病因
病因
葡萄球菌細菌感染是導致急性膽囊炎發病的主要病因:
細菌感染的途徑,可從全身來。如一病人患菌血症或敗血症,細菌可隨血流進入膽囊而引起急性膽囊炎。也可由肝臟來,肝膽相依,腸道的細菌經門靜脈進入肝臟,如未被消滅,可經膽汁到膽囊引起感染。肝臟內細菌也可經淋巴管到膽囊引起感染。
在正常情況下,膽汁內可有細菌存在。由於膽汁排泄通暢,即使膽汁內有毒力很強的細菌也很少發生急性膽囊炎,這可能就是俗語說的流水不腐吧。
蛔蟲身上帶很多細菌,鑽進膽道、膽囊引起細菌感染。
膽囊鄰近的組織、器官有炎症時,波及膽囊而發炎。
除了細菌之外,引起感染的還有寄生蟲——華支睪吸蟲和梨形鞭毛蟲等均可引起急性膽囊炎,特別是華支睪吸蟲在膽囊感染中是很常見的。
治療急性膽囊炎的手術方法有兩種,一種為膽囊切除術,在急性期膽囊周圍組織水腫,解剖關係常不清楚,操作必須
急性膽囊炎細心,此免誤傷膽管和鄰近重要組織。有條件時,套用術中膽管造影以發現膽管結石和可能存在的膽管畸形。
另一種手術為膽囊造口術,主要套用於一些老年病人,一般情況較差或伴有嚴重的心肺疾病,估計不能耐受膽囊切除手術者,有時在急性期膽囊周圍解剖不清而致手術操作困難者,也可先作膽囊造口術。
病因學急性膽囊炎與膽管炎的主要病因為膽汁滯留與細菌感染。膽汁滯留多因膽管梗阻造成,常見的梗阻因素有膽道先天性或炎性狹窄、膽腸吻合術後吻合狹窄返流及寄生蟲引起的膽總管括約肌痙攣。細菌可經血液、淋巴、腸道或鄰近器官而侵入膽囊與膽管,引起炎症的細菌以大腸桿菌為主,約占70%,其他有葡萄球菌,溶血性鏈球菌、變形桿菌等,亦可為混合感染。
病理
病理
化膿性膽管炎臨床表現發病常較急驟,多於發病後1天內就診。以腹痛、高熱塞戰為主要症狀,偶有黃疸。上腹疼呈持續或間斷性鈍痛、脹痛或劇烈絞痛。常伴有噁心、嘔吐。高熱可引起驚厥,或精神不好、譫妄、昏迷等症狀。黃疸較輕,時間短暫。
病理改變
急性膽囊炎或膽管炎的病變開始時,黏膜充血,水腫,繼而波及膽囊或膽管壁各層,管壁增厚,表面有纖維蛋白性滲出物。在感染嚴重病例,囊壁有化膿灶,形成化膿性膽囊炎或/和膽管炎。年齡越小,病變演進越急劇,由於同時有膽囊管或膽總管口括約肌痙攣,膽囊或膽總管膨脹,可發生局限性缺血和壞疽而引起穿孔、膽汁性腹膜炎。此時,患兒可出現神志模糊、中毒性休克等徵象。
臨床表現
白細胞發病常較急驟,多於發病後1天內就診。以腹痛、高熱塞戰為主要症狀,偶有黃疸。上腹疼呈持續或間斷性鈍痛、脹痛或劇烈絞痛。常伴有噁心、嘔吐。高熱可引起驚厥,或精神不好、譫妄、昏迷等症狀。黃疸較輕,時間短暫。
體格檢查呈急性病容,體溫可持續在38.5℃以上,最高可達41℃,右上腹有明顯壓痛及腹肌緊張,有時可觸及腫大的膽囊。個別嚴重病例以中毒性休克為主要表現經治療後始出現腹脹、全腹緊張及壓痛等腹膜炎體徵。
末梢血象白細胞數增高,並可有中性白細胞數增多,核左移及中毒顆粒。
症狀
一般根據上腹痛及右上腹壓痛的病史及體徵,診斷並不困難。在以中毒性休克情況下來就醫的患兒,也要考慮到
膽囊發病常較急驟,多於發病後天內就診。以腹痛、高熱塞戰為主要症狀,偶有黃疸。上腹疼呈持續或間斷性鈍痛、脹痛或劇烈絞痛。常伴有噁心、嘔吐。高熱可引起驚厥,或精神不好、譫妄、昏迷等症狀。黃疸較輕時間短暫。
