症狀
腦血管痙攣二、腦血管痙攣性頭痛的特點:持續性的頭痛、頭部悶痛、壓迫感、沉重感,有的病人自訴為頭部有"緊箍"感。
腦血管痙攣發生後,臨床上常出現顱內壓增高(頭痛、嘔吐、眼底水腫出現或加重),意識障礙加重。病人由清醒轉為嗜睡或昏迷;或由昏迷(早期腦血管痙攣多在2天內恢復)→清醒→昏迷(再次腦血管痙攣)。這種動態的意識變化是腦血管痙攣的突出特點。同時還常有不同程度的局灶性體徵出現或加重,如偏癱、偏身感覺障礙、失語等。病人持續發熱,周圍血象白細胞持續增高。而上述症狀的加重,又難以再出血(如腰穿未能證實再出血)和顱內血腫等解釋,並用血管造影發現血管痙攣,即可確診為腦血管痙攣。
檢查
腦血管痙攣2、腦脊液。
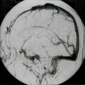
3、腦血管造影。
4、頭顱CT掃描。
5、磁共振(MRI)。
6、正電子發射計算機斷層掃描(PET)。
鑑別診斷
一、局灶性癲癇各種類型局灶性癲癇發作的表現與TIA有相似性,如癲癇感覺性發作或運動性發作易與TIA混淆。無張力性癲癇發作與猝倒發作相似。較可的是進行24小時腦電Holter監測,如有局灶性癲癇放電則可確診為癲癇,如無異常則考慮為TIA的可能。CT或MRI檢查發現腦內有局灶性非梗死性病灶,也可考慮為癲癇。二、美尼爾病眩暈發作持續時間較長(可達2-3天),伴有耳鳴,多次發作後聽力減退,且無其他神經系統定位體徵。
三、暈厥病前多有眼發黑、頭昏和站立不穩,伴有面色蒼白、出冷汗、脈細和血壓下降,和一過性意識障礙但倒地後很快恢復,且無神經定位體徵。多於直立位發生。
四、偏頭痛多起病於青春期,常有家族史,發作以偏側頭痛、嘔吐等植物神經症狀為主,較少出現局灶性神經功能喪失,發作時間也較長。無論何種因素所致TIA都應看作是發生完全性卒中的重要危險因素,尤其是短時間內反覆多次發作者。本病可自行緩解,治療著重於預防復發。
病因治療
腦血管痙攣一、藥物治療
1、腦血管擴張劑及擴容劑早期使用可明顯減少和終止TIA臨床發作。可選用倍他啶20mg加入5%葡萄糖500ml,或低分子右鏇糖酐或706代血漿500ml靜滴。維腦路通、西比靈等也可能有一定效果。
2、抗血小板聚集劑可減少微栓子的發生。如無潰瘍病或出血性疾病者常用阿司匹林治療每日50mg--300mg不等,多數認為以較小劑量為宜,若長期服用劑量還可減少。潘生丁(25mg每日3次)與阿司匹林合用可起協同作用,且可減少阿司匹林劑量。如病人不宜用阿司匹林或服用阿司匹林療效不理想者,可改用噻氯吡啶(Ticlopidine200--250mg每日1--2次)或力克栓(ticlid)250mg,每日1次),治療中,均需注意加強對出血等毒副作用的防治。
3、抗凝治療對發作頻繁、病情嚴重和逐次加重,且無明顯抗凝治療禁忌者,及早進行抗凝治療對減免發作和預防腦梗死均有積極意義。常用肝素12500U加入5%葡萄糖生理鹽水中緩慢靜滴,同時第一天可口服新雙香豆素300mg或雙香豆素100--200mg或華法令4--6mg。每天檢查凝血酶元時間及活動度,待穩定後每周測一次,以調整口服藥量,要求靜脈凝血時間維持在20--30分鐘,凝血酶元活動度在15--25%。以後維持量為新雙香豆素150--225mg,雙香豆素25--75mg或華法令2--4mg。治療期間應注意防治出血併發症。停藥應逐漸減量,以免發生"回跳作用"。由於此治療難以控制藥量,且出血併發症多,目前中國較少採用。
