疾病概述
腦缺血見於多種神經外科疾病的病理過程中,如腦血管病、腦腫瘤等,也可見於心臟驟停、休克等全身性病理過程。腦缺血可表現為不同形式,有局灶性和瀰漫性腦缺血、永久性和暫時性腦缺血之分。但不論以何種方式出現,腦缺血的病理生理機制和生化改變基本相似,且與腦缺血的程度和持續時間相關。
疾病病因
造成腦缺血的病因健康搜尋是複雜的歸納起來有以下幾類:①顱內、外動脈狹窄或閉塞;②腦動脈栓塞;③血流動力學因素;④血液學因素等。
腦血管造影片輕度的動脈狹窄不至於影響其血流量一般認為必須縮窄至原有管腔橫斷面積的80%以上才足以使血流量減少。從腦血管造影片上無法測出其橫斷面積,只能測量其內徑。動脈內徑狹窄超過其原有管徑的50%時,相當於管腔面積縮窄75%即可認為是足以影響血流量的狹窄程度也就是具有外科意義的狹窄。
多條腦動脈狹窄或閉塞對腦血流的影響更大鵻,因為可能使全腦血流處於缺血鵻的邊緣狀態[CBF為31ml/(100g•min)]此時如有全身性血壓波動,即可引發腦缺血造成腦動脈狹窄或閉塞的主要原因是動脈粥樣硬化,而且絕大多數(93%)累及顱外段大動脈和顱內的中等動脈其中以頸動脈和椎動脈起始部受累的機會最多而動脈硬化則多累及腦內小動脈。
2.腦動脈栓塞動脈粥樣硬化斑塊除可造成動脈管腔狹窄以外,在斑塊上的潰瘍面上常附有血小板凝塊、附壁血栓和膽固醇碎片。這些附著物被血流沖刷脫落後形成栓子被血流帶入顱內動脈,堵塞遠側動脈造成腦栓塞使供血區缺血
最常見的栓子來源是頸內動脈起始部的動脈粥樣硬化斑塊被認為是引起短暫性腦缺血發作TIA最常見的原因火罐網栓子可很快分裂成碎片後溶解或向遠側動脈移動頸內動脈內鵻的栓子有大多數(3/4)隨血液健康搜尋的主流進入大腦中動脈鵻,引起相應的臨床症狀鵻
動脈栓塞另一個主要原因是心源性栓子。患有風濕性心瓣膜病、亞急性細菌性心內膜炎、先天性心臟病、人工瓣膜和心臟手術等形成的栓子隨血流進入腦內造成栓塞健康搜尋。少見的栓子如膿毒性栓子、脂肪栓子空氣栓子等也可造成腦栓塞健康搜尋。
3.血流動力學因素短暫的低血壓可引發腦缺血如果有腦血管的嚴重狹窄或多條腦動脈狹窄,使腦血流處於少血狀態時,輕度的血壓降低即可引發腦缺血例如心肌梗死、嚴重心律失常休克頸動脈竇過敏直立性低血壓、鎖骨下動脈盜血綜合徵等。
4.血液學因素口服避孕藥物、妊娠、產婦、手術後和血小板增多症引起的血液高凝狀態;紅細胞增多症鐮狀細胞貧血巨球蛋白血症引起的黏稠度增高均可發生腦缺血。
發病機制
腦血流減少但當CBF下降到一定閾值,腦自動調節機制失代償,腦最低能量需求得不到滿足則可引起腦功能性或器質性改變。當CBF≤20ml/(100g•min)時,引起神經功能障礙和電生理變化,此為腦缺血閾值。當CBF為15~18ml/(100g•min)時,神經遞質耗竭,突觸傳遞停止電活動消失此為神經元電活動缺血閾值如此時迅速恢復腦血流可使腦功能恢復。但當CBF進一步下降至15ml/(100g•min)時腦誘發電位可消失。CBF<10-12ml/(100g•min)時,ATP耗竭離子穩態破壞膜磷脂降解K+從神經元釋放到細胞外,Ca2+大量進入神經元內引起後者鈣超載,伴膠質細胞內Na+、Cl-和水分異常增加,細胞破壞死亡,此為離子穩態閾值通常低於此閾值腦損害為不可逆性。
但腦梗死的發生,除了與腦血流量有關外,還與腦缺血時間相關。在猴腦缺血模型中,如缺血時間為1-3h,則造成腦梗死的腦血流極限水平為10-12ml/(100g•min);如缺血為永久性17-18ml/(100g•min)的腦血流就可引起腦梗死。
