基本資料
小腸結腸炎耶爾森菌肺炎疾病別名:小腸結腸炎耶爾森氏菌肺炎,結腸炎耶爾森菌肺炎
疾病代碼:ICD:J15.8
疾病分類:呼吸內科
疾病描述
由小腸結腸炎耶爾森菌(Yersinia enterocolitica)引起的感染,大部分累及胃腸道,引起自限性胃腸炎或腸系膜和末端迴腸腺體炎。敗血症及其肺和其他內臟受累極少見,肺炎病例一般發生於肝硬化或免疫功能低下的病人。症狀體徵
現認為此致病菌是胃腸道炎症、肺炎和肺膿腫的共同病因。肺部感染髮生於敗血症或原發吸入感染所致。臨床表現為咳嗽、氣促和肺實變。病史中常有胃腸道症狀,動物接觸史及進食可疑被污染食物和水的歷史,肝硬化病人出現肝功能衰竭加重,出現腹水。疾病病因
小腸結腸炎耶爾森菌屬腸桿菌科,有多種血清型和生物型分布在不同的來源。多數菌株為乳糖不發酵或低乳糖發酵,尿素酶陽性微需氧或兼性厭氧,在一般培養基37℃條件下生長緩慢,分離細菌的適宜溫度為22℃。本菌耐寒冷,在低溫水中可生存6 個月,但對濕熱及化學消毒劑敏感。
病理生理
小腸結腸炎耶爾森菌耶爾森菌有很多血清型,根據毒力可分為兩大類:
A、致病力
B、無致病力 大部分血清型屬於無致病力。
小腸結腸炎耶爾森菌侵襲力較強,在本菌屬中最易引起人類疾病。該菌主要侵入途徑為消化道,尤其在胃酸缺乏時可順利進入腸道,常粘附於迴腸末端、盲腸及結腸黏膜,並可從下層組織進入到淋巴結,在淋巴組織中長期存活和生長,引起淋巴結炎。由於炎症反應引起下腹部疼痛,這種典型的症狀可能會誤診為闌尾炎。對小腸結腸炎耶爾森菌腸炎的早期病例進行組織學研究,表明小腸淋巴結及Peyer受累,有小膿腫形成。因誤診闌尾炎而手術的病人常發現腸系膜淋巴結炎,有或無末端迴腸炎。該菌的顯著特點是既能侵入腸黏膜上皮細胞,又能產生一種或數種腸毒素,導致腹瀉。在機體抵抗力低下時,腸毒素可進入血流,發展成敗血症,全身各系統及臟器均可發生化膿性損害。
耶爾森菌的組織侵入性與分子量為42.2±1.1MDa大小的質粒有關,稱為毒力質粒。小腸結腸炎耶爾森菌血清型O:3、O:8及O:9同Hela細胞及豬腎細
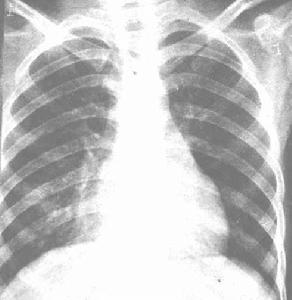
小腸結腸炎耶爾森菌肺炎X線圖胞做Sereny試驗,證明其具有侵襲性,這種侵襲性由質粒介導。因此認為小腸結腸炎耶爾森菌的致病性主要是有質粒介導的侵襲力所致,而不是毒素。小腸結腸炎耶爾森菌所特有的超抗原可誘發腸外症狀,如關節炎、結節性紅斑、甲狀腺疾病以及敗血症等。有組織相容性抗原HLA-B27的病人常
發生變態反應性病變,如多發性關節炎等。小腸結腸炎耶爾森菌另一特點與體內鐵有關,,由於小腸結腸炎耶爾森菌鐵載體的作用,鐵含量增加則可增加易感性,鐵的供應和外源性含鐵細胞將促進腸道外小腸結腸炎耶爾森菌感染的發展。
小腸結腸炎耶爾森菌致病機理至今尚不完全清楚,可能與外膜蛋白、腸毒素、毒性質粒、超抗原、鐵攝取系統等有關。
臨床表現