腦血管痙攣5、其它如體外反博、紫外線光量子療法和血液稀釋方法,以及川芎、丹參等活血化瘀、通經活絡中藥也可選用。
用藥建議:儘早套用尼莫地平以減少SAH相關的嚴重神經功能缺損。尼莫地平可減少SAH相關的嚴重神經功能缺損,臨床狀況良好的患者(Hunt & Hess分級Ⅰ、Ⅱ、Ⅲ級)應儘早給藥(10mg~20mg,靜點1mg/h,連續14天),此期最易因血管痙攣導致神經功能缺損。最近的研究表明:尼莫地平還能降低Ⅳ、Ⅴ級患者的死亡率和致殘率。在上述劑量下,一些患者會出現低血壓,可減慢速度或減量。經回顧性研究還未有其它專門針對SAH有效的治療藥物。
二、外科手術治療
經血管造影證實有頸部大動脈有明顯狹窄或閉塞病變,藥物療效差,病人一般情況允許,且有條件者可考慮頸內動脈內膜剝離術、支架放置術或顱內顱外血管吻合術。對消除微栓塞、改善腦血流量和建立側支循環均有一定療效。由於並非根治方法,且手術指征及效果尚未肯定,國內尚較少採用。
三、中醫治療傳統醫學認為,人的生命由氣、血構成。經絡是全身體各部位的通路。“氣傷則痛,血傷則腫”,所以在臨床上,中醫非常重視通過刺激穴位以疏通經絡,調理氣血而治病。中醫理論認為:“痛則不通,通則不痛”。
腦通疏絡寧栓療法在中醫益氣活血養血、祛瘀通絡,祛風邪、行血脈、改善腦供血供氧的療效基礎上,再配合西醫的治療,能快速緩解腦血管痙攣,治療因腦血管痙攣引起的頭痛頭暈、失眠抑鬱等症狀,達到標本兼治的效果。
臨床表現
腦血管痙攣病史:明確的顱內動脈瘤破裂導致SAH,病人有典型的劇烈頭痛發作史。其他情況還包括顱腦損傷、血管內介入治療、顱腦手術或其他顱腦疾病史。
典型症狀:腦血管痙攣本身並無典型的特異性臨床表現,一般在SAH後3~5天,如果出現意識狀態的惡化,甚至伴隨新出現的局灶定位體徵,如偏癱、偏身感覺障礙、失語,以及顱內壓增高的表現,如頭痛、嘔吐等,臨床除外電解質紊亂(高鈉血症),CT檢查除外繼發性腦積水及顱內血腫等後,需高度懷疑腦血管痙攣的可能性。還有不明原因的體溫升高、白細胞增多也需引起臨床重視,存在腦血管痙攣的可能性。
需與以下疾病相鑑別
一、局灶性癲癇各種類型局灶性癲癇發作的表現與TIA有相似性,如癲癇感覺性發作或運動性發作易與TIA混淆。無張力性癲癇發作與猝倒發作相似。較可的是進行24小時腦電 Holter監測,如有局灶性癲癇放電則可確診為癲癇,如無異常則考慮為TIA的可能。CT或MRI檢查發現腦內有局灶性非梗死性病灶,也可考慮為癲癇。
二、美尼爾病眩暈發作持續時間較長(可達2-3天),伴有耳鳴,多次發作後聽力減退,且無其他神經系統定位體徵。
三、暈厥病前多有眼發黑、頭昏和站立不穩,伴有面色蒼白、出冷汗、脈細和血壓下降,和一過性意識障礙但倒地後很快恢復,且無神經定位體徵。多於直立位發生。
四、偏頭痛多起病於青春期,常有家族史,發作以偏側頭痛、嘔吐等植物神經症狀為主,較少出現局灶性神經功能喪失,發作時間也較長。無論何種因素所致TIA都應看作是發生完全性卒中的重要危險因素,尤其是短時間內反覆多次發作者。本病可自行緩解,治療著重於預防復發。
引起腦血管痙攣的原因