2、腦缺血半暗區相對缺血核心區,在其周圍的腦組織缺血後血供減少,但依靠腦側支循環,神經元尚未發生不可逆死亡,在一定時限內恢復血流神經元可恢復功能。雖然細胞電活動消失,但仍維持細胞的離子穩態在解剖結構上嚴格區別半暗區較為困難,主要指通過藥物治療或恢復腦血流後能夠挽救的腦組織。但如果腦缺血進一步發展半暗區內細胞可死亡。半暗區是腦缺血後病理生理的研究重點,也是腦缺血治療的核心部分。
3、腦缺血的病理生理變化
(1)能量障礙:是腦缺血後主要的病理過程。腦組織完全缺血60s即可引起高能物質三磷腺苷(ATP)的耗竭,導致能量和蛋白質合成障礙使細胞結構蛋白和功能蛋白缺乏由於缺氧、無氧酵解加強,乳酸產生增多,導致細胞內外酸中毒,離子膜泵功能障礙細胞膜通透性增加,細胞內外的離子梯度無法維持K+外流Na+內流。細胞膜的去極化又促使Ca2+內流和谷氨酸釋放伴隨Na+的內流水分開始在細胞內積聚,引起細胞水腫,最終可導致細胞死亡
(2)興奮性神經毒性作用:缺血後細胞膜的異常去極化和大量Ca2+內流可引起神經遞質的異常釋放,其中包括谷氨酸、多巴胺γ-氨基丁酸(GABA)乙醯膽鹼和天冬氨酸等。這些物質的合成和攝取再利用都需要能量物質的供應,腦缺血時能量供應障礙,可使這些物質積聚,產生毒性作用谷氨酸是腦內主要興奮性神經遞質。目前認為它與兩類受體結合,發揮作用。一類為趨離子性受體,如N-甲醛-D-天冬氨酸(NMDA)、氨基-3-羥基-5-甲基-4-異吡咯丙酸(AMPA)等激活此類受體可影響離子的跨膜運動;另一類為趨代謝性受體不影響離子通道的功能當谷氨酸與NMDAAMPA等受體結合使離子通道開放,Ca2+大量內流,並通過Ca2+發揮細胞毒性作用。所以谷氨酸受體較多的細胞如海馬的CA1細胞和小腦的浦金野細胞易受缺血損害。採用谷氨酸受體拮抗藥可以減輕腦缺血後的梗死體積改善缺血半暗區的損害,證明以谷氨酸為代表的興奮性神經毒性作用在腦缺血的病理生理中起作用。但同時發現,谷氨酸受體拮抗藥對瀰漫性前腦缺血或局灶性腦缺血的核心區的腦損害改善不明顯表明腦缺血後的損害演變並非只有興奮性胺基酸參與。
血液細胞(免疫細胞)的分化細胞內Ca2+升高是腦缺血後的主要病理生理變化,可激發一系列反應導致細胞死亡。主要表現為激活Ca2+依賴的酶如:蛋白水解酶、磷脂酶、蛋白激酶、一氧化氮合成酶以及核酸內切酶等。這些酶在正常狀態下可保持細胞結構的完整,從而維持細胞功能但腦缺血時,磷脂酶如磷脂酶A2和磷脂酶C被過度激活,可釋放游離脂肪酸,最終產生自由基、血管活性物質和炎性物質等。磷脂酶A2可將氨基乙醇磷酸甘油酯磷醯膽鹼和其他細胞膜磷脂轉變為溶血狀態溶血狀態的磷脂如同細胞膜的去垢劑,破壞膜穩定性;也可促進血小板活化因子(PAF)的形成血小板活化因子是一種細胞因子,可介導炎症細胞與內皮細胞的黏附以及血小板的形成。腦缺血後的炎症反應和氧自由基反應可加速缺血後細胞損害。細胞內蛋白的磷酸化和去磷酸化是調節蛋白功能的重要形式蛋白激酶可對細胞結構蛋白和調節蛋白進行磷酸化從而改變蛋白功能例如腦缺血時細胞內Ca2+升高,激活蛋白激酶C,改變膜蛋白和通道蛋白的功能,影響細胞的離子穩態細胞內鈣還會調節基因的表達特別是超早期基因如:c-fos、c-jun可在腦缺血時表達增高
(4)酸中毒:酸中毒引起神經元損害的可能機制:腦水腫形成線粒體呼吸鏈抑制、乳酸氧化抑制和細胞內H+排出機制受損此外酸中毒還可增加血-腦脊液屏障的通透性酸中毒的損害作用取決於缺血前血糖水平和缺血的程度。缺血前的高血糖可使缺血後無氧酵解產生的乳酸異常增多,當組織中乳酸含量高於25μg/g時可產生腦損害作用
(5)自由基:自由基在腦缺血的病理生理過程中也起重要作用腦缺血後氧自由基產生增多特別是腦缺血再灌注後可使氧自由基產生更加明顯,以羥(0H-)氧(O2-)和H2O2產生為主再灌注後大量炎症細胞隨血流進入梗死區成為氧自由基的另一來源氧自由基的一個來源是花生四烯酸由Ca2+激活的磷脂酶A2產生;另一途徑來自於黃嘌呤氧化酶,Ca2+內流可使黃嘌呤脫氫酶轉化為黃嘌呤氧化酶作用於O2,產生O2-自由基可能改變磷脂和蛋白的結構引起磷脂過氧化反應破壞細胞膜完整性和DNA結構,造成細胞死亡。但自由基引起腦損害的確切機制目前尚不明確。
