病因
麴黴菌病發病機制:
真菌廣泛存在於大自然中,孢子隨塵土飛揚易吸入呼吸道,呼吸道正常時也有真菌存在,所以取痰或分泌物做塗片或培養,查到的真菌未必是致病菌。病人在同時或先後常夾雜細菌病毒等感染臨床表現複雜,易誤診或漏診,實際工作中常是根據具有“機會感染”因素:長期大量使用廣譜抗生素免疫抑制劑、抗癌藥等在其他診斷不能完全說明病人的情況時才想到真菌感染。真菌侵入肺後產生炎症改變,基肺真菌病理變化是凝固性壞死,細胞浸潤和化膿,慢性感染有肺纖維化或肉芽腫形成。
臨床表現
放線菌感染1.肺放線菌病 放線菌病為主要由以色列放線菌引起的慢性化膿性肉芽腫病變。以色列放線菌為厭氧的絲狀菌,菌絲集結成1~2mm大小呈黃白色的所謂“硫磺”顆粒,此為肺真菌病的特點,顆粒出現在膿液痰或瘺管壁的組織中,為診斷肺真菌病的可靠根據。長期以來放線菌歸入真菌病內,因本菌具有細菌特點,用青黴素治療敏感,也可列入細菌病中。肺真菌病分布遍及世界各地農民中多見以色列放線菌寄生於正常人的口腔黏膜、齲齒周圍、扁桃體隱窩及結腸等處而不發病,如口腔衛生不良,或當外傷拔牙,口腔細菌病毒感染時,可繼發放線菌感染,並蔓延至面部、頸部,形成瘺管。肺部感染是吸入口腔污染物所致。肺部放線菌病不多見,約占15%;面部頸部病變占50%以上,在頜頸處出現腫塊,繼而形成膿腫,穿破成為竇道;腹部放線菌病約占25%,常在回盲部形成腫塊。放線菌可引起支氣管肺炎、肉芽腫和結締組織增生,形成膿腫及軟化病灶,或瘢痕纖維化腫塊如侵及胸膜,有胸腔滲液或膿胸侵犯胸壁可形成胸壁膿腫和瘺管。
2.肺麴黴菌病 曲菌廣泛分布於自然界、土壤、植物空氣中正常人呼吸道、皮膚、外耳道等處也可找到曲菌,一般不致病。致病菌絕大部分為煙燻色麴黴菌,少數為黑色、白色和小巢形麴黴菌肺真菌病多繼發於支氣管囊腫、支氣管擴張、塵肺、結節病和肺膿腫等病發病與職業有關,如家禽飼養、釀酒等工作。臨床上麴黴菌感染有3種類型:①變態反應型:如麴黴菌支氣管肺炎等,過敏體質者吸入大量孢子後,數小時內出現哮喘、低熱、咳嗽有痰等。胸部X線檢查顯示遊走性浸潤。脫離接觸後症狀在3~10天后自行消退。用激素治療肺部病變迅速消失,再接觸可再發生。反覆發作後晚期可致肺纖維化支氣管擴張、肺氣腫等。②敗血症型:表現為壞死性支氣管肺炎、出血性梗死、膿腫形成及血行播散等,多見於長期套用廣譜抗生素激素、免疫抑制劑和器官移植的病人,如腫瘤或白血病的晚期患者,預後嚴重。③寄生型:即曲菌球,為繼發性病變,存在於陳舊性結核性空洞支氣管擴張的囊腔液體排出後的囊腫及肺切除術
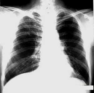
肺真菌病的X片圖後支氣管殘端的盲端內,近年報導增多,可能與廣泛套用廣譜抗生素、檢查切除標本較細緻有關。菌球系菌絲形成的圓形團塊病變局限發展緩慢,可存在數年。症狀有咳嗽咯血、胸痛、低熱等但多與原發病不易區別。咯血量可能很大而少量的咯血可能長期持續存在甚至使病人一直臥床不敢活動。咯血原因不明,有人認為有真菌感染的囊腔內壁肉芽有豐富的血管,菌球又是活動的,摩擦易致出血真菌球的X線檢查有特徵,囊腔內能見到半月形透亮區,隨體位而改變,一直保持在攝片時體位的最高處。