1、精神不安。輕易發怒,易衝動或悶悶不樂,由此引起的精神緊張、不安、焦慮、煩躁等情緒極易誘發腦血管痙攣。
2、過度疲勞。腦力勞動或體力勞動,過度的勞累也是誘發腦血管痙攣風的危險因素之一。
3、睡眠不足。由此會使血壓升高,精神不安,心情煩躁,血壓不穩定。
4、運動不適。適當的運動使人身心輕鬆,但運動劇烈或過度對身心有害。
5、身體肥胖。肥胖會增加心腦負擔,加速動脈硬化,使血壓升高。
6、寒冷刺激。寒冷刺激會使血壓突然升高,易發腦血管痙攣。
7、飽食美食。
8、攝鹽過多。大量事實表明,攝入食鹽愈多,腦血管痙攣發病癒高,死亡率也較高。
9、飲酒過量。經常飲酒過量的人,腦血管障礙發病率高。
10、喜好吸菸。吸菸與腦梗塞的發病率關係密切,並可引發多種癌症。
病因病機
腦血管痙攣情緒波動、生氣激動、心理障礙、緊張壓力是發生腦血管痙攣最常見的原因,病人多數是學生,特別是高中聯考學生,緊張的學習生活,睡眠時間不足,完全沒有放鬆的機會,最容易發生腦血管痙攣,失眠也可以引起腦血管痙攣。青年女性,腦力勞動者發病率相對較高 。 腦血管痙攣是在SAH後,顱底容量大血管遲發性收縮,常在血管造影或腦血流上表現為受累血管遠端區域的灌注減少。造影上血管痙攣有典型的短暫過程--出血後3~5天開始,5~14天狹窄到最大,2~4周后逐漸恢復。約半數病例血管痙攣表現為遲發性神經系統缺損,可緩解或發展為腦梗死。15%~20%的患者標準治療後發生腦卒中或死於血管痙攣。
預防護理
防治腦血管痙攣
(1)、合理膳食。建議多食新鮮蔬菜水果,少食油膩食品。推薦飲用紅葡萄酒(50~100mml)和綠茶,食用黃色食品(如胡蘿蔔、紅薯、玉米、西紅柿等)黑木耳和燕麥片。
(2)、適量運動。最好的運動是步行,掌握“三五七”的運動是很安全的。“三”指每天步行3公里,時間30分鐘以上;“五”指每周運動五次以上;“七”指運動後心率加年齡約170。這樣的運動量屬中等強度。此外,還可以根據個人的情況慢跑、俞迦、打太極拳、騎車、游泳等。有報導說,在運動量相當於步行或慢跑3公里者中,可以預防腦動脈硬化。
(3)、戒菸限酒。吸菸的危害不容置疑,應下決心戒掉。如尚不能徹底戒菸,建議你每日吸菸限制在5支以內。可適量飲酒,建議飲少量紅葡萄酒,啤酒不宜超過300ml,白酒不宜超過25ml,決不可酗酒。
(4)、心理平衡。健康的生活方式很重要,所有保健措施中,心理平衡最為關健。消除對疾病的顧慮,樹立正確的對待疾病的態度,保持平靜的心態和快樂的心境,避免情緒激動,幾乎可以拮抗所有的內外不利因素。
腦血管痙攣的飲食注意事項
1、增加纖維膳食:膳食中纖維有降低血清膽固醇濃度的作用。膳食纖維含量豐富的食物主要是粗雜糧、米糠、麥麩、乾豆類、海帶、蔬菜、水果等,每日攝入纖維量35克—45克為宜。具有降脂功能的常見食品還有洋蔥、大蒜、香菇、木耳、芹菜等。
2、多吃魚和魚油:魚油具有明顯的調節血脂功能,能夠預防動脈硬化。大量攝取富含ω-3的魚油可對心血管疾病有積極的預防作用。國際營養組織建議:人們每天攝取2500千卡的能量,相應的應該攝取0.6—1克以EPA和DHA形式存在的ω-3脂肪酸。拿國貨精品鴻洋神中老年型魚油為例,每天必須至少服用3—5粒700mg含量為30%的魚油膠丸,才能保證人體的基本需要。