(6)一氧化氮(NO):一氧化氮在腦缺血/再灌注損傷中的作用得到重視其本身作為一種活潑的自由基,既能作為神經信息分子發揮作用也可成為神經毒性物質。不同部位的一氧化氮具有不同功能,可調節腦血管張力和神經傳遞一氧化氮本身不具有毒性作用,但在腦缺血後,升高的細胞內鈣刺激一氧化氮合成的增加,作為逆向神經遞質一氧化氮能介導產生氧自由基和花生四烯酸,引起自由基反應,導致神經元死亡過量合成能進一步分解產生更多、毒性更強的氧自由基造成細胞損害因一氧化氮半衰期很短直接研究尚有困難主要通過對一氧化氮合酶(NOS)研究來判斷。NOS有不同細胞來源、作用不同的3種同工型。認為一氧化氮在缺血中起保護作用還是破壞作用取決於缺血過程的演變和細胞來源腦缺血後興奮性胺基酸介導一系列連鎖反應激活Ca2+依賴NOS,包括神經元型NOS(nNOS)和內皮型NOS(eNOS)選擇性抑制nNOS具有神經保護作用,而選擇性抑制eNOS具有神經毒性作用。此外遲發缺血或缺血後再灌注可誘導不依賴Ca2+的誘導型NOS(iNOS)的產生主要位於膠質細胞,選擇性抑制iNOS具有神經保護作用因此nNOS的激活和iNOS誘導產生可介導缺血性腦損傷作用機制可能通過破壞線粒體功能、影響能量代謝而發揮作用最新研究發現,採用非選擇性NOS阻斷劑L-NAME能明顯減輕缺血/再灌注後的腦損害。採用L-NAME阻斷NOS活性80%以上也能明顯減輕缺血/再灌注後的梗死體積,表明由一氧化氮引起的自由基損害在再灌注損傷中起著重要作用。
(7)細胞因子和炎症反應:暫時性腦缺血後4-6h或永久性腦缺血後12h梗死區即可見炎症細胞浸潤腦缺血後再灌注可引起更明顯的炎症反應腦內炎症反應在缺血/再灌注損傷機制中起著重要作用這類炎症反應起始於致炎細胞因子在缺血區局部表達增多,以炎症細胞在腦缺血區的集聚為主要表現引起一系列的損傷反應,導致神經系統破壞。致炎細胞因子如:腫瘤壞死因子αβ(TNF-α、TNF-β)、白細胞介素巨噬細胞來源細胞因子、生長因子、趨化因子、單核因子等作為炎症細胞的趨化物質,對炎症細胞在缺血區的聚集起重要作用其中以白細胞介素-1(IL-1)的作用最為關鍵IL-1可能通過以下兩個途徑引起細胞損害:
①激活膠質細胞或其他細胞因子或內皮黏附分子刺激產生炎症反應。腦缺血後表達增高的IL-1能刺激其他細胞因子的表達,產生協同作用引起炎症細胞浸潤。炎症細胞在缺血區聚集,一方面能機械堵塞微血管使局部血供減少進一步加重缺血損害;另一方面浸潤的炎症細胞釋放活性物質破壞血管內皮細胞損害血-腦脊液屏障引起神經元死亡
目前推測腦內炎症反應起源於IL-1等致炎細胞因子的表達,釋放化學趨化因子以及誘導白細胞黏附分子的表達,從而使炎症細胞向缺血區聚集並被黏附於血管內皮細胞,釋放炎性介質。
②刺激花生四烯酸代謝或一氧化氮合成酶活性,釋放自由基引起自由基損傷。
(8)凋亡與壞死:腦缺血後缺血核心區腦血流基本停止,蛋白質合成終止細胞膜穩定性被破壞細胞內容物釋放細胞死亡即為通常所說的細胞壞死,為腦缺血後細胞損害的主要形式但近年來研究提示細胞凋亡或稱程式死亡也是腦缺血後的細胞損害形式特別是缺血半暗區的神經元或暫時性腦缺血伴再灌注等缺血程度相對較輕處形態學上細胞凋亡表現為染色質的濃縮和摺疊或形成碎片,細胞皺縮並在胞質內出現凋亡小體。腦缺血後凋亡現象出現於易受缺血損害的部位如CA1錐體細胞。
臨床表現
