腦內動脈瘤流行病學
腦內動脈瘤CT掃描在腦血管意外中,腦動脈瘤僅次於腦梗死和高血壓性腦出血,占第2位。事實上,腦動脈瘤的發病率很難準確計算因為有相當一部分死於蛛網膜下腔出血的病人未進行詳細檢查而腦動脈瘤又是蛛網膜下腔出血的最主要最常見的原因。另外,腦動脈瘤的確診多依靠屍檢、手術和腦血管造影,一部分存在腦動脈瘤而未發病者也未計算在內因此腦動脈瘤的發病率大多是從屍解資料中得來的,同時,由於人們對腦動脈瘤的診斷標準不一,統計的方法、對象、時間、經驗細緻程度不一,各報導中的發病率懸殊較大據統計每1.3萬人口中,每年就有1例蛛網膜下腔出血的病人,臨床上,以蛛網膜下腔出血形式發現的動脈瘤為每年在2.5萬人口中就有1例(0.04%)。1966年Locksley統計的5431例自發性蛛網膜下腔出血病人中,動脈瘤破裂占51%;1980年上海協作統計的腦動脈瘤破裂亦占蛛網膜下腔出血的51%。在腦出血病人中因腦動脈瘤破裂所致者約占25%。據各個學者報導統計,在一般屍解中其發現率為0.5%~7.9%,未破裂的動脈瘤占0.7%~4.9%,破裂和未破裂的動脈瘤合在一起的平均發病率為5%。Hamby估計在一般人群中動脈瘤的發生率為0.5%~1%。據不同國家學者估計每年每10萬人口中有腦動脈瘤病人3~10例,而未破裂的動脈瘤的發生率每10萬人口中有450例。
先天性腦動脈瘤可發生在任何年齡。年齡最小者為生後64h,最大者為94歲,約1/3以上病例在20~40歲發病半數以上的病人年齡在40~60歲。發病高峰年齡為50~54歲10歲以下及80歲以上很少見。
病因
腦內動脈瘤圖示動脈瘤形成的病因,概括有以下幾種:
1.先天性因素 腦動脈管壁的厚度為身體其他部位同管徑動脈的2/3,周圍缺乏組織支持,但承受的血流量大尤其在動脈分叉部管壁中層缺少彈力纖維,平滑肌較少,由於血流動力學方面的原因,分叉部又最易受到衝擊,這與臨床發現分叉部動脈瘤最多向血流衝擊方向突出是一致的。管壁的中層有裂隙、胚胎血管的殘留、先天動脈發育異常或缺陷(如內彈力板及中層發育不良)都是動脈瘤形成的重要因素。先天動脈發育不良不僅可發展成囊性動脈瘤,也可演變成梭形動脈瘤。動脈瘤病人的Willis環變異多於正常人,兩側大腦前動脈近端發育不對稱與前交通支動脈瘤的發生有肯定的關係,即動脈瘤由發育好的一側前動脈供應,該側不僅供血到動脈瘤,還供血到兩側前動脈。動脈瘤常與一些先天性疾患如顱內動靜脈畸形、主動脈弓狹窄多囊腎、隱性脊柱裂、血管痣並存。有家族性顱內動脈瘤,這也是先天性原因的一個佐證。
顱內動脈瘤在西歐、東歐、日本、美國、智利、瑞典較多遠比顱內動靜脈畸形多,它們之間的比例為8∶1~4∶1。但在中國、印度、中東動脈瘤卻少得多,而動靜脈畸形相對較多在中國它們之間的比例為1∶1。Bhagwati認為印度的動脈瘤少與Willis動脈環的先天變異少有關,他連續解剖了1021例Willis動脈環,發現其變異如血管缺如、索條狀血管副血管、重複血管、前交通支融合及多發異常等占30.4%,認為解剖上的變異少是印度顱內動脈瘤少的一個因素。在1021例Willis動脈環僅發現2例(0.2%)動脈瘤,都在大腦中動脈,都有全身性的動脈粥樣硬化,而Willis動脈環無解剖變異。在西方的屍解中,顱內動脈瘤為0.93%~3.7%。因此認為印度的顱內動脈瘤少是由於腦血管的先天變異及粥樣硬化少的關係。但也可能與飲食內容不同有關。
動脈硬化2.動脈硬化 動脈壁發生粥樣硬化使彈力纖維斷裂及消失,削弱了動脈壁而不能承受巨大壓力。硬化造成動脈營養血管閉塞,使血管壁變性。40~60歲是動脈硬化發展的明顯階段同時也是動脈瘤的好發年齡,這足以說明二者的相互關係。尤其是梭形動脈瘤多與動脈硬化有關,也可由於先天性動脈發育不良。晚近發現垂體腺瘤病人較其他腫瘤易於並發顱內動脈瘤,但是否因長期高水平的生長激素誘發動脈硬化所致尚無定論。
3.感染 感染性動脈瘤約占全部動脈瘤的4%。身體各部的感染皆可以小栓子的形式經血液播散停留在腦動脈的周末支,少數栓子停留在動脈分叉部顱底骨質感染顱內膿腫、腦膜炎等也會由外方侵蝕動脈壁,引起感染性或真菌性動脈瘤。感染性動脈瘤的外形多不規則。
4.創傷 顱腦閉合性或開放性損傷、手術創傷,由於異物、器械、骨片等直接傷及動脈管壁,或牽拉血管造成管壁薄弱形成真性或假性動脈瘤和平時期的創傷性動脈瘤多位於頸內動脈的海綿竇部,由於該部的顱骨骨折引起。戰爭彈片傷造成的顱內動脈瘤占戰爭創傷患者的2.5%;大多數是由於彈片從翼點(額、頂、顳骨與蝶骨大翼交界處)穿入,造成大腦中動脈的主要分支、大腦前動脈的胼周動脈及眼動脈動脈瘤。
5.其他 此外還有一些少見的原因如腫瘤等也能引起動脈瘤顱底異常血管網症、腦動靜脈畸形、顱內血管發育異常及腦動脈閉塞等也可伴發動脈瘤。
除上述各原因外,一個共同的因素是血流動力學的衝擊因素。Hashimoto將高血壓鼠的一側頸總動脈在頸部結紮則動脈瘤出現於前交通動脈及結紮側的後交通動脈。當兩側頸總動脈都被結紮,則在大腦後動脈及基底動脈出現動脈瘤。這些動脈瘤的部位正是血流衝擊力增加的部位臨床上將腦動脈畸形切除,則有關的顱內動脈瘤也變小或消失。供應前交通支動脈瘤的一側頸內動脈也多半供應兩側大腦前動脈,而對側大腦前動脈近端發育不良,這些都支持了血流動力學這個因素。年輕病人有多囊腎使血壓升高也會引起動脈瘤,甚至於多個動脈瘤。
總之,動脈壁有上述先天因素、動脈硬化、感染或外傷,加上血流的衝擊是動脈瘤形成的原因。在臨床上有時可見到下列情況發展成動脈瘤:①殘餘的動脈瘤蒂:即夾閉動脈瘤時剩下一小部分薄壁。②動脈分叉處的膨隆:如頸內動脈-後交通支交界處的膨隆。③動脈壁的一部分向外突出。這些可在2~10年演變成動脈瘤。
發病機制
腦內動脈瘤檢查圖動脈瘤發生後常常進一步發展,出現動脈瘤擴大。高血壓是導致動脈瘤逐漸擴大的一個重要後天因素。動脈瘤腔與瘤頸的大小、動脈瘤體擴展的方向等都與動脈瘤的擴大有一定的關係。動脈瘤形成後由於瘤腔內壓和血流呈湍流狀態的作用,使瘤壁發生損傷導致瘤腔擴大和增厚而使動脈瘤擴大,亦可形成瘤腔內附壁血栓,瘤壁擴張,動脈瘤擴大。動脈瘤破裂後,動脈瘤周圍很快形成一個纖維蛋白保護膜,此膜在3周后逐漸增厚,並且有毛細血管增生,形成新的瘤壁,而新生毛細血管亦可破裂出血,出血限於壁內或壁外使瘤壁增厚或形成新的瘤壁,動脈瘤逐漸擴大。這一過程亦被認為是巨大動脈瘤形成的一種新機制。
動脈瘤的破裂實際是只有瘤壁的滲血,在破裂出血的病例中,開顱直接探查時常見顱內雖有出血,但動脈瘤仍保持完整,並無肉眼可見的動脈瘤壁穿孔這種破裂與想像中的動脈瘤爆裂(如術中動脈瘤破裂)是不同的,這種情況下往往出血十分洶湧,病人常在幾分鐘之內陷入昏迷因腦幹受損而迅速死亡。出血導致的顱內壓增高以及腦血管痙攣雖然可作為一種對抗力量來制止動脈瘤破口處的出血,但是,這又可因腦灌注壓的不足而引起腦的缺血性損害。動脈瘤的破裂往往是由於動脈血管壁的壞死、玻璃樣變化、鈣化及動脈瘤內的血流渦流等引起。在顯微鏡下可見出血動脈壁的內膜有小塊壞死區這種壞死的原因可能是動脈壁上的供血不足,這種壞死多引起滲血,並非動脈穿孔出血有時亦為壁內出血以及壁內炎性細胞及纖維素浸潤,導致破裂。血液的衝擊使動脈瘤內膜出現小的破損,血液進入破損處滲入瘤壁的夾層形成瘤壁的分裂過程,最後導致瘤壁滲血。另外,高血壓可增加動脈瘤瘤腔內的張力和瘤壁的負荷,加速瘤壁的動脈硬化,增加破裂的可能。上述變化在動脈瘤的頂部最明顯有人統計約83%破裂的動脈瘤在囊的頂部
憂慮、緊張、激動、血壓突然升高大小便、用力、妊娠晚期分娩、體力勞動、性生活等僅是動脈瘤破裂的誘發因素很多病人在出血前即有陣發性頭痛眼肌麻痹復視、頭昏、頸痛等先驅症狀,說明動脈瘤在破裂之前,動脈瘤壁已有病理改變,在誘因存在的情況下,已發生分裂的動脈瘤壁出現破裂。腦動脈瘤病人在做下俯動作和用力大便時,可使動脈瘤腔內壓力突然增加,而導致破裂在更多的情況下,出血是在沒有明顯誘因時突然發生的。
動脈瘤破裂出血後,出血處由血凝塊凝固以及血管痙攣收縮而達到止血的目的,加之腦脊液的促進作用,破裂處停止出血。在出血後1~2周,纖溶現象亢進,使破裂處纖維網脆弱血凝塊液化,由於此時動脈壁破裂口的纖維化尚不牢固,故容易發生再出血。另外顱內壓對動脈瘤再破裂也有一定影響。當顱內壓低於3.8kPa時,新近出血的動脈瘤容易再次發生破裂出血。
腦底動脈環分叉處先天性腦動脈瘤好發於腦底動脈環分叉處及其主要分支約85%的先天性動脈瘤位於Willis動脈環前半環頸內動脈系統,即頸內動脈顱內段、大腦前動脈前交通動脈、大腦中動脈、後交通動脈的後半部。其中以頸內動脈的虹吸部發生最多。大腦前動脈及前交通動脈次之,大腦中動脈再次之。左右兩側半球發病率相近,右側稍多於左側其中大腦前動脈占4.3%~9.0%,前交通動脈占9.6%~28%;椎動脈占2.3%~4.6%,基底動脈占1.7%~8.9%。其分布情況如下:頸內動脈41.3%,前交通動脈26.1%,大腦中動脈20.4%,大腦前動脈7.6%,椎-基動脈4.6%。
屍檢報告中與臨床統計上兩者的動脈瘤分布無多大差異有人屍檢統計,頸內動脈占26%,大腦中動脈占39%,大腦前動脈及前交通動脈占24%,椎-基動脈占8%,其他部位占3%。基底動脈環的後半環的動脈瘤占3%~16%。以往由於椎-基動脈造影未全面進行,故其發病率較低,現在普遍套用4條血管造影的病例中,椎-基動脈瘤的發生率占腦動脈瘤全部的15%左右。
如果動脈壁呈不對稱性囊狀擴張,即稱之為囊狀動脈瘤,小的囊狀動脈瘤有瘤頸狹窄者又稱之為漿果狀動脈瘤。絕大多數先天性動脈瘤呈囊狀或漿果狀,亦可呈小結節狀,稱之為分葉狀動脈瘤,其他形態有葫蘆狀圓球狀臘腸狀等。瘤壁一般光滑如囊,多數由先天薄弱的血管壁構成,常位於較大動脈的分叉處。動脈瘤與載瘤動脈相連處較狹窄稱為瘤頸(蒂)或基底,瘤頸寬窄很不一致;與瘤頸相對的遠側最突出的部分為瘤底(頂)介於瘤頸與瘤底之間的部位稱為瘤體(囊)。小阜為瘤囊上小的隆起,常為動脈瘤發生破裂之處或破裂後的遺蹟。
動脈瘤頸的粗細與長短決定著動脈瘤的外形瘤頸有時很長,使動脈瘤呈燈籠狀懸掛於動脈的一側;有時瘤頸很粗短使動脈瘤呈錐狀突出於動脈壁的一側;有時瘤頸完全缺如,即瘤頸與載瘤動脈的直徑相近或大大超過其直徑時,特別是巨大動脈瘤,載瘤動脈的部分管壁直接參與瘤頸的組成動脈瘤壁的厚薄差異亦較大,厚者與主幹動脈近似薄者可僅有一層內膜。瘤底常是動脈瘤較薄弱的地方,加之底壁易發生退行性變化,並且受到血流的直接衝擊,易受損,因此,在此處破裂的機會最大(64%),分葉狀或葫蘆狀的動脈瘤更易破裂,少數病例可在瘤體(10%)或瘤頸(2%)處破裂。瘤底部最易與周圍組織粘連直接手術時應禁忌剝離瘤底,以免引起動脈瘤術中破裂。動脈瘤腔內常有不同程度的血栓形成,血凝塊常呈分層狀,緊密粘著於瘤壁上這是臨床上腦血管造影時不能發現動脈瘤的重要原因。極個別的情況下,動脈瘤腔完全被血凝塊填塞,稱之為動脈瘤的自然癒合,這是一種罕見的情況。
先天性動脈瘤的大小懸殊很大通常在0.5~2cm。小的須用放大鏡才能看到未破裂前不產生臨床症狀,可在屍檢中發現。大的可達橘子大小而產生明顯的占位性表現動脈瘤直徑可達8cm以上,最大者直徑為12cm。絕大多數能產生症狀的動脈瘤直徑在0.7~1.0cm,直徑小於0.3cm者很少產生症狀,多偶然發現。動脈瘤的破裂與其大小有一定關係,小於0.3cm的動脈瘤破裂機會較少一般認為破裂的動脈瘤較大未破裂的動脈瘤較小。動脈瘤破裂的臨界大小為直徑在0.5~0.6cm。直徑超過0.5cm的動脈瘤出血機會逐漸增多,其直徑超過3.0cm後,則顱內壓增高的症狀取代了出血症狀並非動脈瘤越大,破裂出血的機會越多,這是因為巨大型動脈瘤腔內常有多量分層的血凝塊,加固了瘤壁,因此破裂出血的機會相應地減小。大的動脈瘤可見於任何年齡,年齡愈大大的動脈瘤發生率也愈高,約50%以上的巨大型動脈瘤病人年齡在45歲以上。