3、多吃豆製品:大豆裡面富含多種人體所必須的磷脂。常吃豆腐、豆芽、豆腐乾、豆油等豆製品有益於人體健康,能夠預防心腦血管疾病。
4、此外應該適當減少脂肪和膽固醇的攝取量:脂肪攝入應嚴格限制在每日不超過30克或占總熱量的15%以下。膽固醇攝入量每日應該控制在200毫克—300毫克以下為宜。儘量避免食用高膽固醇食品,如動物的腦子、脊髓、內臟、蛋黃、貝殼類(如:蚌)、軟體類(如魷魚、墨魚、魚子)。
預防腦血管痙攣復發
1、加強體育運動:每天堅持運動1小時,活動時心率以不超過170與年齡之差,或以身體微汗,不感到疲勞,運動後自感身體輕鬆為準,每周堅持活動不少於5天,持之以恆。
2、戒菸限酒:長期吸菸酗酒可干擾血脂代謝,使血脂升高。
腦血管痙攣3、避免精神緊張:情緒激動、失眠、過度勞累、生活無規律、焦慮、抑鬱,這些因素可使脂代謝紊亂。中老年人不要長期打麻將、下棋,保持心平氣和,儘量少生氣。
護理腦血管痙攣患者
首先;應穩定病人的思想情緒,建立良好的康復環境。對病人悲觀絕望等心理障礙,家屬應表現出極大的理解,經常與他們交談,主動幫助料理生活,事事處處關心他們,不得有任何不耐煩的表現,不要講任何傷感情的話,使他們感到心情舒暢,不孤獨,有繼續生活的勇氣。同時,還應保持家庭安靜、整潔,採光照明充足,裝修布置合理,營造一個清靜舒適的生活環境,這樣可有助於病人穩定情緒,促進心理康復。
其次,要積極進行心理疏導,注意發揮藥物效應。例如腦血管痙攣病人神志清醒後,即可給病人講,你的腦子裡出了點血,經過治療,現在好多了,待出血吸收後,病就會好的,所以,你不要急躁,不要坐起來,要安心養病,按時服藥,不要屏氣用力,要好好配合醫生治療,病就會慢慢好起來的。通過心理疏導,多數病人都會面對現實,看到希望,大大加速病情恢復。
最後應鼓勵病人加強功能鍛鍊,積極參加社會活動。對腦血管痙攣病病人進行心理康復治療時,還應幫助病人恢復社會適應能力,鼓勵他們下床活動鍛鍊,生活儘量自理。同時還應鼓勵他們參加力所能及的學習活動、家務勞動、文娛活動和社會活動,增強其對生活的樂趣,分散他們的不良情緒,為重返工作崗位,重返社會做好準備。
腦血管痙攣引發頭痛的預防
1.要注意避暑降溫,不要長時間在高溫環境下作業。
2.做到科學飲食,及時補充水分,多吃蔬菜、水果等。
3.注意休息,保持足夠的睡眠,消除疲勞,使人精神旺盛。
4.在喝冷飲時容易引起頭痛的人,應當避免喝冷飲料,更不要喝冰鎮飲料。
5.對有失水性頭痛的人,除及時補充水分外,還要採取低枕或無枕臥位,使血液儘可能地流向大腦。
6.在出汗後,千萬不要急於用冷水洗頭洗臉,可用乾毛巾或用溫濕的毛巾擦拭汗液。
預防腦血管痙攣復發
1、加強體育運動 每天堅持運動1小時,活動時心率以不超過170與年齡之差,或以身體微汗,不感到疲勞,運動後自感身體輕鬆為準,每周堅持活動不少於5天,持之以恆。2、戒菸限酒 長期吸菸酗酒可干擾血脂代謝,使血脂升高。
3、避免精神緊張 情緒激動、失眠、過度勞累、生活無規律、焦慮、抑鬱,這些因素可使脂代謝紊亂。中老年人不要長期打麻將、下棋,保持心平氣和,儘量少生氣。
腦血管痙攣的轉歸和預後
腦血管痙攣是功能性疾病,也就是說本病是由於各種因素引起的腦血管功能障礙,腦血管沒有實質性的損壞或病變,經過治療與放鬆是完全可以恢復的,病人多數是年輕人,自我調節能力比較好,所以預後良好,大多數病人可以痊癒。本病不會發生偏癱或精神病性異常。
