病因
脫屑性間質性肺炎 脫屑性間質性肺炎屬間質性肺炎。
主要組織學特點如下:①肺上皮細胞(主要為Ⅱ型肺細胞)大量增生並脫落到肺泡腔內;②肺泡內蓄積有巨噬細胞,並有 PAS染色陽性、抗澱粉酶的細胞漿顆粒游離於肺泡腔;③肺間質有淋巴細胞、 單核細胞、漿細胞及嗜酸細胞浸潤;④肺泡壁由於水腫、充血及細胞浸潤而顯著增厚。在Ⅱ型肺 細胞及脫落細胞內有嗜酸性核內包涵體是由於退行性變引起,乃由髓磷質組成。並無肺泡壁壞死及無透明膜形成。偶見巨噬細胞融合形成多核細胞,因此與巨細胞十分相似,故有人認為本病是巨細胞間質性肺炎之初期,本症纖維化不著明,但有觀察本症數年後可演變為瀰漫性肺纖維化,甚至演變成 肺心病者。
症狀
本病可分原發性與繼發性二類。原發者發病較急,繼發者續發於其他疾病之後。症狀頗似瀰漫性肺纖維化,發病多隱襲,但也可突然起病。主要表現為呼吸加快、進行性呼吸困難、心率增速、紫紺、乾咳、體重減輕、無力和食慾減退。發熱多不超過38℃。嚴重者發生心力衰竭,可於吃奶後突然死亡。查體有時可見杵狀指、趾,肺部體徵不明顯,有時兩下肺可聽到細濕羅音。X線胸片顯示兩下肺毛玻璃樣或網狀、片狀陰影,可有邊緣不清之模糊三
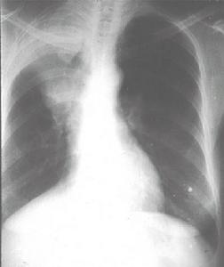
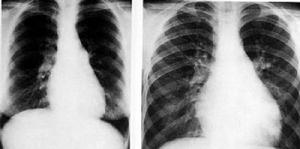
脫屑性間質性肺炎 X線表現,兩肺有對稱性磨玻璃模糊陰影,在肺底部最顯著。亦有呈三角形模糊陰影,從肺門向兩側肺底伸展,有時並發自發性氣胸或胸水。
病肺肉眼觀呈灰黃色、堅實、無氣。 鏡檢,最顯著的特徵是肺泡腔內有大量脫屑顆粒狀細胞,大小不等,直徑7~8μm;有些細胞呈紡錘狀,多核。胞內可含極少的空泡。無碳末。胞漿含多量PAS染色陽性、抗澱粉酶顆粒。常有不含鐵的色素顆粒。脂類染色陽性。電子顯微鏡檢查,脫屑細胞多數為巨噬細胞,肺泡上皮細胞及脫屑細胞見核分裂。肺泡上皮細胞增生或肥大。無透明膜形成。有不等量的間質纖維化及網蛋白纖維形成。有時顯示粘液瘤的性質。間質肌纖維增生,肺臟變僵硬。常見肺小葉間隔、肺泡隔及胸膜水腫及纖維化。 肺泡閉塞不常見。在病變嚴重的肺區,常有閉塞性肺動脈內膜炎。有局灶淋巴細胞聚集,其中有生髮中心。
從臨床症狀、X線表現只能作出擬診。經支氣管鏡或開胸作肺活檢,可以確定 診斷。Ashen等(1984)所提出的病理診斷標準如下:①肺泡內可見含PAS染色陽性顆粒的巨噬細胞大量聚集;②肺泡內Ⅱ型上皮細胞腫脹及增生;③間質內有淋巴細胞、漿細胞和嗜酸細胞浸潤,並有輕度間質纖維化。
表現
本病可分原發性與繼發性類原發者發病較急繼發者,續發於其他疾病之後,症狀頗似瀰漫性肺纖維化發病多隱襲但也可突然起病主要表現為呼吸加快進行性呼吸困難心率增速紫紺乾咳體重減輕,無力和食慾減退發熱多不超過38℃嚴重者發生心力衰竭可於吃奶後突然死亡查體有時可見杵狀指趾肺部體徵不明顯有時兩下肺可聽到細濕羅音X線胸片顯示兩下肺毛玻璃樣或網狀片狀陰影可有邊緣不清之模糊,角形陰影從肺門沿心緣向肺底及周緣放散有時
脫屑性間質性肺炎 X線表現兩肺有對稱性磨玻璃模糊陰影在肺底部最顯著亦有呈角形模糊陰影,從肺門向兩側肺底伸展有時並發自發性氣胸或胸水。
病肺肉眼觀呈灰黃色堅實無氣鏡檢最顯著的特徵是肺泡腔內有大量脫屑顆粒狀細胞大小不等直徑7~8μm;有些細胞呈紡錘狀多核胞內可含極少的空泡,無碳末胞漿含多量PAS染色陽性抗澱粉酶顆粒常有不含鐵的色素顆粒脂類染色陽性電子顯微鏡檢查脫屑細胞多數為巨噬細胞肺泡上皮細胞及脫屑細胞見核分裂肺泡上,皮細胞增生或肥大無透明膜形成有不等量的間質纖維化及網蛋白纖維形成有時顯示粘液瘤的性質間質肌纖維,增生肺臟變僵硬常見肺小葉間隔肺泡隔及胸膜水腫及纖維化肺泡閉塞不常見在病變嚴重的肺區常有閉塞性肺動脈內膜炎有局灶淋巴細胞聚集其中有生髮中心。