腦血管造影先天性腦動脈瘤的多發性,由於各個學者採用的診斷方法不同其報導的發生率相差很大。多發性動脈瘤的發生率在4.2%~31%一般在20%左右。經屍檢發現的多發性動脈瘤要比單純用腦血管造影發現的更多、更可靠1966年美國協作組報導,單純屍檢多發性動脈瘤的發生率為22%,單純腦血管造影為18.5%,腦血管造影及屍檢為19%。多發性動脈瘤的數目以2個最多見,動脈瘤數目最多者為15個。在多發性動脈瘤中,2個動脈瘤者占15%,3個占3.5%4個或4個以上者僅1.5%。多發性動脈瘤的分布常常在大腦半球兩側對稱的部位,或者在同一條動脈的不同部位。各條動脈發生多發性動脈瘤的幾率不一,其中以頸內動脈最多占48%,大腦中動脈次之,占30%在大腦前動脈及椎-基動脈上多發性動脈瘤很少見。
腦動脈屬於肌型動脈,管壁由內膜、中膜和外膜三層組成。內膜為一層內皮細胞和內彈力層組成,中膜為一層較厚的肌環所構成,外膜較薄,由結締組織構成,含有膠原網狀和彈力纖維。與身體其他部位的動脈相比,腦動脈無外彈力層,並且在分叉處特別是其夾角處,缺乏中膜,僅由內膜和內彈力層及外膜構成。另外腦底部的較大動脈都走行在蛛網膜下腔內缺乏腦實質的支持。這種腦動脈先天性中膜缺陷,在動脈瘤的形成過程起著內在的決定作用。在血流和血壓長期的作用下使內彈力層輕微外突,這可能是動脈瘤形成的最早階段,內膜往往是通過中膜上的缺損向外疝出,疝出的彈力層可有彈力纖維斷裂,並使中膜的缺口擴大疝出程度亦加大如此逐漸發展,即形成一個完整的動脈瘤
動脈瘤壁在顯微鏡下的特徵是缺乏中膜肌層瘤壁可僅為一層內膜或彈力層中的纖維斷裂或消失,只剩下內膜和外膜瘤頸部的內膜可顯著肥厚,在鏡下可見載瘤動脈的肌層,在瘤頸開口處突然中斷消失,內外膜由不同厚度的膠原纖維連線。瘤壁的內膜由一層或多層血管內皮細胞及少量結締組織和肉芽組織構成外膜可有纖維化。在出血後不久的瘤壁內可見有炎細胞浸潤及少量含鐵血黃素的吞噬細胞。有時亦見瘤壁的修復過程,內膜下的結締組織增生,瘤壁纖維組織增生同時常伴有動脈粥樣硬化沉積。
在電鏡下動脈瘤壁可見有特徵性的基底膜增厚及各層間的松離現象。瘤壁內可見許多細胞碎片,彈力層缺乏或完全消失有時可見含有脂肪的吞噬細胞。
在動脈瘤破裂出血的屍檢病例中,還可發現各部位的腦實質也有病變。不同部位的動脈瘤引起不同部位的腦實質損害,例如頸內動脈上的動脈瘤可引起豆狀核側腦室前角額角及室管膜下腦組織的損害,大腦前動脈動脈瘤可引起額葉內側及眶面、胼胝體和尾狀核的損害,大腦中動脈動脈瘤可導致側裂皮質及皮質下損害,椎-基動脈動脈瘤可引起小腦半球和腦幹的損害損害包括腦組織壞死、軟化、膠質增生等,一般這些損害發生在動脈瘤的遠側區域。動脈瘤出現上述損害的原因可能是動脈瘤破裂後引起動脈遠側分支循環障礙及出血後腦血管痙攣。另外,動脈瘤破裂出血後顱內壓增高及繼發性腦實質水腫和腦血循環的障礙等都與上述損害有關。
臨床表現
腦內動脈瘤Hunt及Hess將顱內動脈瘤病人按照手術的危險性分為五級:
Ⅰ級:無症狀,或輕微頭痛及輕度頸強直。
Ⅱ級:中度至重度頭痛,頸強直除有腦神經麻痹外,無其他神經功能缺失。
Ⅲ級:嗜睡,意識模糊,或輕微的灶性神經功能缺失。
Ⅳ級:木僵中度至重度偏側不全麻痹,可能有早期的去皮質強直及自主神經系統功能障礙。
Ⅴ級:深昏迷,去皮質強直,瀕死狀態。
若有嚴重的全身疾患,如高血壓、糖尿病、嚴重動脈硬化慢性肺病及動脈造影上有嚴重血管痙攣,要降一級。
先天性腦動脈瘤病人在破裂出血之前,90%的病人沒有明顯的症狀和體徵,只有極少數病人,因動脈瘤影響到鄰近神經或腦部結構而產生特殊的表現如巨大型動脈瘤可引起顱內壓增高的症狀。動脈瘤症狀和體徵大致可分為破裂前先兆症狀破裂時出血症狀、局部定位體徵以及顱內壓增高症狀等。
1.症狀和體徵
(1)先兆症狀:40%~60%的動脈瘤在破裂之前有某些先兆症狀這是因為動脈瘤在破裂前往往有一個突然擴大或漏血及腦局部缺血的過程。這些先兆症狀在女性病人中出現的機會較多,青年人較老年人發生率高。各部位動脈瘤以頸內動脈-後交通動脈動脈瘤出現先兆症狀的發生率最高,後部循環的動脈瘤出現先兆症狀最少概括起來先兆症狀可分為三類即:
①動脈瘤漏血症狀:表現為全頭痛、噁心、頸部僵硬疼痛、腰背酸痛、畏光乏力、嗜睡等。
②血管性症狀:表現為局部頭痛、眼面痛、視力下降、視野缺損和眼球外肌麻痹等這是由於動脈瘤突然擴大引起的最有定側和定位意義的先兆症狀為眼外肌麻痹,但僅發生在7.4%的病人。
③缺血性症狀:表現為運動障礙、感覺障礙幻視、平衡功能障礙、眩暈等。以頸內動脈-後交通動脈動脈瘤出現缺血性先兆症狀最常見,可達69.2%,椎-基動脈動脈瘤則較少出現。這些表現可能與動脈痙攣以及血管閉塞或栓塞有關。
嘔吐先兆症狀中以頭痛和眩暈最常見但均無特異性,其中以漏血症狀臨床意義最大,應注意早行腰穿和腦血管造影確診早期處理以防破裂發生。從先兆症狀出現到發生大出血平均為3周,動脈瘤破裂常發生在漏血症狀出現後的1周左右先兆症狀出現後不久即可能有大出血並且先兆症狀的性質和發生率及間隔時間與動脈瘤的部位有關,前交通動脈和大腦前動脈動脈瘤56.5%出現先兆症狀表現為全頭痛、噁心嘔吐,從症狀開始到大出血平均間隔時間為16.9天;大腦中動脈48.8%有先兆症狀,表現為全頭痛、運動障礙、噁心嘔吐等,平均間隔時間為6天;頸內動脈動脈瘤68.8%有先兆症狀,表現為局限性頭痛、噁心嘔吐、眼外肌麻痹等,平均間隔時間為7.3天。
(2)出血症狀:80%~90%的動脈瘤病人是因為破裂出血引起蛛網膜下腔出血才被發現,故出血症狀以自發性蛛網膜下腔出血的表現最多見。出血症狀的輕重與動脈瘤的部位出血的急緩及程度等有關。
①誘因與起病:部分病人在動脈瘤破裂前常有明顯的誘因,如重體力勞動、咳嗽、用力大便、奔跑、酒後、情緒激動憂慮性生活等部分病人可以無明顯誘因甚至發生在睡眠中。多數病人突然發病,通常以頭痛和意識障礙為最常見和最突出的表現。頭痛常從枕部或前額開始迅速遍及全頭延及頸項、肩背和腰腿等部位。41%~81%的病人在起病時或起病後出現不同程度的意識障礙。部分病人起病時僅訴說不同程度的頭痛、眩暈頸部僵硬,無其他症狀;部分病人起病時無任何訴說,表現為突然昏倒、深昏迷、迅速出現呼吸衰竭,甚至於幾分鐘或幾十分鐘內死亡。部分病人起病時先呼喊頭痛,繼之昏迷躁動、頻繁嘔吐、抽搐,可於幾分鐘或幾十分鐘後清醒,但仍有精神錯亂、嗜睡等表現。
②出血引起的局灶性神經症狀:單純蛛網膜下腔出血很少引起局灶性神經症狀但動脈瘤破裂出血並不都引起蛛網膜下腔出血,尤其是各動脈分支上的動脈瘤破裂出血會引起腦實質內血腫。蛛網膜下腔出血引起的神經症狀為腦膜刺激症表現為頸項強硬,克氏征陽性。因腦水腫或腦血管痙攣等引起精神錯亂(記憶力障礙、虛構等)、偏癱(7%~35%)、偏盲偏身感覺障礙、失語和錐體束征(30%~52%)7%~36%的病人出現視盤水腫,1%~7%的病人出現玻璃體下出血等。
大腦前動脈腦實質內血腫引起症狀與動脈瘤的部位有關,例如大腦前動脈動脈瘤出血常侵入大腦半球的額葉,引起痴呆、記憶力下降、大小便失禁、偏癱、失語等。大腦中動脈動脈瘤出血常引起顳葉血腫,表現為偏癱、偏盲、失語及顳葉疝等症狀。後交通動脈動脈瘤破裂出血時可出現同側動眼神經麻痹等表現腦實質內血腫尚可引起癲癇,多為全身性發作,如腦幹周圍積血,還可引起強直性抽搐發作。
③全身性症狀:破裂出血後可出現一系列的全身性症狀:
A.血壓升高:起病後病人血壓多突然升高,常為暫時性的,一般於數天到3周后恢復正常這可能與出血影響下丘腦中樞或顱內壓增高所致。
B.體溫升高:多數病人不超過39℃,多在38℃左右,體溫升高常發生在起病後24~96h,一般於5天~2周內恢復正常。
C.腦心綜合徵:臨床表現為發病後1~2天內一過性高血壓意識障礙、呼吸困難、急性肺水腫癲癇嚴重者可出現急性心肌梗死(多在發病後第1周內發生),心電圖表現為心律失常及類急性心肌梗死改變,即Q-T時間延長,P波U波增高,ST段升高或降低,T波倒置等。意識障礙越重,出現心電圖異常的幾率越高據報導蛛網膜下腔出血後心電圖異常的發生率為74.5%~100%。一般認為腦心綜合徵的發病機制為發病後血中兒茶酚胺水平增高以及下丘腦功能紊亂引起交感神經興奮性增高有關。另外,繼發性顱內高壓和腦血管痙攣亦可影響自主神經中樞引起腦心綜合徵。
D.胃腸出血:少數病人可出現上消化道出血徵象,表現為嘔吐咖啡樣物或柏油樣便,系出血影響下丘腦及自主神經中樞導致胃腸黏膜擴張而出血。病人尚可出現血糖升高、糖尿蛋白尿、白細胞增多、中樞性高熱、抗利尿激素分泌異常及電解質紊亂等。
④再出血:動脈瘤一旦破裂將會反覆出血,其再出血率為9.8%~30%。據統計再出血的時間常在上一次出血後的7~14天,第1周占10%11%可在1年內再出血,3%可於更長時間發生破裂再出血。第一次出血後存活的時間愈長,再出血的機會愈小。如病人意識障礙突然加重,或現在症狀再次加重,癱瘓加重以及出現新的神經系統體徵,均應考慮到再出血的可能,應及時複查CT以確定是否有再出血。再出血往往比上一次出血更嚴重,危險性更大,故對已有出血史的動脈瘤病人應儘早手術,防止再出血的發生。
(3)局部定位症狀:動脈瘤破裂前可有直接壓迫鄰近結構而出現症狀,尤其是巨大型動脈瘤。破裂後可因出血破壞或血腫壓迫腦組織以及腦血管痙攣等而出現相應的症狀而這些症狀與動脈瘤的部位、大小有密切關係,故在診斷上這些症狀具有定位意義。常見的局部定位症狀有:
三叉神經①腦神經症狀:這是動脈瘤引起的最常見的局部定位症狀之一,以動眼神經、三叉神經、滑車神經和展神經受累最常見。由於動眼神經走行在顱底,並且行程較長,與大血管關係密切,故可在多處受到動脈瘤的壓迫而出現動眼神經麻痹。頸內動脈後交通動脈分叉處的動脈瘤約20%的病人出現動眼神經麻痹;頸內動脈海綿竇段動脈瘤亦可壓迫動眼神經引起麻痹;大腦後動脈動脈瘤可在動眼神經通過該動脈的下方時壓迫此神經引起麻痹;頸內動脈動脈瘤5%的病人出現滑車神經麻痹或展神經麻痹。動眼神經麻痹表現為病側眼瞼下垂、眼球外展、瞳孔擴大光反射消失等,常為不完全性麻痹,其中以眼瞼下垂最突出而瞳孔改變可較輕頸內動脈動脈瘤、基底動脈動脈瘤常壓迫三叉神經後根及半月節而產生三叉神經症狀,其中以三叉神經第1支受累最常見發生率為10%;表現為同側面部陣發性疼痛及面部淺感覺減退,同側角膜反射減退或消失,同側嚼肌無力、肌肉萎縮,張口下頜偏向病側等。基底動脈動脈瘤最容易引起三叉神經痛的症狀。在少數病人中可以出現三叉神經麻痹的表現。
②視覺症狀:這是由於動脈瘤壓迫視覺通路引起的。Willis環前半部的動脈瘤,例如大腦前動脈動脈瘤、前交通動脈動脈瘤可壓迫視交叉而出現雙顳側偏盲或壓迫視束引起同向偏盲。頸內動脈床突上段動脈瘤可壓迫一側視神經而出現鼻側偏盲或單眼失明。眼動脈分支處動脈瘤常引起病側失明頸內動脈分叉處動脈瘤可壓迫一側視神經或視束,造成一側鼻側偏盲或同向性偏盲。大腦後動脈動脈瘤可因破裂出血累及視輻射及枕葉皮質,而產生同向性偏盲或出現幻視等。由於在動脈瘤破裂出血時病人常伴有意識障礙故不易查出上述視覺症狀,因此臨床上這些視覺症狀的定位診斷意義不大。
③眼球突出:海綿竇段頸內動脈動脈瘤破裂出血時,由於動脈瘤壓迫或堵塞海綿竇引起眼靜脈回流障礙,而出現搏動性眼球突出、結合膜水腫和眼球運動障礙,並可在額部眶部、顳部等處聽到持續性血管雜音。
偏頭痛④偏頭痛:動脈瘤引起的典型偏頭痛並不多見,其發生率為1%~4%。頭痛多為突然發生常為一側眼眶周圍疼痛多數呈搏動性疼痛,壓迫同側頸總動脈可使疼痛暫時緩解。這種動脈瘤引起的偏頭痛,可能是由於頸內動脈周圍交感神經叢功能紊亂所致。
⑤下丘腦症狀:動脈瘤可直接或間接影響丘腦下部的血液供應而引起一系列下丘腦症狀,主要表現為尿崩症、體溫調節障礙、脂肪代謝障礙、水電解質平衡紊亂、肥胖症及性功能障礙等由破裂出血造成的下丘腦損害,可引起急性胃黏膜病變,而出現嘔血便血。