小腸結腸炎耶爾森菌肺炎併發症期 主要表現有結節性紅斑、紫斑、蕁麻疹、多發性紅斑、Stevens-Johnson氏綜合徵、關節神經痛、單純和多發性關節炎、腱鞘炎、風濕性多發肌痛、心肌炎、心內膜炎、葡萄膜炎、血管球性腎炎、甲狀腺病、血栓病等。此期於急性期後1~3周出現,大部分合併症比較嚴重,常需住院,病變易發生在皮膚和結締組織,受侵害部位一般無菌,細菌從便中排出,診斷要靠血清學檢測。皮膚症狀常見的有結節性紅斑、多形紅斑和Stevns-Johnson氏症候群、蕁麻疹和紫斑病。病原作用依賴於免疫複合物的形成。結締組織併發症是由急性反應性關節炎和關節痛組成的一組病症,其中急性多發性關節炎、急性單純性關節炎、急性風濕性關節炎、急性幼年風濕樣關節炎(Still)、腱鞘炎和滑膜周圍炎等都屬於這一類。其它合併症尚有心肌炎、心包炎、葡萄膜炎,某些非鏈球菌所致的血管球性腎炎等,還有血栓形成病例,可能由小腸結腸炎耶爾森菌沉積而成。
3、再發期 主要疾病有多發性肌炎、類風濕關節炎、Sjogven氏病(淋巴上皮病)、紅斑狼瘡、結節性多發性關節炎、硬皮病、自身免疫病等。
診斷檢查
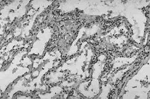
顯微鏡下的小腸結腸炎耶爾森菌肺炎症狀實驗室檢查:血或痰培養可陽性。痰中可發現革蘭陰性桿菌。當有咽部感染時,咽部分泌物可發現致病菌。化膿性結節、腹水、關節腔積液標本有可能發現致病菌。
其他輔助檢查:X 線胸片表現為結節性肺基底部緻密灶,為敗血症血行播散所致。按肺段分布的片狀陰影表示為吸入性感染所致。廣泛的模糊病灶表示有化膿性血栓形成。
治療方案
某些菌株對氯黴素、鏈黴素、磺胺藥、四環素、卡那黴素和氨苄西林耐藥。故宜選用第三代喹諾酮類藥物,如氧氟沙星600mg/d,分2~3 次口服或靜滴。小腸結腸炎耶爾森菌能產生β-內醯胺酶,遇敗血症病例,宜選用呋布西林、美洛西林、頭孢噻肟和拉氧頭孢等耐β-內醯胺酶的抗生素。總療程3~6 周。
治療
某些菌株對氯黴素、鏈黴素、磺胺藥、四環素、卡那黴素和氨苄西林耐藥。故宜選用第三代喹諾酮類藥物,如氧氟沙星600mg/d,分2~3次口服或靜滴。小腸結腸炎耶爾森菌能產生β-內醯胺酶,遇敗血症病例,宜選用呋布西林、美洛西林、頭孢噻肟和拉氧頭孢等耐β-內醯胺酶的抗生素。總療程3~6周。
預後及預防
預後:肝硬化病人出現肝功能衰竭加重,預後不良。
預防:預防措施包括避免齧齒動物污染水資源。冷藏食品應加熱煮沸處理後才能食用。密切接觸病人者須勤洗手,避免與有病動物接觸。對肝硬化、免疫功能低下病人,感染此病機會增加,尤其一定要保證食品和水的衛生。提高人體免疫力體質差、免疫功能低下者易發生小腸結腸炎耶爾森菌感染,故加強鍛鍊、增強體質有助於預防本病。伴有其它慢性疾病者,感染小腸結腸炎耶爾森菌後病情加重,該類病人感染後應注重預防及治療併發症。小腸結腸炎耶爾森菌主動免疫菌苗尚待研製。
流行病學
已從多種齧齒動物和其他野生動物(包括家貓和狗)中分離出小腸結腸炎耶爾森菌。由動物直接傳給人或人之間的直接傳播的證據極少,主要入侵途徑為消化道,當食入被耶爾森菌污染的飲用水或食物時,尤其在胃酸缺乏時該菌可順利進入腸道。大多數病例為單發,但可引起整個家庭、甚至數百人同時大流行。呼吸系統受累常發生於免功能低下、飲酒過量和肝硬化患者。
