CT掃描觀察及測量國人顱底卵圓孔
射頻溫控熱凝術治療三叉神經痛,卵圓形穿刺定位是否準確直接關係到治療的效果。而了解顱底卵圓孔的形態、徑值是穿刺定位的關鍵。關於國人卵圓孔的形態、徑值的CT表現報導較少,觀測了205例顱底CT卵圓孔的形態和徑值,現報導如下。
測量方法
採用SomatoPlus4單層螺鏇CT機,聽眉線定位,層厚2mm,骨算法sequance掃描,窗寬1500HU,窗位300HU觀測圖像。在顱底CT片中可以觀察顱底卵圓孔,卵圓孔位於顱中窩兩側部,圓孔的後側,直接觀察卵圓孔的形態。參照陳盛剛 ,何玉泉 的觀察方法觀察卵圓孔的形態。並測量長、寬徑。根據機器所設尺寸測量,均由一名主管技師進行CT掃描、測量,分別測量卵圓孔長徑與寬徑,再由兩名副主任醫師以上的醫師覆核,然後記錄列表。由統計學教師統計學處理。採用SPASS11.0版本專用統計軟體包進行統計學分析。
討論
(1)CT觀測國人卵圓孔的形態及其對稱性
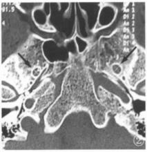
圖1 卵圓孔為圓形、兩側對稱根據結果分析,CT觀測國人卵圓孔形態多樣,但以橢圓形為多見,占67.81%,腎形、梨形、長條形、圓形分別占6.10%、9.02%、9.02%、8.05%。陳盛剛 報導顱骨標本測量卵圓孔形態橢圓形占80%比本組高,這可能與我們將卵圓孔內側緣較短、外側緣較長的另列為梨形有關,而與何玉泉 等報導顱骨標本測量卵圓孔形態橢圓形占69.87%相仿。多數個體卵圓孔兩側對稱、形態相同(占65.7%)(圖1)。但兩側形態不一,呈非對稱的也不少(占34.3%)(圖2)。在臨床影像診斷作雙側形態照時應引起注意。特別是長條形的卵圓孔寬徑小,占8.05%。較何玉泉等報導的要高。在經卵圓孔射頻治療三叉神經痛時較困難,更要注意。為此,在經卵圓孔射頻治療三叉神經痛前,必須先行顱底卵圓孔CT掃描,確定卵圓孔的形態、大小,可以估計穿刺的難易及效果。
(2)CT觀測國人卵圓孔的大小及其側別差異
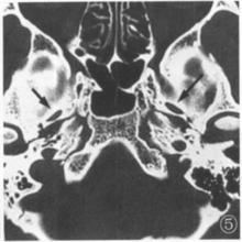
圖2 卵圓孔為長條形該組CT測得國人卵圓孔的長徑均值為8.04mm、寬徑均值為4.05mm。與陳盛剛 觀測的長徑7.2mm,寬徑3.5mm和曹煥軍 測量的長徑7.55mm,寬徑3.97mm,與何玉泉 測量的長徑7.54mm、寬徑均值為3.66mm基本相符。本組長徑與寬徑之比約為2:1。長徑、寬徑均值在男女各組都是左側略大於右側。在側別上,男女左右長徑均值無顯著性差異(P>0.05),而左右寬徑有顯著性意義(P<0.05)。從而推測國人卵圓孔面積左側均稍大於右側。這反映了國人卵圓孔周圍骨質在個體發育時的不對稱性,是否與神經中,第Ⅴ對腦神經—三叉神經發育時的不對稱性有關。也可能與優勢半球有關。需作進一步研究。也可能與長條形卵圓孔有關。
(3)CT觀測國人卵圓孔大小的性別差異
本組CT觀測國人卵圓孔統計結果顯示,在性別上,男女左右長徑均值有顯著性意義(P<0.05),男性卵圓孔的長徑大於女性,其差異有顯著性意義(P<0.05)。這種差異可作為判別顱骨的性別差異性狀之一,具有一定的人類學意義,可供法醫學借鑑。
(4)卵圓孔縱軸與CT定位線關係
顱腦CT掃描通常以聽眥線為基線,聽眥線與卵圓孔縱軸有60°~65°的角度,而以聽眉線為基線,掃描線與卵圓孔平行,可準確顯示卵圓孔的形狀、大小。所以,在經卵圓孔射頻治療三叉神經痛前,行顱底卵圓孔的CT掃描,應以聽眉線為基線。這與沈雲霞 《國人卵圓孔穿刺深度X線解剖測量的研究》中提出的“耳—床線”基本平行。
概念
卵圓孔人類胎兒期,左右心房隔膜上的一個小孔,即胎兒期左右心房的血液是相通的。後來肺循環建成後,孔就關閉了。這是人類歷史發展遺留下的痕跡。
