酒精性腦萎縮酒精性腦萎縮,在中國精神疾病分類與診斷標準將此稱為“酒精所致精神障礙”。本病由飲酒所致,可在一次飲酒後發生,也可由長期飲酒形成依賴後逐漸出現,或突然停飲後急劇產生。除精神症狀外,往往伴有軀體症狀和體徵。酒精所致精神障礙包括單純醉酒、複雜醉酒、酒依賴、震顫譫妄、酒中毒性幻覺症、酒中毒性妄想症、酒中毒性腦病等,其中最常見的是單純醉酒和酒依賴。
疾病概述
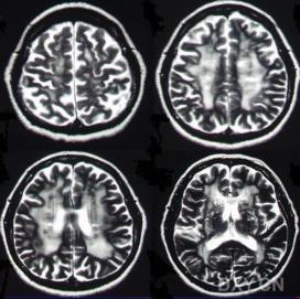
側腦室其發生機制不詳,可能與酒精對腦的直接損害及營養障礙,尤其是維生素B1的缺乏有關。多見於長期大量飲酒的男性中老年人。發病隱匿,緩慢進展。早期常有焦慮不安、頭痛、失眠、乏力等。逐漸出現智力衰退和人格改變。此外,部分病人還可合併有周圍神經病變、肌肉萎縮,甚至出現震顫、幻覺、妄想和癲癇發作等嚴重酒精中毒的表現。頭顱CT示側腦室對稱性擴大,腦溝、半球間裂和外側裂增寬等腦萎縮的表現。
流行病學
酒精中毒已是遍及全球的一種常見病,在歐美國家,其發病率僅次於心腦血管疾病和腫瘤。目前中國尚未查到較全面的發病率統計學資料。隨著生活水平的逐漸提高,在中國其發病率亦不斷增加,目前臨床上因酒精中毒導致神經系統損害的患者有明顯增多趨勢,酒精性腦萎縮也在其中之列。
患病原因
胃黏膜酗酒傷身的道理眾所周知,但酒精對大腦的損害卻很少引起重視。近年來,酒精性腦萎縮患者有增多趨勢。酒精之所以損害健康的腦組織,是因為乙醇能直接通過胃黏膜吸收入血,並很快通過血腦屏障進入大腦。酒精是一種親神經物質,具有神經毒性作用,能直接殺傷腦細胞,使之溶解、消亡、減少。長期飲酒者腦細胞死亡速度會越發加快,腦萎縮也會越來越嚴重。伴隨腦血流量的減少,腦內葡萄糖代謝率、腦神經細胞活性均減低,大腦功能隨之衰退。
確已證實大量無節制地飲酒,對機體許多器官系統均有很大的損害作用,神經系統是酒精濫用致病的主要靶器官之一。
發病機制
大腦神經元 一次CT掃描發現腦溝加深,腦裂變寬、腦室對稱性擴大等腦萎縮的改變,並不代表腦組織不可逆的喪失。近年來通過CT或MRI研究,發現有些酗酒者所見的這種CT改變在不同程度上是可逆的。這種可逆性說明是腦內液體發生了轉移,而非腦組織喪失。這可能與戒酒後腦中水和電解質恢復正常有關。也可能與腦膠質細胞和神經元蛋白的再生有關。
這些影像學的發現與臨床的相關關係遠沒有弄清。有些患者腦萎縮常伴有明顯酒精中毒性併發症,有報導Wernicke-Korsakoff綜合徵的病理資料,約1/4顯示側腦室、第三腦室擴大,以及額葉腦回萎縮。另一些酗酒者則因反覆發作的癲癇史或有肝病、腦外傷以及其他一些因素而導致腦室擴大。然而,有些酗酒者雖發現腦室擴大,但在整個過程中,常規的神經系統查體和智慧型狀態測試,並未發現有神經精神疾病的症狀和體徵。
臨床表現
腦動脈硬化2、主要特點是早期常有焦慮不安、頭痛、失眠、乏力等,逐漸出現智力衰退和人格改變。除非有嚴重腦萎縮,一般無明顯痴呆。可較長時期保持良好的工作能力。患者主訴有明顯的記憶力減退,並可有計算力、判斷和分析能力下降。少數可出現遺忘、虛構和定向障礙的Korsakoff精神病表現。人格改變可有自私、生活散漫、情緒不穩、易激惹、工作效率低、缺乏責任感、不聽人勸告和人際關係緊張等。嚴重者有智慧型衰退和智商明顯下降。
3、有些患者可合併周圍神經病變和肌肉萎縮,甚至出現震顫、幻覺。妄想和癲癇大發作等嚴重酒精中毒的表現。
4、頭顱CT示腦溝增寬、腦回變小、腦池和腦室擴大等腦萎縮的表現。
併發症:
可合併有周圍神經病變,肌肉萎縮,震顫、幻覺、妄想和癲癇發作等嚴重酒精中毒的表現。
診斷:
根據患者有大量飲酒史,出現以上典型臨床症狀者,應進行CT檢查。若CT有以上表現者應考慮本病。