⑥其他症狀:大腦中動脈動脈瘤破裂後可出現完全性或不完全性偏癱、失語。出血早期出現一側或雙側下肢短暫輕癱,常為一側或雙側大腦前動脈痙攣提示為前交通動脈動脈瘤在少數病例中(0.3%)可於病側聽到顱內雜音,一般都很輕,壓迫同側頸動脈時雜音消失。
(4)顱內壓增高症狀:一般認為動脈瘤的直徑超過2.5cm以上的未破裂的巨大型動脈瘤或破裂動脈瘤伴有顱內血腫時可引起顱內壓增高。由於巨大型動脈瘤不易破裂出血,它所引起的症狀不是出血症狀而是類腦瘤症狀,主要是動脈瘤壓迫或推移鄰近腦組織結構引起,並伴有顱內壓增高或阻塞腦脊液通路而加速顱內壓增高的出現。巨大型動脈瘤引起的類腦瘤表現,除出現頭痛、頭暈噁心嘔吐視盤水腫外尚有類腦瘤定位征,如鞍區動脈瘤,類似於鞍區腫瘤;巨大型大腦中動脈動脈瘤突入側裂可出現額顳腫瘤的表現;巨大型基底動脈動脈瘤可侵及大腦腳、下丘腦、腦幹,引起腦積水,類似於腦幹腫瘤;巨大型小腦上動脈動脈瘤可突入橋小腦角,而出現橋小腦角腫瘤的體徵。巨大型動脈瘤引起的眼底水腫改變,與破裂出血時引起的眼底水腫出血改變有所不同,前者為顱內壓增高引起的視盤水腫,後者多為蛛網膜下腔出血引起的視盤水腫、視網膜出血,這是由於血液從蛛網膜下腔向前充滿了神經鞘的蛛網膜下腔而使視網膜靜脈回流受阻所致。
(5)特殊表現:動脈瘤有時會出現一些特殊表現。例如,頸內動脈動脈瘤或前交通動脈動脈瘤可出現頭痛、雙顳側偏盲、肢端肥大垂體功能低下等類鞍區腫瘤的表現個別病例亦可以短暫性腦缺血發作為主要表現;少數病人在動脈瘤破裂出血後可出現急性精神障礙表現為急性精神錯亂、定向力障礙、興奮、幻覺、語無倫次及暴躁行為等。
2.動脈瘤破裂後的變化
(1)動脈瘤破裂後腦血流量的變化:腦動脈瘤破裂後不論是否發生腦血管痙攣,多數病例可持續存在不同程度的平均腦血流量降低,破裂側降低更為明顯腦動脈破裂後腦血流量的下降與腦血管痙攣、腦實質內血腫形成、腦室擴大及顱內壓升高等因素有關。破裂後並發腦實質內血腫形成後,平均腦血流量可明顯降低,即使血腫消失後腦血流量仍持續低下。腦室明顯擴大者,平均腦血流量亦明顯降低,但腦室引流後,腦血流量可明顯恢復。當顱內壓超過1.92kPa時平均腦血流量可低於5μl/(g•s)。
(2)動脈瘤破裂後顱內壓變化:動脈瘤破裂後顱內壓的變化是一個重要而複雜的病理生理過程。顱內壓的變化取決於動脈瘤破裂後的出血量、腦脊液吸收功能與循環通路是否異常以及腦水腫、腦梗死和腦血管痙攣的程度等。一般情況下人們常採用測定硬膜外壓力和腦室內的壓力來代表顱內壓的情況。按照Lundberg分類標準,腦室內壓力0~1.33kPa(0~10mmHg)為正常壓力1.47~2.67kPa(11~20mmHg)為輕度增高,2.8~5.33kPa(21~40mmHg)為中度增高,大於5.3kPa(>40mmHg)為重度增高。
①動脈瘤破裂後顱內壓的變化類型:動脈瘤破裂後可出現以下幾種壓力變化類型:
A.蛛網膜下腔出血Ⅰ型:在動脈瘤破裂出血後硬膜外壓力垂直上升到8.64~21.12kPa(900~2200mmH20),隨後在幾分鐘內又降到相當低的水平。這種高峰持續8~10s,然後在數小時內緩慢升高到較高水平如病情好轉則壓力逐漸下降至正常,少數病人則保持較高水平壓力直至死亡。
B.蛛網膜下腔出血Ⅱ型:動脈瘤破裂出血後可觀察到硬膜外壓力急驟升高到17.76~21.12kPa(1850~2200mmH2O),以後持續穩定在這一水平對過度換氣和脫水劑均無反應,直至死亡。
C.B波:動脈瘤破裂後,在觀察腦室內壓力變化時,可發現在任何水平上都可持久地記錄到B波其波動範圍在0.67~6.67kPa,B波波幅的大小與病情的惡化與好轉有關通過腦室引流、過度換氣、脫水劑及地塞米松的套用,B波可減少或消失。動脈瘤破裂出血後早期顱內壓升高可能與腦脊液循環通路障礙引起腦積水動脈瘤破裂後急劇壓力升高致缺血性腦腫脹以及顱內血腫形成有關,而晚期出現的持續性顱內壓增高可能是腦血管痙攣引起的腦缺血、腦水腫所致。
②動脈瘤破裂後的病情分級與顱內壓的關係:一般認為級別越高,顱內壓也越高。
③動脈瘤破裂後顱內壓變化與再出血的關係:動脈瘤破裂出血後再出血者在出血前腦室內壓力比沒有再出血者高得多。Voldby報導中有再出血的病人平均腦室壓力4kPa(30mmHg),而沒有再出血者平均腦室內壓力為2.67kPa(20mmHg),動脈瘤再出血後均可發生顱內壓升高而顱內壓力變化的類型為蛛網膜下腔出血Ⅰ型和蛛網膜下腔出血Ⅱ型。有關降低顱內壓力是否會引起再出血,各學者觀點不一。Nornes認為顱內壓下降常引起再出血,而Voldby認為降低腦室內壓力不增加再出血率,反而再出血往往發生在腦室內壓力較高的病人中。Lundberg和Voldby在他們的降低腦室內壓力的研究中發現再出血率分別為16%和17%,與動脈瘤再出血率14%~30%相比無顯著差異。
(3)動脈瘤破裂後水、電解質的變化:動脈瘤破裂後,約21.9%的病人發生水電解質紊亂最常見是低鈉血症(114~130mmol/L),占72%,其次為尿崩症。據114例動脈瘤破裂後水電解質紊亂的資料,其中男性50例,女性64例,年齡為12~83歲,平均49.8歲。低鈉血症和尿崩症的發生率分別為15.8%及6.1%低鈉血症發生於發病後13.5(6~26)天,平均持續9.3(4~18)天。尿崩症發生在病後20.5(15~35)天,平均持續20.1(5~41)天。
①腦動脈瘤破裂後發生水電解紊亂的機制為:
A.血腫與出血壓迫或破壞了下丘腦。
B.由於腦血管痙攣,使下丘腦垂體系統產生了缺血性改變。
C.蛛網膜下腔出血後產生腦積水、導致第三腦室擴大壓迫下丘腦。
D.低鈉血症除下丘腦功能障礙以不同途徑引起外,尚與脫水及鹽消耗有關。蛛網膜下腔出血後因下丘腦功能障礙,導致心房鈉尿肽分泌,引起腎臟鹽消耗
②一般認為影響水電解質紊亂發生的因素有:
A.破裂的動脈瘤的部位:破裂的動脈瘤位於頸內動脈和前交通動脈及大腦前動脈者,水電解質紊亂多見。據報導頸內動脈破裂後,發生水電解質紊亂的機會為29.4%,在大腦前動脈及前交通動脈動脈瘤破裂者,發生率為26.8%,均明顯高於大腦中動脈動脈瘤(9.6%)
B.意識分級:分級在Ⅲ、Ⅳ級者,發生水電解質紊亂者(分別為21.4%和54.1%)明顯多於Ⅰ、Ⅱ級者(6.2%)。
C.腦池內血量:無腦池內積血者,水電解質紊亂的發生率低有積血者發生率高。國外報導,經CT掃描顯示蛛網膜下腔無高密度者10例均無水電解質紊亂發生,而有高密度者30%發生水電解質紊亂;額葉底部縱裂發生小血腫者66.7%出現水電解質紊亂
D.腦血管痙攣:有腦血管痙攣者發生水電解質紊亂者多見並且腦血管痙攣越重,發生水電解質紊亂的機會越多。嚴重腦血管痙攣者(管腔狹窄達50%以上)水電解質紊亂的發生率達38.4%。
腦積水E.腦積水:無腦積水者僅4.4%發生水電解質紊亂,而出現輕、重度腦積水者,其發生率高達32.4%及73.3%
3.不同部位的及特殊類型動脈瘤的臨床特點 有些部位的動脈瘤常引起特定的表現,認識這些臨床表現對於臨床診斷有很大的幫助,不同部位的動脈瘤及特殊類型的動脈瘤的臨床特點如下:
(1)頸內動脈動脈瘤:占動脈瘤的40%左右。最常見的部位為後交通動脈,其他部位有頸內動脈海綿竇段、眼動脈起始處、頸內動脈分叉處脈絡膜前動脈等發生在破裂孔到海綿竇一段的頸內動脈上的動脈瘤極為少見以往以床突為界將頸內動脈動脈瘤分為兩類,即床突上動脈瘤和床突下動脈瘤。床突上頸內動脈動脈瘤包括眼動脈動脈瘤後交通動脈動脈瘤脈絡膜前動脈動脈瘤及頸動脈分叉處動脈瘤,床突下頸內動脈動脈瘤包括海綿竇段頸內動脈瘤和部分眼動脈動脈瘤及岩骨部頸內動脈動脈瘤。
①後交通動脈動脈瘤:約占動脈瘤總數的25%以上,完全位於後交通動脈者很少見,僅占4.4%,一般位於與頸內動脈相接處或與大腦後動脈相接處,占95.6%。其左右分布無明顯差別,性別分布女性顯著多於男性,並且還有對稱發生的傾向小型後交通動脈動脈瘤可刺激三叉神經眼支引起前額痛、眼眶痛,或出現動眼神經麻痹,並較易破裂出現顱內出血的症狀。大型後交通動脈動脈瘤常引起動眼神經麻痹是後交通動脈動脈瘤最有價值的定位症狀,病人出現復視眼瞼下垂、眼球外展瞳孔散大光反射消失等。還可壓迫視神經和視交叉而引起一側視力障礙視神經萎縮、同向性或雙顳側偏盲等。
眼動脈動脈瘤②眼動脈動脈瘤:占動脈瘤的1.5%~8%,女性多見,多起自眼動脈起始部,瘤頸位於眼動脈上方與頸內動脈的夾角中,少數由眼動脈直接長出。眼動脈動脈瘤往往同時發生在雙側對稱部位,即所謂的“影子動脈瘤”,常為多發性動脈瘤中的一個。21%~64%的眼動脈動脈瘤為多發性動脈瘤,且常常長成巨大型。
由於眼動脈動脈瘤與視神經視交叉、頸內動脈前床突、海綿竇等解剖關係密切,不僅手術困難,而且可壓迫這些鄰近結構出現病側視力進行性減退以致失明、視神經萎縮、視野缺損等。部分病人可無明顯症狀,僅偶然發現。有時可侵蝕視神經孔造成視神經孔擴大。極少數病例動脈瘤可突入蝶竇,破裂出血時反覆出現大量鼻出血。按其解剖形態可分為4型,即:A.視下型:最常見,瘤體水平實向中線方向,與頸內動脈垂直,位於視神經和視交叉下方;B.視外型:次之,瘤體突向前上方,位於視神經視交叉的外側;C.視上型:較少見,瘤體向內、向上突出,位於視神經與視交叉的上方,如為巨大型可突入鞍內,占據整個鞍區,而類似鞍區腫瘤,有人將之單獨列為一型即球型;D.竇內型:少見,瘤體位於海綿竇內。
③脈絡膜前動脈動脈瘤:占動脈瘤的2%~4.5%。多位於脈絡膜前動脈的起始部及其附近,30%的病人為多發性,另一個動脈瘤常常是後交通動脈動脈瘤。並且兩個動脈瘤常互相靠近,形似單個動脈瘤。其臨床表現與後交通動脈動脈瘤相似,診斷較困難,只能在腦血管造影上才能鑑別。
④頸內動脈分叉處動脈瘤:並不多見,占動脈瘤的4.4%~7%。男性多見兒童動脈瘤常發生在此部位。有人報導兒童動脈瘤34%發生在該處瘤頸與瘤體多向後、向上、向內突起,瘤頸多從頸內動脈和大腦前動脈的後方突出,並常與大腦前動脈粘連。小的動脈瘤可無症狀,大型或巨大型者可表現為進行性病側視力障礙和視神經萎縮。
⑤海綿竇段頸內動脈動脈瘤:占全部動脈瘤的2%~5%占頸內動脈系動脈瘤的14%在腦血管造影上相當於頸內動脈的頸3段處。此處的動脈瘤93%呈囊狀,大型者占34%,中型占48%,巨大型占3%~45%,雙側同時發生者亦不少見,占21%。海綿竇段頸內動脈動脈的臨床特點為:
A.發病年齡多在51~58歲,男女之比為1∶4.3~1∶23.3。
B.6%~50%的病人伴有高血壓,有些病人可能伴有Marfan綜合徵、動脈狹窄等先天性疾病。
C.海綿竇段頸內動脈瘤最常見的起源部位依次是前曲段(47%)水平段(34%)及後曲段(9%)。
D.無症狀的海綿竇段頸內動脈動脈瘤占34%~40%
E.臨床表現包括壓迫性症狀及血管性症狀兩類57%~79%的病人出現壓迫性症狀。
由於海綿竇內含有Ⅲ、ⅣⅤ、Ⅵ腦神經及其周圍特殊結構,動脈瘤可壓迫上述腦神經及其鄰近結構出現眼眶及前額疼痛,復視,動眼神經、滑車神經、展神經部分或完全麻痹,其中以展神經麻痹出現最早;縮瞳纖維受累出現瞳孔散大、光反射消失,交感纖維受累表現為瞳孔縮小大型動脈瘤可壓迫視神經視交叉下丘腦而出現視力、視野障礙及垂體功能不全等。
