病理病因
肺炎支原體是兼性厭氧、能獨立生活的最小微生物,大小為200nm。無菌胞壁,可在無細胞的培養基上生長與分裂繁殖,含有RNA和DNA,經代謝產生能量,對抗生素敏感。支原體為動物多種疾病的致病體,目前已發現8種類型,其中只有肺炎支原體肯定對人致病,主要是呼吸系統疾病。在20%馬血清和酵母的瓊脂培養基上生長良好,初次培養於顯微鏡下可見典型的呈圓屋頂形桑葚狀菌落,多次傳代後轉呈煎蛋形狀。支原體發酵葡萄糖,具有血吸附(hemadsorption)作用,溶解豚鼠、羊的紅細胞,對亞甲藍、醋酸鉈、青黴素等具有抵抗力。最後尚須作血清鑑定。它由口、鼻分泌物經空氣傳播,引起散發和小流行的呼吸道感染,主要冬季較多。呼吸道感染有咽炎和支氣管炎,少數累及肺。支原體肺炎約占非細菌性肺炎的1/3以上,或各種肺炎的10%。
症狀體徵
症狀
老年人支原體肺炎本病起病緩,潛伏期一般為2~3周,約1/3病例無症狀。初發症狀類似上呼吸道感染症狀,其中有些病例發生氣管、支氣管炎和肺炎,有的以耳鼓膜炎的形式出現,而以肺炎最重。在家庭流行中約1/3成員發展為肺炎,約1/2為氣管炎,10%僅為咽炎,常有畏寒、發熱,體溫多在38~39℃,伴有咳嗽、咽痛、頭痛、乏力,全身不適等,持久性陣發性劇咳是其突出表現,無痰或僅有少量黏液性痰,無咯血,但偶有痰中帶血者,胸骨後及兩季肋部疼痛,多持續數周,不伴氣急及呼吸困難;可有消化道症狀,食欲不振,噁心,嘔吐,腹瀉等;少數患者可有遊走性大關節痛,多形性紅斑,潰瘍性口腔炎,結膜炎和鼻竇炎。發熱可持續2~3周,熱度恢復正常後可遺有咳嗽達6周左右,伴有明顯乏力、倦怠,少數病例可出現肺外併發症,可累及任何器官,有時比肺炎本身更具嚴重性,在臨床上易被忽視和誤診。
體徵
可見鼻塞、流涕、咽部充血,耳鼓膜充血、水腫,約15%為鼓膜炎,頸部淋巴結可腫大,可見多形性皮疹,少數病例有斑丘疹、紅斑或唇皰疹。可無胸部體徵或僅有少許濕囉音,尤其是老年患者,體徵尤為不典型。10%~15%病例發生少量胸腔積液或胸膜摩擦音。
併發症
肺外併發症主要為:
①神經系統:中樞性及外周性神經病變,可在感染後4周出現。表現為無菌性腦膜炎(常較短暫)、腦膜腦炎、多發性神經炎,嚴重者可有橫斷性脊髓炎、癲癇發作甚至精神失常,但很少引起死亡。
②血液系統:發生於起病2~3周以後,主要為自身免疫性溶血性貧血、血小板減少性紫癜、瀰漫性血管內凝血等。
③心血管系統:輕者僅表現為心電圖異常,重者可發生心包積液、心功能不全及心律失常等。
④運動系統:發病2周內可發生特異性肌痛和關節痛,以大中關節為主,有多關節、遊走性、緩解慢的特點,可見多形性紅斑。
⑤其他:胃腸道症狀:食欲不振、噁心、嘔吐、腹瀉等;潰瘍性口腔炎;結膜炎和鼻竇炎。對於老年患者來說可有各種不同的非典型表現,發熱一般為低熱,高熱、寒戰少見,相當部分病例體溫不高,症狀主要表現為萎靡無力、意識障礙和食欲不振,常伴有電解質紊亂,尤其是飲食不佳者,常見低鉀、低鈉血症。
疾病診斷
本病應與病毒性肺炎、軍團菌肺炎等鑑別。周圍血嗜酸粒細胞略正常,可與嗜酸粒細胞增多症相鑑別。
檢查方法
實驗室檢查