鑑別診斷:
由於有許多原因可引起腦萎縮,如腦外傷、腦動脈硬化、Alzheimer病、Pick病等均應予以鑑別和排除。
實驗檢查
肌電圖檢查1、血、尿酒精濃度的測定,有診斷及中毒程度評估意義。
2、其他血液檢查,包括血生化、肝功、腎功、出凝血功能及免疫球蛋白等。
3、腦脊液檢查,有鑑別診斷意義。
其它輔助檢查:
1、心電圖、腦電圖、腦CT或MRI檢查,有診斷與鑑別意義。
2、肌電圖和神經電生理檢查,有鑑別診斷意義。
相關檢查:
腦脊液
治療方法
酒精性腦萎縮治療首先要戒酒,戒酒後腦功能可逐漸改善,心理測驗證明智商在戒酒後3周內有明顯提高。維生素缺乏可能是造成腦萎縮的主要原因,因此,應給予多種維生素治療。同時應對症給予增加腦組織營養、改善神經細胞代謝等治療。
酒精性腦萎縮患者,首先要克服來自病人的“否認”,取得病人的合作。其次,要積極治療原發病和合併症,如果人格障礙、焦慮障礙、抑鬱障礙、分裂症樣症狀等。還要注意加強病人營養,補充機體所需的電蛋白質、維生素、礦物質、脂肪酸等物質。
單純戒斷症狀。由於酒精與苯二氮卓類藥理自然相似,在臨床上常用此類藥物來緩解酒精的戒斷症狀。首次要足量,不要緩慢加藥,這樣不僅可抑制戒斷症狀,而且還能預防可能發生的震顫譫妄、戒斷性癲癇發作。以地西泮為例,劑量一般為10mg/次,3次/日,首次劑量可更大些,口服即可,2-3日後逐漸減量,不必加用抗精神病藥物。由於酒依賴者有依賴的素質,所以應特別注意,用藥時間不宜太長,以免發生對苯二氮卓類的依賴。如果在戒斷後期有焦慮、睡眠障礙,可使用三環類抗抑鬱藥物。
震顫譫妄。在斷酒後48小時後出現,72-96小時達到極期,其他腦、代謝、內分泌問題也可出現譫妄,應予鑑別。一般注意事項:發生譫妄者,多有興奮不安,需要有安靜的環境,光線不宜太強。如有明顯的意識障礙、行為紊亂、恐怖性幻覺、錯覺,需要有人看護,以免發生以外。如有大汗淋漓、震顫,可能有體溫調節問題,應注意保溫。同時,由於機體處於應基狀態、免疫功能受損,易致感染,應注意預防各種感染、特別是肺部感染。
鎮靜:苯二氮卓類應為首選,地西泮一次10mg,2-3次/日,如果口服困難應選擇注射途徑。根據病人的興奮、自主神經症狀調整劑量,必要時可靜脈滴注,一般持續一周,直到譫妄消失為止。控制精神症狀:可選用氟哌啶醇,5mg/次,1-3次/日,肌肉注射,根據病人的反應增減劑量。其他:包括糾正水、電解質和酸鹼平衡紊亂、補充大劑量維生素等。
酒精性幻覺症、妄想症。大部分的戒斷性幻覺、妄想症狀持續時間不長,用抗精神病藥物治療有效,可選用氟哌啶醇或奮乃靜口服或注射,劑量不宜太大,在幻覺、妄想控制後可考慮逐漸減藥,不需像治療精神分裂症那么長期維持用藥。
酒精性癲癇。不常見,可選用丙戊酸類或苯巴比妥類藥物,原有癲癇史的病人,在戒斷初期就應使用大劑量的苯二氮卓類或預防性使用抗癲癇藥物。
預防措施
預後:
大量飲酒對許多人體器官系統都有很大的損害。慢性酒精中毒導致的腦萎縮呈逐漸緩慢進展,甚至出現不可逆性損害。最終酒精將損害判斷和認知能力,嚴重者有智慧型衰退和智商明顯下降,直至喪失所有的思維和推理能力。
預防:
少量合理飲酒對人體可能有一定益處,避免長期大量飲酒是預防酒精中毒導致腦萎縮的主要措施。
腦神經殺手
乙醇酒精性腦萎縮常引起營養障礙,主要是由於酒精進入體內首先刺激胃黏膜,對其造成損傷並引起營養物質的吸收障礙及維生素的缺乏而出現慢性胃炎及營養不良,當患者以酒代餐甚至連續多日不進食時導致營養不良,硫胺攝入不足和吸收不良等,從而引起腦代謝障礙,甚者出現急性韋尼克氏腦病發作。故患者發病後應及時到醫院治療,並保證營養供給,可減少酒精性腦病的發生。