海綿竇段頸內動脈動脈瘤可分前、中後三段前段動脈瘤產生眼支症狀,表現為額區感覺減退,角膜反射遲鈍;中段動脈瘤產生眼支和上頜支症狀,除眼支症狀外尚有面頰部感覺障礙後段者產生完全的三叉神經症狀,表現為張口時下頜歪向病側,病側咀嚼肌無力或萎縮等。症狀的輕重多與動脈瘤的起源部位、生長方向及大小有關。向前生長者可導致眶上裂綜合徵;向後外側生長者侵及岩骨可產生耳聾及出血性耳炎;向內側生長者可壓迫垂體柄而出現泌乳素分泌失控等;向外側生長則出現典型的海綿竇綜合徵。14%~19%的病人出現血管性症狀,包括蛛網膜下腔出血(6%~75%)、頸內動脈海綿竇瘺、鼻出血(2.25%)、硬腦膜下血腫及動脈瘤遠側腦梗死或缺血症狀等。約9.2%的頸內動脈海綿竇段動脈瘤破裂形成頸內動脈海綿竇瘺,表現為額部疼痛、搏動性突眼眼底靜脈增粗、出血、球結合膜水腫等另外80%~90%病人在額部或眼眶部可聽到血管性雜音,壓迫同側頸動脈雜音減弱或消失。如破入蝶竇可導致大量鼻出血,頸內動脈動脈瘤突入蝶竇者占71%,而在頸內動脈動脈瘤與蝶竇黏膜間無骨質者僅占4%。該處動脈瘤發生蛛網膜下腔出血的機會為0%~40%,發生硬膜下血腫者少見。3.4%~4.5%的海綿竇段頸內動脈動脈瘤因血栓形成而致頸內動脈或其遠側栓塞而產生腦缺血症狀。約38%的病人顱骨平片有異常,多表現為瘤壁上有弧形鈣化影,前床突、眶上裂或鞍背、鞍底骨質破壞等。4%~15%的眼動脈在海綿竇內發生,因此,一些眼動脈分支或其稍遠側床突旁頸內動脈動脈瘤可能完全位於海綿竇內手術時要注意。
⑥岩骨部頸內動脈動脈瘤:岩骨部頸內動脈動脈瘤罕見。其主要臨床症狀為聽神經受損,約50%的病人有此症狀表現為耳鳴、耳聾或聽覺過敏等,有時可有面神經及三叉神經受累的症狀多數病人可在鼓膜下發現有一紫色搏動性腫物。破裂出血時而表現為鼻或耳中噴出大量動脈血。
(2)大腦前動脈動脈瘤:占動脈瘤的31.5%~36%。可引起單側失明、嗅覺障礙等,亦可完全無症狀,破裂出血形成額葉血腫可出現精神症狀及對側下肢癱瘓。其中以前交通動脈動脈瘤最常見,其次為大腦前動脈遠端動脈瘤,大腦前動脈主幹上動脈瘤少見。
①前交通動脈動脈瘤:占全部動脈瘤的28%~30%,是動脈瘤的好發部位之一。其特點為:
A.85%的病人可伴有Willis環發育異常。
B.由於前交通動脈僅3~4mm長,故常累及雙側大腦前動脈。
C.小型動脈瘤可無症狀,破裂後可產生額部頭痛、昏迷、智慧型障礙、精神錯亂。
D.大型或巨大型動脈瘤可直接壓迫視交叉、下丘腦而出現相應症狀有時可類似顱底腦膜瘤的表現。
E.透明隔腔出血是前交通動脈瘤破裂的特異CT表現之一。
②大腦前動脈遠端動脈瘤:占動脈瘤的2%~4.5%常發生在胼周動脈上,少數在額極動脈或胼緣動脈上。未破裂者多無症狀,破裂後可出現相應的表現。有時胼周動脈動脈瘤可同時累及兩側動脈,類似前交通動脈動脈瘤,這類病人的前交通動脈可以缺失。
③大腦前動脈主幹動脈瘤;較少見,僅占全部動脈瘤的0.76%~1.5%。常位於視交叉上方體積往往較小。小型者無症狀,大型或巨大型動脈瘤可壓迫視神經、視交叉、嗅束而出現視力障礙,視野中心暗點或失明、額側上1/4視野缺損、嗅覺障礙,有時還會出現視盤水腫。其多發性為大腦前動脈主幹動脈瘤的特點之一,此段動脈瘤多發性高達24.1%~44.1%。
(3)大腦中動脈動脈瘤:並不少見,占動脈瘤的11.7%~33%。大多數位於側裂內主幹的分叉處,少數在其主幹或遠端分支上。多以蛛網膜下腔出血為首先症狀,有時以癲癇或進展性偏癱為主要表現,常無動眼神經麻痹。破裂後約49.8%易形成腦內或硬膜下血腫,出現偏癱、失語、同向偏盲等。
①大腦中動脈主幹動脈瘤:發生率為3.6%。其動脈瘤體積較小,多無症狀,有時可出現偏頭痛。由於這段動脈有重要穿動脈供應基底節和內囊,故破裂出血後常發生嚴重偏癱、失語、偏盲等。
②大腦中動脈分叉處動脈瘤:占動脈瘤的12%左右,是大腦中動脈最常發生動脈瘤的部位。破裂前無症狀,若動脈瘤內血凝塊脫落可造成大腦中動脈栓塞而突發偏癱、抽搐等。此處動脈瘤常長成巨大型。破裂後可引起相應症狀及體徵。
④大腦中動脈周圍支動脈瘤:很少見約占14%。破裂前無明顯症狀破裂後可出現抽搐、偏癱等。
(4)大腦後動脈動脈瘤:較少見占全部動脈瘤的0.6%~4% ,占椎-基動脈動脈瘤的1%~15.4%常發生在與後交通動脈及額前支交接的兩個部位。其特點為:
①與後交通動脈交接處的動脈瘤可產生動眼神經麻痹或動眼神經交叉癱。
②與額前支交接處的動脈瘤可出現同向性偏盲、額葉癲痛等。
③3/4的病人以蛛網膜下腔出血為首發症狀,其他症狀尚有偏癱、Weber綜合徵、滑車、展面神經麻痹等。
④約80%長成巨大型動脈瘤而壓迫腦幹出現對側偏癱、延髓性麻痹或精神症狀等。
⑤常伴有胎兒型大腦後動脈。
基底動脈動脈瘤(5)基底動脈動脈瘤:占全部動脈瘤的5%~8%。基底動脈動脈瘤的發生部位分基底動脈分叉部、基底動脈主幹及基底動脈起始部等。其臨床特點為:
①基底動脈分叉部動脈瘤(占2%),以兩側大腦後動脈的分叉部最常見,占34%~51% ,由於其位置深在,手術極為困難;損傷其穿動脈時可引起昏迷、視力障礙、內分泌紊亂及自主神經失調等。此部位的動脈瘤瘤頂70%指向上方,10%~15%指向腹側,余指向背側。
②基底動脈主幹上的動脈瘤占椎-基動脈系動脈瘤的15%~25%,多發生在小腦上動脈和小腦前下動脈。小腦上動脈動脈瘤可壓迫動眼或滑車神經出現腦神經麻痹也可累及三叉神經而引起三叉神經痛;小腦前下動脈動脈瘤可引起同側面肌痙攣,或類似橋小腦角腫瘤的表現或出現梅尼埃綜合徵。
③大型動脈瘤除引起上述症狀外,尚可梗阻中腦導水管和第四腦室而出現腦積水,甚至視盤水腫,壓迫雙側大腦腳和動眼神經而出現下肢無力或癱瘓、動眼神經交叉癱壓迫丘腦可出現自主神經功能紊亂
④基底動脈動脈瘤很少發生破裂,但破裂時,病人出現劇烈枕部疼痛、昏迷、角弓反張、去皮質強直延腦麻痹等。
(6)椎動脈動脈瘤:少見,占全部動脈瘤的3%~5%,占椎基動脈系動脈瘤的20%~30%主要發生在顱內段,以椎動脈匯入基底動脈或小腦後下動脈交接處較常見,分別占37%及60%。其特點為:
①以小腦後下動脈連線處動脈瘤最常見,可出現小腦動脈閉塞的症狀,如共濟失調、延腦損害等,有時出現頭暈、耳鳴等類梅尼埃綜合徵表現。
②如動脈瘤突入頸管內可產生高頸髓及延髓受壓的症狀。
(7)多發性動脈瘤:指顱內同時有2個或2個以上的動脈瘤。屍檢統計多發性動脈瘤占全部腦動脈瘤的20%~31.4%其中2個動脈瘤者占14%~17%,3個動脈瘤者占3.4%~3.9%,4個和4個以上者1.1%~1.2%。而血管造影的統計數字則較低多發性動脈瘤僅為6%~18.5%。多發性動脈瘤傾向於發生在兩側及對稱的部位上,特別是頸內動脈及大腦中動脈上同一條動脈的多發動脈瘤僅占全部動脈瘤的2.8%,占多發性動脈瘤的16.9%,以頸內動脈最多其次為大腦中動脈一個動脈瘤位於頸內動脈系統,另一個位於椎基底動脈系統者占全部多發性動脈瘤的3%~8%,而兩個動脈瘤均位於椎基底動脈系統者只占0.45%~1.2%。
臨床特點為:
①女性多見,男女之比為1∶5,3個以上動脈瘤的男女之比為1∶11。
②病人好發年齡在43~70歲。
③74%病例動脈瘤為2個,3個動脈瘤者占18.6%,4個以上者占7.5%,少數在5個或5個以上。
④均位於幕上者占80%,均位於幕下者占9%幕上、下者占11%;47%病人其兩個動脈瘤位於對側對稱部位,21%病人的兩個動脈瘤位於同側29%的病人一個動脈瘤發生在中線部位,另一個在一側。
頸內動脈⑤多發性動脈瘤常見的部位依次為頸內動脈、大腦中動脈、前交通動脈、椎-基動脈,但易破裂的動脈瘤部位卻是前交通動脈(62%)大腦中動脈(27%),其他動脈瘤破裂率發生較高的有基底動脈、小腦後下動脈和後交通動脈等。
⑥動脈瘤多數在5mm或更小而破裂動脈瘤多在6mm或更大。
⑦根據臨床體徵難以定出破裂動脈瘤的部位
⑧發生在同一條動脈上的多個動脈瘤,以頸內動脈最多,占70%大腦中動脈次之,占20%再次為前交通動脈占10%。同一動脈上多發動脈瘤數目多為2個,可同時伴有其他動脈上的動脈瘤。
(8)未破裂的動脈瘤:未破裂的腦動脈瘤在臨床報導中占10%而在屍檢資料中占2%。其特點為:
①年齡主要在40~69歲,女性稍多於男性。
②動脈瘤大部分位於Willis環的前部,在床突下的動脈瘤多位於交通動脈、大腦中動脈及大腦前動脈。
③一般認為動脈瘤直徑在7~8mm時出現症狀,而達10mm時則破裂
④臨床上多表現為急性發作單側血管性偏頭痛可在24h內自行緩解亦可表現為遲發性癲癇、進行性腦缺血及假腦瘤(伴動眼神經麻痹及視盤水腫)
⑤未破裂的動脈瘤手術危險性比破裂者為小術後極少發生腦血管痙攣。
未破裂的腦動脈瘤的總危險率(可能破裂的危險及手術的危險)為1%~5%,其10年內出血及致死性出血的危險性分別為11.5%和6.6%也有人報導未破裂的動脈瘤手術無死亡,手術致殘率很低6%~12%的病人遺有永久性神經功能缺失。因此對於未破裂的動脈瘤多主張手術治療。
(9)巨型動脈瘤:動脈瘤的大小≥2.5cm者稱巨型動脈瘤女性多於男性,北京天壇醫院的巨型動脈瘤占顱內動脈瘤的7.8%。巨型動脈瘤以頸內動脈最多見,其次為大腦中動脈,巨型大腦中動脈瘤占大腦中動脈瘤的13%。巨型動脈瘤多發生在頸內動脈海綿竇部及其末端分叉部大腦中動脈主幹分叉部基底動脈及椎基底動脈的連線部。
①根據瘤腔內血栓的多少分三型:部分血栓形成;完全血栓形成;無血栓形成
②發病形式有兩種:A.隱襲性的,像顱內腫瘤一樣;B.突發的蛛網膜下腔出血。
③臨床表現:
A.壓迫症狀:瘤體壓迫周圍組織而引起的症狀多為局部神經功能障礙。包括腦神經功能障礙及內分泌障礙等約64%的病人是由於病灶性神經功能障礙而就診。
B.蛛網膜下腔出血:因此就診的占36%。常伴有腦室內或腦內出血,臨床分級差病死率高。
C.缺血症狀:巨型動脈瘤壓迫動脈分支使之缺血,或血栓形成而引起腦梗死。巨型動脈瘤內血液蓄積較多時,也會使載瘤動脈遠端及動脈瘤周圍的腦組織缺血,產生盜血現象
D.全身症狀:巨型基底動脈瘤可造成阻塞性腦積水嬰兒患巨型動脈瘤常導致淤血性心衰,使病人發紺,發育遲緩。此外,巨型動脈瘤病人還可以有癲癇發作。
巨型動脈瘤的CT有其特點,未用對比劑時,CT影像顯示動脈瘤為局限性高密度,周圍無水腫用對比劑後,顯示瘤腔內為均勻一致的高度加強。但須注意少數巨型動脈瘤周圍有水腫,與蝶骨嵴腦膜瘤在CT上難以鑑別巨型動脈瘤內可以部分或完全形成血栓完全形成血栓時,未用對比劑的CT掃描表現為密度稍高、輪廓清晰的圓形或橢圓形病變,其中呈斑點狀。用對比劑則呈環狀密度增高影像,這可能與動脈瘤壁血管豐富有關。若有血腫,則動脈瘤位於血腫的周邊。完全形成血栓的巨型動脈瘤在CT上可能被疑為占位病變。偶爾巨型動脈瘤內形成血栓並阻塞其動脈分支造成腦水腫及腦中線移位動脈瘤壁可有鈣化或鈣化在瘤壁外方。
血管造影及MRA決定診斷,常可見到瘤內有部分血栓形成,占52%~83%其載瘤動脈可因扭轉、被壓迫、血栓等原因,顯示很細。多看不清動脈瘤蒂。
④巨型動脈瘤內血栓形成的機制尚不完全了解,可能與下列因素有關:
A.動脈瘤容量與其蒂的口徑比例有關,即容量過大而蒂的口徑太小,使囊內血流減少易形成血栓。
B.動脈瘤內的湍流造成內膜的應力損傷
C.血流減少加上內膜損傷導致血小板沉積,形成附壁血栓
D.動脈瘤壁出血形成血腫,使顱內壓增高及血循環緩慢,在瘤內形成血栓。這種血栓還可能蔓延到載瘤動脈。
E.腦血管痙攣。
F.巨型動脈瘤使載瘤動脈扭曲及受壓,導致血流減少。
G.抗纖維蛋白溶解劑的使用。
巨型動脈瘤除非完全形成血栓,不然不能防止出血。一般認為動脈瘤內的血栓形成需要數年血栓形成為向心性的,即血塊呈層狀由外部向中心形成血栓。也偶有動脈瘤出血時,同時,在瘤內形成血栓的。完全形成血栓時易誤認為顱內腫瘤
併發症
血管變化在先天性腦動脈瘤的病人中,可伴有身體其他部位或顱內血管性及非血管畸形、這種動脈瘤伴發畸形的情況並非罕見。動脈瘤伴有的畸形包括主動脈狹窄、多囊腎馬蹄腎、腎臟發育不全雙側輸尿管畸形、腎動脈狹窄、卵圓孔未閉Willis動脈環畸形、結締組織病(如Marfan綜合徵及Ehlers-Danlos病等)煙霧病及其他先天性腦血管異常和家族性遺傳病等。其中以伴發Willis動脈環畸形最多見。Willis動脈環發育異常的人,其動脈瘤發生率比正常人高1倍。動脈瘤合併動靜脈畸形時,動脈瘤常位於供血動脈。