3.肺諾卡菌感染 諾卡菌病是星形諾卡菌引起的肺部慢性感染諾卡菌是革蘭染色陽性,需氧性絲狀細菌、菌絲可纏繞成團,形成類似放線菌的顆粒。這類細菌廣泛分布於自然界及家畜中呈寄生性偶也存在於健康人體。痰或經纖支鏡刷片檢查如發現此類細菌,須判明其是否為寄生性,如在胸腔心包腔內或切除標本中有此細菌存在,應診斷為諾卡菌感染。 諾卡菌原發於肺,病理改變是化膿性感染、膿腫肉芽腫等。惡性腫瘤、器官移植長期套用腎上腺皮質激素、免疫抑制劑、抗癌藥物致身體的免疫功能失調抵抗力低下時,諾卡菌可成為條件致病菌,產生肺瀰漫性炎症浸潤,肺葉實變,組織壞死,出現許多小膿腫,並可侵犯胸膜產生膿胸。肺諾卡菌病的臨床表現與肺結核放線菌病類似易侵犯胸壁,形成膿腫竇道及瘺管,膿液和滲出物中有硫磺顆粒。有咳嗽、咯血、發熱、盜汗不適、消瘦等表現。X線檢查胸部有肺炎性浸潤,出現片狀或結節狀陰影可形成空洞須與肺炎、膿腫結核及肺癌等病鑑別。
檢查
肺真菌病肺部X線改變有以下幾種:①肺炎型:病灶發展快,呈現大片緻密陰影。②支氣管肺炎型:治支氣管分布的小片陰影或肺紋理明顯增加,慢性病例有纖維化及肺氣腫。③肺膿腫型:由肺炎型演變或合併感染成膿腫,內可有透亮區或液平面。④炎症腫塊型:炎症腫塊有纖維包膜包圍密度均勻,病程慢。⑤混合型:曲菌球由曲菌絲和纖維黏液混合構成寄生在肺內囊性病變中,如結核、囊性支擴等,菌球與囊腔間有氣體存在,呈現一彎形空隙,有時還能隨體位而轉動,立位、平臥及側臥位片上均可見到上方存在的空氣影,這類患者常有咯血是惟一X線改變有明顯特點的真菌病。⑥胸膜炎型:胸膜肥厚或有胸腔積液。
治療
青黴素治療1.肺放線菌病 青黴素治療肺真菌病有效,早期確診治療適當的可以痊癒因病變區有纖維瘢痕組織,血供差,需長期治療(療程1~3個月,甚至更長至病灶痊癒),大量藥物(青黴素每天600萬~2000萬U)。此外可合用磺胺類藥及碘化鉀,鏈黴素、氯黴素也有效。 放線菌感染已造成組織破壞,形成膿腫的需手術治療,包括胸壁膿腫引流,膿胸引流,竇道及肋骨切除等,手術前後均需給大量青黴素治療。
2.肺麴黴球病 須用兩性黴菌B與氟胞嘧啶聯合治療。曲菌球是否手術要全面考慮原發病變的情況如已有咯血,必須切除。術間要注意胸腔麴黴菌污染及經支氣管播散問題。常用支氣管動脈栓塞術控制麴黴菌球的大咯血,療效較好但與其他病種大咯血的栓塞治療比較,麴黴菌球的大咯血復發率較高。血止後如患者全身及肺部情況允許手術的仍以肺切除為佳。
3.肺諾卡菌病 治療上磺胺嘧啶為首選藥物,視病情輕重給4~9g/d,使藥物血濃度達到0.1~0.15mg/L。給藥量需足夠,療程6~12個月,1個月後如病情好轉可適當減少藥量。複方磺胺甲基異噁唑四環素、多西環素(強力黴素)紅黴素及慶大黴素等也有效。磺胺類與氨苄西林(氨苄青黴素)有協同作用。局限性病變及有膿腫形成而藥物治療效果不佳的,可行肺切除及引流。