卵圓孔是房間隔中部的一個開放區,位於胚胎期原發間隔與繼發間隔的交界處。卵圓孔通常由原發間隔的一個薄片所覆蓋。出生前,由於血流是從右到左,使卵圓孔持續開放。出生後,建立了正常的肺循環,由於心房內壓力的增加,迫使原發房間隔的薄片壓在卵圓孔的表面,而使卵圓孔閉合。
卵圓孔未閉處理策略中國專家建議
卵圓孔是心臟房間隔胚胎時期的一個生理性通道,出生後5~7月左右,大多數人房間隔的繼發隔和原發隔相互黏連、融合形成永久性房間隔,若未融合則形成卵圓孔未閉(patentforamentovale,PFO)。約25%~34%的成人卵圓窩部兩層隔膜未完全融合,中間遺留一個永久性的裂縫樣缺損。由於PFO的分流量太小,長期以來認為PFO不會造成臨床後果。近年來,越來越多的研究發現,PFO患者發生腦卒中、偏頭痛、外周動脈栓塞、減壓病等風險較正常人群呈數倍升高,PFO的致病作用才引起了廣大專家和學者的關注,臨床探索採用閉合PFO的方法來預防腦卒中復發事件、治療偏頭痛和斜臥呼吸-直立型低氧血症等。雖然大多數臨床研究顯示出較好的療效,但循證研究仍有爭議。為規範PFO封堵術的臨床套用,國內本領域專家在借鑑國內外相關內容的基礎上,結合我國具體情況,形成了《卵圓孔未閉處理策略中國專家建議》,以供開展此項工作時參考。
PFO的結構特徵
構成PFO原發隔和繼發隔組織結構不同,原發隔為纖維樣組織薄且擺動大,繼發隔為肌性組織較厚。兩隔之間重疊的程度為PFO的長度,不融合的距離為PFO的寬度或大小。PFO長度範圍為3~18mm,平均為8mm。PFO大小範圍從1~19mm不等,平均4.9mm。
根據PFO的直徑大小,通常將PFO分為大PFO(≥4.0mm)、中PFO(2.0~3.9mm)和小PFO(≤1.9mm)3種類型,但在臨床實踐中,靜息食管超聲心動圖(TEE)很少發現大PFO。根據結構特徵可將PFO分為簡單PFO和複雜PFO,簡單PFO的特徵為:長度短(<8mm)、無房間隔瘤(atrialseptalaneurysm,ASA)、無過長的歐氏瓣(valvulaEustachii,VE)或Chiari網、無肥厚的繼發隔(≤6mm)及不並發房間隔缺損(ASD)。不能滿足上述條件為複雜PFO。
PFO在功能上與瓣膜相類似,正常人左心房壓力比右心房高3~5mmHg(1mmHg=0.133kPa),PFO應處於關閉狀態,一般並不引起血液分流。臨床發現PFO可伴左向右分流、右向左分流(right-leftshunt,RLS)或雙向分流,後者除外右心壓力容量增加的心臟結構功能改變或先天性心臟病晚期合併肺動脈高壓外,主要見於一過性右房壓高於左房壓如心臟舒張末期、收縮期始、咳嗽、大笑、打噴嚏、Valsalva動作等,左側薄弱的原發隔被推開而出現RLS。
PFO與反常性栓塞
圖3 PFO患者建議治療方案反常性栓塞是指靜脈系統和右心房的血栓通過心臟內的交通從右心進入左心繫統引起的栓塞。反常性栓塞發生率占動脈栓塞的2%~16%。臨床已發現腦栓塞、氣體栓塞、脂肪栓塞和潛水時發生的神經減壓病等都與反常性栓塞有密切關係。診斷反常性栓塞必備的條件是:①主要為存在於PFO的RLS;②栓塞來源不明;③排除血流動力學異常引起的疾病。但臨床上懷疑反常性栓塞的患者,通常檢測發現下肢和盆腔靜脈血栓發生率並不高,可能與影像學檢測方法及難以觀察到微小血栓有關。PFO的大小、RLS的多少及其結構特徵等與反常性栓塞的發生密切相關。PFO越大、RLS分流量越多,反常性栓塞的發生率也越高。直徑>4mm的PFO,一過性腦缺血發作(transientischemiaattach,TIA)和缺血性腦卒中發生或復發危險性均明顯增加。PFO合併ASA、VE及Chiari網更易發生反常性栓塞。RESPECT研究亦證實合併ASA或者大量RLS的PFO患者可從封堵術中獲益。DeCastro等發現,原發房間隔活動度與腦卒中有關,活動度>6.5mm或靜息時有PFO-RLS為發生和再發腦卒中的高危人群。
PFO的診療流程
對於臨床上確診PFO的患者,可按如圖3流程選擇治療方案。