急性期血常規檢查顯示白細胞總數正常或輕度升高,以淋巴細胞為主;偶有呈白血病樣反應或白細胞減少症。約2/3病例紅細胞沉降率增快(>40mm/h);尿化驗檢查正常或有少量蛋白尿;肝功能檢查也可有轉氨酶升高;胸腔積液呈漿液性或漿液血性,蛋白質32~49g/L,在胞液中曾有分離出支原體者。
1.病原學檢查可做肺炎支原體分離培養標本來自咽部分泌物(喉拭子,咽洗出物)、痰支氣管肺泡灌洗液等,抗體出現後,培養仍可陽性。腦膜腦炎、心包炎及大泡性鼓膜炎者可分別採取腦脊液,心包積液或中耳分泌物培養,也可分離出支原體。病原學檢查可靠,特異性高,但費時、費力,難於推廣套用,無助於本病的早期診斷。
2.血清學檢查是確診支原體感染的最常用方法,起病2周后,約2/3的患者冷凝集試驗陽性,滴度效價大於1:32,尤當滴度逐步升高時更有診斷價值,此方法在臨床被沿用多年,由於冷凝集抗體(抗紅細胞Ⅰ抗原的IgM抗體)出現較早(發病第一周末),陽性率較高(50%~75%),下降也快(4周后迅速下降),故在目前仍不失為一項簡便、快速、實用的較早期的診斷方法,但必須結合臨床及其他血清學檢測進行判斷,如補體結合試驗,間接血凝試驗,間接螢光抗體測定,酶聯免疫吸附試驗及生長抑制試驗等,由於所有抗原是從肺炎支原體脂質提取物中製備的,故具有特異性診斷價值,其中酶聯免疫吸附試驗最敏感,有利於判斷近期感染;間接螢光抗體測定IgG抗體出現晚,維持時間長,適用於進行流行病學調查;間接血凝法IgM抗體出現早,消失快,較實用;生長抑制試驗特異性強,但試驗周期長,套用紅黴素,阿奇黴素等有效藥物治療後影響結果的判斷;約半數患者對鏈球菌MG凝集試驗陽性,凝集試驗為診斷肺炎支原體感染的傳統方法,但其敏感性與特異性均不理想;補體結合試驗不如其他血清學檢查敏感及特異,但因方法簡便而被普遍套用。
3.抗原檢測用於早期診斷,常用方法有:固相酶免疫測驗技術Elisa法、多克隆抗體間斷免疫螢光測定、單克隆抗體免疫印跡法、核酸雜交技術和聚合酶鏈反應技術等,可直接從患者鼻咽分泌物或痰標本中檢測肺炎支原體抗原而確立診斷,此法快速簡便,符合臨床要求,但其敏感性、特異性和穩定性有待進一步提高。核酸雜交技術已製成試劑盒,具有高效、特異而敏感等優點,易於推廣。
套用免疫螢光方法做痰、咽分泌物塗片可直接鏡下觀察查支原體,方法簡便、快速,1~2h可做出診斷,已廣泛由於臨床。
輔助檢查
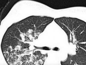
胸部X線表現:支原體肺炎的基本病理表現為支氣管和細支氣管炎及間質性肺炎。胸片表現呈多樣化,無特徵性,可有肺紋理增強及沿紋理分布的多發不規則、密度較低、均勻斑片狀影,半數以上呈多葉分布;近半數兩側被侵犯,大多數病例有下葉受累;病變可孤立地局限在周圍部位,但大多從肺門向肺野伸展且逐漸變淺的扇形陰影;肺部常見一處或多部位的斑點狀。病灶吸收較慢,長者可達4周以上,約1/3患者可出現單側性短暫的胸腔積液。
用藥治療
常規治療
老年人支原體肺炎確診為肺炎支原體肺炎後首選治療藥物是大環內酯類抗生素。過去多靜脈滴注紅黴素治療,但由於此藥對胃腸道的刺激,以及易造成輸注部位的靜脈炎,目前臨床已很少套用。現在多套用新一代的大環內酯類藥物,具有組織濃度高半衰期長、抗菌作用更強、胃腸道反應少等優點,如羅紅黴素150mg,2次/d,口服;克拉黴素250mg,2次/d,口服;阿奇黴素250mg,2次/d,口服,或500mg,1次/d,靜滴。療程相對要長,以10~14天為宜;嚴重病例可加大藥物劑量,延長病程至21天。一般治療效果良好,偶有復發者,再次用藥治療仍有效。對劇烈咳嗽者,應適當給予鎮咳劑。如繼發其他細菌感染,應根據病原學檢查,選擇針對性的抗生素治療。有些病例疑為肺炎支原體肺炎,而又難與軍團菌肺炎或肺炎鏈球菌肺炎鑑別時,應首選大環內酯類抗菌與治療。
