎病綜合徵、腎盂腎炎、腎小管功能障礙和急慢性腎衰竭等腎損害表現即可診斷本病。
實驗室檢查:
1.血液檢查有不同程度的溶血性貧血和輕度黃疸,其紅細胞缺乏正常血紅蛋白(HbA),而被異常血紅蛋白(HbS)所替代。血紅蛋白電泳顯示大量HbS,鐮狀細胞形成試驗陽性。
2.尿液檢查可見血尿、蛋白尿、低滲性多尿;本病不管純合子型或雜合子型均可發生血尿,可呈肉眼血尿,但以鏡下血尿為主。可能為腎髓質和腎乳頭的微小壞死所致,也可為腎小球性血尿。鐮狀細胞病可發生典型的腎病綜合徵,此時可出現腎病綜合徵的實驗室改變。
其他輔助檢查:
腎活檢提示鐮狀細胞性貧血患者的腎小球增大和淤血,鐮狀細胞充滿管腔,系膜細胞不同程度的增生,由於腎小球毛細血管基底膜增厚,可見輕至中度的血管壁肥厚,在合併腎病綜合徵的患者,可見腎小球分葉增加,提示有腎小球毛細血管炎存在。在上皮和內皮細胞中可見鐵質沉積。節段性腎小球硬化和膜性腎病也可見到。電鏡提示有25nm的顆粒濃集於毛細血管間和上皮細胞下區域,常見系膜細胞增生和外周系膜的間位改變,免疫螢光多為陰性,有些病人可見IgG和C3不規則沉積在毛細血管周圍。這些病例多為腎病綜合徵、膜性或系膜毛細血管性腎小球腎炎。
鑑別診斷:
應注意與其他類型的貧血和腎臟病變相鑑別。
治療方案
鐮狀細胞性腎病治療1.藥物抗鐮變鐮狀細胞病尚無根治方法,藥物可能使鐮變逆轉,但不能矯正其遺傳缺陷。藥物抗鐮可解除鐮變,降低血黏度,從而改善微循環,增加血液灌注,提高組織氧供,減輕腎損害,緩解臨床症狀。雜合子鐮狀細胞病一般毋需治療,因雜合體溶解度為35%~68%,溶血程度較低。理想的抗鐮變藥物至今仍未見,下列抗鐮變藥物可供參考使用。
(2)雙氫麥角鹼(海特琴,氫化麥角鹼):是一種血管擴張劑,加強對α受體阻斷作用,減少血管收縮,有助解除鐮變紅細胞凝聚引起的小動脈痙攣,疏通微循環,改善缺氧狀態,使疼痛症狀減輕。肌內或皮下注射0.3mg/次,1~2次/d;或1~2mg/次,3次/d,飯後即服。
(3)30%尿素蔗糖溶液:尿素通過分解血紅蛋白中疏水的分子鍵而干擾鐮狀細胞的形成過程。靜脈點滴1~1.5g/(kg/d),腎功不全者忌用。
(4)甲基二乙醯二亞胺:通過作用於血紅蛋白與紅細胞膜,使紅細胞不易失鉀並提高氧親和力。
(5)氨甲醯磷酸:作用與氰酸鹽相似,使血紅蛋白分子胺基酸末端的纈氨酸甲醯化,抑制HbS凝膠化的特性,提高血紅蛋白的氧親和力,具有抗鐮變作用。該物質可在體內合成和利用,在正常代謝中降解,是治療本病很有前景的藥物。
(6)5-氮胞苷(5-Azacytidine):具有抗鐮變作用,該藥令γ珠蛋白基因重新表達,使DNA去甲基,增加了紅細胞內HbF,減少了HbS含量,但有一定毒性。(7)Nootropyl(內含吡拉西坦,茴拉西坦):有人報告對一般患者有鞏固療效作用。
2.避免加重鐮變的因素缺氧、勞累、感染、脫水、發熱、受寒或酸中毒等因素均會促發紅細胞鐮變。忌在缺氧環境(高山、深井)中活動。某些病人在夜間、感染和受涼時鐮變加劇而大量溶血,甚至誘發急性危象。受寒時血管收縮,血流緩慢,血氧能力降低,紅細胞發生鐮變,因此要防止受涼。有感染時及早控制,肺部感染或心力衰竭時,充分吸氧,維持高的血氧飽和度亦很重要。脫水則血液濃縮呈高滲狀態,也使鐮變加重,要及時補充液體。酸中毒亦然,應給予口服或靜滴碳酸氫鈉糾正。此外下列因素會使本病加重,如妊娠、腹部手術,手術出血過多及麻醉過深(血氧分壓降低)等,全麻手術時要保持呼吸道通暢,充分供氧,保障血氧氧合作用,如能局麻更適宜。總之從各個方面注意加強防治。