(1)暫時腦缺血:包括短暫缺血發作(TIA)和可逆性缺血神經障礙(rind)前者指因暫時缺血引起腦、視網膜和耳蝸等功能障礙,少有意識改變。症狀持續數分鐘少數可持續數小時但均在24h內完全恢復不留後遺症後者的發病同TIA只不過神經功能障礙持續大於24h,但不超過3周如超過3周者,則屬永久性腦缺血。根據病變累及範圍分為:
①頸內動脈系統TIA:突發短暫偏癱、偏身感覺障礙以單側面部、手部受累常見也可出現單眼短暫失明或黑蒙主側半球受累者有言語功能障礙,出現短暫失讀、失寫和失語。
②椎基動脈系統TIA:症狀較頸內動脈系統複雜眩暈同向偏盲為最常見症狀此外面癱耳鳴和吞咽困難等也可出現。頭痛復視共濟失調也可為患者主訴口周感覺障礙為腦幹受累表現。雙顳側內部缺血可出現突發記憶障礙,老年人多見,順行性遺忘較逆行性遺忘多見,可持續數小時。TIA和RIND後短期內是腦梗死的高發期9%-20%TIA和RIND患
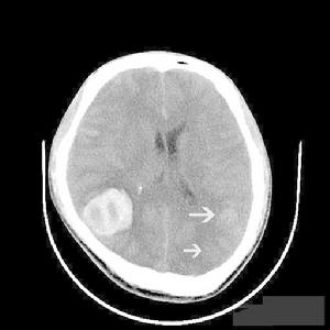
腦組織梗死液化(2)腦梗死:常起病突然,根據病情有穩定型和進展型之分,前者指病情穩定無進展,歷時24~72h又稱完全性腦卒中11%-13%患者起病隱匿無臨床症狀和體徵,僅影像學發現有缺血灶。
(3)邊緣型梗死:邊緣區位於大腦中動脈、大腦前動脈之間和大腦中動脈與大腦後動脈分支交匯處。此外,小腦供應血管之間基底節區皮質下都有類似邊緣區。這些區域主要由各大血管末梢支供血最易受到缺血損害形成從額葉到枕葉的鐮形缺血灶。
(4)腔隙性梗死:由小穿通動脈病損引起的腦深部微小梗死占腦梗死的12%~25%。梗死好發於基底節區以及丘腦、腦橋內囊和白質內,可隱匿起病、無症狀或表現為神經功能障礙意識狀態和高級皮質功能不受影響。
併發症
頸動脈血栓內膜切除治療後可能並發腦梗死以及腦出血心肌梗死傷口出血或感染腦神經損傷等,術後也可能出現頸動脈再狹窄。血管內支架成形術可能並發腦栓塞、夾層動脈瘤再狹窄穿刺部位血腫和假性動脈瘤等。疾病診斷
診斷
頸內動脈和椎動脈系統鑑別診斷
病需要與出血性疾病相鑑別高血壓性腦出血的主要特點是:
1.多見於50歲以上的高血壓動脈硬化病人。
2.常在白天活動用力時突然發病
3.病程進展迅速,很快出現意識障礙及偏癱等完全性卒中的表現。
4.腦脊液為均勻血性。
CT或MRI掃描可以進一步明確診斷。
疾病檢查
輔助檢查:
MRI(磁共振成像)MRI檢查對早期腦梗死的診斷有一定的幫助。發生腦梗死後6h梗死灶內水分已經增加3%~5%此時梗死灶呈長T1和長T2改變,表示存在細胞毒性腦水腫。在24h左右,梗死灶內血-腦脊液屏障破壞,注射Gd-DTPA做MR增強掃描可見明顯的信號增強發病1周后梗死灶仍可表現長T1和長T2,但T1值較早期縮短如梗死灶內有出血,呈T1值縮短而T2值仍然延長。
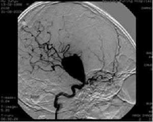
2.腦血管造影 腦血管造影在腦缺血病的診斷上是不可缺少的重要檢查可以發現血管病變的部位、性質、範圍及程度。應儘量做全腦血管造影,並包括頸部的動脈和鎖骨下動脈必要時還應檢查主動脈弓部如首次造影距手術時間較長術前還需重做造影檢查。腦血管造影具有一定危險性,對有動脈粥樣硬化的患者危險性更大,可引起斑塊脫落造成腦梗死。近年來套用經股動脈插管造影,較直接穿刺頸總動脈造影更安全,且具有高度血管選擇性可選用雙向連續造影包括顱內及顱外循環。
在腦缺血疾病的患者中,有相當一部分是由於顱外血管病變所致動脈硬化引起的狹窄或閉塞具有多發性,可有數條動脈受累,也可表現為同一條動脈上有多處病變。