擇優方案
5%葡萄糖250ml+阿奇黴素0.5g,1次/d,靜滴,療程1~2周。或阿奇黴素(希舒美)0.2g,1次/d,口服,連用3天。
康復治療
老年患者特別是合併有其他心、腦血管疾病及其他基礎疾病的,如COPD、冠心病、腦血管病、糖尿病等,應在治療本病的同時,注意其他合併症的出現,如心衰、心律失常,呼吸衰竭、水電解質紊亂、營養不良等,應拍背促進排痰,對於痰液黏稠者,可給予化痰藥物及超聲霧化吸入。對反應遲鈍或意識不清者可用導管吸痰。注意補液及補充電解質,加強營養支持治療,也可給予增強免疫力的藥物,如胸腺素等靜點。治療中注意觀察藥物的不良反應,還應注意與套用抗生素相關的腹瀉、結腸炎等,藥物的相互作用,例如大環內酯類藥物與氨茶鹼類藥物合用須注意藥物濃度監測。
預防護理
隨著老齡化,人體的生理結構與功能發生變化,老年人傾向於易患肺炎及導致死亡,這些改變包括咳嗽反射減低,脊柱彎曲後突等,再加上另外一些諸如嚴重的低血氧、肺水腫、酸中毒、氮質血症都增加了並發肺炎的易感性。老年機體防禦機能的改變包括肺組織黏液分泌增多,纖毛運動減弱,多形核白細胞吞噬活力降低以及與增齡相關的T細胞功能的顯著缺乏,這些都為微生物的入侵創造了可乘之機。老年肺炎支原體感染有逐漸上升趨勢,對具備上述危險因素的老年人特別是患有慢性心、肺、肝、腎等疾病的老年患者以及長期套用激素、免疫抑制劑,腫瘤晚期,糖尿病患者進行健康宣教,避免與肺炎患者接觸,可以減少被感染的機會。在肺炎支原體肺炎流行期間,要保持室內空氣流通,定時煮沸食醋進行房間空氣消毒,少去公共場所,堅持鍛鍊身體,提高免疫力,並注意肺炎發病的季節變化,特別是老年COPD患者更是如此。一旦懷疑自己患了支原體肺炎,應及時到醫院做進一步檢查,以早確診。
飲食保健
老年人支原體肺炎1.梨:梨具有潤肺清熱、消痰降火、清胃瀉熱、養陰生津、滋腎補虛及潤腸通便等作用。治療肺部疾病引起的咳嗽、咯痰有獨特而明顯的效果。著名的“梨膏糖”就是以甜梨為主原料製成的止咳成藥。
2.荔枝:荔枝具有生津止渴、潤肺化痰、健脾和胃、疏肝理氣及滋補腎陰等作用。
3.甘蔗:甘蔗具有潤肺益胃、補腎生津作用。對肺炎病引起的乾咳、盜汗、潮熱等症狀有一定的緩解作用。
4.核桃:核桃具有益肺平喘、養胃助納、潤腸通便、調肝和血、補腎健腦等功用。
5.蘋果:蘋果對肺也有好處,每周食用5個或5個以上的蘋果可以改善呼吸系統和肺功能。而且每天吃一個蘋果能使你不易生病。蘋果中含有大量的名叫槲皮苷的黃酮類抗氧化物,這種抗氧化物能保護肺部免受污染與吸菸的有害影響。洋蔥、茶和紅葡萄酒中也含有槲皮苷。
6.蜂蜜:現代醫學證明,蜂蜜對神經衰弱、高血壓、冠狀動脈硬化、肺病等,均有療效。在秋天經常服用蜂蜜,不僅有利於肺炎的康復,而且還可以防止秋燥對於人體的傷害,起到潤肺、養肺的作用。
預後
老年人病情變化多端,治療不及時可危及生命。