從臨床症狀X線表現只能作出擬診經支氣管鏡或開胸作肺活檢可以確定診斷Ashen等(1984)所提出的病理診斷標準如下:①肺泡內可見含PAS染色陽性顆粒的巨噬細胞大量聚集;②肺泡內Ⅱ型上皮細胞腫脹及增生;③間質內有淋巴細胞漿細胞和嗜酸細胞浸潤並有輕度間質纖維化。
檢查
肺功能檢查顯示限制型改變伴DLCO降低,動脈血氣顯示低氧血症。胸部X線在多達20%病例可正常,如有異常時,其嚴重程度低於間質性肺纖維化。HRCT示斑片狀,胸膜下的毛玻璃樣陰影。經支氣管鏡或開胸作肺活檢,可以確定診斷。
治療
早期套用潑尼松40~60mg/日,有顯效。但也有患者停藥後症狀又復現,繼續用藥後又見好轉。晚期肺臟有瀰漫性肺纖維化,或形成蜂窩肺,激素治療無效。4S清肺平喘療法由軍事醫學科學研究院、國際科學研究院等多位專家歷經30多年聯合研發形成的一套全方位、多立體的綜合治療體系。療法包括清肺淨肺、PI活肺治療、植物神經綜合平衡和軍科細胞免疫技術四大步驟,其中軍科細胞免疫技術是多位專家在2008年諾貝爾醫學獎DC細胞技術基礎上獨創的治療手段,它直擊哮喘病的發病根源——炎症細胞,利用特定的靶向免疫激活技術抑制和清除哮喘發病根源,真真正正防止哮喘反覆發作。
鑑別
脫屑性間質性肺炎 DIP在組織病理上不同於尋常性間質性肺炎,前者傾向於表現為瀰漫性和均勻性,可有因纖維化組織造成肺泡間隔,輕到中度增寬,伴中度的淋巴細胞,漿細胞以及偶為嗜酸性細胞間質浸潤。肺泡壁排列有腫脹的立方型肺泡細胞。最顯著的特徵為大多數末梢氣腔內有大量的巨噬細胞。可有蜂窩樣變,但通常不像IUP中那樣廣泛和明顯。某些專家認為區分DIP和UIP是人為性的,因為兩種組織類型常常發生在同一個肺中(可能代表同一病程的不同時期)。然而,UIP中DIP樣反應通常很輕微,而且在DIP中未發現有類似的肺實質侵犯。
肺功能檢查顯示限制型改變伴DLCO降低,動脈血氣顯示低氧血症。胸部X線在多達20%病例可正常。如有異常時,其嚴重程度低於間質性肺纖維化。HRCT示斑片狀,胸膜下的毛玻璃樣陰影。
預防
1、避風寒,防止上 呼吸道感染;2、積極改善生活環境 空氣質量;
3、戒菸酒,改變壞 生活習慣。
併發症
肺部感染是常見的併發症,並能誘發呼吸衰竭,甚至導致死亡。應當積極治療。低氧血症是常見的,在無明顯誘因時也可能存在。如PaO2<7.33kPa(55mmHg),應進行家庭氧療。晚期合併肺心病右心衰竭時,按心功能不全治療。反覆發生氣胸,可作胸膜粘連術。
一般併發症
1.流產:雙胎妊娠的自然流產率2~3倍於單胎妊娠胎兒個數越多流產危險性越大與胚胎畸形胎盤發育異常胎盤血液循環障礙及宮腔容積相對狹窄有關。
2.胎兒畸形:雙胎妊娠胎兒畸形率比單胎高2倍單卵雙胎畸形兒數又是雙卵雙胎的2倍畸形率增高的原因尚不清
脫屑性間質性肺炎 3.胎兒宮內生長遲緩:30孕周以前雙胎胎兒的生長速度與單胎相似此後即減慢宮內生長遲緩的發生率為12%~34%其程度隨孕周的增長而加重單卵雙胎比雙卵雙胎更顯著。
4.貧血:由於血容量增加多鐵的需要量大而攝入不足或吸收不良妊娠後半期多有缺鐵性貧血孕期葉酸需要量增加而尿中排出量增多若因食物中含量不足或胃腸吸收障礙而缺乏易致巨幼紅細胞性貧血。
5.妊娠高血壓綜合徵:發生率為單胎妊娠的3倍症狀出現早且重症居多往往不易控制子癇發症率亦高。
6.羊水過多:5%~10%雙胎妊娠發生羊水過多發生率為單胎妊娠的10倍尤其多見於單卵雙胎且常發生在其中的個胎兒。
7.前置胎盤:由於胎盤面積大易擴展至子宮下段而覆蓋子宮頸內口形成前置胎盤發生率比單胎高1倍。
8.早產:由於子宮過度伸展尤其胎兒個數多並發羊水過多時宮內壓力過高早產發生率高多數早產為自然發生或因胎膜早破後發生據統計雙胎妊娠的平均妊娠期僅37周。
特殊併發症
1.雙胎輸血綜合徵:主要是單絨毛膜單卵雙胎妊娠的嚴重併發症由於兩個胎兒的血液循環經胎盤吻合血管溝通發生血液轉輸從而血流不均衡引起。