腦血管痙攣的危害
單純的腦血管痙攣是指腦動脈在一段時間內的異常收縮狀態。屬於功能性疾病,也就是說本病是由於各種因素引起的腦血管功能障礙,腦血管沒有實質性的損壞或病變,病人多數是年輕人,自我調節能力比較好,所以預後良好,大多數病人經過治療和放鬆是完全可以恢復痊癒的。本病不會發生偏癱和精神病性異常。 但是如果合併顱內動脈瘤,或腦動脈硬化,高血壓等疾病,則容易導致腦出血的發生,如不及時處理則可出現癱瘓或其他神經系統症狀甚至危及生命。
易患腦血管痙攣的人群
(1) 機關幹部、企事業領導、知識分子等。 由於他們每天壓力過大,精神緊張,導致人體神經失調,新陳代謝發生紊亂;主要器官功能失去平衡,易造成動脈硬化,從而引起冠心病和腦血栓。
(2) 菸酒過度、生活無規律者。他們較易造成血管痙攣,血流不暢,往往過早患心腦血管疾病。
(3) 肥胖及飲食不科學者。他們往往營養過剩,使血液中的膽固醇含量過高。
(4) 40歲以上者,尤其是有頭暈目眩、心慌氣短、記憶力衰退、四肢麻木、聽力和視力下降等症狀的中老年朋友。
徵兆
顯著特徵
頭暈和頭痛現象是顯著特徵,如果經常性的發生頭暈,則要警惕腦血管痙攣的發生了,頭痛是腦血管痙攣的初期症狀,尤其是持續性的頭痛,隱隱約約的,但是持續不斷。
腦血管痙攣其他特徵
在腦血管痙攣的發病初期還可能伴有噁心、嘔吐等症狀,或者也有可能出現耳鳴、心慌氣短等症狀。這些都是腦血管痙攣的前兆。如果您同時出現了多種症狀,應當及時的到醫院就醫,尤其是在各種壓力下的年輕人,更應該注意。
徵兆特徵
腦血管痙攣引發的頭痛可能是劇痛、壓痛等形式,也有可能是頭部的腫脹感、沉重感、壓迫感等,表現不一,但是頭部的異常就預示著可能發生了腦血管痙攣。
腦血管痙攣分型、分級與分期
Saito等(1977年)將Pool&Pott對CVS的分類法加以改良分為三型:1型:廣泛而瀰漫的腦血管變細,範圍涉及頸內動脈、大腦中動脈與大腦前動脈的近段,血管呈線狀纖細;2型:廣泛性或多支腦動脈細狹,呈節段性的狹窄;3型:動脈細狹只限於動脈瘤的鄰近的動脈分支。
Auer(1984年)將CVS分為三級:1級:局部血管痙攣範圍不到50%;2級:局部血管痙攣,範圍超過50%;3級:瀰漫而廣泛的痙攣。
CVS分為兩期,SAH後1~3天為急性期,隨後是慢性痙攣期,可持續約10~14天后才逐漸消退。腦血管急性痙攣期死亡率高,以顱內壓增高、腦血流量降低和腦灌注壓降低為特徵。SAH後早期發生的腦血管收縮在動物模型上十分明顯,在人類較少發生。但是顱內壓增高、腦血流量降低和腦灌注壓降低提示微循環已受影響。一些研究者認為該期對藥物治療較為敏感。而慢性CVS是造成神經功能損害和致死的主要原因,並且對藥物治療反應較差。現在還不清楚急性CVS是否加速或加重遲發的CVS。病理學研究表明,發生痙攣的血管內皮細胞腫脹,部分脫落,內膜增生,中層平滑肌細胞變性、壞死,外膜有大量的粒細胞和巨噬細胞浸潤等炎性改變是慢性CVS的主要特點。
腦血管痙攣容易與哪些症狀混淆
一、局灶性癲癇各種類型局灶性癲癇發作的表現與TIA有相似性,如癲癇感覺性發作或運動性發作易與TIA混淆。無張力性癲癇發作與猝倒發作相似。較可的是進行24小時腦電Holter監測,如有局灶性癲癇放電則可確診為癲癇,如無異常則考慮為TIA的可能。CT或MRI檢查發現腦內有局灶性非梗死性病灶,也可考慮為癲癇。