3.腦血流測定 測量方法有吸入法靜脈法和頸內動脈注射法,以頸內動脈注射法最準確。注射氙(131Xe)溶液到頸內動脈,用多個閃爍計數器探頭放在頭部測定局部及全腦的血流量,用此法可計算出灰質白質及腦不同區域的血流量定出缺血區局部腦血流量(rCBF)測定除有助於確定是否需要手術吻合血管外還能證實吻合後局部缺血狀況是否改善。因此病人有局部神經功能障礙腦血流量測定顯示局部血流減少而全腦正常或全腦血流減少而局部減少更甚,是顱外顱內動脈吻合手術的指征。如患者有TIA歷史而無神經功能障礙血管造影顯示腦動脈梗阻,但側支循環良好,腦血流測定表現兩半球皆有輕度缺血則不需做動脈吻合術
4.其他檢查方法
頸總動脈彩色超聲都卜勒聲像圖經顱彩色都卜勒檢查可以判定腦底動脈環、大腦前動脈大腦中動脈、大腦後動脈頸內動脈顱內段及椎基動脈等顱內大血管的血管深度血液方向、血流速度和搏動指數等,依此可判定哪根血管有病變。
(2)腦電圖:腦缺血嚴重時腦電圖才表現異常。發生腦梗死後,腦電圖表現異常幾天后開始好轉至發病後8周,仍有約半數病人顯示有局限性異常,但以後逐漸恢復正常。與此同時神經損害症狀卻持續存在腦梗死灶在腦電圖上顯示局限性慢波。
(3)腦核素掃描:常用鎝(99mTc)靜脈注射法掃描此方法只能掃描出直徑大於2cm的腦病變灶,TIA病人和有腦幹,小腦梗死者掃描多為陰性檢出的陽性率與病程的發展階段和注入核素後掃描時間有關,腦梗死發生後2-3周,水腫消退,有側支循環使核素能進入梗死區掃描陽性率最高;注入核素後2-4h掃描的陽性率最高。
(4)視網膜中心動脈壓測定:頸內動脈的顱外段嚴重狹窄或閉塞時大多數病人同側的視網膜動脈壓比對側低。用眼動脈壓測量計測量兩側視網膜中心動脈的收縮壓及舒張壓,如果兩側的壓力相差20%以上則有診斷意義。
疾病治療
1、內科處理
測量血壓(2)降顱壓及減輕腦水腫:有顱內壓增高徵象者視病情輕重給予適當的脫水藥,如20%甘露醇、10%甘油等類固醇可用來防止或減輕腦水腫避免或延緩腦梗死病人發生腦疝而死亡故多被採用以地塞米松效果為好尤其對血壓偏低者更適用。低溫療法能降低腦代謝和耗氧量但易發生其他合併症故需慎重地套用。
(3)低分子右鏇糖酐:它能使血漿容量增加,使循環血液黏稠度降低使微循環中血球凝聚及血栓形成的傾向降低。也可用羥乙基澱粉(706代血漿)靜脈點滴
(4)擴張血管:血管擴張劑宜在病程第1~2周時使用,以免早期使用加重腦水腫使用中如血壓下降或原有症狀加重應及時停藥。星狀神經節的阻滯用於擴張血管,似未見到明顯效果吸入5%二氧化碳雖能使正常人腦血流量增加50%~70%但對缺血性卒中患者並未見到好處因為腦梗死區血管對二氧化碳的反應消失而不引起擴張,正常腦區的血管擴張使血液從梗死區流入正常腦區梗死區缺血更加嚴重,即所謂“腦內盜血現象”。
(5)抗凝治療:對有血小板異常的病人可口服阿司匹林300mg2~3次/d,術後套用600mg2次/d;也可用雙嘧達莫(潘生丁)或二者合用阿司匹林套用於TIA病人可減少TIA發作及預防腦梗死的發生纖維蛋白分解劑如鏈激酶和尿激酶曾被用以溶解腦血栓但臨床上也未見到明顯效果,還有增加出血的危險。目前國外套用組織型纖溶酶原激活劑(TPA)溶解急性期血栓形成(發病9~12h以內),取得了初步效果
(6)高壓氧治療:對一些局部腦血流量減少而發生卒中的病人給高壓氧1~2h能使其神經功能及腦電圖改善
(7)其他:對某些可予糾正的病因如血小板增多或聚集性增高、血脂異常等應給予及時檢查及處理。保持呼吸道通暢等一般療法,各種合併症的及時發現與治療,也應充分重視。
尼莫地平在腦缺血或腦梗死的急性期使用可明顯增加腦血流量但不能減少梗死灶的大小。光量子療法治療腦缺血病人是將病人靜脈血抽出進行紫外線照射和加氧處理後回輸體內可使神經功能障礙得到一定程度改善。
2、頸動脈血栓內膜切除