腦動脈瘤破裂出血後常發生許多繼發性變化,常見的有:
1.腦血管痙攣 動脈瘤破裂出血造成蛛網膜下腔出血而發生腦血管痙攣血管痙攣可先局部發生,然後波及全腦。其發生率在30%~60%。由於腦血管痙攣腦灌注減少,使腦實質發生缺血性損害動脈持續痙攣尚可形成腦動脈血栓,造成腦皮質廣泛梗死而發生嚴重的臨床表現,如癲癇、昏迷、失語等。同時發生腦腫脹,使顱內壓增高發生腦缺血-顱內壓增高惡性循環。因腦血管痙攣引起的神經症狀多發生在出血後3天左右,呈進行性加重。目前認為腦血管痙攣的發生主要是由於血液中釋放出血管收縮物質所致,如5-羥色胺、兒茶酚胺、前列腺素等。在腦血管痙攣期不宜進行手術。
2.顱內血腫形成 動脈瘤破裂出血多數情況下引起蛛網膜下腔出血,有時血液可穿破蛛網膜而積聚在硬腦膜下,形成硬膜下血腫其發生率在5%~20%。不同部位的動脈瘤並發硬膜下血腫的機會不一以頸內動脈瘤最多見(36.1%~53%),其次是大腦中動脈動脈瘤(27%~33%)、大腦前動脈動脈瘤和前交通動脈動脈瘤(17%~24.6%)而椎-基動脈動脈瘤破裂出血發生硬膜下血腫的機會很少(3%)。如果動脈瘤出血兇猛血液可破壞腦實質形成腦內血腫占7.5%~40%,其中額葉血腫占46%,顳葉占43%,頂葉占10%,小腦占1%。腦內血腫的形成與動脈瘤的位置有關腦內血腫以大腦中動脈動脈瘤破裂出血發生率最高約50%血腫多在顳葉或額葉;其次為前交通動脈動脈瘤,約為20%,其腦內血腫常在一側或雙側額葉的內側或底部;頸內動脈動脈瘤破裂出血發生有腦內血腫僅占15%,多位於顳極內側及額葉底部;而椎-基動脈動脈瘤出血時極少形成腦內血腫。另外,動脈瘤破裂出血時,也可發生腦池內血腫。容易發生腦池內血腫的部位有側裂池終板池、腳間池橋小腦池等。
3.腦室內出血 動脈瘤破裂出血形成腦內血腫,穿破腦室壁進入腦室內或蛛網膜下腔,出血血液通過第四腦室逆流入腦室系統腦室旁區的動脈瘤破裂可發生原發性腦室內出血幾率為16.9%~28%,而屍檢資料為37%~54%腦室內出血的發生率與動脈瘤部位有關位於大腦前和前交通動脈的動脈瘤占40%位於頸內動脈者為25%位於大腦中動脈者占21%,位於椎-基動脈者占14%。由於其出血源為動脈,腦室內出血量常較大,形成腦室鑄型,堵塞腦脊液循環通路,發生急性梗阻性腦積水,使病情進一步惡化,故死亡率較高可達68%
4.腦積水 蛛網膜下腔出血後常發生腦積水,發生率為5%~10%。這種腦積水多為遲發性交通性腦積水,故腦積水常出現在出血後3~4周而反覆出血時更容易發生腦積水,以前交通動脈和後交通動脈動脈瘤破裂出血時,腦積水的發生率最高。出現腦積水的原因可能與蛛網膜下腔出血或腦室內出血後血液吸收時造成蛛網膜顆粒堵塞使之機化,以及軟腦膜纖維化。蛛網膜下腔及腦室內粘連阻塞亦有一定關係。上述改變影響了腦脊液的正常吸收腦室呈不同程度的擴大,致使顱內壓增高,病人出現一系列的症狀、體徵如智慧型減退記憶力減退步態不穩及大小便失禁等。
腦梗死5.腦水腫與腦梗死 約48%的病人,在動脈瘤破裂後出現腦梗死,而幾乎所有破裂出血的病人都出現繼發性腦水腫發生腦梗死的原因主要是腦血管痙攣。
6.顱內壓增高 動脈瘤破裂出血急性期可因顱內容物增多、腦血管痙攣腦水腫及急性梗阻性腦水腫導致顱內壓增高;恢復期主要是因遲發性交通性腦積水所致。
7.下丘腦損害 動脈瘤出血的病人,約61%有下丘腦損害造成下丘腦損害的原因有:①腦室內出血造成第三腦室受壓、擴張,而累及下丘腦;②出血直接破壞下丘腦;③腦血管痙攣,尤其是Willis環穿動脈痙攣,引起下丘腦缺血損害。
診斷
對於絕大多數動脈瘤來說,確診主要是根據自發性蛛網膜下腔出血和腦血管造影來確診,腰穿是診斷蛛網膜下腔出血最簡單和最可靠的方法。根據臨床表現和上述輔助檢查確診動脈瘤並不困難。凡中年以後突發蛛網膜下腔出血或一側展神經或動眼神經麻痹;有偏頭痛樣發作伴一側眼肌麻痹;反覆大量鼻出血伴一側視力視野進行性障礙,以及出現嗅覺障礙者均應考慮到動脈瘤的可能,應及時行輔助檢查或腦血管造影以明確診斷。一般來說,如果造影質量良好,造影範圍充分閱片水平較高,則96%以上的動脈瘤可以得到確診。
鑑別診斷
手術治療圖示未破裂動脈瘤有局部症狀或顱內壓增高表現者,以及破裂出血引起蛛網膜下腔出血者尚需要與顱內腫瘤、腦血管畸形、高血壓性腦出血、煙霧病、顱腦損傷、血液病、脊髓血管畸形等疾病相鑑別。
1.顱內腫瘤 鞍上區動脈瘤常誤診為鞍區腫瘤,但鞍上區動脈瘤沒有蝶鞍的球形擴大缺乏垂體功能低下的表現。顱內腫瘤卒中出血多見於各種膠質瘤、轉移瘤腦膜瘤、垂體瘤、脈絡叢乳頭狀瘤等,在出血前多有顱內壓增高及病灶定位體徵。無再出血現象據CT掃描及腦血管造影可容易鑑別。
2.腦血管畸形 一般病人年齡較輕病變多在大腦外側裂、大腦中動脈分布區。出血前常有頭痛(66%)、癲癇(50%以上)及進行性肢體肌力減退、智慧型減退、顱內血管雜音及顱內壓增高的表現,多無腦神經麻痹的表現。
3.高血壓性腦出血 年齡多在40歲以上,有高血壓史,突然發病意識障礙較重可有偏癱。失語為特徵性表現,出血部位多在基底節丘腦區。
4.煙霧病 年齡多在10歲以下及20~40歲,兒童常表現為腦缺血性症狀伴進行性智慧型低下,成人多為腦出血性症狀,但意識障礙相對較輕,腦血管造影可見顱底特徵性的異常血管網,以資鑑別。
5.外傷性蛛網膜下腔出血 可見於任何年齡,有明顯的頭外傷史,受傷前無異常可伴有其他顱腦外傷的表現,如頭皮裂傷及顱骨骨折等。
6.血液病 白血病、血友病、再生障礙性貧血、血小板減少性紫癜、紅細胞增多症等引起的蛛網膜下腔出血,往往在發病前即有血液病的臨床表現,通過血液檢查及骨髓檢查不難區別。
7.脊髓血管畸形 多在20~30歲發病。出血前常有雙下肢或四肢麻木、無力及括約肌功能障礙。發病時多無意識障礙出現劇烈背痛伴急性脊髓壓迫症不難鑑別。
8.腦缺血性疾病 多見於老年人,常有高血壓、高血脂史。多在安靜時發病,發病相對較慢,臨床症狀相對較輕,腦脊液內無紅細胞CT掃描示腦內低密度區,足以區別。
9.醫源性蛛網膜下腔出血 抗凝治療、胰島素休克及電休克治療等均可引起蛛網膜下腔出血。憑治療史鑑別不難。
10.其他疾病 各種結締組織疾病如多發性結節性動脈炎、紅斑狼瘡各種炎症如腦炎、腦膜炎、鉤端螺鏇體病結核性腦膜炎、真菌性腦膜炎布氏桿菌病、流感、百日咳等,急性風濕熱、嚴重肝病、出血性腎炎、過敏性腎炎、抑鬱症等,均可引起蛛網膜下腔出血。但這些病因的蛛網膜下腔出血臨床上少見,根據這些疾病的臨床特徵及有關檢查不難鑑別
檢查
CT檢查實驗室檢查:
1.血常規、血沉及尿常規 一般無特異性變化。動脈瘤破裂出血早期白細胞常超過10×109/L,血沉也常輕度到中度增快,其增快程度與白細胞增多的程度相一致。早期可出現蛋白尿糖尿,嚴重者可出現管型尿,蛋白尿持續較短一般數天后即恢復正常。
2.腰穿 動脈瘤未破裂時,腰穿腦脊液檢查多無異常變化。在破裂出血時腰穿是診斷動脈瘤破裂後蛛網膜下腔出血的直接證據。腰穿壓力多在1.96~2.84kPa,但腰穿的時間與壓力的變化亦有關,有人發現動脈瘤破裂後顱內壓可急驟升高到8.8~19.6kPa,半小時後顱內壓下降。腰穿腦脊液常呈血性鏡檢可見腦脊液中含大量紅細胞反覆腰穿檢查,可根據腦脊液內新鮮和陳舊性紅細胞的多少,判斷出血是否停止,但顱內壓很高時,腰穿要慎重進行,緩慢放液,以免誘發腦疝。如果出血不多,又單純破入腦實質內或硬膜下或蛛網膜下腔粘連,腦脊液內可無紅細胞一般在出血後2h腰穿才能發現腦脊液內有血液或離心後上清液變黃,出血最初腦脊液中白細胞與紅細胞成比例,即每1萬個紅細胞就有1個白細胞;出血12h後腦脊液中白細胞開始增加,早期以中性為主,晚期以淋巴細胞為主,在腦脊液變黃2~3周后恢復正常,有時淋巴細胞可持續存在長達48天之久。出血後1~2周紅細胞消失,3周后腦脊液變黃。腦脊液中的細胞用特殊染色可發現含鐵細胞,這種細胞在出血4~6周后增多,持續存在17周,用這種方法可在蛛網膜下腔出血4個月後仍能判斷是否有過出血。
腦脊液生化檢查,糖和氯化物多正常,蛋白增高。這是由於紅細胞溶解後釋放出大量血紅蛋白及出血後滲出反應所致通常在1g/L左右有人認為腦脊液中每1萬個紅細胞溶解可增高150mg/L的蛋白質。一般在出血後8~10天蛋白質增高幅度最大,以後逐漸下降。另外,應注意區別腰穿損傷所致的血性腦脊液,一般腰穿損傷性血性腦脊液,離心後的上層液體無紅色或黃色變化,對聯苯胺無陽性反應。
其它輔助檢查:
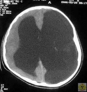
1.CT CT掃描雖然在確定動脈瘤的存在、大小或位置等方面不如腦血管造影,但是,它卻安全、迅速,病人無痛苦,不影響顱內壓,可以隨時採用,並能反覆多次隨診觀察。高分辨力的CT診斷動脈瘤有以下優點:
(1)強化掃描:可顯示直徑在5mm以上的動脈瘤,對顱底動脈瘤的診斷率可達50%~60%;巨大型動脈瘤CT平掃或強化掃描均可發現,表現為動脈瘤周圍有腦水腫或腦軟化呈低密度區,瘤壁可因鈣化而呈高密度,瘤內因層狀血栓而呈高密度,瘤腔中心流動的血流密度又有差別,因此可見密度不同的同心環狀圖像,稱之為“靶環征”這是巨大型動脈瘤的CT特徵。
2)除顯示動脈瘤外,尚能顯示其伴發的蛛網膜下腔出血、腦內腦室內或硬膜下血腫、腦梗死、腦積水等,並能顯示出血腫的大小梗死的範圍腦積水的程度是否有再出血等,因此避免了反覆腰穿及反覆腦血管造影。
(3)可以發現多發性動脈瘤並能顯示出哪一個動脈瘤破裂。
(4)根據蛛網膜下腔出血的分布及密度的情況可估計出血的來源。例如,大腦正中裂和額葉底部以及腦室內積血多提示為前交通動脈動脈瘤出血;外側裂積血提示大腦中動脈動脈瘤破裂出血;顳葉出血可能為頸內動脈及大腦中動脈動脈瘤出血等。
(5)可以了解蛛網膜下腔內局限性和瀰漫性積血的情況預測腦血管痙攣的發生,如蛛網膜下腔,尤其是腦池記憶體在3mm×5mm以上大小的血凝塊或瀰漫性積血達1mm厚時常提示將可能發生嚴重的腦血管痙攣。
(6)CT掃描可對動脈瘤進行動態追蹤觀察以便及時掌握手術時機及判斷預後等。但是,CT掃描不能完全替代腦血管造影最終還是需要腦血管造影來證實。
2.MRI掃描
(1)在動脈瘤出血急性期應先做CT掃描MRI難以查出很早期的急性腦內血腫與蛛網膜下腔出血,但高場強及重度T2加權像時MRI也能發現很早的急性出血。
(2)對於無症狀的有少量滲血而未破裂的動脈瘤,MRI可以查出並對預測動脈瘤破裂有重要價值。
(3)對於蛛網膜下腔出血腦血管造影陰性者,MRI診斷價值最大,因為這類動脈瘤體積小,屬於血栓性動脈瘤,腦血管造影難以充分顯影,MRI卻能準確地顯示出動脈瘤的位置。
(4)懷疑蛛網膜下腔出血而CT掃描陰性者,MRI十分有用,因為亞急性(出血量少)與慢性蛛網膜下腔出血(等密度)後釋放的正鐵血紅蛋白在T1與T2加權像上均呈高信號。
(5)對於多發性動脈瘤出血,CT能顯示出血但不能指出出血的具體動脈瘤、腦血管造影對判斷出血的動脈瘤亦不夠準確,而MRI則能顯示出出血的動脈瘤。
(6)對於動脈瘤破裂造成的陳舊性蛛網膜下腔出血,MRI也能顯示,表現為腦表面鐵末沉積征即在T2加權像上呈明顯的線樣“鑲邊”影。而CT則不能明確地顯示出是否有過蛛網膜下腔出血或動脈瘤是否有過破裂出血。
(7)MRI可直接顯示動脈瘤,並可顯示動脈內的血流在T1與T2加權像上瘤體是無信號,動脈瘤內血栓在T1與T2加權像上呈高信號瘤壁呈環狀低信號
(8)巨大型動脈瘤在MRI上呈混雜信號,即血流與渦流呈無信號。鈣化呈無信號,血栓呈高信號,含鐵血黃素呈低信號等
3.體感誘發電位檢查 刺激正中神經時可記錄體感誘發電位,顱內動脈瘤病人發生蛛網膜下腔出血及臨床症狀者,其體感誘發電位與正常人的顯著不同即中樞傳導時間(CCT)延長。它的顯著延長表示預後不好。這種差別在手術後48h即能被查出來。兩半球的傳導時間不同也可用於判斷預後,但是這種顯著的不同要在術後48~72h才顯現出來,比CCT的變化要小。