二、美尼爾病眩暈發作持續時間較長(可達2-3天),伴有耳鳴,多次發作後聽力減退,且無其他神經系統定位體徵。
三、暈厥病前多有眼發黑、頭昏和站立不穩,伴有面色蒼白、出冷汗、脈細和血壓下降,和一過性意識障礙但倒地後很快恢復,且無神經定位體徵。多於直立位發生。
四、偏頭痛多起病於青春期,常有家族史,發作以偏側頭痛、嘔吐等植物神經症狀為主,較少出現局灶性神經功能喪失,發作時間也較長。無論何種因素所致TIA都應看作是發生完全性卒中的重要危險因素,尤其是短時間內反覆多次發作者。本病可自行緩解,治療著重於預防復發。
腦血管痙攣患者的注意事項
腦血管痙攣就象緊張性頭痛的肌肉痙攣一樣,因為腦血管也是由平滑肌構成的,一切放鬆的措施都可以治療或緩解腦血管痙攣,日常生活中應該注意以下事項:(1) 適量運動
最好的運動是步行,掌握"三五七"的運動是很安全的。"三"指每天步行3公里,時間30分鐘以上;"五"指每周運動五次以上;"七"指運動後心率加年齡約170。這樣的運動量屬中等強度。此外,還可以根據個人的情況慢跑、俞迦、打太極拳、騎車、游泳等。有報導說,在運動量相當於步行或慢跑3公里者中,可以預防腦血管痙攣。
(2) 戒菸限酒
吸菸的危害不容置疑,應下決心戒掉。如尚不能徹底戒菸,建議你每日吸菸限制在5支以內。可適量飲酒,建議飲少量紅葡萄酒,啤酒不宜超過300ml,白酒不宜超過25ml,不可酗酒。
(3) 合理膳食
建議多食新鮮蔬菜水果,少食油膩食品。推薦飲用紅葡萄酒(50~100mml)和綠茶,食用黃色食品(如胡蘿蔔、紅薯、玉米、西紅柿等)黑木耳和燕麥片。
(4) 心理平衡
健康的生活方式很重要,所有保健措施中,心理平衡最為關健。消除對疾病的顧慮,樹立正確的對待疾病的態度,保持平靜的心態和快樂的心境,避免情緒激動,幾乎可以拮抗所有的內外不利因素。
飲食
腦血管痙攣患者的飲食療法
杞菊龜香蒸豬腦
配料:豬腦150g,紅枸杞15g,杭菊花9g,女貞子12g,桑寄生12g,金釵斛15g,生龜板15g,旱蓮草12g,黑豆30g,明天麻12g,生牡蠣15g,杭白芍12g,川撫芎4.5g,全蠍尾4.5g,蜈蚣乾2~3條,真麝香0.6~1g,川紅花9g,蔥白5根,水發黑木耳30g,醬油、食鹽、味素、白糖、陳年老酒、芝麻油各少量。
製法:先將菊花、女貞子、桑寄生、旱蓮草、白芍、川芎、全蠍、蜈蚣、紅花裝入淨紗布藥袋內,紮緊袋口;放入陶瓷罐內,加入龜板、牡蠣、金釵斛、枸杞、黑豆、天麻、蔥白、豬腦、黑木耳、鹽、醬油、味素、白糖、清水適量;再放進屜籠內用旺火蒸至2小時熟透入味,揭蓋取出,淋上老酒2湯匙,芝麻油,加入麝香調和均勻,隨藥湯徐徐飲之。患者服飲此膳以意識轉為清醒正常,頭痛大減,即原方減去麝香,勿久用以免耗氣傷正虧損陰津之弊,服10劑後減去全蠍,蜈蚣,勿久服。
主治:肝失條達,肝陽偏亢,水不滋木,肝腎虛損,久病入絡,虛風內動,上犯巔腦,血瘀腦絡。久則腦竅閉塞,不通則痛所致頭痛經久,痛處固定不移,痛如錐刺,或頭痛朝輕暮重,遇勞加劇,頭暈眼花,耳鳴,目眩,心煩不寐,易怒急躁,胸悶口苦,咽乾口燥,反應遲鈍,言語蹇澀。或舌強語蹇,口眼歪斜,半身不遂,抽搐,意識障礙,偏癱,失語,手足麻木,面色黯晦,唇爪不華,口角流涎,舌質紫青,少苔缺津,舌下靜脈怒張青紫或瘀斑,脈象弦細澀。多見慢性腦動脈硬化,腦血栓形成,腦梗塞,腦栓塞,腦震盪後遺症,腦血管痙攣,腦萎縮,血管神經性頭痛,腦腫瘤或出血經手術後頭痛頭暈。