(1)外科治療的機制:研究表明頸動脈管腔狹窄<70%時,腦血流(CBF)仍保持不變可是,當狹窄≥70%,管腔橫切面減少90%,即引起顯著的CBF減少由於腦有豐富的側支循環如腦底動脈環頸內動脈與頸外動脈的交通支、軟腦膜動脈間的交通支等即使腦動脈完全阻塞,可不引起任何神經功能障礙動脈管腔內血栓形成或栓塞是錯綜複雜的過程,受下列多種因素相互作用:血液成分血管壁內膜、局部腦血流的特徵如流速漩渦等。頸動脈粥樣硬化引起管腔高度狹窄是上述諸因素所促成的血栓所致。因此頸動脈血栓內膜切除能防治腦卒中,不僅由於增加CBF而且消除了潛在的腦血栓和栓塞的根源。
(2)頸動脈狹窄常見的病因:
①動脈粥樣硬化:最常見,常表現為多發性,累及頸總動脈分叉、頸部頸內動脈(ICA)海綿竇內ICA、基底動脈和大腦中動脈(MCA)等在頸總動脈分叉的病變常同時累及頸總動脈(CCA)的遠心端和ICA的近心端,病變主要沿動脈後壁擴展,提示局部腦血流衝擊血管內膜所致
②頸動脈纖維肌肉發育不良:為一種非炎症血管病,以引起頸動脈和腎動脈狹窄為其特徵。好發於20~50歲白種女性。常同時累及雙側頸動脈、椎動脈但CCA分叉常不受累(異於動脈粥樣硬化)。20%~40%病人伴顱內動脈瘤。
③頸動脈內膜剝離:有外傷和自發兩種。外傷者由於鏇轉暴力使頸過伸,頸動脈撞擊於頸2橫突上。自發者常伴動脈粥樣硬化和纖維肌肉發育異常。本病在血管造影上有下列典型表現:CCA分叉遠端頸部頸動脈呈鳥嘴狀狹窄或阻塞,可延伸達顱底,有時伴動脈瘤
(3)手術適應證和禁忌證:
①適應證:
A.反覆單側頸動脈系統一過性缺血性發作(TIA)頸動脈狹窄≥70%。如雙側動脈均有狹窄選擇前交通充盈側先手術。如頸動脈近端遠端均有病灶,應選近端先手術。
B.如出現TIA,表現短暫單眼盲(黑矇)發作或輕型完全性腦卒中CT無大的梗死或出血性梗死及占位征,增強CT無血-腦脊液屏障破壞表現。儘管頸動脈狹窄程度未達到上述標準也應手術
C.單純椎基動脈系統TIA,手術指征不強但如椎動脈34段狹窄嚴重,伴頸動脈系統側支供血者也可手術
D.無症狀頸動脈狹窄者應根據狹窄程度側支循環潰瘍斑部位CT或MRI腦梗死灶等決定手術與否。
E.輕型進行性腦卒中內科治療無效者並有CT表現。
②禁忌證:
A.中-重型完全性腦卒中。
B.有嚴重冠心病或其他器質性病變者。
C.頸動脈狹窄範圍超過下頜角達到顱底
D.頸動脈完全阻塞,並且血管造影顯示沒有側支逆流到達岩骨段ICA。
(4)手術時間選擇:迄今仍有爭論不論是短暫腦缺血發作(TIA)或完全性腦卒中,如不治療,腦缺血或梗死的再發率明顯增高因此及時檢查和治療是必要的一般認為對無上述危險因素者,CT無腦水腫出血跡象在發病後均應及早手術對急性頸動脈阻塞如血管造影顯示側支循環血流可到達岩骨段ICA者,應急診手術。
3、顱內外動脈吻合術
病人的選擇:
(1)手術適應證:
①TIA、輕型腦卒中、輕型完全性腦卒中經內科治療無效者。
②腦缺血病人經全腦血管造影證實大腦中動脈狹窄或阻塞側支循環不良;頸內動脈狹窄或阻塞不適合作頸動脈內膜切除
③一側頸內動脈狹窄對側頸內動脈阻塞,欲做狹窄側頸內動脈內膜切除者,應先作阻塞側顱內外動脈吻合術
④區域性腦血流測定有局部或偏側腦低灌注。
(2)手術禁忌證:
①有嚴重全身性疾病如肺心肝、腎及嚴重糖尿病者。
②中-重度完全腦卒中
③腦血流測定有廣泛中-重度缺血。
④腦血流測定正常者
⑤腦卒中急性期。
手術中應根據解剖的具體情況選擇血管合適部位進行吻合另外,術中輕柔仔細地處理血管、熟練的顯微血管吻合技術以及選擇創傷小且得心應手的手術器械是手術成功的重要保證。
4、血管內支架成形術支架成形術的適應證較廣泛從頸總動脈到頸內動脈虹吸部以下的任何部位的狹窄以及椎動脈狹窄,都可用這種方法,包括動脈粥樣硬化、肌纖維發育不良所致狹窄、動脈慢性炎症、頸動脈內膜切除術後再狹窄PTA術中血管擴張不滿意PTA術後動脈壁形成夾層或再狹窄。隨著技術的進步,顱內腦血管狹窄也可為其適應證