4.都卜勒超聲檢查 對術前頸總動脈、頸內動脈、頸外動脈及椎基底動脈的供血情況結紮這些動脈後或顱內外動脈吻合後血流方向及血流量,可做出估計。
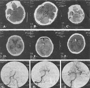
腦內動脈瘤5.腦血管造影 最後確定診斷有賴於腦血管造影(圖2、3)。凡病人有蛛網膜下腔出血、自發的Ⅲ~Ⅳ腦神經麻痹或後組腦神經障礙等均應行腦血管造影檢查。造影能顯示動脈瘤的部位、大小、形態、數目、囊內有無血栓,動脈硬化及動脈痙攣的範圍、程度,有無顱內血腫或腦積水,瘤蒂大小及是否適於夾閉等此外還可了解血管的正常與變異側支循環。做一側頸動脈造影時壓迫對側頸部頸動脈,或行椎動脈造影時壓迫頸動脈,能觀察前交通支或後交通支的供血情況,作為術中能否暫時或永久阻斷頸動脈或椎動脈的參考。約16%的動脈瘤內有血栓形成、動脈瘤與動脈影像重疊或動脈痙攣使動脈瘤不顯影第一次血管造影未顯影,在幾天或幾周后再造影時約有20%的動脈瘤可再度顯影。所以反覆造影、多位像投照有時是必要的,應行四(雙側頸動脈和雙側椎動脈)血管造影,以免漏掉動脈瘤或漏掉多發動脈瘤。前交通支動脈瘤多由一側大腦前動脈供血,作對側頸內動脈造影時壓迫病側頸動脈,可能使兩側大腦前動脈皆顯影而動脈瘤不顯影所以對這種病例只行對側頸內動脈造影,可能會將動脈瘤漏掉。
腦內動脈瘤關於血管造影時間,Ⅰ~Ⅱ級者可儘早造影,一般認為出血後3天內造影併發症最少,第4天開始增加,2~3周最高臨床症狀為Ⅲ~Ⅳ級而懷疑有顱內血腫者也應儘早造影。Ⅴ級者可做CT或MRI檢查以排除血腫和腦積水,以免造影加重症狀。還有人主張除Ⅴ級者外皆應儘早行血管造影,以利儘早手術,防止再出血。不過5h內做血管造影容易造成再出血
通過直接經皮穿刺頸部行頸內動脈造影適用於頸內動脈系統動脈瘤。椎動脈系統因直接穿刺的成功率僅為50%且易引起動脈痙攣,故經皮穿刺股動脈插管或穿刺肱動脈高壓注射藥物較好為避免遺漏多發性動脈瘤,現多採用經股動脈插管行四血管造影的方法,在透視下將不同型號的導管運用抽插捻轉等手法送進兩側頸總動脈、頸內動脈、頸外動脈及椎動脈內,分別注射藥物造影。
Willis動脈環前半部動脈瘤常規動脈造影拍正、側位片後半部者拍側位及湯氏位片。除此而外還可根據情況加上不同斜位、顱底位及立體片等,以顯示小的動脈瘤及瘤蒂。放大、減影裝置及斷層技術也都有助於得到更為清晰的動脈瘤X光片。清楚地顯示動脈瘤蒂對手術切口的設計、動脈瘤夾的選用正確地估計預後都有很大幫助。
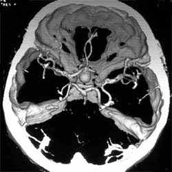
MRA能顯示整個腦血管系統不需要注射造影劑,因而無注射造影劑的危險,也沒有對造影劑過敏的問題。
多發動脈瘤多分布在兩側或頸內、椎動脈兩個系統中,也有的分布在一側,甚至於在一條主要動脈上。造影中如何判斷多發性動脈瘤中哪一個出血很重要。動脈瘤形狀不規則者出血可能性最大載瘤動脈痙攣或有顱內血腫壓迫表現以及出現鄰近神經結構損傷症狀的動脈瘤應考慮有出血。MRA加上MRI或者MRA加上CT會在這方面提供重要幫助。
血管造影的併發症發生率約1‰,包括偏癱、失語、視力減退等造影引起動脈瘤出血的占0.02%~0.11%,至1984年已報導了31例。其中23例(68%)死亡;5例殘留神經障礙(偏癱4例,動眼神經麻痹1例);3例神經系統正常。造影時動脈瘤出血的原因是強力推注造影劑使腦動脈內的壓力突然升高,因而動脈瘤破裂出血。至於短期的頸測量血壓及全身血壓增高可能由於造影劑的化學刺激,也可能是麻痹誘導使動脈內壓力升高也有可能是動脈瘤自發地出血與造影時間巧合
術中夾閉動脈瘤後或手術結束行血管造影,可了解瘤蒂是否完全被夾閉。如夾得不好則拆開切口重新夾閉僅結紮供血動脈的病人在術後造影,可了解是否有效。偶有動脈瘤由於技術原因無法將瘤蒂完全夾閉者,可用血管造影隨訪如又形成動脈瘤,可及時栓塞,也可再行手術上述這些血管造影也可用MRA代替。
治療
治療手段顱內動脈瘤非手術治療 主要目的在於防止再出血和控制動脈痙攣等。適用於下述情況:①病人病情不適合手術或全身情況不能耐受開顱;②診斷不明確需進一步檢查;③病人拒絕手術或手術失敗;④作為手術前後的輔助治療手段。
防止再出血包括絕對臥床休息、鎮痛抗癲癇、安定劑、導瀉藥物使患者保持安靜,避免情緒激動。抗纖維蛋白溶解劑(氨基己酸抗凝血酸、抑酞酶等);控制血壓。預防及治療腦動脈痙攣,使用鈣拮抗藥如尼莫地平腦脊液引流使用皮質類固醇藥物等。用經顱超聲監測顱內動脈,維持正常的腦灌注壓。根據病情退熱、抗感染、加強營養,維持水電解質平衡監測心血管功能要嚴密觀察生命體徵及神經系統體徵變化。對昏迷病人需加強特殊護理。
(1)控制性低血壓:是預防和減少動脈瘤再次出血的重要措施之一,但不宜降得過多最好用經顱超聲監測。因為出血後顱內壓增高,若再伴有動脈痙攣腦供血已相應減少,血壓降得過低會造成腦灌注不足而引起損害。通常降低10%~20%即可。高血壓患者則降低收縮壓原有水平的30%~35%,同時注意觀察患者病情,如有頭暈、意識惡化等缺血症狀應予適當回升。
蛛網膜下腔出血後可能出現顱內壓增高及腦積水,套用甘露醇、腦室引流、維生素E及腎上腺皮質激素等。
(2)降低顱內壓:甘露醇不僅能降低顱內壓,增加腦血流量,推遲血-腦脊液屏障損害並減輕腦水腫還能增加手術中臨時阻斷腦動脈的時間。動物試驗證實甘露醇對腦組織有保護作用。在其保護下,缺血腦組織的腦電波能恢復得較好。維生素E加地塞米松和甘露醇有很強的抗水腫作用。如再加上人造血效果更佳。給蛛網膜下腔出血的Ⅱ及Ⅳ級病人可使用甘露醇,每小時給20%甘露醇1.5mg/kg以後2天增加20%臨床症狀顯著進步,在24h即恢復到Ⅰ或Ⅱ級。甘露醇保護腦組織的具體機制尚不清楚,動物試驗阻斷局部腦血流30s,出現可逆性變化;阻斷120min,則出現神經細胞的皺縮,星形細胞膨大;12h星形細胞崩潰;24h神經細胞即已破壞,出現大量粒性白細胞。一支毛細血管阻塞120min後管腔即變小,內皮細胞增多可見腦梗死的形成是很快的。而在套用甘露醇後120min,毛細血管及神經細胞均未發生明顯的病理性改變。用動物的腦水腫模型發現:5例套用甘露醇並阻斷血流2h,僅1例出現腦水腫。阻斷4h,仍半數有效如阻斷6h,則無作用。所以甘露醇的有效作用時間大約為2h用兔做試驗,如用甘露醇加人造血,則阻斷6h仍無腦水腫出現。但單純用甘露醇或人造血,則不能控制丘腦出血性腦梗死的發生。
臨床套用20%甘露醇,每公斤體重給10ml,允許阻斷血流100min。所以動脈瘤破裂時,可將其輸入及輸出段動脈完全暫時夾閉。用甘露醇加人造血後做大腦中動脈早期血管重建術治療腦梗死,可獲得良好效果。入院時昏迷的病人可先用20%甘露醇靜脈注射加腦室引流。經過這種處理後病人有反應,如呼之能應或壓眶上神經有防禦反應,即考慮手術。然而套用甘露醇增加血容量,使平均血壓增高,也偶有使動脈瘤破裂的危險。
其他如低分子右鏇糖酐也對改善微循環有利。
(3)腦脊液引流:腦動脈瘤出血後急性期在腦表面及腦內可有大量積血使顱內壓增高需做腦室引流等降低顱內壓力,才能在手術時分離開腦組織進至動脈瘤有的因小的血腫或凝血塊阻塞室間孔或大腦導水管,引起急性腦積水而出現意識障礙需做緊急的腦室引流腦動脈瘤出血後的慢性時期由於基底池等的粘連,也會引起腦積水顱內壓也可能正常,但病人的腦室擴大,同時出現反應遲鈍等症狀,行腦室引流會使情況改善。
顱內動脈瘤的手術治療 顱內動脈瘤病人發生了蛛網膜下腔出血應早期手術(夾閉瘤蒂或栓塞動脈瘤),術中採取保護腦的措施(甘露醇、巴比妥類藥、異氟烷),術後擴容治療。目前對於腦前半循環動脈瘤及後半循環的動脈瘤椎基底動脈連線部動脈瘤、小腦前下動脈及小腦後下動脈動脈瘤在蛛網膜下腔出血後早期手術,而對基底動脈及大腦後動脈第一部分的動脈瘤多等待其神經症狀改善及穩定後再手術。
麻醉多用全身麻醉。麻醉前予鎮靜劑及止痛劑。對於巨型動脈瘤或複雜的動脈瘤,特別是基底動脈動脈瘤,有人主張在深低溫下停止血液循環,並用巴比妥類藥物保護組織必要的器械有手術顯微鏡、顯微手術器械、雙極電凝器、無損傷性臨時血管阻斷夾,以及各種不同形狀、角度、大小的動脈瘤夾。動脈瘤夾應光滑有彈性、無裂紋、有槽、強度可靠,既能造成內膜一定的創傷使之粘連緊密,又不會夾斷或劃破管壁;既能開閉自如,又能長久固定在夾閉位置上不因動脈搏動而移位、脫落或斷裂。夾持要細巧,有各種角度,易於開合。
有條件時手術中可用體感誘發電位監測,刺激正中神經及記錄中樞傳導時間(central conduction time,CCT)、N14峰(於C2記錄)與N20峰(皮質記錄)間的傳導時間使用海羅芬(Halothane)、牽拉腦組織、暫時阻斷腦動脈時CCT延長
經過長期、大量的臨床實踐,目前多數學者認為顱內動脈瘤除個別情況外均應積極地給予外科治療腦動脈瘤病人第1次出血而未行手術者,1個月記憶體活率為50%~78%。再出血的死亡率分別為43%和64%。而動脈瘤直接手術的死亡率,目前已降至1%~5.4%。因此,出血後及時手術就顯得十分必要。
過去許多人認為動脈瘤出血後立即開顱手術會進一步損傷腫脹的腦組織,造成更多的神經功能障礙和後遺症,故主張除伴有顱內血腫需立即手術外,在出血後2周左右病人情況平穩時行開顱手術為好。晚近通過對動脈瘤早期及晚期手術預後大宗病例的分析對動脈痙攣的研究以及對再出血的時間預後和血腫的影響反覆進行對比研究,有些學者提倡動脈瘤出血後早期手術,並有關於出血後數小時內手術成功的報導。有蛛網膜下腔出血的ⅠⅡ級病人越早手術越好,以防再出血;有意識障礙及神經系統體徵、嚴重腦膜刺激症者一旦臨床情況穩定並有好轉的,應即刻手術;對Ⅴ級病人除非有危及生命的血腫需要清除否則,無論手術與否效果都不好出血後48h內紅細胞尚未溶解,氧合血紅蛋白很少,不至於引起血管痙攣。如果等待數天血塊與血管或動脈瘤粘連緊密血塊溶解及血紅蛋白釋出,動脈發生痙攣,此時不僅增加了手術困難,而且即使清除了積血也不能防止動脈痙攣。Takahashi統計了顱內動脈瘤出血早期(3天內)和晚期手術的效果:Ⅰ~Ⅱ級病人早期手術的死亡率為5.8%晚期為10.0%;Ⅲ~Ⅳ級早期手術的死亡率及致殘率(Morbidity)為32.9%,晚期為49.2%。預後不好的主要原因是血管痙攣及再出血。因此主張對顱內動脈瘤有蛛網膜下腔出血的Ⅰ~Ⅳ級病人應早期手術。Ludwig(1984)認為腦動脈瘤病人在蛛網膜下腔出血後48~72h行手術修復同時局部及靜脈用尼莫地平防血管痙攣,能使症狀性血管痙攣減少到最低限度,改善預後。總之,早期手術可避免再出血並可清除蛛網膜下腔出血以緩解致命性的動脈痙攣。早期手術除了夾閉動脈瘤外,還可行基底池引流。這樣處理比單純夾閉動脈瘤的效果好。可用經顱超聲監測動脈瘤出血後動脈痙攣的程度。早期手術的缺點是因為有腦水腫使動脈瘤的暴露困難,容易損傷腦組織及術中引起動脈瘤破裂然而因血壓不正常、顱內壓過高,急性心、肺疾患等,需要一定時間進行術前準備而推遲手術也是合理的。
Kassel總結了聯合研究3521例顱內動脈瘤病人隨訪6個月,比較蛛網膜下腔出血後早期手術(0~3天)及延期手術(7~14天)的結果,發現除了延期手術再出血為9%,明顯多於早期手術的4%,其他早期和延期兩組的結果皆相似,如死亡率20%比24%、結果良好率為62%比56%,兩組的血管痙攣、手術併發症、腦積水及第一次出血造成的損害也相似。說明延期手術並非像原來想像的那樣不好;早期手術能減少再出血,但不能減少缺血性神經功能缺失或其他併發症。