3.急性危象的處理由於某些促發因素的作用,突然嚴重溶血產生急性危象時,儘早輸血輸液,全身保暖。如危象持續不解,可行換血療法,將HbS減少至50%~25%以下。吸氧或高壓氧有一定效果,變形的紅細胞是可逆的,與氧重新結合時,其正常形態恢復。周健國報導低分子右鏇醣酐及丹參靜滴7~14天為一療程,使急性發作1周內獲得控制,發熱、黃疸減輕。另有作者報導,在危象時,靜注山莨菪鹼10mg,4次/d,症狀緩解後改肌注10mg,每周2次,維持6個月。山莨菪鹼增加細胞流動性,使細胞硬化改善,保護細胞膜,延長壽命,使溶血和梗死症狀改善。
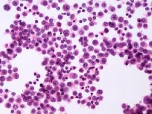
鐮狀細胞顯微觀察(1)多數主張多飲水、高鈉飲食,使水分攝入增加,或靜脈補充液體、靜滴低分子右鏇糖酐500ml加山莨菪鹼20mg,1次/d,7~10天為一療程。使血黏度降低,改善腎髓質微循環較為有利。有報導長期口服丹參、雞血藤可使骨關節痛、腹痛減輕,並可使病情穩定,且無副作用。
(2)山莨菪鹼(654-2):肌內注射,10mg/次,2次/d,連用20天。間歇1周再給第2個療程20天,2~3個療程後貧血及梗死症狀均緩解,以後改為10mg肌內注射,每周2次,維持6個月。發生危象者靜脈注射山莨菪鹼(654-2)10mg/次,4次/d。山莨菪鹼(654-2)能增加紅細胞膜的流動性,使紅細胞僵硬得到改善,保護細胞膜,延長紅細胞壽命,使溶血及梗死現象獲得改善。
(3)利尿劑和止血藥的套用:血尿明顯、持續時間長者,可用髓襻利尿劑如呋塞米和布美他尼(丁尿胺)或甘露醇滲透利尿,並口服碳酸氫鈉鹼化尿液。也可用氨基己酸(靜滴2~4g/d)或雲南白藥止血。
(4)抗生素的套用:有尿路感染、腎盂腎炎時,應及時使用抗生素如氨苄西林(氨苄青黴素)、頭孢拉定、頭孢哌酮等控制感染。抗生素的套用對保護腎臟,改善預後十分重要。預防感染,低鹽飲食及多飲水也是重要治療措施。兒童發熱時要及時補液,以防危象的發生。
(5)鎮痛藥的套用:疼痛劇烈時可口服阿司匹林、對乙醯氨基酚(撲熱息痛)、可待因等。維生素E、維生素C系抗氧化劑,可以減少鐮狀細胞對過氧化的反應。
(6)血管緊張素轉化酶抑制劑(ACEI)的套用:能降低腎小球毛細血管內壓,改善基底膜通透性,可減少尿蛋白的排泄,因為腎臟病的損害因素可能主要是血流動力學因素,長期的ACEI類藥的治療可延緩病變的發展,預防及延緩腎衰竭的發生。
(7)貧血的治療:慢性溶血性貧血可酌情輸血,輕度和中度貧血可不輸血,一般患者已適應慢性貧血,長期輸血會帶來較多弊端。促紅細胞生成素常無效。妊娠時加服葉酸10mg,3次/d。兒童患者早期適量輸血,既能糾正貧血,也有利於糾正尿液濃縮功能障礙。
(8)腎小管酸中毒的治療,口服碳酸氫鈉或枸櫞酸合劑糾正。
(9)透析及腎移植:在鐮刀細胞貧血患者中,腎移植的生存率與普通腎移植是基本相似的,此類患者若發生腎功能衰竭,透析及腎移植都是可以實行的,但長期生存率則由於多系統的併發症而較低。移植後的死亡率來看,腎移植是值得推薦的,但移植後仍有較多患者發生鐮狀細胞危象。
(10)基因工程:對鐮狀紅細胞病有條件時可套用基因工程進行治療。
預後預防
鐮狀細胞流行病學
鐮狀細胞性腎病藥物