(1)禁忌證:①顱內動脈瘤或動靜脈畸形;②顱內狹窄比顱外狹窄重;③急性期脈管炎
(2)治療要點:
①術前準備:所有病人於術前應行抗血小板聚集和抗凝治療1周。
②手術方法:
A.局部麻醉,手術途徑可經股動脈也可經頸動脈或腋動脈。術中持續點滴肝素5000U,使凝血時間維持在200~250s。
B.造影和預擴張:以頸動脈為例將8F導管鞘置入股動脈內,5F導管插入頸總動脈內造影,判斷頸動脈狹窄的部位和程度。造影后將導引管插到頸總動脈接近狹窄部位,將球囊成形和阻塞導管插入到狹窄段遠端用造影劑充盈使阻塞導管末端乳膠球囊擴張以阻斷血流然後以成形球囊擴張狹窄部位,將成形球囊導管撤出,通過帶閥的導管接口將粥樣硬化斑碎屑抽出體外部分則沖入頸外動脈再使阻斷球囊回撤導管,完成造影和預擴張再行造影以了解擴張情況
C.支架置入:根據不同動脈及其狹窄程度選擇適當導管。在頸總動脈選擇支架直徑為8mm分叉部位為6~7mm,頸內動脈為5mm長度一般為4cm也可根據實際測量來選擇。支架置入時應在導引管的引導下從股動脈鞘推進,儘可能準確地放在狹窄部位。放置時囑病人儘量安靜臥位不動要有好的骨性標誌作參考支架遠端一定要完全打開,支架放置後行造影觀察效果。
(3)注意事項:
①動脈阻斷耐受:多數病人對動脈阻斷耐受性強不能耐受者見於多發性狹窄。
②術後治療量肝素維持到第2天,皮下注射肝素1個月華法林治療2-3個月。
③術後股動脈鞘保留到第2天行造影后拔除。
5、椎動脈減壓術 椎動脈狹窄除了動脈硬化這個最常見的原因外頸椎關節病的骨質增生也是原因之一正常兩側椎動脈變異很大可能一側發育不良而主要依靠另一側供血,此時若發育不良一側受壓則不出現症狀;但如果後交通動脈發育好能充分供應椎、基底動脈的側支血流,即使兩側椎動脈都受壓也可以不出現症狀。
頸椎關節病壓迫椎動脈造成的椎、基底動脈缺血症狀在轉頭向後看、向上看起床或改變身體姿勢時出現。主要有頭痛、視力障礙、四肢麻木出冷汗眩暈噁心嘔吐等偶有耳鳴及聽力喪失或眩暈骨質增生壓迫頸神經根則有頸及肩部疼痛少數有腦神經障礙小腦體徵,偶有半身運動及感覺障礙。X光平片可見頸椎關節骨質增生,椎間孔顯著狹窄血管造影檢查除照常規的正、側位片外,還可使頭後仰或向一側過度轉動再拍片。向同側轉頭使椎動脈受壓增加,可造成近全梗阻。椎動脈受壓部位多在頸5-6頸4-¬5頸5-7,多為一側椎動脈受壓也可雙側都受壓。
有臨床症狀,造影顯示一側或雙側椎動脈受壓狹窄均為手術指征只有椎動脈向外移位而無狹窄的不必做手術。
去骨瓣減壓(1)大面積大腦梗死:手術時機和適應證:常規內科治療歷來是治療腦梗死的主要方法已形成一套較完善的治療方案,也是治療大面積腦梗死的最基本和必要的手段。
對一部分大面積腦梗死的病人,經積極內科治療後,病情仍進行性加重,若不進行減壓手術病人極有可能死亡因此許多學者將此時進行的減壓性手術稱為“救命”性手術是常規內科治療的必要補充。去骨瓣減壓術最早被用於解除當時無法定位的腦部腫瘤引起的顱內壓升高1935年Greco曾對1例大面積腦梗死的病人施行去骨瓣減壓術,以後曾有多位學者作過報導。這種治療有四種目的:①保存生命;②阻止梗死擴大;③防止系統併發症;④有利於康復。
手術適應證:
①病人經積極內科治療無效而處於腦疝早期或前期
②CT見大面積腦梗死和水腫,中線結構側移≥5mm,基底池受壓。
③顱內壓(ICP)≥30mmHg。
④年齡≤70歲。
⑤排除系統疾病。