控制性低血壓在腦動脈瘤手術中得到廣泛套用但蛛網膜下腔出血的病人腦血管的反應性和自動調節機能都不健全低血壓更易引起腦缺血。可有體感誘發電位、腦電圖、直接觀察腦皮質反應和手術中直接測量腦血流等方法監測腦血流。在降低血壓時,可用藥物保護組織如氟烷可降低腦組織代謝,甘露醇可使腦體積縮小,並增加急性缺血區的腦脊液當這些因素存在時,即使腦血流短時降至20ml/(100g•min)以下仍可耐受。Luben等分析了61例套用控制性低血壓的病人,認為硝普鈉及α/β受體阻滯藥合用有益於低血壓的安全誘導,並能降低心肌氧耗,合用還可減少硝普鈉的劑量。受體阻滯藥能防止靜脈注射硝普鈉後引起的反射性心動過速。
關於手術是否要限制病人年齡的問題,經研究比較60歲以下與60歲以上動脈瘤病人手術治療效果,結果認為:只要動脈瘤出血前能正常生活而無嚴重併發症,60歲以上和以下的手術效果相似,70歲以上的也是一樣。問題是術前要對全身健康情況仔細檢查,排除其他重要疾病,適當選擇手術時間,術後細心護理,才會取得好效果。
超過60歲的病人與小於60歲的病人發生蛛網膜下腔出血後,其手術預後的好壞都取決於術前症狀的級別等級、顱內有無血腫、有無腦動脈痙攣及手術時間選擇。大於60歲的病人術前有高血壓的比無高血壓的預後差;尼莫地平能改善預後但要在術前給。術前給尼莫地平的,術後效果好而未給尼莫地平或術後才給的,由於症狀性動脈痙攣造成的致病率及死亡率都高所以蛛網膜下腔出血後最好儘快使用尼莫地平。
手術方法:開顱手術包括動脈瘤頸夾閉或結紮術動脈瘤電凝固術、動脈瘤銅絲導入術立體定向磁性栓塞術動脈瘤射毛術動脈瘤包裹加固術、雷射凝固術等。間接手術是夾閉或結紮動脈瘤的輸入動脈或供血動脈分為急性結紮及慢性結紮兩種,雖是一種老方法,在某些情況下亦行之有效。
(1)動脈瘤頸夾閉或結紮:手術目的在於阻斷動脈瘤的血液供應,避免發生再出血;保持載瘤及供血動脈繼續通暢,維持腦組織正常血運;夾閉瘤頸後,術中即可檢查手術效果。方法是:①術中血管造影;②微型都卜勒超聲探測;③螢光血管造影:在顯微鏡下能查出動脈瘤是否完全被排除於血流之外,載瘤動脈有無血流缺失,小血管(包括穿通支)是否血流良好。
手術後動脈瘤頸多能被完全夾閉使動脈瘤得以治癒。顯微手術明顯提高了動脈瘤的治癒率,使顱內動脈瘤直接處理的百分比從1966年Kraus報導的45%提高到1976年Brenner報導的95%Pia報導200例使用顯微鏡直接處理動脈瘤的患者,效果不良者僅6%而不用顯微手術前高達40%。
動脈瘤復發的原因有:①瘤頸夾閉不當:一般應緊貼著載瘤動脈夾閉瘤頸。不然,被殘留的瘤頸在血流衝擊下可逐漸擴大成動脈瘤。②動脈瘤夾在術後滑脫,使原來的動脈瘤重新充盈。所以夾閉瘤頸後要稍作觀察。
(2)載瘤動脈夾閉及動脈瘤孤立術:手術目的是在顱內夾閉載瘤動脈,其載瘤動脈可能是頸內動脈或其分支,也可能是椎基底動脈或其分支。夾閉後從而降低及改變血流衝擊強度及方向降低動脈瘤內的壓力,促使瘤內血栓形成而使動脈瘤得到治癒動脈瘤孤立術則是把載瘤動脈在瘤的遠端及近端同時夾閉,使動脈瘤孤立於血循環之外而不再出血。
這種手術有其危險性。如大腦中動脈或基底動脈的突然夾閉很可能使病人死亡,所以要避免這樣做。若非如此不可,可先行顱內外動脈吻合再夾閉。或直接將大腦中動脈或基底動脈逐漸結紮(即套上一粗線,在數天到數周內逐漸拉緊,達到完全閉塞的目的)。至於椎動脈一般是可以夾閉的,但必須在其分出小腦後下動脈的遠端,除非夾閉的另一側是主要的椎動脈。頸內動脈的突然夾閉多半會造成癱瘓,偶可致命。所以也要慎重行事,最好先行顱內-外動脈吻合再夾閉。
手術的適應證與禁忌證:某些寬頸囊性動脈瘤大型及巨型動脈瘤、梭形動脈瘤、壁間動脈瘤,或手術無法達到的一般囊性動脈瘤可行此手術由於技術、設備的改進,這種手術日趨減少下列情況不宜施行這種手術:不能耐受結紮後腦缺血或暫時阻斷後出現較嚴重的神經功能障礙者;對側頸內動脈椎動脈、Willis環狹窄或閉塞,估計結紮後側支循環不良者;顱內已有廣泛動脈痙攣,結紮能進一步加重症狀者,均不宜行此種手術。
夾閉或結紮動脈的選擇:頸內動脈瘤包括海綿竇內頸內動脈瘤、頸內動脈後交通支動脈瘤及主要由一側供血的大腦前動脈瘤,均可結紮同側頸內動脈。一側椎動脈瘤或主要由一側椎動脈供血的基底動脈瘤,在同側頸部結紮椎動脈。某些椎動脈瘤在不影響小腦後下動脈供血情況下對椎動脈施行孤立術也是可取的。基底動脈分叉部動脈瘤如不能夾閉瘤頸時,可在大腦後動脈與小腦上動脈之間,或小腦上動脈以下的基底動脈安置動脈夾。部分大腦後動脈瘤可在P1段或P2段起始部結紮,而不出現任何缺血症狀。一般顱內動脈的各種結紮或夾閉也最好在顯微鏡下進行。
手術效果:頸部頸動脈結紮後動脈瘤的再出血率為5.9%~6.8%。其中頸內動脈瘤再出血率為3%前交通支動脈瘤為9.7%,大腦中動脈瘤為19%手術對椎基底動脈系動脈瘤效果較差。
(3)動脈瘤包裹術:主要適用於瘤頸過於寬大、梭形動脈瘤、瘤頸內有鈣化斑不宜上夾或結紮者,或者因載瘤動脈不能阻斷時套用也可以在其他處理動脈瘤方法不能奏效時套用其目的是採用不同的材料加固動脈瘤壁,雖瘤腔內仍充血但可減少破裂的機會。目前臨床套用的有筋膜、細紗布和塑膠等。肌肉包裹因療效甚差已被放棄使用。塑膠種類繁多經動物試驗及臨床觀察發現Biobond毒性小,效果似比較可靠。進行包裹前最好能全部暴露瘤體,然後用包裹材料均勻徹底將瘤體全部覆蓋。這種方法有一定缺點,如正在出血的動脈瘤不易包裹部位深在、粘連緊密的動脈瘤常不可能全部游離對於壓迫引起的神經症狀不能得以改善Biobond等塑膠仍有一定的毒性。烏拉坦預聚物可用於臨床。動物試驗用它包裹6個月後檢查,它的量並不減少,並且動脈瘤壁與聚氨酯黏合良好。烏拉坦聚合物是一種黏性液體,與胺及水起反應,在幾分鐘內變成有彈性物質,即聚氨酯。
(4)開顱動脈瘤栓塞法:種類較多,其目的是使動脈瘤腔內產生永久性血栓阻止再出血。以下介紹幾種療效顯著而易行的方法。
①銅絲導入:用毫米直徑的銅絲導入動脈瘤內,使瘤內形成血栓。對於2~3cm直徑的動脈瘤導入15cm長的銅絲效果較好也可以將鍍銅鋼絲或鈹銅絲送人動脈瘤腔內作陽極,然後通入0.5~1mA的直流電數分鐘或更長時間血液中纖維蛋白原、紅細胞、白細胞、血小板因帶陰性電荷,就吸附在金屬絲周圍形成血栓填塞瘤腔。金屬絲的導入可採用立體定向手術,也可以開顱,根據情況而定。導入金屬絲之前先用33號口徑穿刺針刺人動脈瘤2~3cm深,後端接一個22號管子將金屬絲插入瘤內,使之繞成彈簧狀或線團狀而不易通過瘤頸部。
②磁凝固法:用立體定向技術或開顱後直視下將30~31號穿刺針插入動脈瘤內,注入直徑1~5μm的碳基鐵微粒膠形混懸液,由於動脈外放置的磁鐵、磁探針對鐵微粒的引力,使之停留在瘤腔中,逐漸形成血栓。
③射毛術:Callagher用特製氣槍將6mm長馬毛、豬毛“子彈”射入暴露好的動脈瘤壁和腔內。由於獸毛帶陰性電荷,能吸附血中帶陽性電荷的有形成分,成為附壁血栓。
④氬雷射凝固動脈瘤。
(5)經血管內栓塞動脈瘤:對於患動脈瘤的病人開顱手術失敗,或因全身情況及局部情況不適宜開顱手術的如風心病、血小板少、腎功能不全頭皮銀屑病等,可用血管內栓塞治療。對於動脈瘤沒有上述情況者,也可以先選擇栓塞治療。
微導管栓塞材料及方法:1973年前蘇聯Serbinenko首先使用可脫性球囊導管治療腦血管病,以後他和Romodanov及Sheheglov積累了大量經驗。除此之外又出現了血管內快速凝固劑。目前導管和栓塞材料還在不斷改進和創新,套用技術還在不斷完善和探索。現在已有栓塞材料氫丙烯酸異丁酯(IBCA)和球囊、彈簧栓子和微導管。用IBCA栓塞動物的動脈,栓塞的局部血管及周圍會出現慢性炎症。可脫性球囊有乳膠和矽膠兩種,可在血流中起導向作用,以到達病變部位;球囊可任意前進或撤回,以保證在理想部位閉塞病變血管,它能閉塞動脈瘤及動靜脈瘺並保留正常動脈血流。
栓塞的併發症:①很少的病人在栓塞過程中或以後出現暫時性腦缺血(TIA),也可發生卒中;②微導管斷於顱內,特別在用凝固劑時。如斷留於較小的腦血管內,可無症狀如斷留在大腦中動脈或基底動脈內可能發生腦缺血。需行抗凝治療及肝素化;③球囊位置不當球囊經過的腦血管如有動脈硬化等而過度彎曲或狹窄,向後抽拉導管時可造成球囊過早解脫。若堵塞的動脈無充分的側支循環,會出現神經功能缺失症狀。
目前可以栓塞的動脈瘤:
①頸內動脈顱外段、岩段、海綿竇段動脈瘤:這些部位的解剖關係複雜,常無瘤頸,外科手術困難,是栓塞的適應證栓塞前先做頸內動脈閉塞試驗,即用造影劑充盈球囊完全阻斷頸內動脈血流,同時向對側頸內動脈注射造影劑,了解健側頸內動脈通過前交通支向患側供血情況。在阻斷頸內動脈血流的同時,記錄阻斷時間,並觀察病人神志、語言功能肢體活動及腦電圖變化阻斷頸內動脈15min以上無不良反應,即可開始用球囊阻塞動脈瘤並嵌住瘤頸。阻塞動脈瘤不成功,則阻塞動脈瘤近端的頸內動脈。若觀察15~30min出現不良反應,則不能閉塞頸內動脈,可先行顱內外動脈吻合,再永久性地閉塞頸內動脈。如病人為兩側頸內動脈動脈瘤,需栓塞兩側頸內動脈時,必須先確定椎基底動脈系統通過後交通支供應兩側頸內動脈良好,再施行兩側顱內外動脈吻合(如STA-MCA之類的吻合),最後頸內動脈堵塞試驗無不良反應,才能使兩側頸內動脈永久性閉塞。
②頸內動脈顱內段動脈瘤:這類動脈瘤過去多採用外科手術,將瘤頸夾閉。現在也可用血管內栓塞治療將球囊送入動脈瘤內並以凝固劑充盈,然後解脫球囊。也可用彈簧栓子放入瘤腔內將其閉塞。
③椎-基底動脈瘤:這類動脈瘤開顱手術的危險性及術後併發症較腦前半循環動脈瘤為多。栓塞成功的有基底動脈乾及其末端動脈瘤椎基底動脈匯合處動脈瘤、小腦後下動脈瘤、小腦前下動脈瘤也可栓塞基底動脈末端的巨大動脈瘤
巨大的動脈瘤常無瘤頸或瘤頸很大外科手術極為困難。結紮或夾閉這種過大的瘤頸會造成載瘤動脈的狹窄以至閉塞,術後出現嚴重併發症或導致死亡。暫時孤立動脈瘤的情況下切除動脈瘤,修復瘤頸在技術上要求很高,也有術野受限操作不便等困難,而且暫時孤立的時間不能過久有時尋找暫時孤立的部位也非易事。對這類病人,可施行血管內栓塞動脈瘤。阻塞動脈瘤的球囊如1個不夠,可增加至幾個,有人甚至阻塞到7個之多才成功
如果栓塞基底動脈瘤不成功,也可栓塞一側椎動脈,甚至於兩側椎動脈或基底動脈但有先決條件即兩側頸內動脈通過後交通支供應基底動脈良好時才能這樣做。檢查方法是暫時用球囊阻塞基底動脈的動脈瘤近端,由頸內動脈注射造影劑,看基底動脈能否從遠端逆行充盈。如果逆行充盈良好,可考慮雙側椎動脈或基底動脈栓塞最好在栓塞前,再行顱內外動脈吻合(如枕動脈與小腦上動脈的吻合)。
在試圖用球囊栓塞巨大動脈瘤之前,應證明動脈瘤內沒有新鮮的血栓存在磁共振掃描能夠鑑別。如果瘤內有新鮮的血栓,應推遲幾周再栓塞,以便血栓溶解吸收或機化
(6)各部位動脈瘤的手術方式及入路:
①床突下海綿竇內頸內動脈動脈瘤:無症狀的床突下海綿竇內顱內動脈動脈瘤一般主張保守治療。有症狀者,包括發生蛛網膜下腔出血、鼻出血,嚴重頭痛、眼眶疼痛、放射學檢查瘤體增大、進行性眼肌麻痹或進行性視力、視野障礙均需要外科治療。常用的手術方式有:
A.頸部頸動脈結紮術:結紮術的要求如前所述,結紮後動脈瘤所承受的壓力在短期內下降約50%,長期觀察仍能保持壓力下降20%~30%,術後長期生存率達80%,說明此手術方式效果尚屬良好。對於結紮後動脈瘤腔發生血栓形成者,臨床上症狀改善而無復發者,可不必再行孤立術。
B.頸總動脈栓塞術:原理同結紮術一樣採用物理或化學的方法將頸總動脈栓塞可採用股動脈插管或頸動脈穿刺法
C.孤立術:多採取頸部頸內動脈及床突上段頸內動脈結紮加顱內外動脈吻合術頸內床突上段頸內動脈結紮可取患側翼點入路骨瓣成形術顱內外動脈吻合術可根據情況選擇顳淺動脈-大腦中動脈吻合術或枕動脈/腦膜中動脈-大腦中動脈吻合術等。
D.血管內微球囊栓塞:隨著微球囊技術的發展,以及永久性固化劑的套用,對於瘤頸明顯的床突下海綿竇內動脈瘤可將微球囊直接放置到瘤內栓塞,而載瘤動脈保持通暢。球囊栓塞術的優點是在局麻下進行,栓塞過程中可隨時觀察病人的反應。如果病人不能耐受試驗性栓塞頸內動脈或動脈回反壓力過低則作顱內外動脈吻合術。