體格檢查呈急性病容,體溫可持續在38.5℃以上,最高可達41℃,右上腹有明顯壓痛及腹肌緊張,有時可觸及腫大的膽囊。個別嚴重病例以中毒性休克為主要表現經治療後始出現腹脹、全腹緊張及壓痛等腹膜炎體徵。
末梢血象白細胞數增高,並可有中性白細胞數增多,核左移及中毒顆粒。
診斷檢查
檢查
膿細胞十二指腸引流,膽汁檢查,膿細胞,見梨形蟲滋養體。膽汁細菌培養約2/3病例可獲陽性結果。
診斷
末梢血象白細胞數增高,並可有中性白細胞數增多,核左移及中毒顆粒。
診斷一般根據上腹痛及右上腹壓痛的病史及體徵,診斷並不困難。在以中毒性休克情況下來就醫的患兒,也要考慮到有本症的可能。結合症狀、體徵和病程發展迅速,伴有精神不好、譫妄、神志模糊或昏迷等症狀,可以作出診斷。有腹腔滲液的,可做腹腔穿刺,如抽出綠色滲液則可確診為膽汁性腹膜炎。
診斷要點
1.有典型的陣發性腹絞痛發作及右上腹壓痛、肌緊張徵象。
2.血白細胞總數劇增,中性粒細胞比例增高。
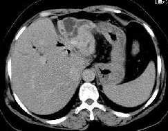
3.B型超聲檢查,膽囊增大,囊壁增厚,可能可看到結石的影像。
典型的急性膽囊炎臨床上較容易診斷,一些輕症病例或發病早期容易誤診,因臨床上能引起右上腹疼痛的疾病很多。比如,急性病毒性肝炎,急性胰腺炎,急性闌尾炎,膽道蛔蟲,消化性潰瘍穿孔,以及右心衰竭等疾病常與急性膽囊炎相混淆。
鑑別診斷
膽囊炎應與傳染性肝炎相鑑別,後者肝臟腫大,白細胞數可不增高且有肝功能減退現象。急性膽囊炎、膽管炎伴發腹膜炎時,應與其它原因所致腹膜為如闌尾炎、胰腺炎及消化道穿孔(如傷寒腸穿孔)等症相鑑別。除一般病史、體徵及X線檢查外,超音波可測知膽囊大小及囊壁是事粗糙增厚,腹腔穿刺檢查也有助於診斷。
治療預防
抗菌藥中醫療法:
以清利濕熱、鄶肝理氣為主。
處方舉例:
柴胡3g,黃芩9g,木香3g,枳殼9g,鬱金9g,公英15g,大黃6g,茵陳15g,膽草6g。腹痛重者加元胡9g,川楝子9g。
手術療法:
手術適應證:①膽汁性腹膜炎確診後應爭取儘早手術;②高熱、中毒性休克,經短時間糾正無顯著改善或病情惡化者;③在治療過程並發有肝膿腫、胰腺炎、膽囊壞死穿孔;④膽管結石。瘢痕狹窄非手術不能解除者。手術原則是:解除膽道的梗阻、充分引流減低膽內壓。術前應積極準備,包括輸血、補液、靜脈輸入抗生素及糾正休克等措施。如經3~6小時的積極治療,症狀未見好轉,即應行急症手術以免失去搶救機會。
手術方式可根據患兒一般情況及局部情況決定。如系化膿性穿孔性或壞疽性膽囊炎則作膽囊切除。如病變限於膽囊而小兒一般情況不良者亦可作膽囊造瘺。若同伴有膽總管炎症或穿孔時則須行膽管引流,同時行腹腔引流。
以卡那黴素、慶大黴素、氨苄西林、磺苄西林、磷黴素效果較好,梨形蟲感染者可用甲硝唑。結石性膽囊炎套用抗生素同時,可行超聲體外碎石或手術切除膽囊。
預防
一般急性膽囊炎經非手術治療可以消退自愈,但伴發腹膜炎者,須經積極準備後手術治療。上述66例中死亡3例,其年齡分別為2個月1例及1歲以內2例,均系伴發膽汁性腹膜炎晚期患兒。