功能:平肝潛陽,滋腎養肝,通腦開竅,息風止痙,活血化瘀。
腦血管痙攣患者的飲食調理
1、增加纖維膳食:膳食中纖維有降低血清膽固醇濃度的作用。膳食纖維含量豐富的食物主要是粗雜糧、米糠、麥麩、乾豆類、海帶、蔬菜、水果等,每日攝入纖維量35克—45克為宜。具有降脂功能的常見食品還有洋蔥、大蒜、香菇、木耳、芹菜等。
2、多吃魚和魚油:魚油具有明顯的調節血脂功能,能夠預防動脈硬化。大量攝取富含ω-3的魚油可對心血管疾病有積極的預防作用。國際營養組織建議:人們每天攝取2500千卡的能量,相應的應該攝取0.6—1克以EPA和DHA形式存在的ω-3脂肪酸。拿國貨精品鴻洋神中老年型魚油為例,每天必須至少服用3—5粒700mg含量為30%的魚油膠丸,才能保證人體的基本需要。
3、多吃豆製品:大豆裡面富含多種人體所必須的磷脂。常吃豆腐、豆芽、豆腐乾、豆油等豆製品有益於人體健康,能夠預防心腦血管疾病。
4、此外應該適當減少脂肪和膽固醇的攝取量:脂肪攝入應嚴格限制在每日不超過30克或占總熱量的15%以下。膽固醇攝入量每日應該控制在200毫克—300毫克以下為宜。儘量避免食用高膽固醇食品,如動物的腦子、脊髓、內臟、蛋黃、貝殼類(如:蚌)、軟體類(如魷魚、墨魚、魚子)。
腦血管痙攣知識
慢性腦血管痙攣
腦血管痙攣是指腦動脈在一段時間內的異常收縮狀態。 以前本病常見於顱內動脈瘤破裂的蛛網膜下腔出血病人。但臨床上發現多數腦血管痙攣是慢性病程,病人反覆頭痛、頭暈、記憶力下降、情緒失調、睡眠障礙、焦慮煩躁或出現抑鬱症狀,這就是慢性腦血管痙攣。
慢性腦血管痙攣的發病機理為: 情緒波動,生氣激動,心理障礙,緊張壓力是發生腦血管痙攣最常見的原因,病人多數是學生,特別是高中聯考學生,緊張的學習生活,睡眠時間不足,完全沒有放鬆的機會,最容易發生腦血管痙攣,失眠也可以引起腦血管痙攣。青年女性,腦力勞動者發病率相對較高。
臨床表現:
1、腦血管痙攣性頭暈的特點:頭暈呈持續性,也可以呈發作性,主要表現為鏇轉性眩暈,頭暈發作時不敢活動,臥床不起,特別不能活動頭部,嚴重時伴噁心,劇烈嘔吐,或者伴隨耳鳴、頭鳴,呈持續性低音調的耳鳴或頭鳴,心情煩躁焦慮,或胸悶,心慌,氣短,呼吸緊迫感,頭腦不清晰,思維與記憶受影響。
2、腦血管痙攣性頭痛的特點:持續性的頭痛、頭部悶痛、壓迫感、沉重感,有的病人自訴為頭部有“緊箍”感。大部分病人為兩側頭痛,多為兩顳側、後枕部及頭頂部或全頭部。頭痛性質為鈍痛、脹痛、壓迫感、麻木感和束帶樣緊箍感。頭痛的強度為輕度至中度。有的病人可有長年累月的持續性頭痛,病人可以整天頭痛,頭痛的時間要多於不痛的時間。因為激動、生氣、失眠、焦慮或憂鬱等因素常使頭痛加劇。還有一部分病人主訴顳側搏動性頭痛。病人多伴有煩躁易怒、焦慮不安、心慌、氣短、恐懼、耳鳴、失眠多夢、腰酸背痛、頸部僵硬等症狀。
腦血管痙攣不傳染
腦血管痙攣通常是腦出血或者腦梗塞的前兆,但它不是傳染病,多與高血壓有關,建議積極控制原發病。必要時住院調理,以免發生危險。