E.直接手術:顯微手術的套用提高了床突下海綿竇內頸內動脈動脈瘤的治療水平。Parkinson(1965)首先報導在深低溫(8~10℃)、心臟停搏、體外循環下進行海綿竇內動脈瘤直接手術,將瘤頸夾閉或瘤體切除。手術入路採取患側顳部骨瓣成形術。此手術如能成功是理想的治療方法,但是由於技術複雜這類手術尚難以開展。1983年Dolenc首先採用不用體外循環,切開海綿竇側夾閉瘤頸或切除瘤體縫合切口。多採用翼點加顳下入路。
②床突上頸內動脈動脈瘤:手術入路目前最常採用翼點入路直接手術。其他入路有低顳部骨瓣入路、額顳入路等。對於後交通動脈動脈瘤來說是最適合於直接手術的動脈瘤之一,直接手術率可達82%~92%。低顳部入路適於動脈瘤向後下方生長者額顳入路適用於動脈瘤向後外側或內側生長者。術中注意夾閉後交通動脈動脈瘤時,不要誤夾脈絡膜前動脈。眼動脈動脈瘤由於其與視神經、視交叉、頸內動脈、前床突、海綿竇等解剖關係密切,故手術技術要求較高。暴露又較困難,故多主張採用非手術治療或間接手術。採用直接手術時,最好在腦水腫或腦血管痙攣等消退後再手術以利暴露脈絡膜前動脈動脈瘤可採用間接手術或直接手術其入路與後交通動脈動脈瘤基本相同手術時切勿損傷脈絡膜前動脈,以防術後發生昏迷、偏癱與死亡。
③頸內動脈分叉部動脈瘤:由於動脈瘤位於腦底動脈瘤的最低點,手術困難而又複雜可取翼點為中心的額顳入路,骨瓣宜大,要接近顱底。對於操作困難不易行直接手術或術中破裂者可行孤立術,將大腦前動脈及頸內動脈夾閉。
④岩骨部頸內動脈動脈瘤:由於動脈瘤的部位特殊。不宜行直接手術,只能在頸部結紮頸內動脈或頸總動脈,如術後仍顯影。可進一步行顱內外聯合孤立術。
⑤大腦前動脈主幹上的動脈瘤:以直接手術為主要治療方法,可採用瘤頸夾閉術,多不困難。若遇到困難,亦可行孤立術。手術入路有額下入路、額顳入路或翼部入路。若瘤頸的部位接近前交通動脈手術入路可參考前交通動脈動脈瘤的入路。
⑥前交通動脈動脈瘤:手術方式有多種,如頸動脈結紮術、顱內外聯合動脈結紮術、大腦前動脈近段結紮術、瘤體加固術、直接瘤頸夾閉術等。其中以瘤頸夾閉術最常用、最理想。若無法夾閉瘤頸可行瘤體加固術。若動脈瘤主要由一側大腦前動脈供血,可施行近端供血動脈夾閉術。直接手術入路文獻中有4種,即雙側額底入路、雙側矢旁入路、翼點入路及單側額葉入路對於單側供血的前交通動脈瘤可採取頸動脈結紮術。
⑦大腦前動脈遠端段動脈瘤:一般採用直接手術,夾閉瘤頸。若不能行瘤頸夾閉。可行孤立術。其手術入路與動脈瘤部位有關,對於大腦前動脈上升段動脈瘤可行雙側或單側額部開顱縱裂入路;而大腦前動脈水平段動脈瘤,宜採用一側矢狀竇旁入路。
⑧大腦中動脈動脈瘤:一般採取瘤頸夾閉術。若瘤頸較寬、體積較大亦可行孤立術。一般採取額顳入路,額葉部分骨瓣宜大間接手術效果不良不宜採用。大腦中動脈主幹動脈瘤可經額顳或翼部入路直接手術;大腦中動脈主要分支上動脈瘤,可取額顳或翼點入路瘤頸夾閉術。若夾閉困難,亦可採用瘤壁加固術;大腦中動脈周圍支動脈瘤以採用瘤頸夾閉術或局部孤立術、切除術為宜。
⑨大腦後動脈動脈瘤:一般採用直接手術對於大腦後動脈P1段動脈瘤可取顳葉或翼點入路行瘤頸夾閉術或孤立術,P3~4段者行顳葉入路。位於末梢分支者要行枕部開顱。
⑩基底動脈動脈瘤:位於基底動脈分叉部動脈瘤可行顳下或翼點入路瘤頸夾閉術或結紮術,位於基底動脈遠段動脈瘤可取右側低顳部入路,其近側段動脈瘤,可取枕下入路或咽-斜坡入路,基底動脈主幹或其上段的動脈瘤可取顳下或枕下入路瘤頸夾閉術或間接手術,但危險性很大僅當有充分供血來自頸動脈系時,才能將基底動脈下端鉗夾。
⑪椎動脈動脈瘤:多採用單側枕下入路,適於小腦後下動脈處動脈瘤,其他入路尚有顳下小腦幕入路適於椎動脈遠側段或兩側椎動脈會合處動脈瘤;經斜坡入路適於椎動脈末段以及與基底動脈交界處動脈瘤瘤頸窄者可行夾閉術,瘤頸寬者可用彈力夾夾閉或加固術。若動脈瘤發生在較細的一側椎動脈上可行頸部椎動脈結紮術。亦有人對椎-基動脈動脈瘤採取血管內治療。
⑫小腦動脈動脈瘤:多採取枕下入路行瘤頸夾閉術或局部孤立術切除術等。
特殊類型動脈瘤的治療
(1)多發性動脈瘤:出血機會較單發者為多,故有人主張處理一個動脈瘤比不處理為好,全部處理比僅處理一個為好此外,利用一個切口在一次手術中治療所有動脈瘤對病人最為有利。如果瘤體相距較遠,則需分期手術分期手術應首先處理出血或有出血傾向的動脈瘤。根據影像學和臨床症狀的綜合分析約96%的出血動脈瘤能被分辨出來。對多發動脈瘤的處理與單發動脈瘤一樣。手術死亡率亦相似。
(2)巨型動脈瘤: 約1/5病人由於各種原因,只能保守治療,4/5能行手術治療Peerless報導125例基底動脈瘤分叉部巨型動脈瘤,其中46%的動脈瘤能夠直接手術夾閉瘤蒂;其餘的只能縮窄或夾閉(或用止血帶閉塞)基底動脈近端;10例只做了手術探查。手術方式如下:
①載瘤動脈夾閉或孤立:巨型動脈瘤開顱後約3/4的病人可將瘤蒂夾閉,但有1/4由於各種原因無法夾閉瘤蒂而只能夾閉載瘤動脈或孤立動脈瘤,甚至連這些操作也不可能。頸內動脈的動脈瘤可夾閉動脈瘤近端的頸內動脈或孤立動脈瘤,基底動脈及椎動脈的則夾閉供血側的椎動脈,甚至夾閉動脈瘤近端的基底動脈或孤立術。夾閉這些重要動脈或孤立前必須了解到術後能有充分的側支循環,或先做顱內外動脈吻合以後再夾閉或孤立。
②栓塞術:由血管內栓塞動脈瘤,選擇適當的鎢絲彈簧栓子或球囊放置到瘤腔內(預先根據血管造影選擇適當大小的球囊),如不能完全閉塞動脈瘤,可再放入第2個,有人甚至於放進7個才完全閉塞成功。如球囊難以進入瘤內,也可栓塞其載瘤動脈或孤立動脈瘤(放一球囊在動脈瘤開口處,再放置另一球囊於動脈瘤近端動脈內)。放置永久球囊前先臨時充盈球囊20min,觀察反應。如果耐受,再永久放置。
③瘤蒂夾閉:能否夾閉瘤蒂,要看蒂的大小,有無穿通動脈黏附在動脈瘤蒂上及動脈瘤內壓力的大小。動脈瘤巨大時常不易找到瘤蒂,即使找到,常因太寬而無法夾閉。如蒂很寬可用2個動脈瘤夾從相對方向各夾其一半。也可用一穿刺針刺入動脈瘤,用力抽吸其中血液使瘤壁塌陷,迅速分離出瘤蒂予以夾閉。也可將載瘤動脈暫時阻斷或孤立切開動脈瘤清除其中血栓使瘤壁塌陷後,再夾閉瘤蒂。當瘤蒂過寬時也可用線結紮不過用線結紮很寬的瘤蒂,常使載瘤動脈扭曲及狹窄巨型動脈瘤在夾閉瘤蒂後,還應抽出瘤內血液或切開清除瘤內血栓或切除動脈瘤,解除對周圍組織的壓迫。大腦中動脈的巨型動脈瘤切除後,有時需行動脈端對端吻合。頸內動脈瘤必須夾閉頸內動脈時,可先行顱內外動脈吻合即使巨型動脈瘤內已完全形成血栓如有壓迫症狀仍應手術切除動脈瘤或清除其中血栓使之塌陷。對巨大梭形動脈瘤也有施行顱內外血管吻合及切除動脈瘤成功的
動脈瘤是否被完全閉塞,可用針穿刺動脈瘤,看是否仍有活動的血。此法有時不盡可靠。術中造影或術中用微血管都卜勒探測更準確這種術中用的微血管都卜勒探頭可小至0.3mm,只要血管管徑>0.1mm即可探測。局部血管狹窄超過其直徑的40%,因其局部血流加速和脈搏曲線改變,很容易辨認這種裝置能探測出血管內血流是否正常,動脈瘤夾是否嚴重影響了動脈血流,動脈是否嚴重狹窄或完全閉塞。如果夾閉瘤蒂後嚴重影響了動脈血流或使動脈閉塞,要調整動脈瘤夾的位置,或改變手術方式如暫時孤立動脈瘤,或阻斷載瘤動脈,掏空動脈瘤後再夾閉瘤蒂,或切除動脈瘤及縫合動脈瘤蒂,或切除動脈瘤、行動脈端對端吻合。不得已時行動脈瘤包裹術。手術中不能看清動脈瘤的全部瘤蒂,可用都卜勒引導把瘤夾放置到適當位置。
對頸內動脈系統的巨型動脈瘤開顱手術前可先暴露頸部頸內動脈。當分離動脈瘤囊或分離及夾閉瘤蒂時,暫時壓迫頸內動脈以降低載瘤動脈及動脈瘤內的壓力。如分離時間較長,可間斷性壓迫,中間放開2~3min這樣會使手術容易些。
對於那些有厚的粥樣硬化及附壁血栓,並常有鈣化的巨大動脈瘤,手術困難。可暫時阻斷局部血流用甲苄咪酯0.3mg/kg能在1min內產生抑制作用,降低氧耗它不像巴比妥類藥物對心臟有毒性作用。採用腦電圖進行監護,暫時夾閉載瘤動脈近端或暫時孤立動脈瘤。大腦中動脈可暫時阻斷35min,基底動脈上段可阻斷17min而無顯著影響,不需要降低血壓不像使用巴比妥類藥物造成昏迷,還需要一段清醒的時間。
預後及預防
檢查圖示預後:
顱內動脈瘤的預後與病人年齡、術前有無其他疾患動脈瘤大小部位、性質、手術前臨床分級狀況、手術時間的選擇有無血管痙攣及其嚴重程度有關,尤其是動脈瘤病人蛛網膜下腔出血後伴有血管痙攣和顱內血腫者均是影響預後的重要因素。手術者的經驗和技術熟練程度、手術是否套用顯微手術、術後是否有顱內壓增高(減壓充分與否)等等,都與預後有十分密切的關係。病人年齡大,伴有心、腎、肝肺等重要臟器疾患以及高血壓者預後較差。
Iwa及Kolluri分別對比了65歲以上的顱內動脈瘤有蛛網膜下腔出血的患者及64歲以下的患者和>30歲<60歲的患者,結果認為老年患者臨床症狀Ⅲ級(Hunt and Hess)的多;兩組血管痙攣的發生率相似,但老年術前及術後出現腦梗死顯著增多;老年術後死亡多,術後恢復好的絕大多數<50歲;建議對老年組Ⅰ~Ⅱ級的應儘早手術,Ⅲ級以上的應延期手術;手術操作很重要操作不當時老年組容易出現腦損害及腦梗死。結論是年齡越大,手術致殘率及死亡率越高;但手術效果依然比令其自然發展為好只要根據病人的生理狀態選擇手術而不是根據年齡選擇
有的病人臨床症狀很輕,但CT、MRI及血管造影可能顯示血-腦脊液屏障或血腦脊液屏障有障礙及血管痙攣,這些是潛在腦損傷的重要現象。動物試驗在蛛網膜下腔出血後2~4h即可查出廣泛血-腦脊液屏障受損,表現為血流及代謝障礙,儘管其臨床症狀很輕。
施行動脈瘤根治手術後,80%以上病人能恢復正常,或僅有輕微的神經功能缺失顯微手術的套用大大降低了死亡率和致病率。
Ⅰ~Ⅱ級患者術後90%效果良好,Ⅴ級的手術死亡率高達80%以上Bailes(1989)等報導了51例Hunt及Hess分級為Ⅳ到Ⅴ級的動脈瘤,其中Ⅳ級23例,Ⅴ級31例4例位於後循環;15例為多發的,其餘位於前循環。採取的治療方案是:①立即行腦室引流。②於24h內開顱夾閉動脈瘤及清除血塊。③術後給予擴容治療。在立即行腦室引流的47例中,31例(66%)神經症狀立即好轉。54例中,共存活27例(50%),12例(22.2%)效果很好,無任何重要的神經障礙;27例死亡中,19例(70.4%)與顱內出血有關。
因動脈瘤部位不同危險性亦不同,後半循環動脈瘤的手術死亡率較高。預後與動脈痙攣有關核素測定動脈痙攣後腦血流量變化發現,血流量減少40%以上的患者手術死亡率和致病率比40%以下或血流量正常者要高4倍CT檢查動脈瘤直徑>2cm的病人,蛛網膜下腔持續有厚的凝血快,且恢復率僅為27%,死亡率則高至50%,遠不如蛛網膜下腔沒有凝血塊或僅有薄血塊的病人。
動脈瘤病人行直接顯微手術後,15%出現癲癇,多半在術後6~12個月開始發作目前的顯微手術技術已達到相當高的程度既然顱內動脈瘤的最大危害是第一次出血造成的,並非由於外科手術,所以今後的注意力似應著重發現未出血的動脈瘤,及時給予處理。影像學的進一步發展將能幫助解決這個問題目前的MRA不需要造影劑即能顯示出全部腦血管影像。有些病種如多囊腎、主動脈縮窄和結締組織病等容易伴發顱內動脈瘤及時檢查將會有所發現。
蛛網膜下腔出血早期手術(0~3天)及延期手術(11~14天)的後果:早期手術由於再出血造成的致殘率為4%,而延期手術為8%;但早期手術由於動脈痙攣造成致殘率及死亡率高於延期手術為15%比11%抗纖維蛋白溶解後延期手術組的再出血由17%降到10%;而由血管痙攣造成的致病率和死亡率則由8%升至16%。可能的解釋是:早期手術及抗纖維蛋白溶解治療皆能引起血管痙攣,但早期手術及抗纖維蛋白溶解治療可能使那些本會再出血死亡的病人生存下來,但又死於血管痙攣。
預防:
注意動脈粥樣硬化的預防,防止感染性疾病對血管的損害,加強顱腦外傷時血管損傷的救治。