決定手術成敗和遠期功能恢復的一個關鍵因素是手術時機的把握。許多作者認為一旦有手術適應證儘早手術可減少梗死面積降低併發症,有利於以後康復Reike認為進行手術最晚不能超過的時間是:瞳孔已有改變並對脫水等治療無反應。當瞳孔已散大固定後即不宜手術,並認為連續ICP監測可為早期手術提供指導作用,一旦腦幹發生不可逆損傷手術效果必差。Koadziolka認為在出現第一個腦幹體徵時,即一側瞳孔擴大對光反應消失時宜儘快進行開顱減壓術。而Dalashaw則認為若神經功能進行性加重不必等出現腦疝體徵時即可行手術治療。另外對主側半球大面積腦梗死認為最好不行此手術,因為即使病人術後得以生存但生活質量較差因此應根據病人的神經系統體徵變化,連續CT檢查和ICP監測進行綜合分析,決定最適合的手術時機。
(2)大面積小腦梗死:手術適應證及時機:小腦梗死後由於腦水腫而出現逐漸加重的占位效應。表現為腦幹受壓移位、四腦室移位變形,伴有阻塞性腦積水臨床表現除小腦症狀外還有腦幹損害和ICP升高症狀。由於大面積小腦梗死死亡率極高,及時進行減壓性手術的觀點已在許多學者中形成共識,並認為手術是惟一有效的措施。
早在1956年Fairburn和Lindgren等首先報導枕下減壓術治療大面積小腦梗死Heros認為手術目的不是針對腦梗死本身,而是針對因腦水腫所繼發的腦幹受壓和腦積水因此對小腦梗死病人應密切觀察神經系統體徵變化,定期複查頭顱CT和MRI另外決定是否進行手術治療尚需對腦幹原發和繼發性損害進行鑑別若發病一開始就有腦幹體徵,表明為原發性腦幹梗死如早期結合腦血管造影和MR檢查則診斷更易明確原發性腦幹梗死不宜手術,繼發性腦幹受壓則是手術指征同時患者的年齡和全身情況也是選擇手術應該考慮的因素。
對手術時機的選擇仍有爭議多數作者認為一旦病人出現神志改變即可手術Chen等認為內科治療無效病情加重再拖延必然致死時則有手術指征。Heros曾根據小腦梗死的臨床表現分為三期:早期為小腦症狀;中期為腦幹受壓症狀,但病人神志清楚;晚期病人昏迷去皮質強直,伴有呼吸循環功能異常。許多作者認為Heros的臨床分期對手術時機的選擇有指導作用Hornig根據這一分期在其治療的36例病人中發現:中期病人雖可保守治療持續一段時間但多數於24h內出現繼發性腦幹損害和進入昏迷狀態一旦進入第三期則手術效果較差,因此他選擇治療的手術時間為第二期的早期,即使如此,他仍認為對進入第三期的病人手術減壓仍是惟一有效的選擇。
常規護理
鍛鍊2、急性期臥床休息1—2周。
3、低脂、高維生素、易消化飲食。
4、心理護理,樹立治療信心。
5、觀察意識、瞳孔、呼吸、脈搏、血壓的變化,注意有無意識障礙、顱內壓增高的症狀,有無新的栓塞形成(如:失語、意識逐漸不清)
6、觀察藥物的副作用。注意有無出血傾向。用低右時觀察有無發熱、蕁麻疹過敏反應。
7、癱瘓保持功能位。病情穩定後,作被動運動和按摩。
8、及時給氧氣吸入。
9、出院時指導病人加強肢體的功能鍛鍊、語言訓練。
預防預後
預防
積極預防、治療動脈粥樣硬化斑塊防止栓子脫落,注意病因方面的防治。
預後
現代外科治療腦缺血利用半暗帶的神經元耐受缺血的時間(治療窗)採用各種方法恢復腦血流,挽救瀕死的神經細胞治療窗的大小取決於缺血時間和有效側支循環的建立一般認為,人類的腦缺血治療窗為缺血發生後3-6h如側支循環好,大腦中動脈阻斷8h恢復血流,預後仍好。
流行病學
腦血管疾病是造成人類死亡的三大疾病之一,在美國占人口死亡的第3位,在日本占第2位,在中國則占人口死亡的第1位,特別對50歲以上的人危害更大。各種原因的腦血管疾病在未發生急性發作之前為一緩慢過程,急性發作稱為卒中,其中缺血性腦卒中占75%-90%,出血性腦卒中占10%-15%。
注意事項
1.腦缺血性病是一緩慢進行的病,並有突發性事件出現的可能。單純用擴血管藥物,其作用比較有限,甚至在用藥的情況下還可能發生隱性腦梗死。
百路達膠囊3.生活上應戒菸禁酒,避免暴飲暴食,減少油膩食物攝入,適量運動。條件許可的話,每天做氧吸入治療1小時左右。
4.花生可以吃,但應去皮吃,因花生皮有促凝血作用,可能會增加腦梗死的機會。

